Ответить
|
Re: Перелом шейки плеча
Андрей 25 Ноябрь 2004, 23:49
|
А не проще ли L-образной пластинкой?
А если хочется без разреза - можно закрытую репозицию под ЭОПом с фиксацией аппаратом Hoffmana
|
[
Ответить ]
|
Re: Перелом шейки плеча
Отправитель: Evgueny Tschekashkin 26 Ноябрь 2004, 18:07
|
>А не проще ли L-образной пластинкой?
Не сложно, но более травматично. Этот случай показателен в плане технических дефектов и их последствий
> А если хочется без разреза - можно закрытую репозицию под ЭОПом с фиксацией аппаратом Hoffmana
Без разреза не получается - три разреза по см.
Hoffman аппарат универсальный, но его недостаток как и всех внешних фиксаторов - миофасциодез, открытые опорные элементы, что не дает такой подвижности в плечевом суставе как при внутрикостной фиксации V-спицами.
Евгений И Чекашкин
|
[
Ответить ]
|
|
Re: Перелом шейки плеча
Alexander Chelnokov 26 Ноябрь 2004, 17:59
|
Женя, а как ты водишь спицы, в смысле, как делаешь входное отверстие, и как в него проводишь V-спицу? А то о дна из спиц, та, у которой не дошла до головки одна палочка буквы V, как-то выглядит на рентгенограмме, как будто или через очень большое отверстие введена, или каждая половинка через отдельные отверстия.
В чем ты видишь причину вторичного смещения?
Мне кажется, проблема в том, что не все концы спиц зашли в головку, и зашедшие - недостаточно далеко прошли.
|
[
Ответить ]
|
Re: Перелом шейки плеча
Отправитель: Evgueny Tschekashkin 26 Ноябрь 2004, 18:05
|
С комментариями абсолютно согласен.
Спицы провожу по передней и задней поверхностям плечевой кости через 4,5 мм отверстия на разных уровнях.
Идеей презентации случая была демонстрация важности постоп Рг - хотя казалось бы все было сделано под флюороскопическим контролем и интраоперационно подозрений на нестабильность не возникло, а такая вот
неожиданность...
|
[
Ответить ]
|
Re: Перелом шейки плеча
Отправитель: Alexander Chelnokov 26 Ноябрь 2004, 22:55
|
ET> Спицы провожу по передней и задней поверхностям плечевой кости через 4,5 мм
ET> отверстия на разных уровнях.
Уточни - обе части буквы V вводишь в одно отверстие? А то по снимкам выглядит, что в разные.
ET> Идеей презентации случая была демонстрация важности постоп Рг - хотя
ET> казалось бы все было сделано под флюороскопическим контролем и
Это правило, конечно, но... У нас, например, рентген работает официально до 14 часов. Обычно лаборант задерживается на сколько надо, но иногда бывает надо отпустить, под обещание утром на следующий день без напоминаний сделать снимок послеоперационному больному.
|
[
Ответить ]
|
Re: Перелом шейки плеча
Отправитель: Evgueny Tschekashkin 27 Ноябрь 2004, 16:49
|
V-спица проводится через 4,5 мм отверстие. Видимо, из-за разной длины вторая половина спицы *пролетела* мимо отверстия, что и привело к вторичному смещению костных фрагментов.
Всего Доброго,
Евгений И Чекашкин
|
[
Ответить ]
|
|
Re: Перелом шейки плеча
Андрей Миронов 26 Ноябрь 2004, 19:15
|
можно попытаться провести повторную закр. репозицию под ЭОПом с остеосинтезом LPHP , при невозможности закр. репозиции откр. репозиция и остеосинтез LPHP, Т-LCP, LCP-лист клевера
|
[
Ответить ]
|
Re: Перелом шейки плеча
Отправитель: Evgueny Tschekashkin 26 Ноябрь 2004, 22:17
|
Андрей ,
Спасибо за совет и рекомендации. Больного поставил в операционный список на вторник, Послеоперационные Рг обязательно вышлю.
