AOTRAUMA.ORG Центр Илизарова  

Ортопедия и травматология Общие вопросы/General questions Help Информационные технологии в медицине
 вверх
 отправить
 поиск
 админ
 главная
 Предыдущее
 Весь тред


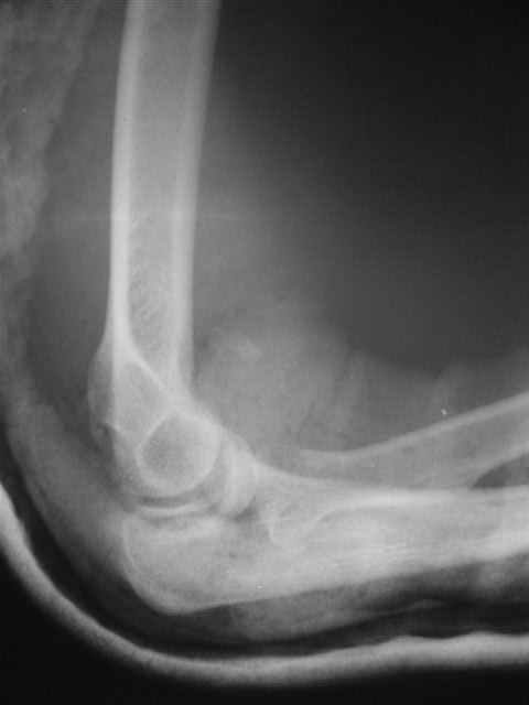
Re: Вывих костей предплечья и перелом головки луче
Aleksey V. Mozgounov 25 Апрель 2005, 00:22
Самое интересное, что сейчас сплошь и рядом наблюдается следующая тенденция -
вместо резекции головки делать эндопротезирование (или ORIF)...
дабы избежать Эссекс-Лопрести лижин'а or вальгусной деформации в отдаленном периоде...
Я имею в виду МедЛайн...

Много ли можно найти по данному запросу?
Особенно применительно к нашим реалиям?

Резюме...?
Хоть и нет снимков, а головку действительно наверное надо было
от....-ть...
Так проще.
Для всех.
...
Вот операция.
Вот заживление раны.
Вот разработка.
Вот полный объем движений.
Или почти близкий к нему.
Какие-то проблемы спустя 2-3-5 лет?
Ни один адвокат не докажет, что больная пролечена была неправильно.
Хочешь эндопротез?
Да ради бога... Плати бабки и езжай зарубеж.
Или где-то в России ставят эндопротезы головки луча?
Поделитесь где...

--
Best regards,

~~~~~~~~~~~~~~~~~~~~~~~~~~~~~~~~~~~~~~~~~~~~~~
Aleksey V. Mozgounov, M.D., Ph.D.,
  • Сообщения о Ортопедия и травматология
  • Также Aleksey V. Mozgounov
  • Связаться с автором
  • Ответить

    Re: Вывих костей предплечья и перелом головки луче
    Evgueny Tchekashkine 25 Апрель 2005, 00:33
    Уважаемый Алексей,

    Вы указали последствия резекции головки луча: нестабильность, вальгусная деформация, влияние на дистальное радиоульнарное сочленение, поэтому при изолированных или сочетанных повреждениях гоовки, стараюсь ее *собрать*, фиксируя межфрагментарными 1,5 - 2,0 мм винтами, по ситуации + L-пластиной. Отмечается ограничение амплитуды ронации-супинации впоследствии, но локтевой сустав остается стабильным. Результаты протезирования головки флотирущими имплантами функционально удовлетворительны и применительны к случаям, когда *собрать* мнооскольчатый перелом невозможно.
    На том же поисковике есть много статей по теме и артропластике в том числе.
    Всего наилучшего,
    Евгений




















    [ Ответить ]


    ( Ответить )

    Powered by Zope  Squishdot Powered MedLink
    Посетитель: 0196989
      "По форме правильно, а по существу - издевательство" В.И.Ленин
    ©2001-2019Orthoforum Coordinator.
    [ Главная | Отправить сообщение | Поиск | Админ ]