AOTRAUMA.ORG Центр Илизарова  

Ортопедия и травматология Общие вопросы/General questions Help Информационные технологии в медицине
 вверх
 отправить
 поиск
 админ
 главная
 Предыдущее


Re: Неправильно сросшийся перелом голени
Alexander Chelnokov 12 Декабрь 2005, 18:24
Интересно, какие соображения легли в основу выбора? Вроде LCP и сильно недешевы, и демонстрируют свои замечательные свойства в большей мере при околосуставных проблемах?
У нас, наверно, была бы сделана чрескожная остеотомия малоберцовой кости, формирование и рассверливание канала большеберцовой, закрытая остеоклазия, и закрытое же штифтование. За счет устранения варуса дефицит длины уменьшится. Можно и подтянуть дистрактором одномоментно.
Костная пластика при закрытом остеосинтезе не нужна.
При невозможности или чрезмерной травматичности одномоментного восстановления длины можно пойти двухэтапно (аппарат, потом гвоздь). Похожий пример см. тут. Прошло уже года полтора после остеосинтеза. Может, коллега Зырянов покажет годичный результат, если есть?
  • Сообщения о Ортопедия и травматология
  • Также Alexander Chelnokov
  • Связаться с автором
  • Ответить

    Re: Неправильно сросшийся перелом голени
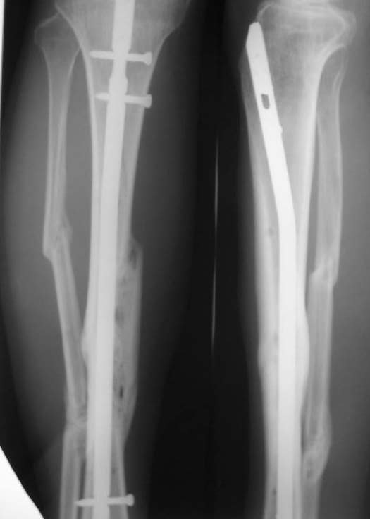
    Сергей Зырянов 16 Декабрь 2005, 08:20
    Александр Николаевич, к сожалению больной не является на контрольные осмотры. Я последний раз видел больного, когда прошло 7 месяцев после операции БОС. У него все хорошо. Каких либо жалоб и ограничений в нагрузке нет. Высылаю снимки до операции и последние снимки.



    Сергей Зырянов
    Новосибрская область
    г Куйбышев
    [ Ответить ]


    ( Ответить )

    Powered by Zope  Squishdot Powered MedLink
    Посетитель: 0148035
      "По форме правильно, а по существу - издевательство" В.И.Ленин
    ©2001-2019Orthoforum Coordinator.
    [ Главная | Отправить сообщение | Поиск | Админ ]