вверх
отправить
поиск
админ
главная
|
повреждение таза с необычным смещением |
 |
 |
 |
Отправлено Maxim Agalakov 08 Июль 2018, 23:40
Женщина,21, социальна, без вредных превычек, сбита авто. Кожа не повреждена. Других повреждений нет. Гемодинамически стабильна. травме 2 сут. Планируем спереди открыто через Stoppa, далее сзади крестец и ость закрыто (крестец может через обе массы?). Интересует мнение по альтернативным вариантам и по предложенному (tricks and shots). Заранее благодарен.PS Только часть скринов с body scan, один с контрастированием пузыря.
<
|
>
|
|
Ответить
|
Re: повреждение таза с необычным смещением
Maxim Agalakov 11 Июль 2018, 14:21
|

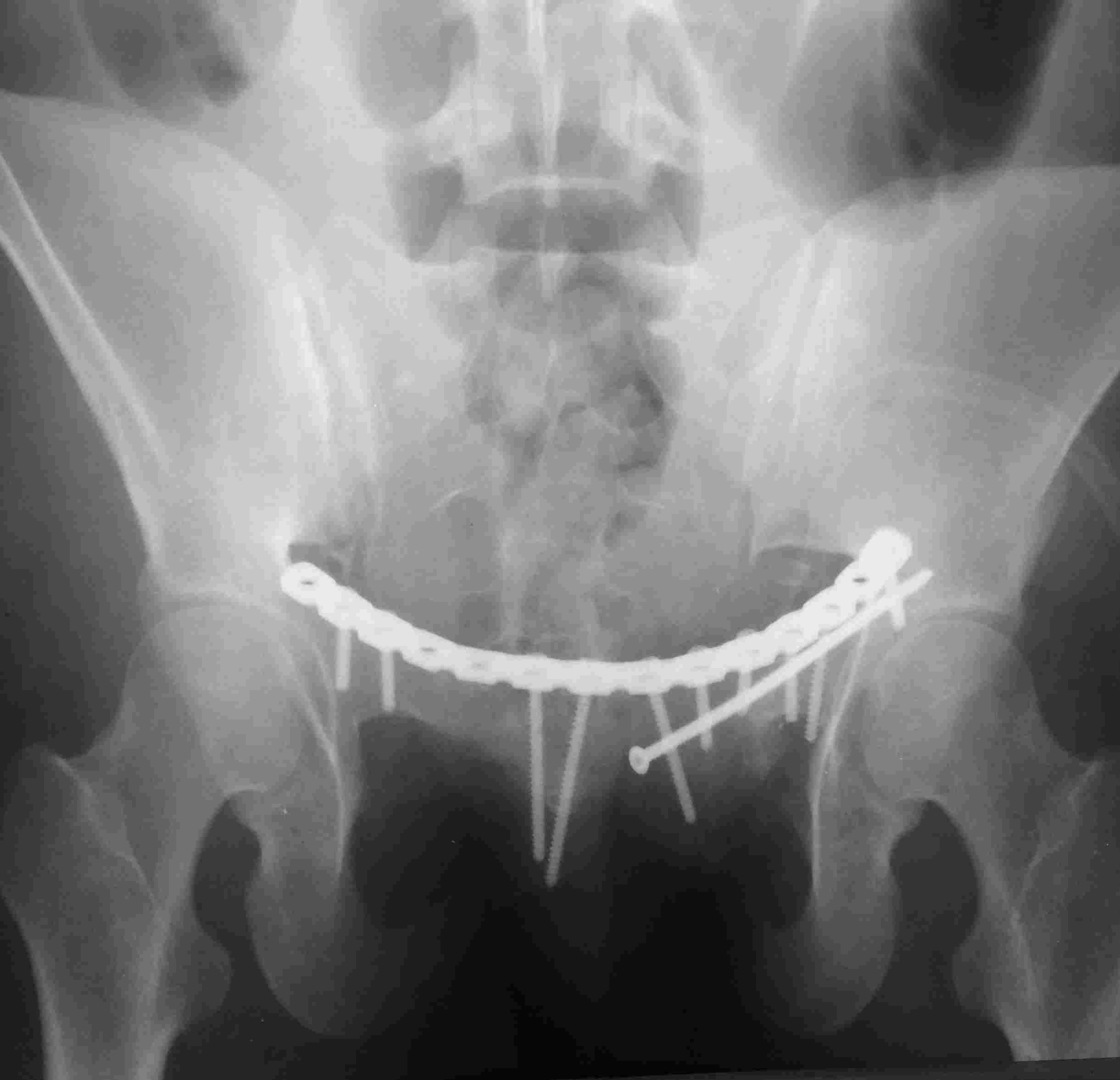
Постоп. Верхняя ветвь возле шейки мочевого пузыря, нижняя так же где-то глубоко в мышцах, ротирована. Обе практически лишены кровоснабжения. лонное сочленение фактически свободно лежащее, справа почти целое, но ветви сломаны возле него. Слева часть лонного сочленения цела на 2/3. интраоперационно подвижность правой половины таза. Постоп все стабильно, но все же планирую дополнительно провести IS винт справа.
|
[
Ответить ]
|
Re: повреждение таза с необычным смещением
Отправитель: Maxim Agalakov 11 Июль 2018, 14:25
|
PS Нижнюю ветку нормально зафиксировать не получалось зафиксировать, уложил ее в виде чипсов туда, где она примерно была и вдоль верхней ветви слева
|
[
Ответить ]
|
|
Re: повреждение таза с необычным смещением
Maxim Agalakov 12 Июль 2018, 13:04
|
ЕЫЕ ОПЕДНО
|
[
Ответить ]
|
( Ответить )
|
|