Ответить
|
Re: Редкое повреждение - полный вывих тарана!
Alexaander Chelnokov 03 Март 2007, 09:25
|
АЛ> в декабре 2006 г. состояние таранной кости вроде бы хорошее
АЛ> (признаков ас. некроза не отмечалось,
В срок ~2 мес. и далее оценивается симптом Hawkins - если виден субхондральный остеопороз блока, то таран живой.
АЛ> Больной начал нагрузку на ногу. Обратился в конце февраля с жалобами
АЛ> на выраженные боли в суставе, отек стопы и голени, открывшийся свищ с
После такой травмы на реваскуляризацию рассчитывать раньше года вряд ли стоит.
АЛ> склерозированный таран,
Некроз то есть все-таки очевиден.
АЛ> Вопросы:
АЛ> • Как часто вы встречались с данным повреждением?
Именно полный вывих целой таранной кости - действительно редкая штука, но проблемы практически те же самые и при переломе шейки тарана и вывихом блока любой степени - аваскулярный некроз. А тут еще и инфекция.
АЛ> • Если можно какие-то статьи или ссылки по этому поводу!
http://wheelessonline.com/ortho/injuries_of_the_talus
АЛ> • Дальнейшая тактика? – артродез (одно- двух- трехсуставной?), каким
АЛ> образом – АВФ или… Если можно - схемы аппарата.
по-моему, тут показана астрагалэктомия (плюс некрэктомия прилегающих участком, если там затеки) с формированием большеберцово-пяточного блока и компенсатрного удлинения голени. Этот подход обсуждался прошлым летом, см. здесь
Снимков и фото не было пока, в этом случае, может быть, начать с некрэктомии и размещения цементного спейсера с антибиотикаи для стерилизации очага.
АЛ> • Другой вариант – подлечить свищ, вывести стопу в приемлемое
АЛ> положение и гипсовая повязка на N-й срок?
Зачем лечить свищ - он ничем не болеет ;-)
Лечить остеомиелит, "живущий" в мертвом таране, через свищ,представляется малоперспективным занятием.
АЛ> • Вопрос на будущее – стоит ли при таких повреждениях идти на
АЛ> первичный артродез (зная, что вероятность АН крайне высока и все равно
Конечно, стоит. Первично есть два варианта - удаление тарана с берцово-пяточным блоком и удлинением, или вправление-остеосинтез плюс
артродез двух суставов. По-моему, более надежный и быстрый результат дает первый. Особенно в подобном случае, когда есть риск ранней инфекции из-за проблем с мягкими тканями.
Ждем снимки и фото.
|
[
Ответить ]
|
Re: Редкое повреждение - полный вывих тарана!
Отправитель: Aharon Liberson 05 Март 2007, 19:39
|
OK-ALEKS AND ANTON _GOOD DAY
Hope yiu do not care That I type in English- I need a secretary to type Russian, Though I both speak and write well.
I agree with most of the written here-for "aviator astragalus" as older people would call it.
I would not practice a primary arthrodesis in cases the open refuction was done instantly and have myself good experience in preserving the bone. In current case since the infection is there a resection of the infected bone is indicated and when the infection subsides(antibiotics + cement chain is a good option)- I would do a retrograde nail -if the soft tissue permits it.
I would look up in Rockwood and Green or another trauma textbook or in Myersons textbook.
No large series are published try 2 read up the third of these:
Foot Ankle Surg. 2007 Mar-Apr;46(2):120-3.
J Bone Joint Surg Am. 2004 Aug;86-A(8):1616-24
J Bone Joint Surg Am. 2006 Nov;88(11):2418-24.
Good luck
Aharon
|
[
Ответить ]
|
Re: Редкое повреждение - полный вывих тарана!
Отправитель: Alexander Chelnokov 05 Март 2007, 19:56
|
Hope yiu do not care That I type in English- I need a secretary to type
> Russian, Though I both speak and write well.
Если возможность будет, можно все-таки русские буквы на клавиши наклеить.
> I would not practice a primary arthrodesis in cases the open refuction was
> done instantly and have myself good experience in preserving the bone.
