вверх
отправить
поиск
админ
главная
|
О коррегирующих околосуставных операциях. |
 |
 |
 |
Отправлено Попов Виктор 23 Май 2006, 21:56
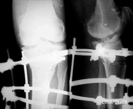
Уважаемые коллеги! Хотелось бы обсудить на форуме ряд вопросов касающиеся оперативного лечения гонартроза и, в частности, высокую остеотомию б/б кости. Работаю в частной клинике ортопедо-травматологического профиля, делаем артроскопические операции, в том числе и при гонартрозах. При варусной деформации сустава выполняем чрез- подбугорковые остеотомии по Илизарову (ВКДО) - как вариант медиальной клиновидной плюс-остеотомии с пересечением латеральной кортикоспонгиозной части кости. Остеотомия (кортикотомия) производится через 1-2 прокола «глазным» долотом (шириной 5 мм) после установки 3 кольцевого гибридного аппарата (спицы 2 мм и стержни 4,5 мм). На крайних кольцах по две спицы с захватом м/б кости, по стержню Шанца в верхнее и среднее кольцо. Пересечение малоберцовой кости производим на протяжении средней трети кости этим же долотом. Первым этапом операции выполняем артроскопическую санацию, дебридмент и т.д. При выращивании клиновидного регенерата центр вращения - наружный кортикалис. Коррекцию начинаем на 5 сутки, завершаем через 10-14 дней. Аппарат снимаем обычно на 45 сутки. Операция непростая, можно ожидать все, что угодно, но очень эффективная. Вопросы: • Возможность применение аутотрансплантата после одномоментного устранения деформации, для того, чтобы не выращивать регенерат и сократить сроки пребывания в стационаре • Возможно, ли выполнение неполной кортикотомии б/б кости с оставлением интактным латерального кортикалиса • Обязательно ли пересечение м/б кости при ВКДО • Есть ли у кого опыт коммерческого лечения больных старше 60 лет с клиникой повреждения менисков на фоне ярко выраженного гонартроза. Наш опыт горький. Прилагаю иллюстрации, Р-граммы - в процессе лечения Попов Виктор, г.Караганда
<
|
>
|
|
Ответить
|
Re: О коррегирующих околосуставных операциях.
Odessky Jacob M.D. 24 Май 2006, 01:42
|
Уважаемый Виктор!
На счёт "глазного" долота - Сильно сказано! Последний раз я слышал такое из уст самого Гавриила Абрамовича! Следовательно Вы там бывали?
Теперь по сути - HTO - метод выбора при лечении медиал компартментного гонартроза, особенно у молодых субьектов.Большинство исследований указывают на позитивный эффект в 60-90% при отдалённых результатах до 20 лет.
В то же время есть другие работы , согласно которым наступает ухудшение функции коленного сустава с прогрессом артроза
Классическими показаниями к HTO при гонартрозе являются:
1. Болезненный медиал компартментный гонартроз, сопровождающийся варусной деформацией.
2. Физически активные лица, меньше 65 лет, желающие продолжать физическую активность
3. Отсутствие лигаментарной нестабильности.
4. Отсутствие ассоциирующих проблем ипсилатеральных тазобедренного и голеностопного суставов.
5.Положительное на гонартроз медиального компартмента скенирование костей при наличии варусной деформации.
Классическими противопоказаниями являются:
1. Возраст больше 70
2. Ревматоидный артрит
3. Фиксированная аддукция тазобедренного сустава при вальгусном колене
4. Нестабильность или латеральная сублюксация более 1 см.
5. Варусная деформация более 15°( для закрытой клиновидной резекции)
6.Сгибательная контрактура более 15 °, сгибание менее 90°
7. Ожирение и остеопороз
Пателло-феморальные боли не являются противопоказанием, зато наличие артроза медиалиного и латерального компартмента колена- являются противопоказанием!
При кажущейся однородности уникомпартментные гонартрозы имеют концептуальное решение, которое зависит прежде всего от источника гонартроза, который может быть 1.Костной деформацией.2.Суставной патологией.3.Их комбинацией
Постараюсь продолжить завтра.
Всего наилучшего
|
[
Ответить ]
|
Re: О коррегирующих околосуставных операциях.