Всего Доброго ,
Евгений
|
[
Ответить ]
|
Re: Перелом шейки плеча
Отправитель: Alexander Chelnokov 26 Ноябрь 2004, 23:15
|
Интересно, во сколько раз названные имплантаты дороже 2-3 спиц отечественного производства?
|
[
Ответить ]
|
|
Re: Перелом шейки плеча
Крылов Андрей 27 Ноябрь 2004, 18:02
|
Уважаемый коллега.
С большим интересо ознакомился с этим собщением, но возникает вопрос.
Какая наружная фиксация п послеоперационном периоде?
Если фиксация необходима, то какой смысл в проведении этой операции.
Если наружной фиксации нет, то не понятно, как 4 спицы, проведенные в головку плечевой кости на 3-3.5 см удержат перелом от вторичного смещения.
Ведь, к сожалению, и после фиксации перелома шейки плеча пластинами различной конструкции,в полслеоперационном периоде иногда встречается вторичное смещение в переломе.
С уважением. Андрей Крылов
|
[
Ответить ]
|
Re: Перелом шейки плеча
Отправитель: Alexander Chelnokov 27 Ноябрь 2004, 18:39
|
КА> Какая наружная фиксация п послеоперационном периоде?
Косыночная повязка на первые дни.
КА> Если наружной фиксации нет, то не понятно, как 4 спицы, проведенные в
КА> головку плечевой кости на 3-3.5 см удержат перелом от вторичного
Если концы напряженных спиц хорошо вошли в головку, то куда ж ей деться от диафиза. Вводятся 2 или 3 V-спицы.
КА> Ведь, к сожалению, и после фиксации перелома шейки плеча пластинами
КА> различной конструкции,в полслеоперационном периоде иногда встречается
Напряженные спицы обеспечивают не точечный контакт фиксатора с костью, они упираются в отломки по всей длине.
Ну и вводятся закрыто, то есть мягкотканый футляр не повреждается, сращение наступает много быстрее, чем после открытой репозиции.
|
[
Ответить ]
|
Re: Перелом шейки плеча
Отправитель: Evgueny Tschekashkin 28 Ноябрь 2004, 22:28
|
Добрый День, Андрей,
> Какая наружная фиксация п послеоперационном периоде?
Косыночная повязка, продолжительность - основана на субъективных ощущениях больного( 2-3 недели). По моим наблюдениям боли в плечевом суставе значительно стихают уже на следующий послеоперационный день как результат стабилизации костных фрагментов + минимальная интраоперационная травма - это создает предпосылки для ранней мобилизации сустава (active assisted движения). Активные движения в суставе позволяют сохранять силу и тонус мышечного футляра плечевого сустава - профилактика псевдопаралитического подвывиха головки плеча, минимальная интраоперационная травма мягких тканей сохраняет региональное кровообращение и питание фрагментов - необходимое условие для полноценной консолидации.
> Если фиксация необходима, то какой смысл в проведении этой операции.
Надеюсь, что приведенные выше аргументы и объясняют смысл этой методики
> Если наружной фиксации нет, то не понятно, как 4 спицы, проведенные в
> головку плечевой кости на 3-3.5 см удержат перелом от вторичного
> смещения.
Согласен с вашими подозрениями, которые и у меня возникли, когда я познакомился с этой методикой. Принципиальное отличие перкутанной фиксации 4 одиночными спицами от фиксации 2 пучками V- образными спицами состоит в создании первично напряженной фиксации т.е. спица, согнутая пополам, напоминающая V букву, приобретает пружинящие свойства ( по аналогии с фиксатором Сеппо для фиксации переломов шейки бедра)Созданная динамически напряженная система и обеспечивает стабильность фиксации фрагментов.
> Ведь, к сожалению, и после фиксации перелома шейки плеча пластинами
> различной конструкции,в полслеоперационном периоде иногда встречается
> вторичное смещение в переломе.
