AOTRAUMA.ORG Центр Илизарова  

Ортопедия и травматология Общие вопросы/General questions Help Информационные технологии в медицине
 вверх
 отправить
 поиск
 админ
 главная


Еще несращение distal tibia
Ортопедия и травматология Отправлено Alexander Chelnokov 13 Апрель 2005, 22:56
Глубокоуважаемые коллеги,Поступила женщина 72 лет. Полтора года назад - укушенная рана, перелом голени. Лечили аппаратом, не срослось. Долго не заживала рана.
Но вроде уже с полгода мягкие ткани закрыты. Спереди подпаянные рубцы. Есть приличная подвижность на уровне несращения. Картинки в приложении. Что предложите? Спсибо заранее.

<  |  >

 

  • Сообщения о Ортопедия и травматология
  • Также Alexander Chelnokov
  • Связаться с автором
  • Ответить

    Re: Еще несращение distal tibia
    Evgueny Tchekashkin 14 Апрель 2005, 07:26
    Александр, приветствую,

    Вроде бы ты когда-то писал, что аппарат решает проблемы, или аппаратом лечили где-то в другом месте?
    Какова подвижность в голеностопе? Если движений в суставе практически нет (о чем можно предположить по Ргграмме) и инфекция исключена, я бы подумал о ретроградном штифтовании через таран.

    Всего Доброго,
    Евгений И Чекашкин
    [ Ответить ]

    • Re: Еще несращение distal tibia
      Отправитель: Alexander Chelnokov 15 Апрель 2005, 22:43
      e> Вроде бы ты когда-то писал, что аппарат решает проблемы или аппаратом лечили
      e> где-то в другом месте?

      В Ташкенте.

      e> Какова подвижность в голеностопе?

      Градусов 10-15.

      e> Ргграмме) и инфекция исключена, я бы подумал о ретроградном штифтовании
      e> через таран.

      Именно через таран, минуя пятку?
      А может, все-таки выправить ось аппаратом и сделать антеградно? Пусть себе суставчики целые остаются, может, при ходьбе какая-никакая амртизация от них будет...

      [ Ответить ]
    • Re: Еще несращение distal tibia
      Отправитель: Evgueny Tchekashkin 15 Апрель 2005, 22:44
      > Именно через таран, минуя пятку?

      Это невозможно. Теоретически, чтобы не блокировать подтаранный сустав,стержень можно провести проксимальнее сустава, фиксируя только таран.
      Как ты думаешь, какова перспектива голеностопного сустава с такой исходной мобильностью? Судя по боковой проекции суставной хрящ в переднем отделе голеностопа разрушен, что при восстановлении оси голени и нагрузке приведет к ОА. Предвидеть в какой степени он будет выражен невозможно, вполне
      вероятен последующий артродез.
      Вопрос спорный : в один этап фиксация несращения и голеностопа , либо в два этапа антеградный штифт с последующей оценкой функции голеностопа ипри необходимости артродез.
      Если пациентка с массой сопутствующей патологией и соотв. высоким риском анест. осложнений я бы выбрал первый вариант, если подобные опасения отсутствуют-- вариант второй.

      > А может, все-таки выправить ось аппаратом и сделать антеградно? Пусть
      > себе суставчики целые остаются, может, при ходьбе какая-никакая
      > амртизация от них будет...

      Согласен: чем больше функциональных структур сохранено - тем лучше, но ты считаешь, что за 1,5 года бездействия суставов их мобильность не
      пострадала?

      Всего Доброго,
      Евгений

      [ Ответить ]
    Re: Еще несращение distal tibia
    T. Derek V. Cooke 14 Апрель 2005, 07:29
    Hi Alexander:

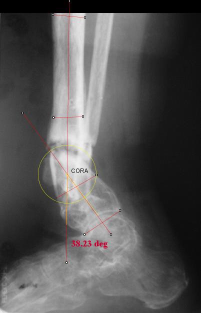
    I played with your image using some orthopedic software we have been developing for digital
    image analysis.