ерохин александр 24 Май 2006, 23:54
|
Отвечу только на последний вопрос. Опыт, конечно, есть, но не коммерческий. В госпитале, где я работаю, правом на госпитализацию обладают участники ВОВ, поэтому контингент соответствующий и часто неплатежеспособный. По существу: если есть повреждение менисков, внутрисуставные тела другой природы - то противопоказания ограничены, тем более, имея артроскоп. Я могу только Вам завидовать. Конечно, нужно планировать наименее инвазивные вмешательства. Сама по себе нестабильность не может являтся противопоказанием. Старше 70 лет я оперирую в год 3-4 человек. Вроде бы хуже никому не стало. Иногда приходится оперировпать в 2 этапа. Например: (случай 2003года) больной 79 лет, диагноз застарелое повреждение внутреннего мениска, ПКС, внутренней боковой связки, передне-медиальная нестабильность 3ст. Хронический синовит. На фоне ДОА 2-й стадии, феморопателлярного артроза. Первым этапом проведена резекция передних 2/3 внутреннего мениска, хейлотомия, частичное удаление хондроматозно измененной синовиальной оболочки. Операция в течении 1 часа. Через 2,5 недели, уже внесуставно, реинсерция сухожилий "гусиной лапки" по Слокам-Ларсену и медиально-вентральное смещение бугристости т.е. (Маке-Элмсли-Трилла) Результат хороший. Конечно нестабильность в какой-то степени
осталась, но болей,синовита нет. Операция в один этап выходила за рамки спинальной анестезии, а восстановление связок требовало увеличения разреза и объема вмешательства. Самый пожилой пациент, которому я провел резекцию мениска 86 лет. Правда? этому субъекту больше 65 не дашь. Этот больной, несмотря на выраженный артроз,после удаления мениска чувствует себя хорошо. Удачи в работе.
|
[
Ответить ]
|
Re: О коррегирующих околосуставных операциях.
Отправитель: Попов Виктор, г.Караганда 25 Май 2006, 08:52
|
Ерохину Александру по-поводу не коммерческого опыта. Так уж сложилась ситуация, что, применение своим силам я нашел только организовав частную лечебную структуру, имея опыт работы как организатор здравоохранения и большой опыт работы ортопедом-травматологом. Иного выхода не было. Остался бы без работы. Возможность и дальше плодотворно трудиться и зарабатывать себе на жизнь зависит только от коммерческого успеха наших операций. Иначе сгорим, единственная жалоба и появиться повод с нами разобраться. Тут строгим выговором не отделаешься, закроют. То, что деньги за операции берут и в госструктурах и примерно такие же, то это в порядке вещей. Как мне объяснили в департаменте здравоохранения, укоряя меня, это ведь «не гласно». Под коммерческим лечением, в данном случае я понимал, применение малотравматичных технологий, гарантированно дающих ожидаемый результат. У нас так при лечение пациентов с ДОА III ст. не получается - у 30% при артроскопическом вмешательстве получаем неприятности (через 2-3 мес. боли возвращаются, отмечается резкая активизация дегенеративно-дистрофического процесса, долечиваем консервативно, в 2 случаях вынуждены были оперировать артроскопически повторно – появились внутрисуставные тела на фоне прогрессирующего синовиита и углубления хондромаляции, пролечено около 80 больных в возрасте от 55 до 82 лет). Предполагаем, что артроскопическая санация при ДОА III ст. у пожилых людей не лучший метод. Начали дополнять наши операции субхондральной спонгиозо-эндостотомией (так я это называю - более радикальный вариант, чем насверливание спицей) бедренной и б/б костей узким долотом через 5 мм кортикотомию. На б/б кости - с предварительной обработкой долотом зоны «гусиной лапки», а на бедренной кости - надмыщелков бедра. Производим инъекции дипроспана в триггерные точки. Результат стал получше. Меня заинтересовал Ваш опыт транспозиции бугристости, насколько это травматично? какая фиксация? Мой традиционный опыт не позволяет применять эту операцию в нашей практике.
|
[
Ответить ]
|
Re: О коррегирующих околосуставных операциях.
Отправитель: ерохин александр 26 Май 2006, 03:49
|
Да есть какая-то травматичность.Как оценивать? Фиксирую бугристость(оставляя дистальную мягкотканную ножку)1-2 винтами.Разрез изогнутый-длиной 8-10см.Сместить удается примерно на 2 см. медиально.Методика,по-моему,описана у Шойлева в книге-"Спортивная травматология".У меня опыт 4 или 5 таких операций в основном при рецидивирующих вывихах надколенника.Сложнее сместить вентрально.Тогда под проксимальный край,отсеченной бугристости приходится что-то подкладывать(край кортикала или из той же зоны берется трансплантат)А написть Вам побудила простая мысль-есть какое-то механическое препятствие всуставе,-нужно оперировать.
|
[
Ответить ]
|
|
Re: О коррегирующих околосуставных операциях.
Odessky Jacob M.D. 25 Май 2006, 00:33
|
Виктор! Я позволю себе продолжить!
Источник костной деформации при уникомпартментном гонартрозе может быть бедро, голень, либо их сочетание. Сама деформация может быть диафизарная, метафизарная или епифизарная
Что же касается деформации - Варус либо Валгус + Антекурвация или Рекурвация + Ротация.