Это если вправление и фиксацию провели в ближайшее время. А если таран был в вывихе несколько дней?
> In current case since the infection is there a resection of the infected bone
> is indicated and when the infection subsides(antibiotics + cement chain is a
> good option)
У нас одна точка зрения.
> - I would do a retrograde nail -if the soft tissue permits it.
То есть сделать tibio-calcaneal fusion, зафиксировать гвоздем? Я так понимаю, что это надо будет сделать вторым этапом, убрать цемент, сформировать контактные поверхности, и зафиксировать. Это подразумевается?
> try 2 read up the third of these:
> Foot Ankle Surg. 2007 Mar-Apr;46(2):120-3.
> J Bone Joint Surg Am. 2004 Aug;86-A(8):1616-24
Спасибо за ссылки!
|
[
Ответить ]
|
|
Re: Редкое повреждение - полный вывих тарана!
Антон Лебединец 03 Март 2007, 15:43
|
Есть еще варианты (ваше мнение).
- Двухсуставной артродез АВФ с туннелизацией тарана по Беку (?)
- Артродез не аппаратный а костно-пластический
по Уотсон-Джонсу или Кловарду
P.S. Удалять таран что называется "стремно", потому что в 71 г аппаратный артродез + удлинение голени на мой взгляд проблемно (про сосуды я писал).
Какая предоперационная подготовка?
-АБ прикрытие (само собой)
-сосудистая терапия? (нужна ли, какая)
Местно АБ в виде спейсеров и пр. - нет возможности
Главный вопрос - удасться ли добиться анкилоза с "мертвой" костью? Или только удалив ее?
P.P.S. Первичные снимки и последние Р-граммы будут завтра
P.P.P.S. Чуть не забыл - ради интереса и любви к статистике - у кого какой опыт (кол-во случаев) данного повреждения. У нас у двух врачей на суммарные 55 лет стажа - 4 случая.
|
[
Ответить ]
|
Re: Редкое повреждение - полный вывих тарана!
Отправитель: Alexaander Chelnokov 03 Март 2007, 16:37
|
> - Двухсуставной артродез АВФ с туннелизацией тарана по Беку (?)
> - Артродез не аппаратный а костно-пластический
Инфекция куда при этом денется?
> аппаратный артродез + удлинение голени на мой взгляд проблемно (про
> сосуды я писал).
В условиях плохого кровоснабжения как раз надо бы стремиться не оставлять в ране аваскулярные куски кости, как уже там лежащие, так и новые.
> Какая предоперационная подготовка?
> -АБ прикрытие (само собой)
Системные антибиотики тут бессмысленны.
> -сосудистая терапия? (нужна ли, какая)
Это миф. Таран медикаментами не оживить.
> Местно АБ в виде спейсеров и пр. - нет возможности
Да почему, все это
> Главный вопрос - удасться ли добиться анкилоза с "мертвой" костью?
> Или только удалив ее?
Ото ж!
> кого какой опыт (кол-во случаев) данного повреждения. У нас у двух
> врачей на суммарные 55 лет стажа - 4 случая.
В 2006 г. берцово-пяточный блок сделали двум пациентам.
|
[
Ответить ]
|
Re: Редкое повреждение - полный вывих тарана!
Отправитель: Антон Лебединец 04 Март 2007, 21:44
|

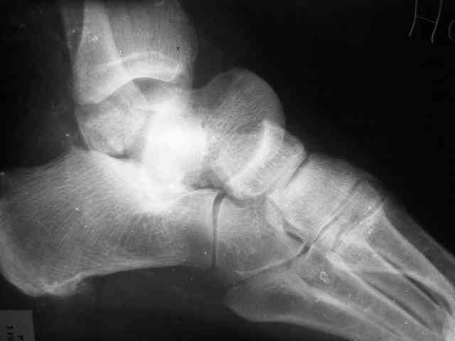
Уважаемый Александр! Как обещал представляю Р-граммы и операционные фото.
Опять надоедаю с вопросами:
Ваши (лично ваши) рекомендации - астрагалэктомия-аппаратный пяточно-большеберцовый артродез с одновременным удлинением голени - правильно?
