Ответить
|
Re: Остеомиелит бедра
Alexander Chelnokov 08 Апрель 2006, 17:33
|
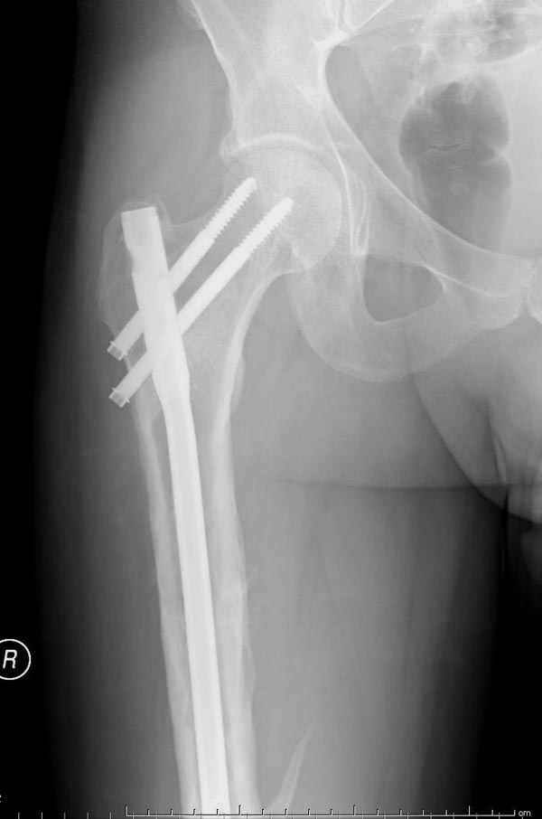
RR> Оперирован 1,5 мес назад после откр. перелома бедра.
RR> Помогите с тактикой лечения?
Хотя снимки довольно красноречивые, неплохо бы добавить подробности по клиническим проявлениям. Есть ли раны, или свищи, где, сколько, много ли отделяемого, что высевается?
RR> Хотел по подробнее узнать о лазерной перфорации?
Насколько я знаю, это довольно сомнительное воздействие, никаких международных данных нет. Единственная публикация в Medline - отечественных авторов, видимо, разработчков этой методики.
================================================
Vestn Khir Im I I Grek. 2004;163(6):68-72.
[The clinical-morphological estimation of the results of laser osteoperforation
in treatment of chronic osteomyelitis]
[Article in Russian]
Krochek IV, Privalov VA, Lappa AV, Nikitin SV.
The method of laser osteoperforation was approved in 135 patients with chronic osteomyelitis. The diode laser with wave length 970 mm and peak power up to 30 Wt was used. Energy was delivered by the percutaneous contact method with a quartz light guide of 0.4 mm diameter. All the patients had a distinct positive reaction in the nearest days after operation. The fistulas were closed within 4-10 days. Stable remission was noted during 2-5 years by objective indices (X-ray, fluometry, densitometry, morphological data). Our experiences with clinical use of laser osteoperforation show its high efficiency in treatment of chronic osteomyelitis. The method is minimally invasive and allows to considerably shorten the terms of treatment and rehabilitation.
Publication Types:
Case Reports
================================================
Вряд ли стоит надеяться на решение проблемы волшебной палочкой, то
бишь лазером.
Вариантов вообще тут несколько, в зависимости от клинических проявлений. Можно удалить стержень, наложить аппарат, сделать обработку с некрэктомией, установить системы орошения внутриканально и в бедре (данных о ранах нету). Может быть, резецировать концы оотломков, если они вовлечены. Возможно, после хирургичкеской обработки достаточно было бы внутриканального спейсера из костного цемента с антибиотиками, с такими же бусами в тканях. В общем, надо больше информации для определенности, по какому варианту двигаться.
|
[
Ответить ]
|
Re: Остеомиелит бедра
Отправитель: Runat Ramanov 10 Апрель 2006, 11:07
|
Krochek IV, Privalov VA, Lappa AV, Nikitin SV. - Прошу ВАС поподробнее информировать о лазерном аппарате(где его можно приобрести?).
|
[
Ответить ]
|
Re: Остеомиелит бедра
Отправитель: Alexander Chelnokov 10 Апрель 2006, 11:58
|
Можно повторить еще раз - нет никаких подтверждений того, что от этого аппарата есть какая-то польза. Не могли бы Вы пояснить, зачем Вы интересуетесь его приобретением?
Что Вы намереваетесь делать с тем больным, рентгенограммы которого были Вами представлены? Надеюсь, Вы не связываете его лечение с приобретением этого лазерного аппарата?
|
[
Ответить ]
|
Re: Остеомиелит бедра
Отправитель: Rinat Ramanov 11 Апрель 2006, 18:53
|
Нет конечно, но те, кто обуликовали свои результаты тоже, наверное, не дураки (они тоже ученые), раз так, как-то надо реагировать на новости, и думаю, что внедрению новых технологии на практику не так часто мешают наши "старые" пессемистические взгляды на тему.
- то что делается или собираемся делать все для выздорполдения больного!
|
[
Ответить ]
|
Re: Остеомиелит бедра
Отправитель: Alexander Chelnokov 11 Апрель 2006, 19:05
|
RR> Нет конечно но те кто обуликовали свои результаты тоже наверное не
RR> дураки(они тоже ученные),
Наверно, не дураки, раз Вы уже готовы что-то купить. А само событие публикации критерием достоверности не является.
RR> раз так как то надо реагировать на новости,
Надо реагировать не "как-то", а вполне определенным образом - поинтересоваться, каков дизайн исследования (проспективное ли, как формировались основная и контрольная группа, была ли рандомизация?) Есть ли независимые подтверждения пользы этого воздействия в виде контролируемых испытаний? Применяется ли уже данный подход в развитых странах? Да и вообще, нет ли противоречия с хирургическим здравым смыслом?
RR> и думаю что на внедрение новых технологии на практику не так часто RR> мешают наши "старые" пессемистические взгляды на тему.
К сожалению, примером старых взглядов как раз и является желание уже чуть ли не применить методику, знакомую на уровне слухов, и не имеющую достоверных доказательств пользы.