Совершенно верно, полутрубчатые, реконструктивные пластины обеспечивают первичную стабильность фрагментов, сама фиксация сопряжена с обнажением зоны перелома, открытой репозицией - словом, большей хирургической травмой, то компрометирует кровоснабжение отломков, деминерализацию головки, нестабильность винтов и как следствие - их миграцию. Современное поколение пластин self locking fixed angled менее травматичны по технике имплантации, но их цена ..... несравнима с ценой 2 изогнутых спиц при аналогичном функциональном результате.
|
[
Ответить ]
|
Re: Перелом шейки плеча
Отправитель: Андрей Миронов 29 Ноябрь 2004, 18:05
|
Евгений!
А почему в данном случае(у молодого пациента) вы использовали метод проф.Лазарева? По экономическим соображениям или это ваши предпочтения?
Используете ли вы в своей клинике АО-методы?
|
[
Ответить ]
|
Re: Перелом шейки плеча
Отправитель: Evgueny Tschekashkin 29 Ноябрь 2004, 22:20
|
> А почему в данном случае(у молодого пациента) вы использовали метод проф.Лазарева? По экономическим соображениям или это ваши предпочтения?
Презентация проф Лазарева на СИКОТЕ в Каире продемонстрировала одинаковую эффективность спицевой фиксации переломов хирургической шейки плеча и у молодых больных.
До этого пользовался пластинами и серкляжем со спицами - основной недостаток этих техник - открытая репозиция и фиксация.
более растянутая во времени реабилитация( хотя не маловажный фактор составляет и мотивация самого пациента) Увидев методику Анат. Федоровича, решил попробовать - дешево и сердито, хотя, как вы увидели - не все так просто:-))
> Используете ли вы в своей клинике АО-методы?
Основные инструментальные наборы у нас от *Синтеза*, соответственно и методы. Но наша работа - не догма, к счастью всегда есть место творчеству, это приносит разнообразие и возможность сравнения различных техник.
Да, и на последок - клиника не моя, а государственная:-))
Всего Доброго,
Евгений
|
[
Ответить ]
|
Re: Перелом шейки плеча
Отправитель: Андрей Миронов 30 Ноябрь 2004, 17:54
|
Евгений
если у Вас получилась закрытая репозиция перелома под ЭОП контролем, то что Вам мешает провести малоинвазивный остеосинтез пластиной, MIPO- хорошо отработанный метод AO/ASIF.
С уважением Андрей
|
[
Ответить ]
|
Re: Перелом шейки плеча
Отправитель: Evgueny Tschekashkin 01 Декабрь 2004, 02:02
|
В государственном госпитале такого набора нет, а заплатить за фиксатор сам больной не в состоянии.
Спицевая фиксация правильно выполненная обеспечивает хороший функциональный результат и несравнимо дешевле.
Повторное вмешательство - удаление спиц менее травматично...и технически проще.
Всего Доброго,
Евгений
|
[
Ответить ]
|
|
Re: Перелом шейки плеча
Anatoly F. Lazarev 29 Ноябрь 2004, 20:33
|
Здравствуй Женя. Во первых спицы, вводимые в головку плеча ретроградно, никогда не имели V-образную форму, если говорить о методике моей операции ЦИТО. Чтобы легче было запомнить Y-образную форму, вспомни крепление новогодних елочных шаров - очень демонстративно. Кроме того если ты внимательно посмотришь, то увидишь, что вся конструкция имеет некоторую кривизну по плокскости, величину, которой ты можешь задать сам. Сначала мы проводим проксимальный пучок, а в момент пересечения линии перелома мы
ротируем спицу таким образом, чтобы дистальный изгиб прямо противодействовал смещающим силам - поврот за ушко под контролем ЭОПа. Дистальный пучок стараемся провести так, чтобы его бранши расклинились и прошли по обе стороны предыдущего пучка, что создает дополнительное напряжение на
протяжении контакта. Для оценки правильности проведения спиц очень важно, чтобы ЭОП стоял строго перпендикулярно плоскости сустава, в противном случае - в рентгене есть эффект отбрасывания тени - прохождение косого луча дает удлиненное изображение спиыц и создается впечатление, что спица стоит уже в субхондральном слое. На первых операциях у нас было довольно частое несовпадение длины контрольной спицы и мы провизорно добавляли от 0,5 до 1,0 см уже на фиксирующем пучке. Входные отверстия лучше располагать по наружной и передней поверхности плеча на расстоянии не менее 2-х диаметров головки.