>-В условиях плохого кровоснабжения как раз надо бы стремиться не
>оставлять в ране аваскулярные куски кости, как уже там лежащие, так и
>новые-
А удлинять голень в условиях плохих сосудов как? В смысле как потянутся склерозированные сосуды? Удлинять-то надо около 3 см.
>-Системные антибиотики тут бессмысленны-
Почему? Или они не дойдут до очага инфекции. Местное лечение сейчас получает - антибиотики в свищевой ход и в м/ткани.
>> -сосудистая терапия? (нужна ли, какая)
>-Это миф. Таран медикаментами не оживить-
Таран да, а остальные ткани - улучшить перфузию и пр.?
> Местно АБ в виде спейсеров и пр. - нет возможности
>-Да почему, все это-
Непонятное место!!! Каким образом заменить спейсеры - как-нибудь изготовить замазку с АБ?
>> - Артродез не аппаратный а костно-пластический
>-Инфекция куда при этом денется?-
А так инфекция куда денется, или ПБА изничтожит ее в м/тканях? Она там уже полгода живет. Я думаю стабильная фиксация - лучшая профилактика инфекционных осложнений. Кстати была у нас больная с посттравматическим деф. артрозом г/стопного сустава и остеомиелитом внутренней лодыжки - ей сделали костно-пластический артродез по Кловарду - инфекция затихла, анкилоз наступил за 3 мес (больной 65 лет).
Жду ответа!
|
[
Ответить ]
|
Re: Редкое повреждение - полный вывих тарана!
Отправитель: Alexander Chelnokov 04 Март 2007, 22:26
|
А> Ваши (лично ваши) рекомендации - астрагалэктомия-аппаратный
А> пяточно-большеберцовый артродез с одновременным удлинением голени - правильно?
Да.
А> А удлинять голень в условиях плохих сосудов как? В смысле как
А> потянутся склерозированные сосуды? Удлинять-то надо около 3 см.
Насколько я понял, критической ишемии ведь нету?
При обычном для удлинения темпе должен быть обычный регенерат.
Мы обычно удлиняли на 2 уровнях по 1,5-2 см. В конце концов, можно и не удлинять, укорочение компенсировать вкладками в обувь.
>>-Системные антибиотики тут бессмысленны-
А> Почему? Или они не дойдут до очага инфекции.
Конечно.
А> Местное лечение сейчас получает - антибиотики в свищевой ход и в м/ткани.
При столь массивном секвестре (блок таранной кости), длительная антибиотикотерапия только губит естественную флору и помогает селекции
антибиотикоустойчивых штаммов.
>>> -сосудистая терапия? (нужна ли, какая)
>>-Это миф. Таран медикаментами не оживить-
А> Таран да, а остальные ткани - улучшить перфузию и пр.?
Кроме народной традиции, на чем основан этот "тост"? Можете привести ссылки на серьезные публикации в международных журналах, которые
подтверждают пользу каких-то конкретных препаратов в подобной ситуации? За пределами xUSSR кто-то на регулярной основе "улучшает перфузию", которая отнюдь не ухудшена?
А> Непонятное место!!! Каким образом заменить спейсеры - как-нибудь
А> изготовить замазку с АБ?
Можно убрать таранную кость, и поместить в образовавшуюся полость либо бусы из цемента с антибиотиками, либо вылепленный прямо по форме тарана спейсер. Целесообразность этого будет определяться распространенностью гнойного процесса. Может быть, будет достаточно только удаления тарана.
>>-Инфекция куда при этом денется?-
А> А так инфекция куда денется, или ПБА изничтожит ее в м/тканях?
Вместе с аваскулярным куском кости устранится субстрат. Надо опасаться не мягких тканей, а плохо кровоснабжаемых. Если после удаления тарана добиться контакта хорошо васкуляризованных пятки и больщшеберцовой, мягкие ткани не давить, чтобы некроза раны не было, то все должно зажить.
А> Я думаю стабильная фиксация - лучшая профилактика инфекционных осложнений.