    What you see marked up is the intercept of two mid-line tool centre lines, used to define the CORA. An angle tool gives the angular deformity and a circle tool is applied to show that a correction around the CORA through the old # will restore alignment without much translation.
    Regards
    Derek
    [ Ответить ]

    • Re: Еще несращение distal tibia
      Отправитель: Alexander Chelnokov 15 Апрель 2005, 00:03
      TDVC> I played with your image using some orthopedic software
      TDVC> we have been developing for digital image analysis.

      I definitely have to learn more about this. THX in advance.

      TDVC> a correction around the CORA through the old # will restore
      TDVC> alignment without much translation.

      Maybe my "embedded software" is obsolete but it hints me to place hinges at the yellow point - this must result with alignment and some lengthening without translation. What do you think?













      [ Ответить ]
      • Re: Еще несращение distal tibia
        Отправитель: T. Derek V. Cooke 15 Апрель 2005, 22:04
        Hello Alex:
        Did you like what you saw from the mark-up on your figure?
        We will be looking for some Beta site users of the software (no charge for use but looking for feed-back and for suggestions on needs). Would you be interested in that?

        Re the CORA.:
        I think that if you locate the hinge at that site and then you rotate the foot about this point with out distraction you will be perfectly lined up. If you distract in the axis of the proximal tibia then rotate, it should still work (the hinge should still be located in the mid tibial axis). But, if you distract out of that axis then you will get translation. Does that make sense?
        Regards
        Derek

        [ Ответить ]
      • Re: Еще несращение distal tibia
        Отправитель: T. Derek V. Cooke 15 Апрель 2005, 22:05
        Hi Alex:
        I looked at your image. I presume your yellow marker is the hinge axis? I think this should be at the CORA.

        Derek

        [ Ответить ]
      • Re: Еще несращение distal tibia
        Отправитель: Nuno Craveiro Lopes 15 Апрель 2005, 22:17
        Alex,

        The right hinge point to simultaneously correct deformity and shortening will be the crossing point between the bissectrice of the complementary
        angle of deformity and the perpendicular at the middle of the line connecting the departure and arrival place of one point of the bone structure you are correcting (see sketch.










        You can see it better on http://clientes.netvisao.pt/nfrancac/preop01.htm

        Best regards,

        Nuno Craveiro Lopes



        [ Ответить ]
    Re: Еще несращение distal tibia
    Jeff Brooks 14 Апрель 2005, 07:31
    Is this a sterile or infected nonunion?

    -Jeff Brooks

    [ Ответить ]

    Re: Еще несращение distal tibia
    Jeff Richmond 14 Апрель 2005, 22:41
    Why the need for the Ilizarov if the nonunion is mobile? I would correct the deformity acutely with a fibular osteotomy if necessary to correct the
    alignment and proceed with reamed IM nailing if there are no signs or history of infection. Minimum of 2 and preferably 3 distal locks, and put in a big enough nail to get a good isthmal fit. I reported a series of similar cases with an excellent success rate.

    Richmond J, Colleran K, Borens O, Kloen P, Helfet DL. Nonunions of the distal tibia treated by reamed intramedullary nailing. J Orthop Trauma. 2004 Oct;18(9):603-10.


    Jeff Richmond
    North Shore University Hospital
    Manhasset, NY
    [ Ответить ]

    • Re: Еще несращение distal tibia
      Отправитель: Alexander Chelnokov 14 Апрель 2005, 23:25
      Hello Jeff,

      Thursday, April 14, 2005, 7:58:25 AM, you wrote:

      JR> Why the need for the Ilizarov if the nonunion is mobile?

      Аs you can see it still doesn't allow alignement. So acute correction
      will result with equinus. Scars also don't like acute goffer.