Такой выбор входных отверстий обусловлен прямой возможностью попадания в малый и большой бугорки за счет изгиба спиц по длине и отражения из от внутреннего кортикала проксимальнее точки введения. Поскольку анатомически бугорки не составляют артикулирующую поверхность, то некоторое выстояние спиц только усилит стабильность. Входное отверстие мы используем 6 мм в диаметре, для эффективного раскрытия петли-пружины. Спицы перед проведением
проверяем на достаточную эластичность и упругоустойчивость, мягкие спицы отбраковываем. В данном примере создалось впечатление, что одна бранша V-спицы скользнула по картикалу снаружи? Все это безболезненно можно переделать, расширив теже отверстия, изогнув спицы, повернув их в разные стороны и добавив еще пучки Y-ОБРАЗНЫХ, а не V-образных (эти пучки выталкивает, особенно если они прямые - пружина работает в обе стороны).
Целую, пока, проверять некогда - уезжаю в командировку. ЛАФ.
|
[
Ответить ]
|
Re: Перелом шейки плеча
Отправитель: Evgueny Tschekashkin 30 Ноябрь 2004, 00:42
|
> На первых операциях у нас было довольно частое
> несовпадение длины контрольной спицы и мы провизорно добавляли от 0,5 до 1,0
> см уже на фиксирующем пучке
Аналогичные проблемы. я пока не пользовался контрольными спицами (как показано у вас на презентации), уровень отверстия для введения фиксирующей спицы определял под ЭОПом при наложении спиц на проксимальный отдел плеча, учитывая минималное расстояние - 0,5 см до суставной поверхности головки.
> Входные отверстия лучше располагать по наружной
> и передней поверхности
---За ориентир принимал передний край дельтовидной мышцы( между бицепсом и дельтовидной мышцами) - переднее отверстие для введения спицы и наружное
отверстие - ориентир задний край дельтовидной мышцы и наружная головка трицепса ( плечевая кость легко прощупывается при давлении на борозду)
> плеча на расстоянии не менее 2-х диаметров головки.
2 х диаметров головки? Мне казалось и всегда стараюсь располагать отверстия с разницей уровней до 2 см....
> В данном примере создалось впечатление, что одна бранша
> V-спицы скользнула по кортикалу снаружи?
Бранши разной длины, видимо, поэтому короткая спица не попала во входное отверстие
> переделать, расширив теже отверстия, изогнув спицы, повернув их в разные
> стороны и добавив еще пучки Y-ОБРАЗНЫХ, а не V-образных ( эти пучки
> выталкивает, особенно если они прямые - пружина работает в обе стороны).
Учту замечания при повторной репозиции.
Всего доброго,
Валентине Аркадьевне, Андрею пламенный привет,
Евгений
|
[
Ответить ]
|
|
Re: Перелом шейки плеча
Djoldas Kuldjanov 30 Ноябрь 2004, 23:36
|
Случай интересный и заслуживает внимания со своей актуальностью, потому что открывать такие переломы вряд ли кому доставит удовольствие, даже тем, кто владеют АО или locking concept technique.
Учитывая отсутствие знаний о методике, хотя я очень заинтересовался, после прошлегодного доклада из ЦИТО в Ст. Петерсбурге, простота методики и отсутствие миграции спиц распологает к себе.
Но как всегда, даже самая простая методика становится сложной из-за мелких деталей, и я уверен, те рекомендации Анатолия помогут тебе выйти из положения.
Интересно знать, какого диаметра спицы пригодны для фиксации?
Пока я пользуюсь методикой принятой у нас (методика Сиэтла), также перкутанный спицевой метод, только сцицы 2.8 мм с резбой на конце.
Здесь случай перелома-вывиха плеча, больному 56 лет, после "дважды" закрытой неудачной репозиции, опять же ургентно взяли в операционную, после полного общего обезболивания попытались сделать репозицию, и фиксацию провели спицами.