Стабильность дает возможность расти сосудам. При хорошем кровоснабжении смежных фрагментов это все, что надо. А здесь есть большой секвестр. Разумно ли ждать, пока он васкуляризуется? Очевидно, без некрэктомии проблему не решить.
А> костно-пластический артродез по Кловарду - инфекция затихла,
Все правильно, как только все васкуляризовалось, по мере сращения, тут места для микробов не осталось.
|
[
Ответить ]
|
|
Re: Редкое повреждение - полный вывих тарана!
Антон Лебединец 04 Март 2007, 20:57
|

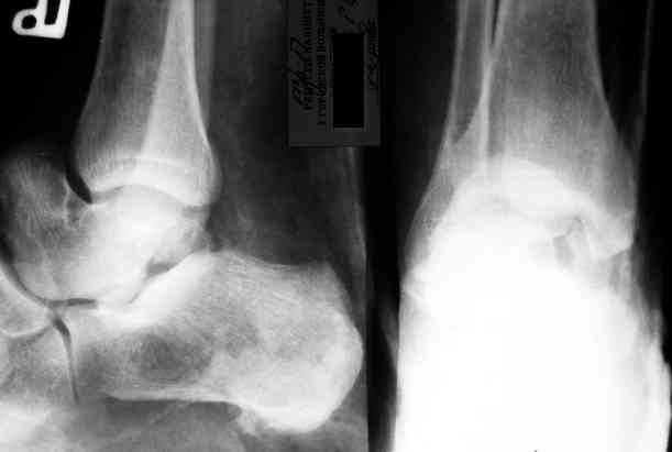
Последний снимок
|
[
Ответить ]
|
Re: Редкое повреждение - полный вывих тарана!
Антон Лебединец 04 Март 2007, 22:33
|
Мнение по поводу тарана? АН есть?
Операцию планируем на пятницу. План заведующего - двухсуставной артродез АВФ. Скину если получится фото и послеоперационные Р-граммы.
|
[
Ответить ]
|
Re: Редкое повреждение - полный вывих тарана!
Отправитель: Alexaander Chelnokov 04 Март 2007, 23:22
|
> Мнение по поводу тарана? АН есть?
Типичная картина некроза.
> Операцию планируем на пятницу. План заведующего - двухсуставной
> артродез АВФ. Скину если получится фото и послеоперационные Р-граммы.
Если очаг инфекции - не весь блок, и удастся инфицированную часть хорошо убрать, то будут неплохие шансы на васкуляризацю тарана с двух сторон. Послеоперационные рентгенограммы, конечно, будет интересно посмотреть. Они, правда, вряд ли прогноз надежно отразят.
|
[
Ответить ]
|
Re: Редкое повреждение - полный вывих тарана!
Отправитель: Aharon Liberson 05 Март 2007, 11:45
|
I would be sure I am ot going 2 arthrodese over the iunfection-Gallium Scan before a retrograde nail-Locking ( AECULAP OR RICHARDS) Its a hell of a job,. but I would be happy to arthrodese not during the acute infection-resection first with antibiotics+ cement insert and later an arthrodesis. An external is a good alternative and I would judge mostly according to the patients tolerance and THE SOFT TISSUE STATUS. You could also use Ilisarov for soft tissues only or a free flap. The avascular talus is good only as dead bone and I would not exclude talectomy with shortening at all. If you take the right decisions on the table-its also OK.
Good Luck in this tough case
Aharon
|
[
Ответить ]
|
|
Re: Редкое повреждение - полный вывих тарана!
Максимов Сергей 06 Март 2007, 03:20
|
Около месяца назад провели операцию женщине 45 лет с посттравматическим остеомиелитом таранной кости правой стопы (практически полное септическое разрушение тарана). Остеонекрэктомия, берцово-пяточный артродез, фиксация аппаратом Илизарова. На данный момент больная ходит с полной нагрузкой на оперированную конечность, болевой синдром умеренный и не постоянный. Заживление операционной раны через краевой некроз п\шва. О результатах лечения пока речь не идет, это просто информация по похожим ситуациям.