      JR> I would correct the deformity acutely with a fibular osteotomy if
      JR> necessary to correct the alignment and proceed with reamed IM
      JR> nailing if there are no signs or history of infection.

      My plan is very close to this except staged nailing after 10-15 days
      of gradual correction with axial alignment and maybe lengthening.
      Closed distraction can provide improvement of local blood supply.

      JR> Minimum of 2 and preferably 3 distal locks, and put in a big
      JR> enough nail to get a good isthmal fit.

      I am with you.

      JR> I reported a series of similar cases with an excellent success rate.
      JR> Richmond J, Colleran K, Borens O, Kloen P, Helfet DL.
      JR> Nonunions of the distal tibia treated by reamed intramedullary nailing.

      I'd be happy to have a reprint of the article. THX in advance.


      [ Ответить ]
    Re: Еще несращение distal tibia
    George Tomas 14 Апрель 2005, 22:42
    Ilizarov seems a safe option.
    --
    George Thomas,
    Railway Hospital,
    Chennai, India.
    [ Ответить ]

    Re: Еще несращение distal tibia
    Mangal Parihar 14 Апрель 2005, 22:43
    Alex,

    That must have been one hell of a dog.......! :-)

    I would consider gradual correction by distraction, and when the fragments are well aligned, compress the fracture.

    There are two fractures of the fibula. One the obvious one, and the second just above the syndesmosis. I would try to have a wire transfixing the lower tibial and fibular fragments.

    (As you well know) The exfix would allow me to continue "adding" compression to the fracture site as needed, which I think is quite likely.

    I know that you are a big fan of this combination (fixator for deformity correction followed by nailing) - in your experience, do most of your cases heal uneventfully after the nailing or is there a significant requirement for things like dynamisation or bone grafting.....

    Also, how many other cases have you done with a long duration of nonunion (2 years as in this case)

    Mangal
    [ Ответить ]

    • Re: Еще несращение distal tibia
      Отправитель: Alexander Chelnokov 14 Апрель 2005, 23:41
      DMP> I would consider gradual correction by distraction, and when the fragments
      DMP> are well aligned, compress the fracture.

      It will result at least with 2 cm of shortening. Maybe more.

      DMP> just above the syndesmosis. I would try to have a wire transfixing the lower
      DMP> tibial and fibular fragments.

      Yes, it is considered.

      DMP> (As you well know) The exfix would allow me to continue "adding" compression
      DMP> to the fracture site as needed, which I think is quite likely.

      Weight-bearing with dynamically locked nail must provide something
      similar...

      DMP> heal uneventfully after the nailing or is there a significant requirement
      DMP> for things like dynamisation or bone grafting.....

      The things are not equal. Grafting is much more invasive procedure.
      Never performed it on any nail. Dynamization is routine for cases
      where no distraction regenerate is seen in 2-3 month of static locking
      in tension. If no need to keep distraction gap, primary dynamic
      nailing can be performed.

      DMP> Also, how many other cases have you done with a long duration of
      DMP> nonunion (2 years as in this case)

      About 30. One case of 1 year nonunion can be worse than another of 5
      year.

      [ Ответить ]
      • Re: Еще несращение distal tibia
        Отправитель: Mangal Parihar 15 Апрель 2005, 21:35
        Alex,

        From your reply I get the idea that the procedure you are suggesting is actually similar to lenghtening over a nail, where the nail is used to protect the regenerate, and shorten the fixator time.

        i.e. you use the fixator to do a gradual distraction and stimulate regenerate, followed by nailing to protect the regenerate; rather than fixator to achieve closed reduction and nailing to achieve fixation and union

        It may sound like nit-picking but I suspect that it could have a bearing on outcome.

        Is that right or am I misunderstanding it

        Mangal Parihar

        [ Ответить ]
        • Re: Еще несращение distal tibia
          Отправитель: Alexander Chelnokov 15 Апрель 2005, 21:37
          DMP> From your reply I get the idea that the procedure you are suggesting is
          DMP> actually similar to lenghtening over a nail, where the nail is used to
          DMP> protect the regenerate, and shorten the fixator time.

