AOTRAUMA.ORG Центр Илизарова  

Ортопедия и травматология Общие вопросы/General questions Help Информационные технологии в медицине
 вверх
 отправить
 поиск
 админ
 главная
 Предыдущее
 Весь тред


Re: ложный сустав !!!
Alexander Chelnokov 18 Апрель 2007, 22:47
> P.S. Учитывая точку введения - верхушка б\вертела

Это, похоже, и есть источник проблемы.

> - что бы исправить варус взял бы соответствующий гвоздь: длинную
> Гамму или или PFN или Recon


Судя по уровню перелома, винты в шейку избыточны, подойдет и диафизарный гвоздь. Все, что нужно, это тиски и труба. Загнуть сразу ниже отверстий градусов на 8-10, и вся недолга. Последние годы у нас это рутинная практика. Предызогнутые еще с завода гвозди неудобны тем, что они уже правый-левый.

Согласен, что 3,5 см укорочение этим снимкам не соответствует, за счет перелома и деформации - 1,5 см от силы. То есть либо ошибка измерения, либо приводящая контрактура, либо укорочение за счет другого отдела.

Согласен, что закрытый реостеосинтез с рассверливанием и коррекцией оси - это то, что надо. Мы бы ввели в центральный отломок статических 2-3 винта, и один динамический винт в дистальном отломке.
  • Сообщения о Ортопедия и травматология
  • Также Alexander Chelnokov
  • Связаться с автором
  • Ответить

    Re: ложный сустав !!!
    Сувалян Микаэл 18 Апрель 2007, 23:57
    "Судя по уровню перелома, винты в шейку избыточны, подойдет и диафизарный гвоздь. Все, что нужно, это тиски и труба. Загнуть сразу ниже отверстий градусов на 8-10, и вся недолга. Последние годы у нас это рутинная практика. Предызогнутые еще с завода гвозди неудобны тем, что они уже правый-левый."

    Александр, как всегда, очень интересная мысль от Вас! Что, реально изогнуть титановый гвоздь не сломав его? Если имеются под рукой Р-снимки, продемонстрируйте, плиз.

    [ Ответить ]

    • Re: ложный сустав !!!
      Отправитель: Alexander Chelnokov 19 Апрель 2007, 02:39
      СМ> Что, реально изогнуть титановый гвоздь, не сломав его?

      Конечно. Чтобы не сломать, лучше проложить в тиски сразу ниже отверстий полоску металла, чтобы там создалась концентрация напряжений при изгибе, а не на уровне отверстия.

      СМ> Если имеются под рукой Р-снимки, продемонстрируйте, плиз.

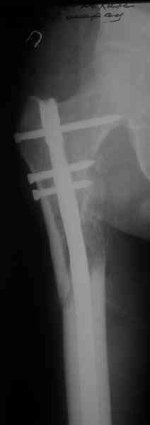
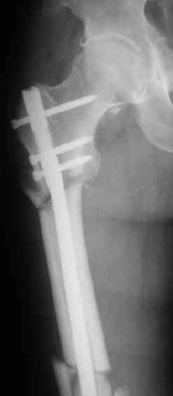
      Вот несколько. С тисками и трубой на днях сделаем.




      [ Ответить ]
      • Re: ложный сустав !!!
        Отправитель: Сувалян Микаэл 19 Апрель 2007, 21:39
        Преклоняюсь...
        без каких-либо шуток.

        [ Ответить ]
        • Re: ложный сустав !!!
          Отправитель: Alexander Chelnokov 19 Апрель 2007, 23:07
          Простите, не понял, что именно вызывает такие экстремальные эмоции?
          Гвозди с латерализованным проксимальным концом сейчас становится мэйнстримом, поскольку трохантерная точка входа во всех отношениях
          благоприятнее f. piriformis.
          Моделирование титановых заготовок, в том числе трубой в тисках, при остеосинтезе по Звереву-Ключевскому - тоже широко распространенная
          практика, и бедренные гвозди там тоже достаточно мощные...

