AOTRAUMA.ORG Центр Илизарова  

Ортопедия и травматология Общие вопросы/General questions Help Информационные технологии в медицине
 вверх
 отправить
 поиск
 админ
 главная
 Предыдущее
 Весь тред


Re: ложный сустав !!!
Сувалян Микаэл 18 Апрель 2007, 23:57
"Судя по уровню перелома, винты в шейку избыточны, подойдет и диафизарный гвоздь. Все, что нужно, это тиски и труба. Загнуть сразу ниже отверстий градусов на 8-10, и вся недолга. Последние годы у нас это рутинная практика. Предызогнутые еще с завода гвозди неудобны тем, что они уже правый-левый."

Александр, как всегда, очень интересная мысль от Вас! Что, реально изогнуть титановый гвоздь не сломав его? Если имеются под рукой Р-снимки, продемонстрируйте, плиз.

  • Сообщения о Ортопедия и травматология
  • Также Сувалян Микаэл
  • Связаться с автором
  • Ответить

    Re: ложный сустав !!!
    Alexander Chelnokov 19 Апрель 2007, 02:39
    СМ> Что, реально изогнуть титановый гвоздь, не сломав его?

    Конечно. Чтобы не сломать, лучше проложить в тиски сразу ниже отверстий полоску металла, чтобы там создалась концентрация напряжений при изгибе, а не на уровне отверстия.

    СМ> Если имеются под рукой Р-снимки, продемонстрируйте, плиз.

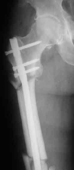
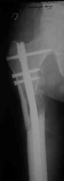
    Вот несколько. С тисками и трубой на днях сделаем.



    [ Ответить ]

    • Re: ложный сустав !!!
      Отправитель: Сувалян Микаэл 19 Апрель 2007, 21:39
      Преклоняюсь...
      без каких-либо шуток.

      [ Ответить ]
      • Re: ложный сустав !!!
        Отправитель: Alexander Chelnokov 19 Апрель 2007, 23:07
        Простите, не понял, что именно вызывает такие экстремальные эмоции?
        Гвозди с латерализованным проксимальным концом сейчас становится мэйнстримом, поскольку трохантерная точка входа во всех отношениях
        благоприятнее f. piriformis.
        Моделирование титановых заготовок, в том числе трубой в тисках, при остеосинтезе по Звереву-Ключевскому - тоже широко распространенная
        практика, и бедренные гвозди там тоже достаточно мощные...

        [ Ответить ]
        • Re: ложный сустав !!!
          Отправитель: Коваленко А.Н. 21 Апрель 2007, 00:04
          Я не знал, что при историческом моменте присутствовал, воочию наблюдая,как теперь оказалось, святая святых: Александр Николаевич сам ДЕЛАЕТ ЭТО - гнет штифт!!! Знал бы, эх, сфотографировался бы на фоне тисков, трубы и гнутого стержня:(

          [ Ответить ]
    • Re: ложный сустав !!!
      Отправитель: Алексей Семенистый 19 Апрель 2007, 22:05
      > Вот несколько. С тисками и трубой на днях сделаем.

      Саша, последний штифт, пожалуй, перегнули?

      Штучное производство, ювелирная работа! Боюсь, для наших пациентов дороговато выйдет, не потянут.


      С уважением, А.Семенистый.
      ГКБ 13, Москва.

      [ Ответить ]
      • Re: ложный сустав !!!
        Отправитель: Alexander Chelnokov 19 Апрель 2007, 22:15
        > Саша, последний штифт, пожалуй перегнули?

        Там заход сделан как для прямого штифта, не через вертел.

        Штучное призводство, ювелирная работа! Боюсь, для наших пациентов
        > дороговато выйдет, не потянут.


        Может, еще договоримся? Торг уместен ;-)

        [ Ответить ]
        • Re: ложный сустав !!!
          Отправитель: Алексей Семенистый 19 Апрель 2007, 22:17
          Там заход сделан как для прямого штифта, не через вертел.

          И правда, не через вертел. Тогда зачем гнули?


          С уважением, А.Семенистый.
          ГКБ 13, Москва.


          [ Ответить ]

     

    ( Ответить )

    Powered by Zope  Squishdot Powered MedLink
    Посетитель: 0152563
      "По форме правильно, а по существу - издевательство" В.И.Ленин
    ©2001-2019Orthoforum Coordinator.
    [ Главная | Отправить сообщение | Поиск | Админ ]