вверх
отправить
поиск
админ
главная
Предыдущее
|
Re: В защиту коллапана
Антон Андрианов 07 Август 2006, 07:06
|
Коллапан\ или другой остеоиндуктор\ может быть востребован в повседневной практике и доступность отечественного препарата играет немаловажный фактор. Не секрет, что широкое применение накостного остеосинтеза наряду с позитивом приводит при нагноении к значительному дефекту кости для заполнения которого у врача в провинции не будет PMMA бусинок с депо-антибиотиком, а гранулы коллапана с любым антибиотиком можно достать без проблем. Во всяком случае для лечения костных кистозных опухолей и псевдоартрозов в восточном регионе РФ еще применяют пористый нитан. Врачу из маленькой больнички до кохрановских библиотек далеко, а проблемы всегда под рукой. По коллапану я не искал данных строго научных исследований, а по зарубежному аналогу в ORTOPEDICS был материал.
По данному примеру- возможно ксенокость \тутопласт или пр\ дали бы не хуже результат, регенерация кости же проходит без биоматериалов, я лишь привел пример разного подхода к патологии. Ведь была предложена операция эндопротезирования! Каждый выбирает сам чем ему работать, но потребность в подобных материалах была всегда.
|
|
|
Ответить
|
Re: В защиту коллапана
Alexander Chelnokov 08 Август 2006, 21:23
|
АА> Коллапан\ или другой остеоиндуктор\ может быть востребован
Какой коллапан остеоиндуктор в сравнении с плацебо или другими остеоиндукторами - неужели нет публикаций?
АА> PMMA бусинок с депо-антибиотиком, а гранулы коллапана с любым
АА> антибиотиком можно достать без проблем.
Возможно, как депо антибиотика эффективность тут более-менее наглядна.
Интересно, есть ли данные о скорости диффузии антибиотиков из коллапапна?
АА> для лечения костных кистозных опухолей и псевдоартрозов в
АА> восточном регионе РФ еще применяют пористый нитан.
Кейджи как своего рода протезирование дефекта кости - очень перспективное дело. Но это актуально при сегментарных дефектах, если я правильно понял.
АА> Врачу из маленькой больнички до кохрановских библиотек далеко, а
АА> проблемы всегда под рукой.
При наличии Интернета доступность информации одинакова для всех. Как раз стало нетрудно узнать, какое решение имеет корректное обоснование.
АА> По коллапану я не искал данных строго научных исследований, а по
АА> зарубежному аналогу в ORTOPEDICS был материал.
Не искал или не нашел? А про какой аналог речь?
АА> не хуже результат, регенерация кости же проходит без биоматериалов, я
АА> лишь привел пример разного подхода к патологии.
Интересно, разные ли результаты у этих разных подходов. То, что видел на конференциях про коллапан при ложных суставах, переломах, краевых дефектах - все совершенно аналогично тому, что видим без него.
АА> Ведь была предложена операция эндопротезирования!
Ну, это не перваый и не последний пример нашего же экстремизма-маргинализма ;-)
АА> Каждый выбирает сам чем ему работать,
"Каждый сам выбирает" - основываясь на чем? На данных рандомизированных контролируемых испытаний? Или на чтих-то смутных впечатлениях? :-)
|
[
Ответить ]
|
Re: В защиту коллапана
Отправитель: Антон Андрианов 10 Август 2006, 20:35
|
Александр Николаевич,
мне, старому провинциальному врачу, трудно с позиций доказательной медицины дискутировать с Вами, да и не это цель моей реплики.Хотелось лишь показать, что на сегодняшний у российских ортопедов есть доступный повсюду недорогй материал, о котором и не мечталось десяток лет назад. Пример, который я привел, иллюстрировал мои эмоции, которые я испытал, увидя снимки через 3 месяца- на месте пустоты выросла костная ткань. Насколько органотипична она судить не могу, но 4 года и десяток наблюдений с энхондромами на пальцах убедительны\для меня\ Антибиотик выделяется 3 недели, по данным разработчиков. Каждый делает выбор сам, но все же опыт коллег более достоверен, чем публикации в брошюрахх, полученных у стендов выставок.
|
[
Ответить ]
|
Re: В защиту коллапана
Отправитель: Alexander Chelnokov 11 Август 2006, 01:01
|
АА> лишь показать, что на сегодняшний у российских ортопедов есть
АА> доступный повсюду недорогй материал, о котором и не мечталось десяток
О существовании этого препарата общественность информирована, его применяют от провинциальных больниц до ЦИТО. И хотелось бы обратить внимание не на доступность, а на то, что обоснования его применения на современном уровне доказательности почему-то до сих пор нет.
АА> Пример, который я привел, иллюстрировал мои эмоции, которые
АА> я испытал, увидя снимки через 3 месяца- на месте пустоты выросла
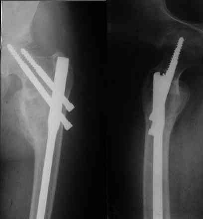
Под рукой нашелся повод для похожих эмоций. Патологический перелом на месте рецидива костной кисты у девочки 16 лет (обсуждали этот случай
года два назад). Ни коллапана, ни трансплантатов, ничего другого в очаг не вводили, кроме нержавеющей стали. Она, видимо, тоже остеоиндуктор - видно, что на месте пустоты через несколько месяцев кость.

АА> десяток наблюдений с энхондромами на пальцах убедительны \для меня\
Методология доказательной медицины оттого и появилась, что осознана недостоверность оценок лишь на основе текущей практики.
АА> Антибиотик выделяется 3 недели, по данным разработчиков.
Спасибо, примем к сведению.
АА> Каждый делает выбор сам,
Важно, на чем он основан.
АА> но все же опыт коллег более достоверен, чем публикации в
АА> брошюрахх, полученных у стендов выставок.
Поэтому надежнее руководствоваться не рекламными материалами и чьими-то личными впечатлениями, а независимыми данными контролируемых испытаний.
|
[
Ответить ]
|
Re: В защиту коллапана
Отправитель: Антон Андрианов 11 Август 2006, 20:49
|
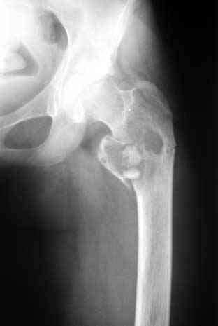
Согласен на все сто с Вашей последней фразой. Не знаю как учат сейчас врачей в ВУЗАХ, но по-моему основы доказательной медицины познаются уже в процессе работы. А что касается Вашего примера, то давно известно, что кистозные опухоли у детей могут спонтанно регенерировать после перелома. Пример рецидива кисты после неадекватной пластики Вы видите на этой же странице. По поводу РФ не могу судить, но в Казахстане больше применяют стоматологи для подготовки к импланатации протезов при дефектах костей челюсти. Спасибо за обсуждение темы.
|
[
Ответить ]
|
|
( Ответить )
|
|