Больной находился в повязке, примерно напоминяющей косыночную, рекомендованы движения в локтевом суставе и маятниковые движения в плече, спицы удалены в три недели (были случаи миграции)
Больной амбулаторный, предупрежден на случай осложнения АВН головки.
Джолдас
|
[
Ответить ]
|
Re: Перелом шейки плеча
Отправитель: Evgueny Tschekashkin 01 Декабрь 2004, 00:27
|
Джолдас, Здравствуйте,
Признаться не думал, что представленный случай вызовет такой интерес на ортофоруме :-))
Казалось бы обычный перелом хирургической шейки плеча, с которыми нередко приходится сталкиваться (4-6% по статисткие) в жизни и у каждого травматолога тактика лечения не вызывает сомнения....
Но методика, предложенная Анатолием Фёдоровичем, эффективная и простая на первый взгляд, имеет свои *подводные камни* как оказывается...
Сегодня взял больного повторно в операционную, не скажу, что повторная репозиция через неделю после первой попытки, была простая.
После удаления спиц попытался манипулировать отломками, но безуспешно, поэтому пришлось пользоваться периостальным элеватором, чтобы устранить смещение отломков и перепровести спицы. Проверил и перепроверил стабильность фиксации под ЭОПом, завтра Рг- будет готов, вот и поглядим....
>Пока я пользуюсь методикой принятой у нас (методика Сиэтла), также перкутанный спицевой метод, только сцицы 2.8 мм с резбой на конце.
Обычно перкутанной фиксацией спицами я пользовался у детей и подростков при проксимальных эпифезеолизах, концы загибал и погружал подкожно. Но несмотря на *простительные* процессы сращения у детей с удивительной перестройкой костной мозоли, детишки не очень охотно мобилизовали плечевой сустав, в основном активные движения появлялись только после удаления спиц через 3-4 недели. Очевидно, это связано с миофасциодезом дельтовидной мышцы. В обсуждаемой технике миофасциодеза не возникает так как выступающая спицевая петля находится под мышцей, периоссально, обеспечивая свободное скольжение мышечных волокон, а следовательно и свободу движений.
Именно эти моменты+ дешевизна спиц и делают эту методику доступной практически в любых условиях (актуально для африканского государственного госпиталя). Хотя сейчас, пройдя через *подводные камни* понял , что для быстроты и простоты самой хирургии необходимо пользоваться drill sleeve and
wire guide, позволяющим ротировать пучок при его введении в головку (как объяснил Анатолий Ф.) Чтобы не терять время на поиск входного отверстия под мышцей удобно пользоваться drill sleeve 6,5 мм, удерживая его на кости после сверления отверстия, через него же провести и спицевой пучок, единственный момент который надо учитывать - чтобы размер петли не превышал диаметра протектора иначе придется начинать все сначала или в качестве альтернативы пользоваться разъёмными протекторами.
Спасибо за презентацию вашего случая. Две недели назад у меня был больной с переломовывихом плеча , правда, 4 недельной давности :-((( больной из отдаленной деревни). Закрыто сделать ничего не удалось естественно, при попытке открытого вправления головки она *рассыпалась* на фрагменты и суставной хрящ представлял из себя egg shell, поэтому пришлось ограничиться удалением фрагментов головки и физиотерапией. При таких ситуациях артропластика показана, но к сожалению нет такой возможности в местном госпитале - только в частном :-((
Всего Доброго,
Евгений И Чекашкин
|
[
Ответить ]
|
Re: Перелом шейки плеча
Отправитель: Alexander Chelnokov 01 Декабрь 2004, 00:42
|
ET> быстроты и простоты самой хирургии необходимо пользоваться drill sleeve and
ET> wire guide, позволяющим ротировать пучок при его введении в головку ( как
ET> объяснил Анатолий Ф.)Чтобы не терять время на поиск входного отверстия под
ET> мышцей удобно пользоваться drill sleeve 6,5 мм, удерживая его на кости
ET> после сверления отверстия, через него же провести и спицевой пучок,
Как я видел в ЦИТО, используется инструмент-направитель типа зажима с браншами в виде разъемной трубки, наподобие тех, что ЛОРы суют в нос и ухо.
