AOTRAUMA.ORG Центр Илизарова  

Ортопедия и травматология Общие вопросы/General questions Help Информационные технологии в медицине
 вверх
 отправить
 поиск
 админ
 главная


Несращение бедра
Ортопедия и травматология Отправлено Иван Горелов 02 Сентябрь 2017, 15:42
Коллеги, доброго времени суток! Хочу предложить Вам для обсуждения интересный случай из практики:
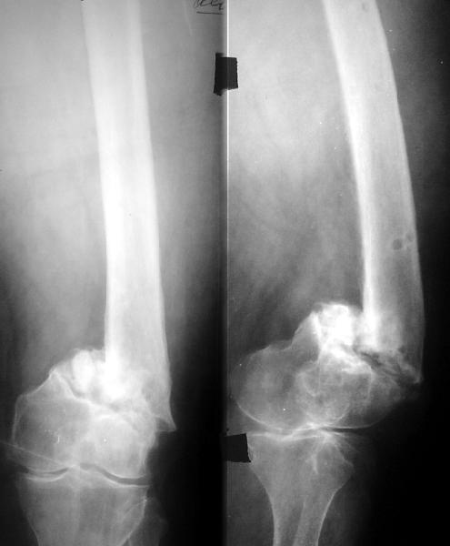
Пациентка 72 года поступила в клинику с диагнозом несросшийся в условиях остеосинтеза перелом н/3 правой бедренной кости, перелом фиксатора ( в анамнезе 3 неудачные операции на бедре по поводу вышеуказанного диагноза). Интересует Ваше мнение по поводу тактики лечения пациентки.

<  |  >

 

  • Сообщения о Ортопедия и травматология
  • Также Иван Горелов
  • Связаться с автором
  • Ответить

    Re: Несращение бедра
    Геворг Гулулян 02 Сентябрь 2017, 15:53
    Я думаю, тут надо уже задуматься по поводу протеза коленного сустава, ревизионного (связанного с ножками).
    P.s. ножка в бедро должна быть удлиненная, чтоб играла роль штифта.
    [ Ответить ]

    Re: Несращение бедра
    Сергей Белый 02 Сентябрь 2017, 15:56
    Можно аппарат попробовать
    [ Ответить ]

    • Re: Несращение бедра
      Отправитель: Ден Затона 02 Сентябрь 2017, 15:57
      Думаю, аппарат на такой остеопении не вариант.

      [ Ответить ]
    Re: Несращение бедра
    Roman Dendymarchenko 02 Сентябрь 2017, 15:57
    Иван Валентиныч, дорогой, мне кажется, тут можно и нужно убрать гвоздь, открыв перелом. Сделать декортикацию, вскрыть запаянный канал, рассверлить где нибудь до 12-13 диаметра. Ставить ретроградный полиаксиальный гвоздь. Или смитовский, там хорошие толстые винты, или Stryker, там, если память не изменяет, с угловой стабильностью. Протез первично - против
    [ Ответить ]

    Re: Несращение бедра
    Алексей Кустов 02 Сентябрь 2017, 15:58
    Как человеку любознательному, хотелось бы посмотреть первичный снимок. Может оттуда все проблемы?
    [ Ответить ]

    • Re: Несращение бедра
      Отправитель: Иван Горелов 02 Сентябрь 2017, 15:59
      Алексей, здравствуйте! Пациентка поступила в отделение с этими снимками, в ближайшее время постараюсь опубликовать предыдущие снимки

      [ Ответить ]
      • Re: Несращение бедра
        Отправитель: Алексей Кустов 02 Сентябрь 2017, 16:00
        Это было бы интересно всем участникам консилиума.

