AOTRAUMA.ORG Центр Илизарова  

Ортопедия и травматология Общие вопросы/General questions Help Информационные технологии в медицине
 вверх
 отправить
 поиск
 админ
 главная
 Предыдущее
 Весь тред


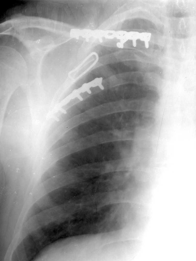
Re: Перелом лопатки, ключицы, ребер
А.МИронов 12 Декабрь 2006, 20:10
Здравствуйте Виталий Геннадьевич!
К сожелению доктор который занимается грудной клеткой в отпуске, у себя нашёл только вот этот снимок



С Уважением А.Миронов

  • Сообщения о Ортопедия и травматология
  • Также А.МИронов
  • Связаться с автором
  • Ответить

    Powered by Zope  Squishdot Powered MedLink
    Посетитель: 0388031
      "По форме правильно, а по существу - издевательство" В.И.Ленин
    ©2001-2019Orthoforum Coordinator.
    [ Главная | Отправить сообщение | Поиск | Админ ]