AOTRAUMA.ORG Центр Илизарова  

Ортопедия и травматология Общие вопросы/General questions Help Информационные технологии в медицине
 вверх
 отправить
 поиск
 админ
 главная
 Предыдущее
 Весь тред


Re: Редкое повреждение - полный вывих тарана!
Антон Лебединец 04 Март 2007, 21:44




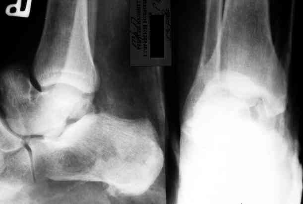
Уважаемый Александр! Как обещал представляю Р-граммы и операционные фото.

Опять надоедаю с вопросами:
Ваши (лично ваши) рекомендации - астрагалэктомия-аппаратный пяточно-большеберцовый артродез с одновременным удлинением голени - правильно?

>-В условиях плохого кровоснабжения как раз надо бы стремиться не
>оставлять в ране аваскулярные куски кости, как уже там лежащие, так и
>новые-


А удлинять голень в условиях плохих сосудов как? В смысле как потянутся склерозированные сосуды? Удлинять-то надо около 3 см.

>-Системные антибиотики тут бессмысленны-

Почему? Или они не дойдут до очага инфекции. Местное лечение сейчас получает - антибиотики в свищевой ход и в м/ткани.

>> -сосудистая терапия? (нужна ли, какая)
>-Это миф. Таран медикаментами не оживить-


Таран да, а остальные ткани - улучшить перфузию и пр.?

> Местно АБ в виде спейсеров и пр. - нет возможности

>-Да почему, все это-
Непонятное место!!! Каким образом заменить спейсеры - как-нибудь изготовить замазку с АБ?

>> - Артродез не аппаратный а костно-пластический

>-Инфекция куда при этом денется?-


А так инфекция куда денется, или ПБА изничтожит ее в м/тканях? Она там уже полгода живет. Я думаю стабильная фиксация - лучшая профилактика инфекционных осложнений. Кстати была у нас больная с посттравматическим деф. артрозом г/стопного сустава и остеомиелитом внутренней лодыжки - ей сделали костно-пластический артродез по Кловарду - инфекция затихла, анкилоз наступил за 3 мес (больной 65 лет).

Жду ответа!


  • Сообщения о Ортопедия и травматология
  • Также Антон Лебединец
  • Связаться с автором
  • Ответить

    Re: Редкое повреждение - полный вывих тарана!
    Alexander Chelnokov 04 Март 2007, 22:26
    А> Ваши (лично ваши) рекомендации - астрагалэктомия-аппаратный
    А> пяточно-большеберцовый артродез с одновременным удлинением голени - правильно?


    Да.

    А> А удлинять голень в условиях плохих сосудов как? В смысле как
    А> потянутся склерозированные сосуды? Удлинять-то надо около 3 см.


    Насколько я понял, критической ишемии ведь нету?
    При обычном для удлинения темпе должен быть обычный регенерат.
    Мы обычно удлиняли на 2 уровнях по 1,5-2 см. В конце концов, можно и не удлинять, укорочение компенсировать вкладками в обувь.

    >>-Системные антибиотики тут бессмысленны-
    А> Почему? Или они не дойдут до очага инфекции.


    Конечно.

    А> Местное лечение сейчас получает - антибиотики в свищевой ход и в м/ткани.

    При столь массивном секвестре (блок таранной кости), длительная антибиотикотерапия только губит естественную флору и помогает селекции
    антибиотикоустойчивых штаммов.

    >>> -сосудистая терапия? (нужна ли, какая)
    >>-Это миф. Таран медикаментами не оживить-
    А> Таран да, а остальные ткани - улучшить перфузию и пр.?


    Кроме народной традиции, на чем основан этот "тост"? Можете привести ссылки на серьезные публикации в международных журналах, которые
    подтверждают пользу каких-то конкретных препаратов в подобной ситуации? За пределами xUSSR кто-то на регулярной основе "улучшает перфузию", которая отнюдь не ухудшена?

    А> Непонятное место!!! Каким образом заменить спейсеры - как-нибудь
    А> изготовить замазку с АБ?


    Можно убрать таранную кость, и поместить в образовавшуюся полость либо бусы из цемента с антибиотиками, либо вылепленный прямо по форме тарана спейсер. Целесообразность этого будет определяться распространенностью гнойного процесса. Может быть, будет достаточно только удаления тарана.

    >>-Инфекция куда при этом денется?-
    А> А так инфекция куда денется, или ПБА изничтожит ее в м/тканях?


    Вместе с аваскулярным куском кости устранится субстрат. Надо опасаться не мягких тканей, а плохо кровоснабжаемых. Если после удаления тарана добиться контакта хорошо васкуляризованных пятки и больщшеберцовой, мягкие ткани не давить, чтобы некроза раны не было, то все должно зажить.

    А> Я думаю стабильная фиксация - лучшая профилактика инфекционных осложнений.

    Стабильность дает возможность расти сосудам. При хорошем кровоснабжении смежных фрагментов это все, что надо. А здесь есть большой секвестр. Разумно ли ждать, пока он васкуляризуется? Очевидно, без некрэктомии проблему не решить.

    А> костно-пластический артродез по Кловарду - инфекция затихла,

    Все правильно, как только все васкуляризовалось, по мере сращения, тут места для микробов не осталось.
    [ Ответить ]


    ( Ответить )

    Powered by Zope  Squishdot Powered MedLink
    Посетитель: 0019096
      "По форме правильно, а по существу - издевательство" В.И.Ленин
    ©2001-2019Orthoforum Coordinator.
    [ Главная | Отправить сообщение | Поиск | Админ ]