        [ Ответить ]
    Re: Несращение бедра
    Артур Саакян 02 Сентябрь 2017, 16:00
    .. где ты нашел это?)))
    [ Ответить ]

    • Re: Несращение бедра
      Отправитель: Иван Горелов 02 Сентябрь 2017, 16:01
      Артур Абелович, не поверишь, последний год только такие случаи, острой травмы почти нет

      [ Ответить ]
    Re: Несращение бедра
    Артур Саакян 02 Сентябрь 2017, 16:02
    1.ходит она или нет?
    2. Если ходит, единственный выход, по моему , чтоб и дальше ходила типа онкологический эндопротез. При этом можно конечно помучаться самому и пациентке тоже с попытками остеосинтеза. Только если с трансплантатом, имея ввиду укорочение и т д. Поэтому я за замену
    [ Ответить ]

    Re: Несращение бедра
    Григорий Карапетян 02 Сентябрь 2017, 16:26

    Зачастую после удаления Штифта мы ставим подобную пластину. А протез можно и после сращения поставить.

    [ Ответить ]

    • Re: Несращение бедра
      Отправитель: Артур Саакян 02 Сентябрь 2017, 16:27
      Сращение, похоже, вряд ли уже будет. Это уже не первая операция у пациентки.

      [ Ответить ]
      • Re: Несращение бедра
        Отправитель: Иван Горелов 02 Сентябрь 2017, 16:28
        Григорий, приветствую! Пластина уже была, сломалась как штифт

        [ Ответить ]
        • Re: Несращение бедра
          Отправитель: Григорий Карапетян 02 Сентябрь 2017, 16:43
          Привет, Иван. Если сомневаешься по поводу пластины, то аппарат, prp коллапан))

          [ Ответить ]
        • Re: Несращение бедра
          Отправитель: Андрей Волна 02 Сентябрь 2017, 16:44
          Сам факт того, что что-то уже сломалось, не говорит о том, что это нельзя сделать снова. Вполне возможно, были дефекты и в качестве операции, как таковой, и в качестве конструкции.

          [ Ответить ]
    • Re: Несращение бедра
      Отправитель: Геворг Гулулян 02 Сентябрь 2017, 16:51
      Гриш, ты прав... однако на твоем снимке нету жуткого артроза, как в данном случае.

      [ Ответить ]
      • Re: Несращение бедра
        Отправитель: Григорий Карапетян 02 Сентябрь 2017, 17:08
        Геворг, я пластину на снимке показал, тут вообще корригирующая была))

        [ Ответить ]
    • Re: Несращение бедра
      Отправитель: Александр 03 Сентябрь 2017, 10:56
      Выглядит красиво. Скажите, а пластина для левого бедра специально на применена на правой ноге?

      [ Ответить ]
    Re: Несращение бедра
    Андрей Волна 02 Сентябрь 2017, 17:21
    После удаления гвоздя я бы сделал костную пластику (декортикации будет маловато) и пластину, как выше показал Григорий. В Вашем случае я бы взял пластину на 2-3 отверстия длиннее и на проксимальный ее части оставил бы свободными пару отверстий, если считать от перелома.
    На самом деле случай интересен тем, что нужно постараться подобрать оптимальный баланс, ведь перелом на фоне остеопороза требует относительной стабильности, а ложный сустав - абсолютной. Хороший случай.
    Попытка же выполнить эндопротезирование здесь чревата целым сонмом осложнений. Поэтому, мне кажется, сначала лечим перелом, а уж потом разговариваем с пациентом об этой перспективе.
    UPD. И да, дистальный конец гвоздя можно и не удалять. Винты только.
    [ Ответить ]

    Re: Несращение бедра
    Roman Dendymarchenko 02 Сентябрь 2017, 17:22
    Пластина - хороший вариант. Может, даже double plating будет здесь в самый раз
    [ Ответить ]

    • Re: Несращение бедра
      Отправитель: Григорий Карапетян 02 Сентябрь 2017, 17:23
      Иван, и ещё один плюс делать в два этапа: можно спокойно идти на укорочение, затем после сращения и удаления пластины на протезе за счёт вкладыша нивелируешь укорочения

      [ Ответить ]
    Re: Несращение бедра
    Артур Саакян 02 Сентябрь 2017, 17:24
    При всем уважении, это тот случай, когда надо лечить больного а не снимки. Попытки срастить перелом после стольких вмешательств, в таком возрасте, учитывая остеопороз и артроз, могут привести к серьезным потерям качества жизни пациентки, и потере времени. Я могу ошибаться, но может имеет смысл узнать сопутствующий фон, почему не срастается, где проблема? Не думаю, что проблема в неправильных операциях до этого
    [ Ответить ]

    • Re: Несращение бедра
      Отправитель: Андрей Волна 02 Сентябрь 2017, 17:24
      При всём уважении мы всегда лечим больного, а не снимки. Как я понял, задача, поставленная Иваном - это порассуждать о методах внутренней фиксации при прочих равных условиях. А о качестве ранее проведённых вмешательств... Скажу только, что качественные штифты вот просто так не ломаются.