RR> - то что делается или собираемся делать все для выздорполдения
RR> больного!
Добрые намерения - не гарантия оптимальности действий. В любом случае, базовый подход в представленной ситууации - это надежная стабилизация сегмента, хирургическая санация гнойных очагов и либо система орошения, либо спейсеры из цемента с антибиотиками. На этом фоне потом и бубен шамана можно использовать, и лазер, и мумие, и прочую акупунктуру-гомеопатию.
|
[
Ответить ]
|
|
Re: Остеомиелит бедра
Алексей Семенистый 09 Апрель 2006, 01:19
|
Согласен с A.Ch. Безусловно: штифт удалять (фиксация несостоятельна); наружная фиксация (спицевая, стержневая, гибридная...), местное лечение; антибактериальная терапия; .... на лазер надежд меньше на Бога.
|
[
Ответить ]
|
Re: Остеомиелит бедра
vladimir starostenko Харьков 12 Апрель 2006, 03:29
|
Алексадр Челноков в свойственной иногда манере оригинально ответил на поставленый вопрос, но трудно не согласиться с его доводами.Давайте отталкиваться дейсвительно от старых проверенных фактов прежде чем переходить к новым методам хотя и
несущим гроикие названия как то: "лазерное магнитоперфорировани, магнитная вода и.т.д"
Сув. Старостенко Владимир.
|
[
Ответить ]
|
Re: Остеомиелит бедра
Djoldas Kuldjanov 12 Апрель 2006, 23:40
|
>“Помогите с тактикой лечения? Хотел поподробнее узнать о лазерной
>перфорации? а также как можно купить его?”
Вы получили ответ от наших коллег на ваш вопрос по поводу лазера, и если вас все же интересует тактика лечения инфицированных переломов после штифтования, я бы мог поделитmся нашей тактикой лечения подобных осложнений.
Со времен Войно-Ясенецкого, отца Российской гнойной хирургии в начале прошлого столетия (кстати, очень почитаемого в вашем городе, где он заведовал кафедрой хирургии ТашМИ и был священником высокого ранга в местной Духовной семинарии), гнойные процессы должны быть вскрыты и дренированы. Примерно та же тактика применяется и сегодня, за осключением метода вскрытия, кто скальпелем, а кто то методом лазерной перфорации.
Из статьи Krochek IV, Privalov VA, Lappa AV, Nikitin SV не понятно как перфорация 0.4 мм диаметром перкутанно, создает благоприятные условия при лечении остеомиелитического процесса, если лазер использовать для резки костной ткани с последующей эвакуацией и ваккумированием (разработка профессора Ш.Ш. Хамраева), тогда имеется смысл применения таковых лазерных скальпелей.
На вашем месте я бы вскрыл очаг остеомиелита, предварительно удалив штифт, загнанный с нарушением всех правил интрамедуллярного остеосинтеза, промыл полость не менее 5-6 литрами физиологического раствора с применением Jet Lavage.
Имеющиеся деньги, предназначенные для покупки лазерного аппарата-перфоратора я бы потратил для аппарата Jet Lavage, от которого будет больше пользы для данного больного, а о ставшиеся деньги для покупки антибиотиков, потому что данные категории больных нуждаются в спейсерах из антибиотиков.
Спейсеры служат для уменьшения мертвого пространства после обработки, иначе имеется риск повторного инфициравания, потому что собравшаяся жидкость является хорошей питательной средой для бактерии.
После удаления штифта, нужно расверлить канал на 1.5-2мм больше, чем удаленный штифт и ввести “Custom made Nail”из антибиотиков. Эти штифты готовятся прямо во время операции из спиц достаточной длины в канал, делается из резиновой трубки форма, и вводится цемент с антибиотиком
(Vancomycin 1.0+ Tobramycin 1.2), в середину вводится спица, трубка после затвердения цемента со спицей разрезается и ваш Custom made Nail
готов, его можно вводить в полость канала.
Использование других антибиотиков нашими коллегами по сайту к успеху не приводили, цемент не схвативался? В некоторых странах имеются уже
готовые цементы с антибиотиком.
Оставщиеся другие полости после дренажа заполняем бусами из того же материала.
Учитывая, что на представленной ренгенограмме перелом сросся, я думаю достаточно будет такая импровизированная интрамедуллярная фиксация.
Инфекция канала и стрессовый перелом:
Представляю снимки больного с политравмой: леченного в другом мед.учреждении по поводу открытого перелома бедра, сперва аппаратом наружной фиксации, затем пластиной. Обратился к нам через 8 месяцев после удаления пластины с проблемой несросщего перелома бедренной кости, без клинических проявлении к инфицированию (не все снимки сохранены)
Рутинный интрамедуллярный остеосинтез с расверливанием и с фиксацией реконструктивным трокантерик штифтом (рис №1, №2),

