Добро пожаловать в Хирургия кисти

Центр хирургии кисти

Травма 2,3 пальцев кисти
 вверх
 отправить
 поиск
 админ
 главная


Травма 2,3 пальцев кисти
Отправлено Максим Страхов 02 Февраль 2007, 20:37
Уважаемые коллеги!
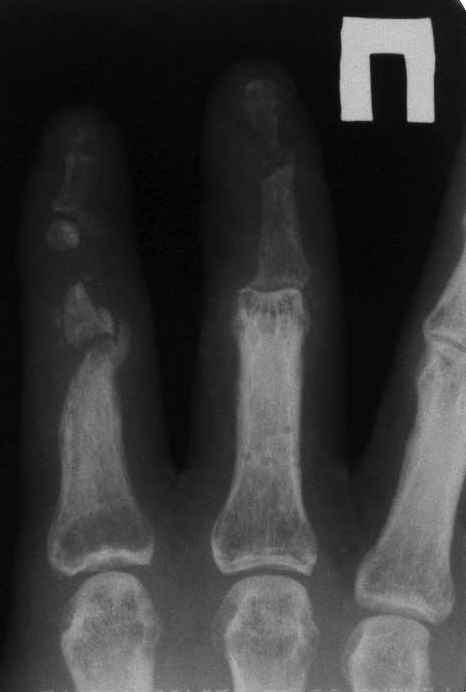
На представленных снимках пальцы правой кисти мужчины 42 года через 3 месяца после травмы циркулярной пилой.
Качательные движения в проксимальном м/ф суставе 3 пальца. Нарушены все виды захвата, в которых принимают участие 2 и 3 пальцы. Кожные покровы с большими рубцами по тыльной и боковой поверхности пальцев. Ни магистральный кровоток, ни микроциркуляция специальными методами не оценивались. Косвенно о трофических нарушениях свидетельствует распространенный остеопороз дистальных фаланг и очаговый остеопороз основных фаланг и головок пястных костей, причиной которого возможно является и длительная иммобилизация в аппарате внешней фиксации. Чувствительных нарушений нет.
В профессиональном плане нуждается в восстановлении крючковидного захвата, оппоненции, функции письма.
Самостоятельно консультировался с врачами в г.Челябинске, Екатеринбурге, через интернет.
Планируем: 3 палец - открытый артродез дистального м/ф сустава с минимальной фиксацией спицей, тенолиз и разработка проксимального сустава (по этому пальцу в общем тактика ясна). 2 палец - обсуждается два варианта тактики:
1. Остеотомия основной фаланги, с последующей дистракцией в аппарате и удлинением последней до дистального м/ф сустава. Далее снова остеотомия - или неартроз, или эндопротез проксимального сустава, тенолиз. (Недостаток - будет потеряно время для восстановления функции сухожилий)
2. Костная пластика средней фаланги, одновременно тенолиз, артродез дистального м/ф сустава, разработка захватов. (Недостаток - опасаемся возможного некроза трансплантата вследствие ангиотрофических нарушений)Буду признателен за высказанные на форуме мнения по поводу пациента.
С уважением Страхов Максим Алексеевич, г.Москва

<  | последствия контрактуры дюпюитрена  >

 

  • Сообщения о травма кисти
  • Также Максим Страхов
  • Связаться с автором
  • Ответить/комментировать

    Powered by Zope  Squishdot Powered MedLink
    Посетитель: 02078
      "По форме правильно, а по существу - издевательство" В.И.Ленин
    ©2001-2003Orthoforum Coordinator.
    [ Главная | Отправить сообщение | Поиск | Админ ]