      [ Ответить ]
      • Re: Несращение бедра
        Отправитель: Иван Горелов 02 Сентябрь 2017, 17:25
        Штифт фирмы Зиммер, вполне качественная конструкция

        [ Ответить ]
      • Re: Несращение бедра
        Отправитель: Коваленко А.Н. 04 Сентябрь 2017, 16:34
        ))) Улыбнул обмен репликами про "качественные штифты".

        [ Ответить ]
    Re: Несращение бедра
    Hovakim Aleqsanyan 02 Сентябрь 2017, 17:29
    А сама пациентка адекватна???
    [ Ответить ]

    • Re: Несращение бедра
      Отправитель: Иван Горелов 02 Сентябрь 2017, 17:29
      По-моему, вполне

      [ Ответить ]
      • Re: Несращение бедра
        Отправитель: Konstantin Kuzmenkov 02 Сентябрь 2017, 17:30
        Вань, как я понял движений в коленном суставе нет?

        [ Ответить ]
        • Re: Несращение бедра
          Отправитель: Иван Горелов 02 Сентябрь 2017, 17:30
          Трудно проверить из-за патологической подвижности

          [ Ответить ]
    Re: Несращение бедра
    Андрей Степанов 02 Сентябрь 2017, 17:36
    Привет Иван!!! С уважением к мнениям высказавшихся. В этом возрасте и с анамнезом намучившегося пациента, мне кажется, ревизионный протез одномоментно с удалением. Конечно со всеми продуманными предосторожностями.
    [ Ответить ]

    Re: Несращение бедра
    Alexander Chelnokov 02 Сентябрь 2017, 19:42
    Здесь вполне можно не вмешиваться открыто. Сделать fixator-assisted nailing. Все закрыто убрать. Хорошо восстановить ось. Через медуллярный канал ручными развертками освежить концы отломков. И заштифтовать. Раз уже был ретроградный стержень - то ретроградно. Я бы взял большеберцовый гвоздь, чтобы ввести винты в разных плоскостях. Ну и гвоздь потолще, и винты 6 мм.




    Вот давний пример похожего ложного сустава после неоднократных остеосинтезов.
    [ Ответить ]

    • Re: Несращение бедра
      Отправитель: Иван Горелов 02 Сентябрь 2017, 19:42
      Александр здравствуйте! Вы представили очень интересный случай, отличный рентгенологический и функциональный результат. Меня смущает только достаточно выраженный гонартроз, как в случае с Вашей пациенткой так и с моей.

      [ Ответить ]
      • Re: Несращение бедра
        Отправитель: Alexander Chelnokov 02 Сентябрь 2017, 19:43
        Функциональный результат не очень, у пациентки перед нашим остеосинтезом уже не было движений в колене. По крайней мере, в ближайшие годы она была счастлива, что у нее нога опорная стала, и не надо ни костыли, ни ортез, ни компенсацию длины

        [ Ответить ]
        • Re: Несращение бедра
          Отправитель: Иван Горелов 02 Сентябрь 2017, 19:44
          Как Вы считаете, имеет ли смысл выполнить эндопротезирование коленного сустава?

          [ Ответить ]
          • Re: Несращение бедра
            Отправитель: Alexander Chelnokov 02 Сентябрь 2017, 19:44
            Это про какого пациента вопрос?

