вверх
отправить
поиск
админ
главная
Предыдущее
|
Re: Acetabular Fx Surgical Approach
Chip Routt 15 Июль 2006, 23:02
|
Thanks Jeff-
Learn to do a prone positioned KL exposure...it allows you to routinely deal with such fractures, simplifies imaging, provides improved exposure, allows a wider range of clamp usage, eliminates gravity as a deforming force on the unstable caudal segment, among other benefits...thusly you have no need for supplementary exposures except in VERY rare situations.
Timing- get it done whenever the patients is stable and you can preop plan it...we reserve urgent ORIF for irreducible fracture-dislocations and other rare indications...this debris does not seem to impact the head to dome reduction. Doing this at post-injury day 11 and using 40# of traction both seem to invite problems.
There are numerous other important details related to this particular injury...too much for email.
Understand that this is no simple fracture but in the same breath is very common and can be very routinely-simplistically treated without a variety of complicated and variable scenarios...keep it simple...turn him prone, clean him up, do a nice exposure, protect the nerve, remove the debris, save it and sort it out if you can, clean the fracture lines, manipulate and clamp the transverse, hold it how you choose (I'd recommend a percutaneously inserted 3.5mm antegrade medullary lag screw), remove the clamp, reduce the
small or impacted fragments to the head, reduce the wall, and support the wall and transverse with a balanced 3.5mm contoured reconstruction plate.
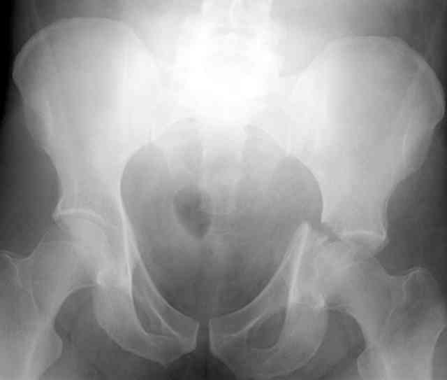
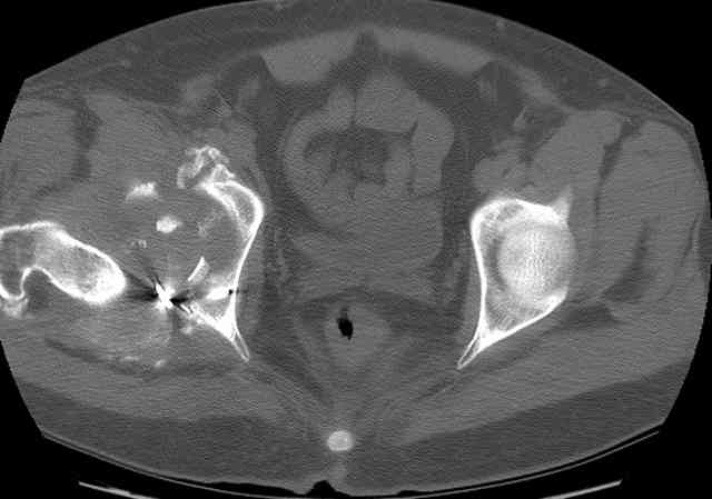
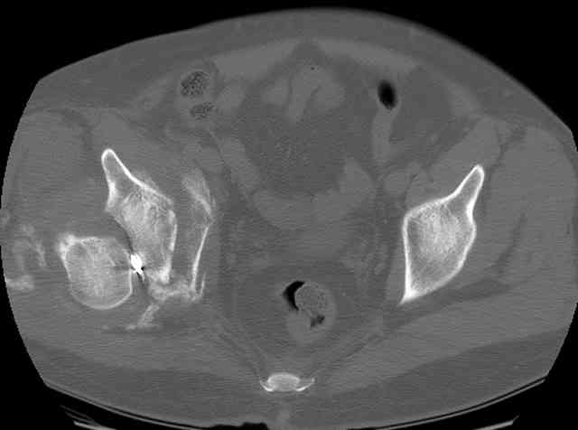
I'll include a few images of a similar injury in a similarly large male patient. This patient "showed up" in our ER c/o hip pain 2 months after being treated in the lateral position, without a quality reduction, without an anterior column transverse supporting implant, with an unbalanced plate applied too medially, with insufficient caudal segment fixation...it took over 8 hours and a 3+ l blood loss to debride the callus from front then
back, excise the HO, release his sciatic nerve, reduce the head-transverse-wall, and fix it...and now it's a staging procedure.
The 2nd example is of a motorcyclist with a transverse fracture-dislocation...he had a closed attempted reduction and placed in traction but the manipulative reduction was not concentric (not unusual for this injury pattern)...so the traction was adjusted to be just enough to disengage the head from the fracture (12#) until he could be cleared for surgery one day after injury...he was treated "urgently" then with a prone KL, clean the fracture, reduce and clamp it, screw it, support with a balanced plate, close, and enjoy...2-3hours, 400cc EBL, blah, blah, blah..

It just isn't so hard and doesn't have to be an adventure of numerous approaches, position changes, etc...not at this point in time...go with him to someone who does these "in their sleep" and you'll all be pleased.
Hopefully the examples help...if not, let me know and we'll try some others-
Chip
|
|
|
Ответить
|
Re: Acetabular Fx Surgical Approach
Hüseyin Demirörs 15 Июль 2006, 23:18
|
Dear Dr Routt,
Exellent cases for discussion, surely will help us to plan and perform acetabular surgery.
I have another patient 23 years of age, post wall + transverse frx, had surgery 10 months ago elsewere in Ankara without reduction and still has
pain and limp. Hip is posteriorly dislocated and head is destructed by the plates and
screws.
Any suggestion other then arthrodesis or artroplasty?
Huseyin Demirors MD
Baskent University Faculty of Medicine
Dept. of Orthopedics and Travmatology
|
[
Ответить ]
|
Re: Acetabular Fx Surgical Approach
Отправитель: Chip Routt 16 Июль 2006, 00:00
|
No... sorry.
|
[
Ответить ]
|
|
Re: Acetabular Fx Surgical Approach
Alexander Chelnokov 16 Июль 2006, 00:33
|
Why not transtroch triradiate approach in lateral decubitus?
THX for the impressive presentations.
|
[
Ответить ]
|
Re: Acetabular Fx Surgical Approach
Отправитель: Chip Routt 16 Июль 2006, 00:37
|
You can do whatever approach that you choose..my comments reflect what I've learned the hard way, and I'm trying to help others avoid the same path... simple as that.
The lateral position is cumbersome (for everyone) and gravity impacts the limb causing displacement of the caudal transverse segment along with the limb. It turns an operation into a wrestling match...and gravity and the limb will defeat the surgeon most times. If you like malreductions and frustrating fixations, you'll get them.
The osteotomy adds just one more level of complexity and another opportunity for situations to occur which you'd rather not have occur... non-union, symptomatic implants, resultant pain, limp, AVN...and on and on.
These additional and unnecessary operative steps complicate an otherwise very routine operation.
Reducing a transverse accurately and safely is extremely difficult with the patient positioned laterally, regardless of the selected exposure... it can be done, and we've all had mentors teach us what we feel and hope to be "excellent" exposures and we dutifully follow that educational stream regardless of its foundation... me too and I'm very grateful... but we can also make progress beyond and build onto that learning platform.
The prone position truly makes it an uneventful operation as long as the surgeon knows how to work thru the greater sciatic notch to access the quadrilateral surface, has adequate clamps, knows appropriate fixation techniques, and understands acetabular/pelvic intraop imaging with the C-arm.
That's why-
Chip
|
[
Ответить ]
|
|
( Ответить )
|
|