вверх
отправить
поиск
админ
главная
Предыдущее
Весь тред
|
Re: Миграция на DHS
Evgueny Tchekashkine 03 Сентябрь 2006, 10:36
|
Александр , Приветствую,
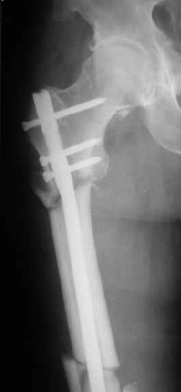
Картинка красивая, но на мой взгляд, не совсем оптимальная: Слишком медиально введён стержень - риск аваскулярного некроза головки бедра.
вариант межфрагментарного шинирования - зона достаточно простительная т.е. чрезвертельные переломы потенциально хорошо срастаются при любом
расположении сопредельных отломков- хорошая локальная васкуляризация. В приведённом случае я бы предпочёл принцип межфрагментарной компрессии (рекон/гамма нэйл 130- 135) принципу шинирования перелома.
Поясни, пожалуйста, почему решил шинировать косой чрезвертельный перелом?
Саша, смогу добраться до почты только через неделю, поэтому единовременно поучаствовать в дискуссии не получится( чувствую спинным мозгом :-)) что должна состояться), но по возвращении с большим интересом почитаю твои пояснения к представленному случаю.
Всего Доброго,
Евгений
|
|
|
Ответить
|
Re: Миграция на DHS
Alexander Chelnokov 03 Сентябрь 2006, 10:38
|
ET> Картинка красивая, но на мой взгляд, не совсем оптимальная: Слишком
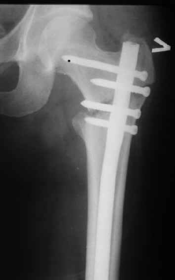
Женя, эта картинка показывает не оптимальное лечение вертельных переломов в моем представлении, а особенности дизайна упомяутого фиксатора.
В частности, его возможности при фиксации переломов проксимального отдела бедра - в сравнении с другими, имеюшими лишь по одному статическому и динамическому отверстию и с кондуктором для введения 2 винтов.
ET> Поясни ,пожалуйста, почему решил шинировать косой чрезвертельный перелом?
Это было года 2,5 назад, мы тогда еще уточняли возможности шинирования с угловой стабильностью гвоздем с поперечным расположением винтов при переломах проксимального отдела бедра. Пациенту не пришлось приобретать намного более дорогой рекон или проксимальный гвоздь. В приложении еще несколько примеров применения того гвоздя при высоких переломах бедра, в том числе с более латеральной точкой входа. Гвоздь изгибаем для этого.

|
[
Ответить ]
|
( Ответить )
|
|