Ответить
|
Re: Перелом бедра, девочка 11 лет
Жамшид Баратов 23 Ноябрь 2020, 23:32
|
3 недели ССВ потом гипс т/б
|
[
Ответить ]
|
Re: Перелом бедра, девочка 11 лет
Андрей Остапченко 23 Ноябрь 2020, 23:33
|
Блокируемый нтрамедуллярный гвоздь.
|
[
Ответить ]
|
Re: Перелом бедра, девочка 11 лет
Отправитель: Андрей Остапченко 23 Ноябрь 2020, 23:36
|
Жамшид, 11 лет, интрамедулярный блокированный гвоздь. Переведете в динамический режим, удалив блокирующие винты, после формирования какой-никакой мозоли, но восстановите длину, ось и ротацию. Нет гвоздика? Ну, тогда скелетное и спика. Но в детских стационарах не слышал о дефиците имплантатов.
|
[
Ответить ]
|
Re: Перелом бедра, девочка 11 лет
Отправитель: Жамшид Баратов 23 Ноябрь 2020, 23:58
|
я постоянно лечу такой больных консервативный методом. Слава Богу, все без осложнений
|
[
Ответить ]
|
Re: Перелом бедра, девочка 11 лет
Отправитель: Андрей Остапченко 23 Ноябрь 2020, 23:59
|
Жамшид, дети редко дают серьёзные осложнения в виде ТЭЛА, тромбозов, непроходимости и гипостатических пневмоний.... но, скелетное вытяжение в детстве? Спика? Вы забираете месяцы детства у ребёнка не обратимо и... без осложнений, в 21 веке так же как пару столетий назад наши учителя. Разве это правильно? Как думаете?
|
[
Ответить ]
|
Re: Перелом бедра, девочка 11 лет
Отправитель: Жамшид Баратов 24 Ноябрь 2020, 00:08
|
я постоянно против был оперативного лечения бедра у детей даже эластическими гвоздями. у нас много делают в таких случаях. 2 раз опер. для детей это психологические травма.
|
[
Ответить ]
|
Re: Перелом бедра, девочка 11 лет
Отправитель: Андрей Остапченко 23 Ноябрь 2020, 23:53
|
Александр, лучше - без проведения в шейку. Такие есть. В Орле в прошлом году коллеги Кюнчера времён войны ребёнку при диафизарном забили большего размера, чем было надо: срослось за 3 месяца по данным КТ + подросла и уже не так «торчит» )) Хромоты нет. Жалобы только на рубчик. Ножки одной длины, ротация верная.
|
[
Ответить ]
|
Re: Перелом бедра, девочка 11 лет
Отправитель: Рамиль Абузаров 23 Ноябрь 2020, 23:56
|
Trochanteric entry nail ?!
|
[
Ответить ]
|
|
Re: Перелом бедра, девочка 11 лет
Александр Рассоха 23 Ноябрь 2020, 23:38
|
Интрамедулярный остеосинтез вашими руками. (закрыто). Бедренный стержень без шеечного винта то,что нужно.
|
[
Ответить ]
|
Re: Перелом бедра, девочка 11 лет
Леван Чикватия 24 Ноябрь 2020, 00:10
|
TEN intramedullary nail, s shapichkoi dlia vertikalnou fiksacii! Pri provedenii budte ostorijni chtob proximalni fragment ne raskrilsia!
|
[
Ответить ]
|
Re: Перелом бедра, девочка 11 лет
Отправитель: Леван Чикватия 24 Ноябрь 2020, 00:15
|
Esli net opita i est vozmojnost otdaite pediatric groupe!!!
|
[
Ответить ]
|
|
Re: Перелом бедра, девочка 11 лет
Олег Шепета 24 Ноябрь 2020, 00:19
|
Если ребенок весит меньше 50 кг - то ретроградно 2 4-5 мм esin. В другом случае antegrade rigid intramedullary nail
|
[
Ответить ]
|
Re: Перелом бедра, девочка 11 лет
Отправитель: Ильдар Ахтямов 01 Декабрь 2020, 12:32
|
Если есть возможность, то лучше обойтись без ретроградного введения. Пожалейте суставы детей. Печально,но «взрослые травматологи» не задумываются о последствиях внутрисуставных вмешательств в детском возрасте.
|
[
Ответить ]
|
Re: Перелом бедра, девочка 11 лет
Отправитель: Alexander Chelnokov 01 Декабрь 2020, 12:53
|

Многие "взрослые травматологи" занятия по детской травме не прогуливали :-)
и поэтому в курсе, как ретроградно - но внесуставно - у детей бедро синтезируют эластичными стержнями.