Патология коленного сустава, ассоциирующаяся с уникомпартментном гонартрозом может быть:
1.Сужение суставной щели
2.Недоразвитие Мыщелков бедра или голени
3. Несостоятельность медиальной либо латеральной коллатеральной связки + подвывих
4. Сгибательные контрактуры.
В плане рентгенологического обследования больного с гонартрозом необходимы:
1. Снимки на длинной кассете в прямой и боковой проэкциях с захватом тазобедренных,коленных и голеностопных суставов стоя.
2 Снимки коленного сустава в прямой проэкции
а. нейтральном положении
в. варус стресс
с. вальгус стресс
3.Снимки в боковой проэкции
а. сгибание 30°
в. Разгибательный стресс.
При наличии ротационной деформации есть показания к КТ для изучения Ротационного профиля.
Рекомендуемая гиперкоррекция зависит от величины потери хряща на медиальном тибиальном плато при варусе или латеральном плато при вальгусе.
1. Нет потери хряща - коррекция должна роизводиться так, чтобы механическая ось конечности проходила строго через Тибиальное возвыщение.
2. Треть хряща стёрто - гиперкоррекция при варусе должна производиться таким образом, чтобы механическая ось конечности прошла через точку на латеральном тибиальном плато, составляющем 10-13% от его ширины
3. Две трети стёрто - 20-26%
4. Полное стерание - 30-40%
Все эти снимки помогут Вам в выборе места остеотомии, установке шарниров и решении вопроса о необходимости остеотомии малоберцовой кости.
Постараюсь продолжить
Всего самого наилучшего
|
[
Ответить ]
|
Re: О коррегирующих околосуставных операциях.
Отправитель: Виктор Попов 25 Май 2006, 15:33
|
Уважаемый Jacob! С удовольствием читаю Ваши послания. Сравниваю со своими знаниями, упорядочиваю их. Жду продолжения.
Виктор. г. Караганда
|
[
Ответить ]
|
|
Re: О коррегирующих околосуставных операциях.
Alexander Rykov 26 Май 2006, 08:10
|
Альтернатива ваших действий - одномыщелковое протезирование.
> Возможность применения аутотрансплантата
Трансплантат возможен- сроки возрастут.
>- Возможно ли выполнение неполной кортикотомии
Почему нет.
> Обязательно ли пересечение м/б кости при ВКДО
Не обязательно при малых углах деформации
> - Есть ли у кого опыт коммерческого лечения больных старше 60 лет с
> клиникой повреждения менисков на фоне ярко выраженного гонартроза. Наш
> опыт горький. Прилагаю иллюстрации, Р-граммы - в процессе лечения
Опыт то есть. Вопрос должен быть поставлен сразу - проблемы у пациента менисковые (блоки) или артрозные - исхоря из этого и основные лечебные мероприятия
А Рыков . Хабаровск
|
[
Ответить ]
|
Re: О коррегирующих околосуставных операциях.
Отправитель: Виктор Попов 27 Май 2006, 11:04
|
1)Альтернатива ваших действий - одномыщелковое протезирование. - Согласен с Вами, перед тотальным эндопротезированием, в том случае, когда корригирующая операция не даст желаемого результата, следует думать о одномыщелковом эндопротезировании. Как это реализовать? Где есть эти протезы?
Далее.
2) Вопрос должен быть поставлен сразу - проблемы у пациента менисковые (блоки) или артрозные - исхоря из этого и основные лечебные мероприятия - Я так понимаю, что Вы, если нет явного блока сустава, от оперативных вмешательств при клинике поврежденного мениска при ДОА Ш ст. воздерживаетесь?
С уважением Виктор.
|
[
Ответить ]
|
Re: О коррегирующих околосуставных операциях.
Отправитель: Alexander Rykov 29 Май 2006, 11:57
|
Привет. 1. Показания к одномыщелковому протезированию почти(почти) похожи
таковым к корегирующим остеотомиям. Только возраст побольше. Где взять? - есть везде где занимаются коленкой всерьез. Например у нас можно.
2. Не так понимаете. Диагностическая артроскопия - и ответ на все вопросы в плане прогнозирования, необходимости тех или иных оперативных пособий.
Например: нашли мениск блокирующий локомоцию - резекция его, нашли разрушение хряща в одной медиальной камере и не имеете осевых нарушений и
возраст приличен - планируйте одномыщелковое протезирование, то же но молод и варусная деформация градусов 7-10 - показания к коррегирующей остеотомии и др. Таким образом артроскопия показана практически при всех длительных проблемах в коленке. Вреда мало. Пользы много. А Рыков . Хабаровск.
|
[
Ответить ]
|
|
( Ответить )
|
|