ET> единственный момент который надо учитывать - чтобы размер петли не превышал
ET> диаметра протектора иначе придется начинать все сначала или в качестве
ET> альтернативы пользоваться разъёмными протекторами.
Да. У нас довольно скромный опыт такого остеосинтеза (по 2 случая - плечо и наружная лодыжка), дошли до использования самого простецкого троакара, через который мы сверлим кость и вводим 6 мм стержни, когда накладываем аппарат. Соответственно, в качестве забойника отлично работает любой стержень от аппарата Илизарова. Еще из наших туземных особенностей - страшная любовь к спицевым дистракторам, поэтому делали в нем. Результат у этой дамы неизвестен, т.к. она из области и уехала рожать сразу после остеосинтеза, сейчас прошло больше 5 месяцев...
Что-то, наверно, сделали мы не совсем оптимально, поскольку у Анатолия Федровича и его соратников как-то красивее "раскрываются" спицы в головке плеча - надеюсь, он прокомментирует и подскажет, что надо подправить.
|
[
Ответить ]
|
|
Re: Перелом шейки плеча
Michael Berenstein 01 Декабрь 2004, 18:22
|
Уважаемые коллеги
сделать закрытую репозицию с помощью ЭОПа совсем не сложно, после этого еще проще провести 3-6 спиц и получить красивую рентгенограмму. Есть только небольшая проблема это ROTATOR CUFF. Для плечевого сустава только костное восстановление не достаточно. для функции плечевого сустава нужны вращатели.
Давайте представим себе состояние манжетки вращателей после вывиха плеча, а еще и с отрывным переломом бугров. Головка может и прирастет, еесли не будет аваскулярного некроза, но хорошего функционального результата не ждите.
Висеть будет красиво. У людей физически активного периода жизни нужно открыть, восстановить костную анатомию и восстановить сухожильный аппарат.
В этом плане Locking plate очень хороша так как позволяет начать движения сразу после операции.
Клинические снимки - 3 недели после операции
с уважением М. Беренштейн
|
[
Ответить ]
|
Re: Перелом шейки плеча
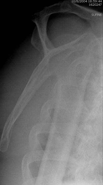
Evgueny Tschekashkin 02 Декабрь 2004, 01:26
|
Уважаемые коллеги,
Спасибо за участие в дискуссии -перелом шейки плеча, для себя я прояснил многие технические моменты...
Посылаю послеоперационные Рг граммы.
Всего Доброго,
Евгений И Чекашкин
|
[
Ответить ]
|
Re: Перелом шейки плеча
Отправитель: Alexander Chelnokov 02 Декабрь 2004, 19:21
|
Поздравляю, получилось просто замечательно. Если можно, расскажи чуть подробнее, как делали - как вправляли, как вводили спицы, поворачивали ли их?
|
[
Ответить ]
|
Re: Перелом шейки плеча
Отправитель: Evgueny Tschekashkin 02 Декабрь 2004, 19:22
|
Спасибо за поздравления:-))
Я и сам доволен результатом. В предпоследнем письме я кратко описал ход операции - закрыто репонировать не удалось( 2 недели с момента травмы и 1 неделя после неудачной репозиции) после удаления пучков спиц, пришлось сделать - 2см разрез на уровне перелома и с помощью периостального элеватора (золотое правило механики) *одеть* головку на дистальный отломок.
Спицы проводил через старые отверстия, вращая пучок импактором- направителем при его введении в головку.
Твоя идея с дистрактором и разборным направителем от ЛОРиков просто замечательны, в следующий раз надо будет у них позаимствовать воронку для риноскопии, предварительно срезав торцевую часть для лучшего контакта с костью.
Спасибо за дискуссию - была очень полезна для меня, надеюсь, что следующий случай в техническом плане будет лучше подготовлен и выполнен.