На мой взгляд, у больного асептический некроз таранной кости, осложненный гнойным артритом голеностопного сустава (по снимку не понятно, что это - фистулография или простая рентгенограмма). Оптимален артродез голеностопного сустава, объем резекции таранной кости определится только интраоперационно. Большая проблема - метод фиксации. Работая, в основном, с пациентами пожилого и старческого возраста могу сказать, что ЧКОС они переносят плохо. Адекватный уход за аппаратом возможен только в условиях стационара. Возможность самостоятельной работы с аппаратом, например для ликвидации укорочения, крайне сомнительна. Кроме того, укорочение 3 см (до 5 см) у данной категории больных легче компенсировать ортопедической обувью. К сожалению и фиксирующие повязки (гипсовые и различные "касты")- не лучший вариант для пожилых людей (пролежни и флектены просто на "ровном месте"). В данном случае я бы применил простую "фиксирующею" компоновку аппарата Илизарова, с возможностью "отступления" к голеностопному брэйсу (тутору). Основная задача - максимальное восстановление самообслуживания больного и, по возможности, избежать "этапных" операций.
С уважением, Сергей.
|
[
Ответить ]
|
Re: Редкое повреждение - полный вывих тарана!
Отправитель: Антон Лебединец 06 Март 2007, 21:09
|
-Остеонекрэктомия, берцово-пяточный артродез,-
Так таран удалили?
-у больного асептический некроз таранной кости,
осложненный гнойным артритом голеностопного сустава (по снимку не понятно, что это - фистулография или простая рентгенограмма-
Ну гнойный артрит вряд ли, свищ-то есть, а всего остального (признаков артрита) нет. А снимок - обычная Р-грамма с артефактами.
Работая, в основном, с пациентами пожилого и старческого возраста могу сказать, что ЧКОС они переносят плохо.
Верно, но не всегда как и
Адекватный уход за аппаратом возможен только в условиях стационара,
Нормальные люди, которые хотят выздороветь, делают все как им говорят (иногда лучше перевязочных сестер)
а про пациента скажу - мутный он тип - то отдается в наши руки - делайте как считаете нужным, то начинает суетиться, требовать гарантий, что боли уйдут (объясняешь, что мы не телеателье и гарантии дает только Господь Бог), начинает искать с кем еще проконсультироваться (хотя где-то он прав). В общем, не лежит уже душа (и руки) к операции-то. Вот если бы его областные спецы к себе забрали :)
(но не возьмут, гады!). Завтра он едет к ним - узнать мнение клиники. А там посмотрим - может наложим ему пластиковый сапожок с выведением стопы в какое-то подобие физиологии и адье... Может где и соперируют. Лавров на нем не снискать, хотя по-человечески жалко мужика.
В общем и целом, посмотрим. Порежем - отпишусь про результаты.
|
[
Ответить ]
|
Re: Редкое повреждение - полный вывих тарана!
Отправитель: Максимов Сергей 07 Март 2007, 03:28
|
>Так таран удалили?
Таранную кость, вернее то, что от нее осталось, удалили полностью.
>Ну гнойный артрит вряд ли, свищ-то есть, а всего остального (признаков артрита) нет. А снимок - обычная Р-грамма с артефактами.
А что, наличие свища исключает гнойный артрит? Посев на флору из свища проводился? Какое отделяемое? Да и фистулограмма совершенно не помешала бы.
>Нормальные люди, которые хотят выздороветь, делают все как им говорят (иногда лучше перевязочных сестер)
Вы только своим м\сестрам об этом не говорите...
Дело не в нормальности или ненормальности, а в закономерном развитие старения организма. Диагноз "атеросклеротический церебросклероз, дисциркуляторная энцефалопатия N-степени" - это второй диагноз у пожилых людей после "ИБС, и Т.Д." Поэтому приложить капустный лист на п\операционный шов, компресс с мочой (по совету соседки),а то и помазать "Кометом" область выхода спиц Киршнера (он же всех микробов убивает, "телевизор" сказал!)- это, к сожалению, случаи из личной практики и отнюдь не казуистика!
Поведение вашего больного ("мутный он тип" - по вашим словам) только подтверждает мои слова, это достаточно типичное поведение данной категории больных и мы уже к этому привыкли. Впрочем, мы отошли от основной задачи общения - обмена опыта лечения конкретных случаев.
