вверх
отправить
поиск
админ
главная
|
Перелом проксимального отдела диспластичного бедра |
 |
 |
 |
Отправлено Евгений Украинский 18 Март 2006, 19:35
Уважаемые коллеги.Необходим Ваш совет в выборе метода остеосинтеза.
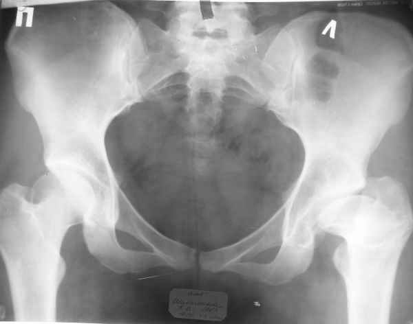
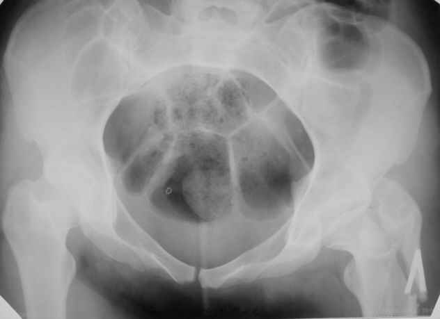
Пациентка 23 лет, доставлена в клинику с Диагнозом: Закрытый сегментарный оскольчатый перелом левой бедренной кости в верхней и средней трети. Травма в результате ДТП 10.03.2006г. Из анамнеза у пациентки диспластический левосторонний коксартроз, S-образный сколиоз 2ст. В 1999г в Кургане выполнялась остеотомия бедра в нижней трети и коррекция укорочения конечности на 3 см (рентгенограммы бедра и таза до травмы в приложении). До получения травмы пациентка ходила без боли с полной нагрузкой на левую ногу. Учитывая дисплазию левого ТБС, пациентке, вероятно, предстоит операция тотального эндопротезирования лев ТБС, что требует анатомичного восстановления проксимальногоотдела бедра. Рассматриваются следующие вариант остеосинтеза:1) Экстракортикальный остеосинтез проксимального и дистального перелома пластиной с угловой стабильностью типа LISS( г Рыбинск); 2) Ретроградный интрамедуллярный блокированный остеосинтез дистального перелома и накостный синтез проксимального пластиной с угловойстабильностью; 3) Остеосинтез бедра в аппарате внешней фиксации с фиксацией таза и возможной открытой адаптацией фрагментов. Хотелось бы узнать Ваше мнение. С уважением Украинский Евгений, г.Краснодар, ККБ N1, ТОО N3.
<
|
>
|
|
Ответить
|
Re: Перелом проксимального отдела диспластичного б
Alexander Chelnokov 19 Март 2006, 16:27
|
от> лев ТБС, что требует анатомичного восстановления проксимального
от> отдела бедра.
Судя по снимкам до перелома, большой вертел располагался высоковато. Может, подумать о том, чтобы при остеосинтезе его переместить дистальнее и/или латеральнее? Что скажут коллеги, активно занимающиеся эндопротезированием?
от> Рассматриваются следующие вариант остеосинтеза:
от> 1) Экстракортикальный остеосинтез проксимального и дистального
от> перелома пластиной с угловой стабильностью типа LISS( г Рыбинск);
Это такие длинные у них пластины есть?!
от> 2) Ретроградный интрамедуллярный блокированный остеосинтез дистального
То есть возможности закрытого интрамедуллярного остоеосинтеза у вас в
отделении в принципе есть?
от> 3) Остеосинтез бедра в аппарате внешней фиксации с фиксацией таза и
А почему не рассматривается, по-видимому, самый напрашивающийся вариант - закрытый интрамедуллярный остеосинтез? Лучше, конечно,
"цефаломедуллярным" фиксатором - реконструкционым, проксимальным, гамма, то есть с введением винта (винтов) в шейку и головку бедра.
Хотя, в принципе, тут можно даже попробовать обойтись стержнем с поперечными запирающими винтами, особенно если под рукой стержни с возможностью ввести более двух стандартных винтов.
Ма бы наложили спицевой дистрактор (1 спица в крыло спереди назад, другая в дистальный метафиз бедра), две дуги, три телескопических стержня. Дистракция в приведении. Во фрагмент большого вертела, видимо, понадобится отдельная спица и отдельная дуга, за которую руками вертел подправить в желаемое положение, диафикировать спицами по заднему контуру отломков и шейки, чтобы не мешали проведению гвоздя потом.
Если по этому пути решите пойти, остальные подробности можно обсудить.
|
[
Ответить ]
|
Re: Перелом проксимального отдела диспластичного б
Djoldas Kuldjanov 27 Март 2006, 19:17
|
>Рассматриваются следующие вариант остеосинтеза: 1) Экстракортикальный
>остеосинтез проксимального и дистального перелома пластиной с угловой
>стабильностью типа LISS( г Рыбинск); 2) Ретроградный интрамедуллярный
>блокированный остеосинтез дистального перелома и накостный синтез
>проксимального пластиной с угловой стабильностью; 3) Остеосинтез
>бедра в аппарате внешней фиксации с фиксацией таза и возможной
>открытой адаптацией фрагментов."