          Yes, though i wouldn't call it similar to lengthening over nail (LON).
          Lengthening then nail (LTN) is much more convenient and comprehensive.

          DMP> i.e. you use the fixator to do a gradual distraction and stimulate
          DMP> regenerate, followed by nailing to protect the regenerate;

          Exactly. And dynamize the nail if necessary.

          DMP> rather than fixator to achieve closed reduction and nailing to
          DMP> achieve fixation and union

          This appoach we use for acute fractures and in acute angular corrections after perQ osteotomy, where even in case of ex-fix as definitive fixation we would prefer acute correction rather than open wedge regenerate.

          [ Ответить ]
          • Re: Еще несращение distal tibia
            Отправитель: Mangal Parihar 15 Апрель 2005, 22:35
            DMP> i.e. you use the fixator to do a gradual distraction and stimulate
            DMP> regenerate, followed by nailing to protect the regenerate;

            AC>Exactly. And dynamize the nail if necessary.

            That's an interesting approach...

            [ Ответить ]
    Re: Еще несращение distal tibia
    крылов андрей 15 Апрель 2005, 21:07
    сожалею, что не принял участие в дискуссии несколько раньше.
    8 лет назад поступила такая же больная.
    С точно такими же повреждениями. В анамнезе открытый перелом в нижней трети.
    Травма за 3 года до обращения.
    Лечили на скелетном вытяжении и затем замуровали в гипс на 8 месяцев.
    Долго искал рентгенограммы. К сожалению без успеха. По Р гр примерно тоже самое что и на представленных снимках. В переломе полная подвижность. Голеностопный сустав "умер".
    Через бугристость б\б кости был забит титановый штифт. Перед операцией, к сожалению, или к счастью, не правильно рассчитали длину штифта. При контрольной Р гр обнаружили, что штифт находится в подтаранном сустве. Решили оставть так. Через 5 мес. отметили полное сращение перелома. Около 6 месяцев пациентка жаловалась на боли в стопе. Через 1 год ходила уже практически не хромая претендуя на 2 гр. инвалидности
    Крылов Андрей
    [ Ответить ]

    Re: Еще несращение distal tibia
    Nuno Craveiro Lopes 15 Апрель 2005, 21:41
    Alex,

    If it was a dog bite and the wound have only healed one year after the open fracture, it was obviously infected. On this case, especially after a dog (or human!) bite, I would be preoccupied if I nail it.
    By the other side to chose the procedure with the best chance to cure and correct deformity on this particular case, it will be important to know if
    it there are any shortening as it seems.

    Nevertheless I (and the patient too, if you explain the risks of a ORIF in this case) will be leaning to do an Ilizarov.

    Best regards,

    Nuno Craveiro Lopes
    [ Ответить ]

    • Re: Еще несращение distal tibia
      Отправитель: Alexander Chelnokov 16 Апрель 2005, 10:56
      NL> correct deformity on this particular case, it will be important to know if
      NL> it there are any shortening as it seems.

      I consider comparative x-rays with radiolucent ruler after alignment.

      NL> Nevertheless I (and the patient too, if you explain the risks of a ORIF in
      NL> this case) will be leaning to do an Ilizarov.

      She requests us to hurry up because of some family reasons needs to be back to Tashkent ASAP. Of course she could be discharged in ex-fix after correction. But very probably the result will be exactly like what we started with, if not worse. She had already been fixed by Ilizarov. So IMHO primary goal shouldn't be to reach union but to restore axis/length and provide some kind of shaft endo (not exo!) prosthesis.

      [ Ответить ]
    • Re: Еще несращение distal tibia
      Отправитель: Tiffy Zachos 17 Апрель 2005, 12:14
      A dog bite is one of the least worrisome (in patients of almost any species), in terms of the virulence of the organisms living in a dog's mouth. Cat bites are the nastiest. She might not believe you, but this lady was relatively lucky, you might say.

