вверх
отправить
поиск
админ
главная
|
Как правильно поступить со стопой |
 |
 |
 |
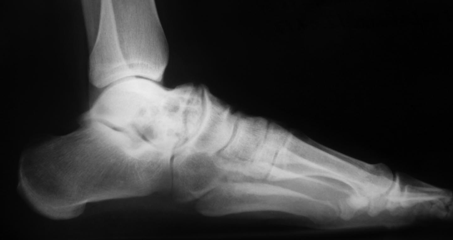
Отправлено Данила Курышев 17 Июль 2017, 03:47 ДГКБ им.З.А. Башляевой ДЗМ. Тушинская детская. Москва.
Здравствуйте, глубокоуважаемые участники форума. Прошу Вас о помощи в , на наш взгляд, не простом случае заболевания среднего отдела стопы у ребёнка 16 лет. Девушка имеет солитарную кисту головки и шейки таранной кости стопы. Обратилась и госпитализирована с болями в среднем отделе стопы. Ребёнок 16 лет. Направляющий диагноз: "Солитарная киста головки и шейки таранной кости стопы".Гистологический диагноз выставлен на основании пункционной биопсии в одной из авторитетнейших онкологических клиник Москвы. Выполненное лечение - инъекция Коллатампа - апрель 2017г. .
Ходит без ортеза. Жалуется на боли в области Шопарова сустава. Свод стопы сохранён. Тест "на носочках"-выполняет 15-20 секунд, жалуясь на возрастающие боли. Походка не нарушена. Может пройти 1 км пешком. Девушка крупного телосложения. Атрофии мышц голени нет. Пальпаторно - болезненность в области тыльной поверхности стопы в таранно-ладьевидного сустава. Движения в голеностопном суставе - в полном объёме. Результаты исследований будут в приложениях.
Вероятнее всего больной можно будет помочь исключительно оперативным лечением. Наше предложение:откртытая экскохлеация полостей кисты, ауто- или аллопластика аллографтами, резекция и атродезирование таранно-ладьевидного сустава, : пластина таран-ладья и винты Herbert, разгрузка на 2-3 мес, стелька компенсирующая.
Вопрос к коллегам: целесообразно ли такое вмешательство?Следует ли решать проблему одной операцией - пластика и артродез сразу? Или артродез можно отложить, надеясь на компенсаторные возможности? Насколько операция рациональна сейчас? Если артродез - то всего Шопарова сустава?
Как поступить с пластикой кисты тарана? Чем? Алло- или ауто? Доступны TUTOGEN и Силариф.
Следуетли комбинировать остесинтез пластиной и винтами - в какой последовательности синтезировать? Следует ли выполнять компенсирующую абдукцию стопы в данном случае? Заранее спасибо за ответы. С глубоким уважением.
<
|
>
|
|
Ответить
|
Re: Как правильно поступить со стопой
Ниязов Нияз 18 Июль 2017, 01:33
|
Здравствуйте уважаемые коллеги. Интересный случай. Данила, а что значит "компенсирующую абдукцию стопы" это что и для чего? Вопрос общий, а не по теме.
А по теме если, что делать с кистой вопрос дисскутабельный и интересный, но Вы почему то Вы даже не упомянули тройной артродез в случае если встанет вопрос об артродезе. Хотя показание есть: околосуставное поражение тарана, тучная пациентка и боли. Что может быть лучше?!
|
[
Ответить ]
|
Re: Как правильно поступить со стопой
Отправитель: Данила Курышев 18 Июль 2017, 03:06
|
Спасибо за интерес к теме! Тройной артродез - моё почтение. "компенсирующий абдукцию стопы" - заранее и профилактически увеличить длину медиальной дистанции стопы. Последний вопрос не понятен. Вроде бы, казалось, я пытался задавать вопросы? ;))Открываем дискуссию?
С уважением!
|
[
Ответить ]
|
Re: Как правильно поступить со стопой
Отправитель: Ниязов Нияз 18 Июль 2017, 11:29
|
Что может быть лучше, чем хорошо сделаный тройной артродез при принятии решения о артродезе у тучной больной с болями в костях. Просто замкнуть один сустав, тем более таранно- ладьевидный я не вижу смысла. Завтра или будет артроз в пяточно кубовидном или несостоятельность в тараноладьевидном.
А вообще мое мнение (личного опыта лечения кист пяточный и таранной костей нет ) можно попробовать консервативно вести. Пункции с введением в полость костной крошки, покой и режим, стелька и так далее.
Не понял все таки что значит увеличить длину медиальной дистанции стопы? За счет остеотомии пяточной по типу Эванса, Дваера или........?
Но самое главное вы хотите компенсировать абдукцию стопы, а про это вы ничего не писали, только про боль.?
|
[
Ответить ]
|
Re: Как правильно поступить со стопой
Отправитель: Данила Курышев 19 Июль 2017, 02:01
|
Интересное мнение.
|
[
Ответить ]
|
|
Re: Как правильно поступить со стопой
Alexander Chelnokov 18 Июль 2017, 13:35
|
Коллеги, а чем чревата эта киста, зачем ее непременно ликвидировать? Боимся патологического перелома? Или?..
|
[
Ответить ]
|
Re: Как правильно поступить со стопой
Отправитель: Данила Курышев 19 Июль 2017, 01:49
|
Кисту не стоит побеждать. Боимся, конечно, патперелома. И и она там не нужна совсем. Но дело не в этом. Идёт пластическая деформация по линии таран-ладья и там же болит. И там же перестройка кости, которая закончится с непредсказуемым результатом. Боимся потери свода , усиления болей , хромоты , которая может прогрессировать годами,
|
[
Ответить ]
|
|
Re: Как правильно поступить со стопой
Сафонов Михаил 18 Июль 2017, 14:55
|
Предлагаю выполнить сначала МРТ. Посмотреть в каком объеме страдает кровоснабжение тарана.