Всего доброго,
Евгений
|
[
Ответить ]
|
Re: Перелом шейки плеча
Отправитель: Anatoly F. Lazarev 02 Декабрь 2004, 19:27
|
Женя, привет. Все правильно - молодец. По моему у тебя в презентации должен быть слайд с набором инструментов. Несколько советов - ушко должно быть больше 6 мм - около 8 мм в диаметре, перед введением спиц мы разводим концы - как бы заряжая пружину, вводим конца в канал с помощью риноскопа, но после введения дбиваем спицы через кондуктор для шейки бедра, который имеет внутренний диаметр 10 мм. Всего наилучшего! ЛАФ.
|
[
Ответить ]
|
Re: Перелом шейки плеча
Отправитель: Evgueny Tschekashkin 02 Декабрь 2004, 19:28
|
Анатолий Федорович, День Добрый,
Спасибо за комментарии.
-Спицу *зарядил*, но в этом трудность и появилась - ввести *заряженную* спицу в отверстие было непросто:-)) Но в конце концов все состоялось.
Какие планы на декабрь/январь?
Евгений
|
[
Ответить ]
|
|
Re: Перелом шейки плеча
Андрей Комков 15 Октябрь 2012, 13:17
|

Здравствуйте, Евгений. В используемых Вами методиках остеосинтеза переломов хирургической шейки плечевой кости имеются ряд недостатков. Метод Лазарева хорош, как малоинвазивное вмешательство, но автор умалчивает о таких осложнениях как миграция спиц. Консолидация перелома начинается с резорбции костной ткани в месте перелома, в связи с этим спицы выходя за пределы субхондрального слоя головки плеча, и мигрируют в полость сустава, обеспечивая импиджмент синдром. Накостные фиксаторы (какие бы они не были) чаще используются для открытого остеосинтеза, что неизбежно ведёт к нарушению кровообращея в головке, далее к элементам асептического некроза с вытекающими последствиями. Обратите внимание на метод спирального остеосинтеза, который по философии отвечает принципам остеосинтеза при низкой минеральной плостности кости. Эту методику я внедрил 2 года назад, и она себя оправдывает. Статью по этому поводу Вы можете найте в сборнике съезда травматологов России, которых был в Саратове. (см фото) С Уважением, Комков Андрей.
|
[
Ответить ]
|
Re: Перелом шейки плеча
Отправитель: Nikita Zadneprovsky 15 Октябрь 2012, 18:45
|
pdf, 98 Kb
Метод "Helix wire" не оправдал надежд. Слишком много осложнений. См. статью коллег из Дании от 2008 года.
С уважением, Заднепровский Никита
|
[
Ответить ]
|
Re: Перелом шейки плеча
Отправитель: Комков Андрей 15 Октябрь 2012, 22:33
|

Никита, спасибо за статью. Авторы этой статьи, с одной стороны говорят о большом % осложнений, а с другой стороны рекомендуют её для людей пожилого и старческого возраста. На представленных рентгенограммах очень хорошо отслеживается то, что "спиральный остеосинтез" выполнен не по показаниям. Показаниями являются двух-, трёхфрагментарные (по Neer) переломы. В своей практике я также допустил пару таких ошибок, которые привели к отсутствию рентгенологической эстетики, но к удовлетворительным функциональным результатам. Этот метод я увидел в Германии, когда удалял спираль у пожилой немки. По приезду в Россию несколько изменил эту конструкцию: нанёс СаР покрытие (в этом мне помогли Томские физики), изменил наклон витков, изменил сечение титановой проволоки, изменил диаметр внешних витков, и запатетовал. В настоящее время выполнено 56 вмешательств у лиц с низкой минеральной плотность кости, получены только отличные и хорошие результаты (по модифицированной нами системе American Shoulder and Elbowsurgeons шкале) . Данную конструкцию сейчас выпускает ООО "Остеомед", но без СаР покрытия.
Уважаемый Никита, я не согласен с коллегами из Дании. Не забывайте, что в наше время становится актуальным такая отрасль медицинской науки, как биосопромат.