если первые 4 месяца послеоперационного периода проходил без проблем, но на 5 месяце появились боли в дистальном отделе бедра и температура, т.е. симптомы медуллярного инфицирования (рис №3, №4).

Замена реконструктивного штифта “Custom made Nail” с антибиотиком (рис №5, №6),

после промывки канала с рассверливанием внутреннего кортекса, через 4 недели антибиотический штифт удалили, оспалителный процесс остановлен и бедро сросся.
Мы не дождались “Happy End”, у больного IQ в пределах 70%, через 6 месяцев вернулся после небольшой травмы, споткнувшись получил перелом
того же бедра (рис №7).

На следующий день произвели интрамедуллярный остеосинтез: этапы во время операции (рис №8, №9)

и последующих снимках (рис №10, 11, 12, 13) перелом сростается и передвигается с полной нагрузкой.

При обзоре причин перелома, на снимке №2 обнаружили, что один из стержней аппарата наружной фиксации проходил только через передний кортекальный слой, что создало стрессовую зону на бедре и в результате перелом из-за незначительной травмы.
Джолдас Кульджанов
Djoldas Kuldjanov, MD
Department of Orthopedic Surgery
St. Louis University Medical Center
|
[
Ответить ]
|
Re: Остеомиелит бедра
Отправитель: Anton Kovalenko 13 Апрель 2006, 08:34
|
Уважаемый Джолдас Кульджанов!
Спасибо, за исчерпывающее описание вашей тактики при инфекционных осложнений при остеосинтезе, которые случаются может и не редко,
но уж как метко(!). Точно не процитирую, но:"2% осложнений - это у врача, а осложнение у конкретного больного- это все 100%."
Если кто знает оригинал - поправте,плз.
Wednesday, April 12, 2006, 6:38:11 AM, you wrote:
DK> Использование других антибиотиков нашими коллегами по сайту к успеху не
DK> приводили, цемент не схвативался? В некоторых странах имеются уже
DK> готовые цементы с антибиотиком.
Хотелось бы уточнить, что клинический результат как раз-таки превзошел все ожидания: гипертермия изчезла, отек бедра разрешился, раны зажили первичным натяжением, самочувств ие улучшилось. Другое дело, что в время операции при добавление антибиотика(ванкомицин 2г)к цементу,раствор цемента резко изменил свойства, были опасения что приготовленные (с трудом) материалы отправятся в мусорное ведро и все задуманное не осуществится. Однако, обошлось.
Что касается некоторых стран и некоторых цементов с АБ, все что описано выше могло и не произойти, если была бы возможность применять то, что было рекомендовано более опытными коллегами, а не то, что смогли найти. Но увы - слишком много значит "бы".
DK> При обзоре причин перелома, на снимке №2 обнаружили, что один из
DK> стержней аппарата наружной фиксации проходил только через передний
На представленных R-граммах нет снимков с АВФ. На снимке №4 дистальный статический винт не доходит до второго кортикала. Если это имелось ввиду, то хотелось бы уточнить, могло ли это привести к повторному перелому бедра, в котором интрамедуллярный штифт отсутствовал.
|
[
Ответить ]
|
Re: Остеомиелит бедра
Отправитель: Alexader Chelnokov 16 Апрель 2006, 16:12
|
КАН> Что касается некоторых стран и некоторых цементов с АБ, все что описано выше
КАН> могло и не произойти, если была бы возможность применять то, что
КАН> было рекомендовано более опытными коллегами, а не то, что смогли
Зато получили новое знание о другом типе цемента, других предостерегли.
DK>> стержней аппарата наружной фиксации проходил только через передний
КАН> На представленных R-граммах нет снимков с АВФ.
На снимке N2 виден канал от стержня во фронтальной плоскости, на уровне которого на снимке N7 уже перелом.
|
[
Ответить ]
|
Re: Остеомиелит бедра
Отправитель: Djoldas Kuldjanov 16 Апрель 2006, 16:16
|
Около трех лет назад компания Stryker Howmedica выпустила полуготовый цемент с антибиотиком Tobramycin 1.0, и по вашему усмотрению к нему остается добавить Vancomycin 1.0 - ваш состав готов к применению. До этого цемент с антибиотиком готовил сам во время операции, добавлением сухого антибиотика в пакет стандартного цемента Simplex
или Palacos. У нас заводской флакон содержит 1.2 грамма Tobramycin, и по мере необходимости применял в форме бус или штифтов при костных или
мягкотканых осложнениях.
При серьезных инфицированных процессах, например, после тотального эндопротезирования, когда необходимо удалить тотальный имплант и провести Irrigation&Debridment, я вдвое увеличиваю дозу антибиотиков.
Два пакета цемента с двойной дозой антибиотиков невозможно "склеить" вместе, поэтому необходимо добавить еще одну дозу растворителя цемента. Если к ним ещё прибавить несколько капель метиленовой синей, то получится масса, отличающаяся по окраске от костной, что немаловажно при ревизионных случаях, чтобы легко определить границы цемента.
>“На представленных R-граммах нет снимков с АВФ. На снимке №4
>дистальный статический винт не доходит до второго кортикала “

