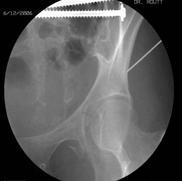
We seek the starting site (after reduction) with a thin wire guided by fluoroscopic imaging as the obturator-outlet combination image and also the inlet image...engage the wire tip into bone, incise around the wire, apply a soft tissue protection sleeve of known length over the wire, remove the wire, exchange thru the sleeve with an appropriate diameter drill (I use a 3.5mm most often), drill the glide pathway above and behind the joint to the fracture, exchange for a calibrated appropriate diameter drill, oscillate within the ramus to the pubis, measure depth using the calibrated drill and known sleeve length, do the math, remove the drill and insert screw, tighten, squirt the hole, close, stress the fixation, supplement if needed.

I'll take pictures sometimes but it's just a 1cm incision in the flank... I'm not really sure why you need to see a screw being inserted into the
buttock/flank...it's just a screw being inserted thru the skin.
Chip
|