С Уважением, Андрей Комков
|
[
Ответить ]
|
Re: Перелом шейки плеча
Отправитель: Djoldas Kuldjanov 21 Октябрь 2012, 09:27
|
Тема фиксации переломов шейки плеча неоднократно разбиралась на форуме. В ортопедии не существует идеального универсального фиксатора, и “нет предела совершенству”. Как всегда, вместо старого метода приходит новый. Никто из нас плотную дизайнированием имплантатов не занимается, но для облегчения работы иногда подсказываем. Но бывает случаи, когда самому приходится подкорректировать существующие имплантаты, и очень редко, но бывает, что идея специалиста воплощается в жизнь в виде нового продукта.
На форуме дискутируются не только клинические, а также много другие около ортопедические проблемы. Из сообщения доктора Андрея Комкова понял, что автор имеет собственный метод лечения перелома шейки плеча. Мне кажется, подробный разбор техники или метода на форуме полезным для всех участников. Тем более, где, кроме Ортофорума, можно получить более обьективную информацию, потому что участники не имеют прямого интереса.
У нас отсутствует информация по поводу спиральных фиксаторов, и поиск через интернет оказался не в пользу такого метода. Почти все авторитетные источники высказались против этой методики, и в основном из-за поломки и несостоятельности фиксатора!
И следующее.., по поводу патента... Как утверждает автор, что “этот метод я увидел в Германии, когда удалял спираль у пожилой немки”. Возможно, в России правила отличаются, но мы не стали бы патентовать, как собственный, придуманный другим автором метод!
Потом во всех странах существует ГОСТ или FDA -ответственная организация по выдаче разрешающих документов. Для получения разрешения требуется решить сложные вопросы, в том числе нужны результаты экспериментальной работы и механические испытания из независимой лабаратории. Этот документ в америке называется 510К, т.е. разрешающий документ на продажу имплантата в США, а без этих документов и результатов теста в ASTM (the American Society for Testing and Materials) невозможно получит добро.
Сложные регистрационные условия применяются к зарубежным компаниям, которые желают иметь бизнесс в России. Даже самый популярный продукт в мире надо регистрировать. Можно ли без регистрации и рекомендации клинических испытании зарегистрировать метод или продукт, существует ли "зеленый коридор" для отечественных ученых и изобретений? Имеется ли экспресс-метод как в вашем случае?
Для какой цели изменили общепринятую American Shoulder and Elbow surgeons шкалу на импровизированный вариант? Адаптированный вариант никому неизвестен, искажаются данные...
Не все понятно с демографией переломов проксимального плеча, не слишком ли (56) много переломов плеча за два года? С чем это связано, от чрезмерного накопления пожилых? Неужели остальные центры России имеют такие же данные?
Просмотрел приложенный снимок пенетрации спиц в сустав. Мне кажется, здесь были некоторые отклонения от рекомендованного доктором Лазаревым варианта. Метод называется "фиксация напряженными спицами", т.е после внедрения в головку концы спиц расходятся! А следующий фиксатор укрепляет позицию, удерживает от смещения! Поэтому, чем больше спиц, тем лучше создается жесткость и это предупреждает миграцию.
В Вашем случае получилась обычная фиксация спицами, т.е. спицы вошли в головку параллельно и не раздвинулись! В прошлом примеры идеальной установки напряженных спиц, кроме доктора Лазарева, показал Женя Чекашкин из Намибии.
Возможности фиксатора Лазарева я не идеализирую, и, возможно, другие коллеги также наблюдали случаи миграции, но от этого "феномена" никуда не уйти. Играет роль активность больного и качество кости. Приходилось видеть миграцию не только при малоинвазивных, а также в более устойчивых видах фиксации (пластин с угловой стабильностью).
В моей практике навряд ли метод пойдет, потому что отсутствует данные по жесткости и нет научной базы. Трудно предоставить, каким образом одиночная спираль удерживает отломки лучше, чем напряженные перкутанные спицы?
|
[
Ответить ]
|
|
( Ответить )
|
|