|
[
Ответить ]
|
Re: Перелом бедра, девочка 11 лет
Отправитель: sead 19 Декабрь 2020, 08:45
|
блокируя гвоздь через зону роста, Вы походя и между делом обеспечили ребенку проксимальный эпифиодез бедра. простой подсчет: ей одиннадцать, девочки растут до 14, проксимальный эпифиз обеспечивает 3 мм роста в год, то есть вы потенциально укоротили ногу на 6-9 мм. Зачем?
|
[
Ответить ]
|
|
Re: Перелом бедра, девочка 11 лет
Рустам Иминахунов 24 Ноябрь 2020, 00:20
|
Эластичные титановые спицы. Закрыто.
|
[
Ответить ]
|
Re: Перелом бедра, девочка 11 лет
Отправитель: Paul 30 Ноябрь 2020, 10:34
|
Полностью согласен! Либо эластичные стержни Эндера, либо вытяжение.
|
[
Ответить ]
|
|
Re: Перелом бедра, девочка 11 лет
Nazih Alkstawi 24 Ноябрь 2020, 00:21
|
Может быть гамма?! Есть наверно детские у сметов !!!
|
[
Ответить ]
|
Re: Перелом бедра, девочка 11 лет
Сергей Хмызов 24 Ноябрь 2020, 00:22
|
Здравствуйте
ExFix for pediatric
Monolateral
Управляемый
Experience- 25 years
Будет интерес - пишите )
|
[
Ответить ]
|
Re: Перелом бедра, девочка 11 лет
Haim Shtarker 24 Ноябрь 2020, 00:23
|
Из-за того, что перелом проксимальный и оскольчатый, фиксация Нанси не будет достаточно стабильна. Можно наложить монолатеральный Ортофикс. Позволит быструю мобилизацию и даст сращение в желаемой позиции.
|
[
Ответить ]
|
Re: Перелом бедра, девочка 11 лет
Отправитель: Сергей Хмызов 24 Ноябрь 2020, 00:33
|
Ортофикс практически неуправляем )
Мы сделали свой именно с учетом этих факторов
|
[
Ответить ]
|
Re: Перелом бедра, девочка 11 лет
Отправитель: Александр Варакин 24 Ноябрь 2020, 00:34
|
У Synthes был ALFN (adolescent lateral femoral nail). Да, зоны роста, но там специально уменьшен диаметр шрифта в зоне крепления с рукояткой.
Ну или MEFISTO. Коллеги выше упоминали монолатеральную exfix.
|
[
Ответить ]
|
|
Re: Перелом бедра, девочка 11 лет
Oleksii Goregliad 24 Ноябрь 2020, 00:25
|
Я за IMN. Прямой, тот что с fossa piriformis заводится. С обычным блокированием.
|
[
Ответить ]
|
Re: Перелом бедра, девочка 11 лет
Alexander Semenisty 24 Ноябрь 2020, 00:27
|
1. Гвоздь с латеральной точкой доступа (https://www.orthopediatrics.com/op_site/product-detail/pedinail
что-то типа того). По-моему они есть и в Израиле
2. Пластина(submuscular bridge plate)
|
[
Ответить ]
|
Re: Перелом бедра, девочка 11 лет
Сергей Тарасов 25 Ноябрь 2020, 16:27
|
Мы бы тоже выбрали блокированный гвоздь. Мучение ходить с аппаратом - ещё то, не говоря уже о скелетном вытяжении и гипсе. ESIN не даст хорошей стабильности.
Гвоздь желательно с минимальной толщиной проксимальной части. Мы используем уже лет 10 Остеомедовские UFNc, 8-9 мм. А до того, как появился этот набор - синтезировали открыто обычными кюнчеровскими практически с 10-летнего возраста. Никаких страшных последствий, вроде варусной шейки или асептического некроза не наблюдали
|
[
Ответить ]
|
Re: Перелом бедра, девочка 11 лет
Alexander Chelnokov 27 Ноябрь 2020, 02:58
|
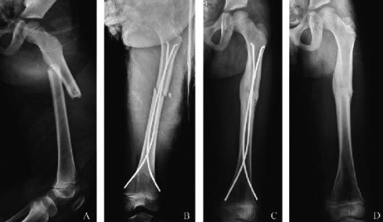
Вот, что получилось.
|
[
Ответить ]
|
Re: Перелом бедра, девочка 11 лет
Отправитель: Андрей Остапченко 27 Ноябрь 2020, 03:00
|
Александр, Почему в шейку и головку? почему не в направлении малого вертела привели блокирующий винт? Это оригинальный винт или...?
|
[
Ответить ]
|
Re: Перелом бедра, девочка 11 лет
Отправитель: Alexander Chelnokov 27 Ноябрь 2020, 03:03
|
почему бы и не в шейку... Если есть такая дырочка и в гвозде, и в направителе. В physis винт не проникает.