      Cheers,

      Tiffy Zachos

      __________________________________________________________________
      Terri A. Zachos, DVM, Diplomate, American College of Veterinary Surgeons
      Comparative Orthopedic Molecular Medicine and Applied Research
      Laboratories
      The Ohio State University
      601 Vernon L. Tharp Street
      Columbus, OH 43210 USA

      [ Ответить ]
    Re: Еще несращение distal tibia
    DR CHERIAN KOVOOR 15 Апрель 2005, 22:37
    WHY BOTH- Ilizarov followed by closed nailing?

    DR CHERIAN KOVOOR
    KOCHI
    INDIA
    [ Ответить ]

    • Re: Еще несращение distal tibia
      Отправитель: Alexander Chelnokov 15 Апрель 2005, 22:45
      To combine benefits and avoid pitfalls of both technuques.

      [ Ответить ]
      • Re: Еще несращение distal tibia
        Отправитель: Mangal Parihar 16 Апрель 2005, 09:57
        as the joke about george bernard shaw goes

        "A strange lady giving an address in Zurich wrote him [Shaw] a proposal, thus: `You have the greatest brain in the world, and I have the most beautiful body; so we ought to produce the most perfect child.' Shaw asked: `What if the child inherits my body and your brains?' "

        One could land up combining the pitfalls and avoiding the benefits of both techniques.....

        Just Kidding

        Mangal

        [ Ответить ]
        • Re: Еще несращение distal tibia
          Отправитель: Alexander Chelnokov 16 Апрель 2005, 10:54
          Each joke contains some part of joke...
          At least we can expect short duration of ex-fix and smooth nailing without troubles of acute reduction.

          [ Ответить ]
    Re: Еще несращение distal tibia
    M. Bryan Neal, MD 16 Апрель 2005, 10:03
    Hello:

    Assume odd and/or unusual bacterial infection with distal tib fib nonunion in elderly patient with poor soft tisseu sleeve: I suggest BKA.

    --
    Sincerely and respectfully,



    M. Bryan Neal, MD
    Arlington Orthopedics and Hand Surgery Specialists, Ltd.
    1100 W. Central Road, Suite 304
    Arlington Heights, Illinois 60005
    [ Ответить ]

    • Re: Еще несращение distal tibia
      Отправитель: Alexander Chelnokov 16 Апрель 2005, 10:57
      AFAIK the option had been discussed at the peak of problems and if it was refused when persistent wound/infection were obious, i see no sense to return to the offer of amputation now in much more calm conditions. Even if option of high quality prosthesis would be available.

      [ Ответить ]
      • Re: Еще несращение distal tibia
        Отправитель: Zeev Glozman 17 Апрель 2005, 12:12
        Probably it is not the place for me to talk being the most junior guy (not even a full MD yet), but I would like to ask a few questions:
        1. Whats her currenty ankle condition ?
        2. Is there any ROM in it ?
        3. Would arthordesis be an option ?
        If it is, why can not this be done with a retrograde nail such as a versa nail, for tripple
        arthrodesis? some bone graft may be some resection and shortening?

        [ Ответить ]
    Re: Еще несращение distal tibia
    Alexander Chelnokov 18 Апрель 2005, 18:48
    e> сустав,стержень можно провести проксимальнее сустава, фиксируя только таран.

    А такая травма сустава не приводит к артрозу? Это же не спица.

    e> Как ты думаешь, какова перспектива голеностопного сустава с такой исходной
    e> мобильностью?

    Мне интуиция подсказывает, что замыкать сустав сейчас не стоит.

    e> голеностопа разрушен, что при восстановлении оси голени и нагрузке приведет
    e> к ОА. Предвидеть в какой степени он будет выражен невозможно, вполне
    e> вероятен последующий артродез.