Если больной "уйдет" от вас, то вы, кроме лавров, потеряете возможность пополнить личный опыт лечением этой нечастой патологии.
С уважением, Сергей.
|
[
Ответить ]
|
Re: Редкое повреждение - полный вывих тарана!
Отправитель: Антон Лебединец 07 Март 2007, 23:16
|
>Посев на флору из свища проводился?
Знаем мы наши посевы (и бак. лабораторию) - то St.aureus в чистой ране, то в сплошном гною "нет роста" - ЧУШЬ! И кто назначает АБ с учетом высеянных "зверей" - все равно широкого спектра АБ идут в ход.
>Дело не в нормальности или ненормальности, а в закономерном развитие старения организма. Диагноз
[...]
сказал!)- это, к сожалению, случаи из личной практики и отнюдь не казуистика!
Я называю нормальными тех пациентов, с которыми действительно можно спокойно работать, а все эти ДЭП, ИБС и пр. - большей частью "обязательная программа" дежурных терапевтов. Мы стараемся исходить из принципа "Умные операции для умных людей" - очень помогает избегать лишней головной боли. Я думаю, что и вы бабушке в маразме шейку бедра не оперируете, алкоголику аппарат не наложите! А про перевязки и медсестер - так это правда: сам себе (при правильном обучении) сделаешь лучше.
Если больной "уйдет" от вас, то вы, кроме лавров, потеряете возможность пополнить личный опыт лечением этой нечастой патологии.
Это действительно будет очень печально - я про опыт лечения. Но иногда нервы дороже - я думаю у всех бывали редкие случаи, когда делаешь все по максимуму (лучше просто нельзя) - но против природы не попрешь, а больному(ой) добрые соседи нашептали - А вот в Киеве (Москве)... И разгребаешь жалобы вместо СПАСИБО. Поэтому - поживем-увидим, может за эти несколько дней поумнеет. Профессиональный интерес-то всегда есть!
|
[
Ответить ]
|
Re: Редкое повреждение - полный вывих тарана!
Отправитель: Maxim Agalakov 07 Март 2007, 17:46
|
> дает только Господь Бог), начинает искать с кем еще
> проконсультироваться (хотя где-то он прав).
представляется, что пациент недостаточно информирован
> В общем, не лежит уже душа
> (и руки) к операции-то. Вот если бы его областные спецы к себе забрали
> :)
> (но не возьмут, гады!). Завтра он едет к ним - узнать мнение клиники.
> А там посмотрим - может наложим ему пластиковый сапожок с выведением
> стопы в какое-то подобие физиологии и адье...
потом к гадам, наверное?
|
[
Ответить ]
|
Re: Редкое повреждение - полный вывих тарана!
Отправитель: Антон Лебединец 07 Март 2007, 23:05
|
>представляется, что пациент недостаточно информирован
информирован еще и как - прочитана получасовая лекция со всеми возможными вариантами развития, но свои мозги не вставишь...
потом к гадам, наверное?
Для чего-то они же нужны? Может у них тщеславие проснется - МЫ столица, клиника, без нас ничего не могут (хотя спокойно можем.Здесь больше очередное прикрывание себя - как же получить мнение клиники!)
|
[
Ответить ]
|
Re: Редкое повреждение - полный вывих тарана!
Отправитель: Maxim Agalakov 07 Март 2007, 17:40
|
> фиксации. Работая, в основном, с пациентами пожилого и старческого
> возраста могу сказать, что ЧКОС они переносят плохо.
в чем именно плохо? В плане аппаратов ниже колена у этой категории весьма скромный опыт, но, как кажется, меньше мягких тканей, снижена реактивность - меньше воспалительный ответ. Отдельная проблема - пороз, но.. чуть больше спиц с упором и вроде бы проблема решается, сожалею, но опыт небольшой по таким пациентам, бедро переносят плохо, а голень вроде ничего.
> за аппаратом возможен только в условиях стационара.
при наличии родственников совсем нет, да и часть пострадавших вполне "в уме"
|
[
Ответить ]
|
|
( Ответить )
|
|