AOTRAUMA.ORG Центр Илизарова  

Ортопедия и травматология Общие вопросы/General questions Help Информационные технологии в медицине
 вверх
 отправить
 поиск
 админ
 главная


Интересный случай ложного сустава голени
Ортопедия и травматология Отправлено Алишер 12 Ноябрь 2017, 18:24 ГКБ № 1 г. Худжанд.
Доброго времени суток уважаемые коллеги. Прошу помощи по тактике лечения молодой пациентки с ложным суставом большеберцовой кости.
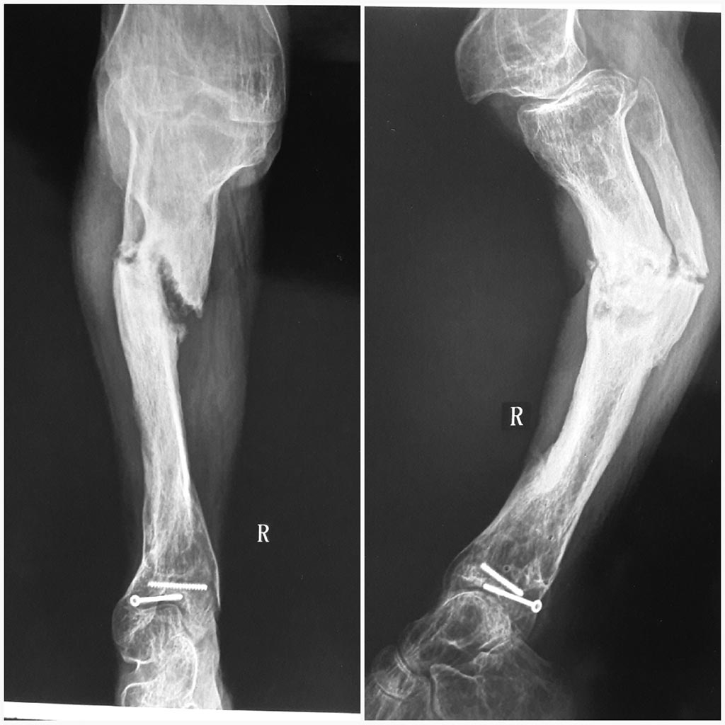
Больная 27 лет. В детстве перенесла острый гематогенный остеомиелит правой голени. Впоследствии образовался пателло-феморальный синостоз и отставание в развитии костей голени, варусная деформация голеностопного сустава за счет развития м/б кости. Укорочение голени было на 14 см.

В конце 2014 года в нашем отделении поэтапно произведено: корригирующая надлодыжечная остеотомия, фиксация накостной пластиной. Далее через 7 мес. удаление фиксатора, кортикотомия верхней трети большеберцовой кости с наложением аппарата Илизарова, постепенная дистракция аппаратом до 7см.
Дистракцию остановили в связи с появлением болевого синдрома. Держали в аппарате 3 мес. после приостановки дистракции.
По настоянию пациентки и родителей (девушку выдавали замуж) аппарат снят, наложен гипсовый сапог с каблуком. После этого пациентка исчезла из поля нашего зрения (живёт в отдаленном районе). Гипсовая повязка снята в поликлинике по месту жительства (на какой срок – не известно).
Недавно больная объявилась с жалобами на боли в области голени. При осмотре выраженное укорочение правой голени, деформация по типу рекурвации в в/3 голени, эквинусная деформация стопы (компенсаторная). Движения в коленном суставе - разгибание полное, сгибание 20º. На р-грамме ложный сустав в/3 большеберцовой кости с рекурвацией, пателло-феморальный синостоз.

В плане лечения мнения разделились. Планируем произвести резекцию ложного сустава, вскрытие костно-мозгового канала с наложением аппарата Илизарова, постепенное исправление деформации, выведение стопы в правильное положение. Далее желаем произвести БИОС большеберцовой кости.

Смущает синостоз надколенника и разгибательная установка коленного сустава. Как быть в таких случаях? Можно ли сбить надколенник с бедренной кости, поперечно распилить, произвести БИОС из этого доступа, а затем синтезировать надколенник по Веберу. Какие будут мысли на этот счет? Буду признателен любому мнению. Надеюсь на помощь сообщества.

С уважением Алишер Дадабаев, рес. Таджикистан, Согдийская обл-ть.

<  |  >

 

  • Сообщения о Ортопедия и травматология
  • Также Алишер
  • Связаться с автором
  • Ответить

    Re: Интересный случай ложного сустава голени
    Виталий Р 15 Ноябрь 2017, 19:03
    Впечатляет... Я за штифт от с/3 бедра до н/3 голени.
    [ Ответить ]

    Re: Интересный случай ложного сустава голени
    Виталий Р 15 Ноябрь 2017, 19:05
    Впечатляет... Я за штифт от с/3 бедра до н/3 голени.
    [ Ответить ]

    Re: Интересный случай ложного сустава голени
    anatol 15 Ноябрь 2017, 23:09
    Прежде всего надо восстановить опороспособность конечности путём коррекции в аппарате Илизаров, возможно потребуется остеотомия из минидоступа. Одновременно попытаться вывести стопу из эквинуса, при невозможности, Выполнить артродез голеностопного сустава. При восстановлении оси и нагрузке в аппарате возможно не потребуется применение интрамедуллярного остеосинтеза. Вопрос в отношении коленного сустава отложить до консолидации в зоне остеотомии. Пациентка должна быть настроена на длительное лечение и предупреждена о возможности неблагоприятного развития лечебного процесса
    [ Ответить ]


    ( Ответить )

    Powered by Zope  Squishdot Powered MedLink
    Посетитель: 0000047
      "По форме правильно, а по существу - издевательство" В.И.Ленин
    ©2001-2019Orthoforum Coordinator.
    [ Главная | Отправить сообщение | Поиск | Админ ]