Винт, конечно, из набора.
|
[
Ответить ]
|
Re: Перелом бедра, девочка 11 лет
Отправитель: Сергей Бидула 27 Ноябрь 2020, 03:07
|
Винт, который проходит перпендикулярно зоне роста проблем не вызывает. Таким образом делается эпифизиодез при юношеских эпифизиолизах и в перспективе на рост кости не влияет. Поэтому производитель не зря придумал шеечный винт в данном стержне
|
[
Ответить ]
|
Re: Перелом бедра, девочка 11 лет
Отправитель: Alexander Chelnokov 27 Ноябрь 2020, 03:09
|
Эпифизиодеза у нас в планах не было, поэтому винтик не до суставной поверхности. В общем, если железка не проходит через зону роста, то и беспокоиться особо не о чем, правильно?
|
[
Ответить ]
|
Re: Перелом бедра, девочка 11 лет
Отправитель: Сергей Бидула 27 Ноябрь 2020, 03:13
|
На прямой проэкции видно, что винт проходит физиодезный мостик. Даже если был бы длиннее, тоже не критично.
|
[
Ответить ]
|
Re: Перелом бедра, девочка 11 лет
Отправитель: Сергей Бидула 27 Ноябрь 2020, 03:16
|
Хорошая работа
|
[
Ответить ]
|
Re: Перелом бедра, девочка 11 лет
Отправитель: Konstantyn Nazarenkov 27 Ноябрь 2020, 03:04
|
Супер, гвоздь с латеральный точкой доступа! Кто производитель?
|
[
Ответить ]
|
Re: Перелом бедра, девочка 11 лет
Отправитель: Сергей Хмызов 27 Ноябрь 2020, 22:03
|
Вопрос- насколько «заглушка» прижимает шеечный винт?
|
[
Ответить ]
|
Re: Перелом бедра, девочка 11 лет
Отправитель: Сергей Хмызов 27 Ноябрь 2020, 22:05
|
Извините
С торца ничего не введено- или кажется?
И - винт в ШБК - сам по себе?
|
[
Ответить ]
|
Re: Перелом бедра, девочка 11 лет
Отправитель: Alexander Chelnokov 27 Ноябрь 2020, 22:07
|
нет, ничего не вводил. Предусмотрена там возможность ввести end cap - не делаю этого обычно.
Винт просто введён в отверстие в гвозде.
|
[
Ответить ]
|
Re: Перелом бедра, девочка 11 лет
Отправитель: Сергей Хмызов 27 Ноябрь 2020, 22:07
|
Be careful and watch
Данный винт априори нестабилен.
К сожалению, имею опыт нарушения growth plate именно при таком (граничном расположении ) винта
|
[
Ответить ]
|
Re: Перелом бедра, девочка 11 лет
Отправитель: Alexander Chelnokov 27 Ноябрь 2020, 22:09
|
будет наблюдаться в нашей поликлинике, обязательно.
|
[
Ответить ]
|
Re: Перелом бедра, девочка 11 лет
Отправитель: Максим Агалаков 27 Ноябрь 2020, 22:10
|
В чем смысл настолько латерального захода, почему так спереди гвоздь и настолько кзади винт?
|
[
Ответить ]
|
Re: Перелом бедра, девочка 11 лет
Отправитель: Alexander Chelnokov 27 Ноябрь 2020, 22:12
|
смысл латерального захода - отдалиться от сосудов, питающих у детей головку бедра. Если сделать снимок с чуть большей внутренней ротацией, не будет складываться впечатления, что он спереди. Винтик... Он внутри шейки, не торчит. Этого, полагаю, достаточно. Был бы он кпереди на несколько мм, это бы ничего не прибавило
|
[
Ответить ]
|
Re: Перелом бедра, девочка 11 лет
Отправитель: Paul 30 Ноябрь 2020, 10:39
|
Хорошая работа!
|
[
Ответить ]
|
|
Re: Перелом бедра, девочка 11 лет
Gurgen 18 Декабрь 2020, 11:06
|
Да-ааа....
Солько же тут мнений
|
[
Ответить ]
|
Re: Перелом бедра, девочка 11 лет
Gurgen 18 Декабрь 2020, 11:25
|
https://www.ncbi.nlm.nih.gov/pmc/articles/PMC4397747/
|
[
Ответить ]
|
Re: Перелом бедра, девочка 11 лет
Отправитель: Сергей Тарасов 18 Декабрь 2020, 15:10
|
Нужно понимать, что по Вашему мнению, аппарат - оптимальное решение для данной ситуации?
|
[
Ответить ]
|
|
( Ответить )
|
|