    А если панартродез разу - на суставы среднего тарза и колено как он повлияет? Даме 72 года (она, кстати, терапевт в прошлом), функциональные требования не очень высоки, масса тела невелика... Так что - может, и проскочим со всеми суставами?

    e> анест. осложнений я бы выбрал первый вариант, если подобные опасения
    e> отсутствуют-- вариант второй.

    Эх... Все равно это "принятие решения в условиях недостатка информации".

    e> Согласен: чем больше функциональных структур сохранено - тем лучше, но ты
    e> считаешь , что за 1,5 года бездействия суставов их мобильность не
    e> пострадала?

    А вот как увеличивается мобильность в суставах Шопара/Лисфранка после артродеза голеностопного... Глядишь, и тут расходится, если условия позволят?
    В общем, начали c аппарата - нложили, малоберцовую внизу пересекли, выбрали люфт, раз дальше сопротивление пошло - выведем постепенно.
    Картинки приложены. Жду комментариев.














    [ Ответить ]

    • Re: Еще несращение distal tibia
      Отправитель: Evgueny Tschekashkin 21 Апрель 2005, 04:36
      Приветствую, Александр,

      Извини за задержку с ответом.

      > e> сустав,стержень можно провести проксимальнее сустава, фиксируя только
      таран.
      >
      > А такая травма сустава не приводит к артрозу? Это же не спица.

      Ты прав: стружка образующаяся при рассверливании пяточной и таранной костей
      явится материалом для артродеза и подтаранного сустава, независимо от уровня
      проведения гвоздя.

      > e> Как ты думаешь, какова перспектива голеностопного сустава с такой
      исходной
      > e> мобильностью?
      >
      > Мне интуиция подсказывает, что замыкать сустав сейчас не стоит.

      Мне попалась статья по поздней реконструкции голеностопного сустава при
      неправильно сросшихся переломах лодыжек, где авторы применяя коррегирующие
      остеотомии м.б кости спустя год после первичной травмы описали
      удовлетворительные результаты функции сустава в основном у пациентов с
      невысоким уровнем активности. От сюда следует, что голеностоп легко раним,
      но жизнеспособен, поэтому соглашусь с твоим аргументом не торопиться с
      артродезом.


      > В общем, начали c аппарата - нложили, малоберцовую внизу пересекли,
      > выбрали люфт, раз дальше сопротивление пошло - выведем постепенно.
      > Картинки приложены. Жду комментариев.

      Какова была подвижность в зоне несращения после остеотомии малоберцовой
      кости? Была ли возможность одномоментной коррекции оси б.б кости и если да,
      то почему не штифтование, а аппарат?

      ВСего доброго,

      Евгений


      [ Ответить ]
      • Re: Еще несращение distal tibia
        Отправитель: Юрий Алексеевич Булахтин 09 Май 2005, 09:56
        Евгений!

        Нельзя ли попросить статью по поздним реконструкциям голеностопа?

        --
        С уважением,
        Юрий Алексеевич Булахтин

        [ Ответить ]
        • Re: Еще несращение distal tibia
          Отправитель: Evgueny Tchekashkine 09 Май 2005, 10:01
          Уважаемый Юрий Алексеевич,

          Нельзя ли попросить статью по поздним реконструкциям голеностопа?

          Конечно, можно :-))
          Статья в приложении









          [ Ответить ]
    Re: Еще несращение distal tibia
    Alexander Chelnokov 26 Апрель 2005, 11:11
    e> Какова была подвижность в зоне несращения после остеотомии малоберцовой
    e> кости?

    Примерно такова, как было на снимках в аппарате. Все, что относительно свободно было, выбрали, а дальше уже было тугое сопротивление тканей.

    e> Была ли возможность одномоментной коррекции оси б.б кости и если да,
    e> то почему не штифтование, а аппарат?