Снимок №4 сделан после несостоятельности интрамедуллярного штифта, осложнения инфекцией канала и после миграции шурупов. Я имел ввиду, что снимок № 2 после удаления наружного фиксатора в интрамедуллярном варианте, на увеличенном снимке дырка на переднем кортексе (см. снимок) stress zone Чтобы правильно без осложнений провести half pins, необходимо соблюсти нескольких правил, во первых, они должны вводится в середине диаметра кости с предварительным просверливанием. Во время просверливания кости, сверло проходит первый, потом второй дальний кортекс и стержен вводится вручную. А иногда сверление проходит по касательной к кортексу, нагреваются местные ткани, создается ожог и локальный некроз. Или как будто делается кортикотомия с помощью сверла, как при
методе Илизарова, ослабляя кортикальный слой. Создается стрессовая зона, которая при незначительной травме может осложниться стрессовым
переломом.
Джолдас
Djoldas Kuldjanov, MD
Department of Orthopedic Surgery
St. Louis University Medical Center
|
[
Ответить ]
|
|
Re: Остеомиелит бедра
Rinat Ramanov 16 Апрель 2006, 16:07
|
Спасибо всем кто участвовал в этом форуме осиеомиелит бедра), жаль что так долго молчать разроботчики и травматологии которые применили
клинические.
По поводу ваших предположений о моем намерении связанные с покупкой и по поводу его применения этого лазерного аппарата - это все для
улущения результатов лечения данной категории больных больше ничего.
Спасибо всем!
|
[
Ответить ]
|
Re: Остеомиелит бедра
Отправитель: Alexader Chelnokov 16 Апрель 2006, 16:08
|
RR> так долго молчать разроботчики и травматологии которые применили
RR> клинические.
То есть подтверждения пользы лазерной перфорации при остеомиелите не
получено.
Разочаровывает Ваше пренебрежительное отношение к заданным Вам вопросам о текущей ситуации с этим пациентом. Все-таки надеюсь услышать, что же все-таки происходит сейчас с ним? Принимаются ли какие-то лечебные меры? Если да, то какие?
RR> это все для улущения результатов лечения данной категории больных
RR> больше ничего.
Вы это уже говорили. И на это Вам уже было отвечено, что намерения улучшить результаты - не основание применять сомнительные воздействия.
А для реального улучшения результатов Вам была дана информация о подходах, полезность которых многократно независимо подтверждена.
|
[
Ответить ]
|
Re: Остеомиелит бедра
Отправитель: Leonid Pollyak 18 Апрель 2006, 19:30
|
Уважаемые коллеги! С большим интересом следил за дискуссией о применении лазерного воздействия на остеомиэлитический процесс. Своего опыта использования лазера при данной патологии нет. но в городе был случай лечения патологического перелома голени, возникшего после лазерной остеоперфорации. В приложении картинка, на которой хорошо видны места бывших остеоперфораций.

|
[
Ответить ]
|
|
( Ответить )
|
|