            [ Ответить ]
            • Re: Несращение бедра
              Отправитель: Иван Горелов 02 Сентябрь 2017, 19:45
              Про моего и про Вашего, случаи похожие

              [ Ответить ]
              • Re: Несращение бедра
                Отправитель: Alexander Chelnokov 02 Сентябрь 2017, 19:46
                Нашу эту тетушку проследили до лет двух, и уже много лет, как она ушла из-под наблюдения, не знаю ее дальнейшей судьбы.
                А про представленного пациента... Если бы Вы были во всех отношениях готовы сразу делать здесь онкологический протез, то вряд ли бы Вы чего-то спрашивали. Сделать сначала остеосинтез, добиться сращения, а потом порешать по протезированию - более надежная синица в руках.

                [ Ответить ]
                • Re: Несращение бедра
                  Отправитель: Иван Горелов 02 Сентябрь 2017, 19:47
                  Если честно, мне ближе вариант протезирования коленного сустава онкологическим протезом, мне кажется, этот вариант решит проблему перелома и артроза коленного сустава.

                  [ Ответить ]
                  • Re: Несращение бедра
                    Отправитель: Alexander Chelnokov 02 Сентябрь 2017, 19:47
                    Да кто ж не дает? Это вполне легальный вариант. Если нужные навыки и техническое обеспечение есть - что заставляет сомневаться?

                    [ Ответить ]
                    • Re: Несращение бедра
                      Отправитель: Иван Горелов 02 Сентябрь 2017, 19:48
                      Согласитесь случай необычный, хочется услышать мнение коллег.

                      [ Ответить ]
                      • Re: Несращение бедра
                        Отправитель: Alexander Chelnokov 02 Сентябрь 2017, 19:49
                        Я Вас уверяю, не так много у коллег опыта эндопротезирования при несращениях внесуставных переломов бедра.

                        [ Ответить ]
                        • Re: Несращение бедра
                          Отправитель: Иван Горелов 02 Сентябрь 2017, 19:50
                          Спасибо🙂, будем подбирать оптимальный вариант для пациентки, благо в средствах она не ограничена.

                          [ Ответить ]
                          • Re: Несращение бедра
                            Отправитель: Alexander Chelnokov 02 Сентябрь 2017, 19:57
                            Еще раз смотрю на снимки - здесь практически диафизарный псевдатртроз. На вид не самый бесперспективный. Онкологический протез тут - из пушки по воробьям. Можно даже сделать остеосинтез, и в эту же сессию, или с отсрочкой, не дожидаясь сращения - стандартное эндопротезирование.

                            [ Ответить ]
    Re: Несращение бедра
    Антон Новиков 03 Сентябрь 2017, 00:45
    Мне кажется, удаление металлоконструкций, резекция ложного сустава с декортикацией, остеоперфорацией и реостеосинтез дистальной бедренной пластиной или DCS. Как предложил д-о Григорий Карапетян. Можно попробовать дистальный гвоздь. Но только со спиральным клинком, толстый с разсверливанием
    С другой стороны зачем гвоздь, если всё равно раскрываться для резекции?
    [ Ответить ]

    Re: Несращение бедра
    Виталий Загородний 03 Сентябрь 2017, 00:50
    Дистально-латеральная LCP пластина + костной пластика сделают своё дело.
    [ Ответить ]

    Re: Несращение бедра
    Дмитрий Снетков 03 Сентябрь 2017, 00:59

    Закончили полемику, пациентка активизирована
    [ Ответить ]

    • Re: Несращение бедра
      Отправитель: KV 03 Сентябрь 2017, 05:18
      А если нагноится - останется только всю ногу убирать. На фоне стольких операций - заживление будет сомнительное. Были разумные предложения - срастить с костной пластикой и дальше смотреть - нужен ли ей функционирующий протез или опорной ноги более чем достаточно.
      Плохо когда у пациента есть возможности дорого лечиться.