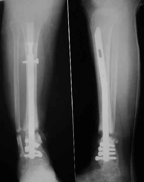
    Аппарат - чтобы плавно исправить ось. В приложении - снимки на момент окончания коррекции в аппарате, фото с операции, и послеоперационная рентгенограмма.






















    Диаметр гвоздика 10,5 мм. Пришлось укорачивать до 23 см - уж очень миниатюрная дама, отверстия насверлил под 45 градусов, под 5 мм винты. По оси удалось сблизить до этого положения. Заперли гвоздь пока статически с планом через 2 месяца верхний винт убрать. Но это ей придется уже в Ташкенте сделать. Что скажете? Спасибо.

    In attachment - x-rays at the end of alignment, the surgery, and result. The nail was cut to 23 cm. Four 45 degree holes were pre-drilled at the distal nail tip. The nail was locked statically
    after some impaction. Dynamization is considered in 8 weeks. Any comments/critics?



    [ Ответить ]

    • Re: Еще несращение distal tibia
      Отправитель: Evgueny Tchekashkine 27 Апрель 2005, 01:48
      Что скажете? Спасибо.

      :-)) И тебе спасибо - элегантная техника , здорово сработано.

      Всего доброго,
      Евгений

      [ Ответить ]
    • Re: Еще несращение distal tibia
      Отправитель: Evgueny Tchekashkine 27 Апрель 2005, 02:07
      Саша, здравствуй,

      Поясни, почему не стал динамизировать гвоздь сразу? *воспитание* дистракционного регенерата?

      Евгений

      [ Ответить ]
      • Re: Еще несращение distal tibia
        Отправитель: Alexander Chelnokov 27 Апрель 2005, 02:09
        А вдруг там все-таки от дистракции образуется регенерат, хоть дохленький? На созревание и зарезервировали 2 месяца стабилизации.
        Если регенерата совсем не будет - после отпирания гвоздя отломки начнут сближаться до полного контакта. А если все-таки будет - еще и ~1 см выиграем.

        [ Ответить ]
    • Re: Еще несращение distal tibia
      Отправитель: Nuno Craveiro Lopes 27 Апрель 2005, 02:10
      Alex,

      > In attachment - x-rays at the end of alignment, the surgery, and
      > result. The nail was cut to 23 cm. Four 45 degree holes were
      > pre-drilled at the distal nail tip. The nail was locked statically
      > after some impaction.

      Amazing! How can you find the pathway of the nail through all those wires and the distal screws through so much hardware?
      Deep infection rate must be high...

      > Dynamization is considered in 8 weeks. Any

      If you dynamise before regenerate maturation, d'ont you loose lenght?


      Best regards,

      Nuno Craveiro Lopes

      [ Ответить ]
      • Re: Еще несращение distal tibia
        Отправитель: Alexander Chelnokov 27 Апрель 2005, 02:57
        NL> Amazing! How can you find the pathway of the nail through all those wires
        NL> and the distal screws through so much hardware?

        Some wires were intentionally inserted to leave needed space for the nail, some were removed at the moment of nail insertion. I inserted one distal screw and then removed the frame, then inserted rest ones.

        NL> Deep infection rate must be high...

        Why? There were no signs of infection and ex-fix has been in place for only 2 weeks.

        NL> If you dynamise before regenerate maturation, d'ont you loose lenght?

        Sure. Frankly speaking the target was just functional stable aligned limb regardless of shortening. I don't expect regenerate appearance, but what if i am wrong? If the bonus appears in the gap, we'll give it 2 month to mature. Anyway x-rays will be taken prior screw removal so dynamization can be postponed if necessary.

        [ Ответить ]

     

    ( Ответить )

    Powered by Zope  Squishdot Powered MedLink
    Посетитель: 0313248
      "По форме правильно, а по существу - издевательство" В.И.Ленин
    ©2001-2019Orthoforum Coordinator.
    [ Главная | Отправить сообщение | Поиск | Админ ]