Все рассматриваемые варианты остеосинтеза подходят, и к ним можно добавить вариант фиксации DHS или Blade Plate с короткой на два шурупа пластиной в проксимальной части бедра и ретроградного интрамедуллярного стержня в бедро, выбор метода фиксации всегда зависит от вашего опыта и знакомства с методом.
Конечно, подходят и варианты интрамедуллярных штифтов с различными вариантами фиксации в проксимальной части бедра.
> Учитывая дисплазию левого ТБС, пациентке, вероятно, предстоит
> операция тотального эндопротезирования лев ТБС, что требует
> анатомичного восстановления проксимального отдела бедра.
Не во всех случаях, особенно у молодых!, при дисплазии ТБС требуется эндопротезирование. По представленным снимкам четко видны хорошо сохраненный тазобедренный сустав и тем более больная до травмы не имела симптомов диспластического сустава. В будущем при появлении симптомов, можно попытаться сделать реконструктивную работу по сохранению сустава: ПАО с удлинением шейки (аналогичные случаи были
рассмотрены форумом)
Учитывая, что в проксимальная часть бедра в скором будущем будет нуждаться в больших оперативных вмешательствах, я бы старался сохранить проксимальное кровообращение бедра и поэтому считаю антеградное штифтование неприемлемым методом для данного случая.
При антеградном методе, в зависимости от место введения штифта, особенно если введение штифта происходит через piriformis fossa, имеется большая вероятность повреждения medial artery circumflex
(медиальной огибающей артерии). Менее опасным считается введение через верхушку большого вертела. Кстати, новые снимки с дистракцией
уточнят положения отломков.
Я бы персонально для фиксации выбрал бы короткий DHS или Blade Plate и ретроградное штифтование (регенерат после удлинения!, трудности с просверливанием), вторым вариантом оставил бы пластину с угловой стабильностью (Polyax, Synthes и т.д) с перкутанным методом внедрения, репозиция отломков по усмотрению автора: на ортопедическом столе, на бедренном дистракторе или дистракторе из двух колец от аппарата Илизарова. Главное, обратить внимание на ротацию конечности во время
фиксации из-за сегментарного перелома.
Удачи,
Djoldas Kuldjanov, MD
Department of Orthopedic Surgery
St. Louis University Medical Center
|
[
Ответить ]
|
Re: Перелом проксимального отдела диспластичного б
Отправитель: Украинский Е 07 Апрель 2006, 02:33
|
Уважаемые коллеги, приношу извенения за молчание. Готовили материал и боялись писать раньше времени. Все хотели убедиться в том, что после операции все будет спокойно. Спасибо за отклики и советы. К сожалению, гамма-гвоздя, штифтов с возможностью установки более 2-х блокирующих винтов у нас нет. Зато нашли достаточно длинную пластину с угловой стабильностью. После проведения предоперационной подготовки и планирования выполнили остеосинтез. В условиях рентгеноперационной, после репозиции дистрактором из одного разреза 5см в проксимальном отделе подкожно установили пластину. Пришлось выполнить дополнительный разрез до5см в проекции перелома диафиза в средней трети, из которого удалось репонировать перелом и выполнить фиксацию стягивающим винтом. Затем все завершилось наложением пластины с угловой стабильностью. Пластина оказалась достаточно длинной, что позволило перекрыть все переломы с фиксацией каждого отломка минимум 5-ю винтами. Синтез достаточно стабилен. Пациентка активизирована на 3-и сутки(снимки прилагаются). В настоящий момент пациентка выписана на амбулаторное лечение. Еще раз, огромное спасибо всем за помощь в выборе тактики и просто совете. С уважением Украинский Е.
|
[
Ответить ]
|
Re: Перелом проксимального отдела диспластичного б
Отправитель: Alexander Chelnokov 07 Апрель 2006, 12:05
|
Снимков нету. попробуйте еще раз отправить, pls.
|
[
Ответить ]
|
Re: Перелом проксимального отдела диспластичного б
Отправитель: Evgeniy Ukrainsky 12 Апрель 2006, 13:36
|
Прошу прощения, со снимками глюк произошел. Высылаю. С уважением Евгений У.

|
[
Ответить ]
|
Re: Перелом проксимального отдела диспластичного б
Отправитель: Alexander Chelnokov 16 Апрель 2006, 16:24
|
Получилось очень симпатично, мои поздравления. А можно фото конечности без наклеек посмотреть?
И межфрагментарный винт на диафизе - так ли он нужен при выбранном варианте остеосинтеза с относительной стабильностью?
Хотя все-таки закрыто антгерадно заштифтовать тут было вполне можно, и при использовании отечетственного имплантата лечение обошлось бы на порядок дешевле. Опасения коллеги Кульджанова насчет кровоснабжения головки бедра и предстоящих операции в этой области кажуься несколько
преувеличенными - и стержень можно через вертел ввести, да и расстройства кровоснабжения головки, если они случатся после штифтования, не будут длиться вечно.
Но в люом случае, что сделано - то сделано, и сделанное выглядит вполне обнадеживающе, так что еще раз поздравляю коллег с успешным выходом из непростой ситуации.
|
[
Ответить ]
|
|
( Ответить )
|
|