      [ Ответить ]
    Re: Несращение бедра
    Иван 03 Сентябрь 2017, 15:25
    Уважаемые коллеги! Благодарю Вас за интересную дискуссию. При обсуждении клинического случая на консилиуме я предлагал выполнить ревизионный остеосинтез бедренной кости ретроградным мыщелковым штифтом т2 Страйкер с использованием болтов стяжек, однако во время полемики, которая была очень жаркой и длилась не один день я не смог ответить на вопрос коллеги: Как быть с гонартрозом, как будет функционировать сустав после очередного остеосинтеза. Поскольку контраргументов у меня не было я вынужден был согласиться с коллегами из отделения, которые предлагали протезирование с замещением дефекта.Мне было очень интересно услышать Ваше мнение о перспективе остеосинтеза в этом случае. Теперь я вижу что остеосинтез в подобных случаях возможен и результаты операций достаточно хорошие, проблему артроза можно решить ортопедическим протезированием вторым этапом.
    Коллеги спасибо!
    [ Ответить ]

    Re: Несращение бедра
    Ушаков Сергей 03 Сентябрь 2017, 23:52
    Добрый день, коллеги! Полемика только началась. пациентка активизирована, это как: укладывается на судно при посторонней помощи, сидит в постели, ходит с ходунками или полнопрофильными костылями, либо без дополнительных средств опоры (фото, видео!). Рентгенологические картинки деликатно публиковать отсроченного периода (наши зарубежные коллеги результаты выживания протеза, как конструктивные, так и, обусловленные человеческим фактором, отсчитывают от рубежа - 10 лет), поэтому фото с дренажами "не более чем игра мускулами" и демонстрация финансовых возможностей клиники.
    Исходя из представленных рентгенограмм, соглашусь с А.Волна допущены ошибки при выполнении остеосинтеза, и даже "зарекомендовашие себя конструкции" не выдерживают. Организм несмотря на остеопороз боролся: остеофиты и экзострозы, замкнутый КМК- косноминеральной массы в зоне перелома достаточно, амниотическая перетяжка в виде серкляжной проволоки - ??? канает в проксимальном отделе бедра, на данном уровне никогда, открытая реконструкция - нарушение биологии и кровоснабжения, попытка интрамедуллярного остеосинтеза в условиях ложного сустава - не корректное позиционирования фиксатора(попытка блокировать винты в кортикальной кости свели все усилия на нет: нагрузку нес проксимальный винт, по нему и сломалось, два нижних были интактны, если конструкцию блокировать дистальнее, пусть и в порозной кости, винты бы прорезались но равномерно. А в зоне ложного сустава была бы компрессия, которая обеспечила сращение перелома. Не соглашусь с Александром Николаевичем, что закрыто нужно делать: извлекать интрамедуллярные конструкции весьма не легко (лукавство), учитывая возраст пациента.

    Ретроградный остеосинтез в данном случае наиболее предпочтителен, декортикация -да, костная пластика -?, возможно достаточно рассверливания.
    Протез, тем более онкологический (с массивным костным дефектом) -?. Возрастной пациент: тонус мышц снижен, артроз -можно с таким еще жить, контрактура, полное заживление раны - покажет истинный объем движений (как показывает практика, открытые вмешательства на дистальном отделе бедра, заканчиваются разгибательной контрактурой).
    PS. Русские долго запрягают, но быстро едут. Потом долго чешут репу, что же у телеги колесо отвалилось. первые упоминания об интрамедуллярном остеосинтезе с блокированием, равно как и об эндопротезирование мною увидены в книге Литтмана 1982, этот альбом оперативной хирургии издавался 10 лет. Мы штифтуем с 2004, протезируем с 1996.
    Проблема поднята актуально, за последние 2 года, через отделение проходит все больше и больше пациентов с перипротезными и перимплантными переломами - это головная БОЛЬ! но и их будет все больше и больше. Поэтому необходимо достигнуть консенсуса между "хирургами реконструкции" (первый этап) и "протезистами" этап отсроченный. Протезировать целое - проще (есть навигаторы для искривленных конечностей).
    Что касаемо нас: ниточка натянута с Курганом, есть интересный совместный опыт с Каминским АВ, Камшиловым БВ и Ждановым АВ.

    С уважением Ушаков СА
    [ Ответить ]


    ( Ответить )

    Powered by Zope  Squishdot Powered MedLink
    Посетитель: 0000040
      "По форме правильно, а по существу - издевательство" В.И.Ленин
    ©2001-2019Orthoforum Coordinator.
    [ Главная | Отправить сообщение | Поиск | Админ ]