На КТ, вроде как, есть кисты и в области подтаранного сустава?
Тогда я за трехсуставной артродез. Костную пластику структурным аутотрансплантатом из крыла подвздошной, чтоб сверху кортикал остался. Уложить его в паз, с перекрытием таранноладьевидного.
|
[
Ответить ]
|
Re: Как правильно поступить со стопой
Данила Курышев 19 Июль 2017, 01:53
|
Если страдает кровоснабжение тарана - как это повлияет на нашу операцию?
|
[
Ответить ]
|
Re: Как правильно поступить со стопой
Отправитель: Сафонов Михаил 19 Июль 2017, 06:47
|
Покажет, сколько пораженной кости нужно заместить аутотрансплантатом.
|
[
Ответить ]
|
|
Re: Как правильно поступить со стопой
Анатолий 21 Июль 2017, 21:45
|
Не думали про обычную остеоперфорацию ,гипс ,фтл и тд
|
[
Ответить ]
|
Re: Как правильно поступить со стопой
Отправитель: Данила Курышев 22 Июль 2017, 16:51
|
не думали. А зачем?
|
[
Ответить ]
|
|
Re: Как правильно поступить со стопой
Бурков Дмитрий 23 Июль 2017, 18:20
|
Добрый день! Артродеза таранно-ладьевидного сустава с костной (ауто, алло) пластикой будет достаточно. При проведении вмешательства соблюдать таранно-плюсневое соотношение. Суставы медиальной колоны компенсируют его потерю. Зачем замыкать не измененный сустав(подтаранный), даже если будет прогрессирование артроза это можно сделать потом (10-15-20 лет). Пяточно-кубовидный сустав считается самым подвижным, и замыкать его нужно строго по показаниям(выраженные изменения). Фиксация лучше пластиной. Пластика лучше из крыла.
|
[
Ответить ]
|
Re: Как правильно поступить со стопой
Бурков Дмитрий 23 Июль 2017, 18:20
|
Добрый день! Артродеза таранно-ладьевидного сустава с костной (ауто, алло) пластикой будет достаточно. При проведении вмешательства соблюдать таранно-плюсневое соотношение. Суставы медиальной колоны компенсируют его потерю. Зачем замыкать не измененный сустав(подтаранный), даже если будет прогрессирование артроза это можно сделать потом (10-15-20 лет). Пяточно-кубовидный сустав считается самым подвижным, и замыкать его нужно строго по показаниям(выраженные изменения). Фиксация лучше пластиной. Пластика лучше из крыла.
|
[
Ответить ]
|
Re: Как правильно поступить со стопой
maxim agalakov 24 Июль 2017, 11:32
|
почему не попробовать инъекции стероидов, вроде до 90 проц успеха. "Steroid injection was introduced as a treatment option for unicameral bone cysts in the mid-1970s because the recurrence rate after curettage and bone grafting was approximately 50%. Steroid injection was described as an effective new treatment option that was inexpensive and involved less morbidity. The procedure is done with the patient heavily sedated or anesthetized. Fluoroscopic guidance is used to observe an 18-gauge spinal needle as it penetrates the cortex overlying the lesion at one end of the cyst; a second needle is placed at the opposite end. The diagnosis of a unicameral bone cyst is confirmed by the efflux of straw-colored cyst fluid. Many authors recommend that a cystogram be done using radiopaque dye and injecting each separate cavity if possible. Generally, 80 to 200 mg of methylprednisolone (Depo-Medrol; Upjohn, Kalamazoo, Mich) is used, depending on the size of the patient, the size of the lesion, and the age of the patient. This technique is believed to work either by an antiprostaglandin effect or by decreasing the pressure of the cyst. If the lesion does not show radiographic signs of healing in 2 months, repeat injections should be considered. More than 90% of patients can be treated successfully in this manner" - это из Canale & Beaty: Campbell's Operative Orthopaedics, 11th ed.
|
[
Ответить ]
|
Re: Как правильно поступить со стопой
Отправитель: Данила Курышев 27 Июль 2017, 04:21
|
Максим, спасибо за совет. Но это просто про кисту. Конечно, мы её вылечим стероидами. Но, пока это случится, шейка тарана окончательно раствориться и сплющенная головка установится ещё выше ладьевидной коси и блока тарана. У девочки, подчеркну, и так уже болит при стоянии и ходьбе.Есть артроз смежных суставов. Проблема не в способе лечения кисты, а в способе стабилизации стопы и оптимальной стратегии на ближайшие 5 лет. Наша задача - стабилизировать свод и опорную функцию стопы. Дать возможность ходить человеку с более ранней нагрузкой и использовать стопу как стопу. На наш взгляд, артродезы, аутопластика и стабильный остеосинтез неизбежны.
|
[
Ответить ]
|
Re: Как правильно поступить со стопой
Отправитель: Maxim Agalakov 27 Июль 2017, 09:16
|
дак вы попробуйте проверенные методы, может и дальнейшие способы не потребуются
|
[
Ответить ]
|
|
( Ответить )
|
|