          [ Ответить ]
          • Re: ложный сустав !!!
            Отправитель: Коваленко А.Н. 21 Апрель 2007, 00:04
            Я не знал, что при историческом моменте присутствовал, воочию наблюдая,как теперь оказалось, святая святых: Александр Николаевич сам ДЕЛАЕТ ЭТО - гнет штифт!!! Знал бы, эх, сфотографировался бы на фоне тисков, трубы и гнутого стержня:(

            [ Ответить ]
      • Re: ложный сустав !!!
        Отправитель: Алексей Семенистый 19 Апрель 2007, 22:05
        > Вот несколько. С тисками и трубой на днях сделаем.

        Саша, последний штифт, пожалуй, перегнули?

        Штучное производство, ювелирная работа! Боюсь, для наших пациентов дороговато выйдет, не потянут.


        С уважением, А.Семенистый.
        ГКБ 13, Москва.

        [ Ответить ]
        • Re: ложный сустав !!!
          Отправитель: Alexander Chelnokov 19 Апрель 2007, 22:15
          > Саша, последний штифт, пожалуй перегнули?

          Там заход сделан как для прямого штифта, не через вертел.

          Штучное призводство, ювелирная работа! Боюсь, для наших пациентов
          > дороговато выйдет, не потянут.


          Может, еще договоримся? Торг уместен ;-)

          [ Ответить ]
          • Re: ложный сустав !!!
            Отправитель: Алексей Семенистый 19 Апрель 2007, 22:17
            Там заход сделан как для прямого штифта, не через вертел.

            И правда, не через вертел. Тогда зачем гнули?


            С уважением, А.Семенистый.
            ГКБ 13, Москва.


            [ Ответить ]
    Re: ложный сустав !!!
    Алексей Семенистый 19 Апрель 2007, 00:45
    > ниже отверстий градусов на 8-10, и вся недолга. Послещние годы у нас
    > это рутинная практика.


    У нас такие переделки не рутина, но встречаются. Завтра пойду куплю тиски! :)

    С уважением, А.Семенистый.
    ГКБ 13, Москва.
    [ Ответить ]

    • Re: ложный сустав !!!
      Отправитель: Alexander Chelnokov 19 Апрель 2007, 01:08
      АС> У нас такие переделки не рутина, но встречаются. Завтра пойду куплю тиски! :)

      Сразу лучше в комплекте брать верстак, наждак, сверлильный станок. Малый гаражно-ортопедический набор ;-)


      [ Ответить ]
      • Re: ложный сустав !!!
        Отправитель: Алексей Семенистый 19 Апрель 2007, 02:30
        Малый?... А что же тогда - БОЛЬШЛЙ???

        С уважением, А.Семенистый.
        ГКБ 13, Москва.

        [ Ответить ]
        • Re: ложный сустав !!!
          Отправитель: Alexander Chelnokov 19 Апрель 2007, 02:31
          Газовая горелка (нагретый титановый штифт гнется двумя пальцами), фрезерный и токарный станки...

          [ Ответить ]
          • Re: ложный сустав !!!
            Отправитель: Michael Berenstein 19 Апрель 2007, 02:32
            А как с оксидами которые образуются на поверхности металла при нагревании?
            Они безвредны?

            Вообще-то уважаемые фирмы напыляют специальные покрытия на титановые штучки.

            Я все понимаю про обеспеченность инструментами , но может стоит об этом поговорить?

            Всегда ли вы уверены что гвоздь поставленный вами сделан из материала который безвреден.


            С уважением М.Беренштейн

            [ Ответить ]
            • Re: ложный сустав !!!
              Отправитель: Alexander Chelnokov 19 Апрель 2007, 02:35
              BM> А как с оксидами которые образуются на поверхности металла при нагревании?
              BM> Они безвредны?


              Титан в этом отношении замечательный материал. Как раз его оксиды и делают его одним из самых биологически инертных. Нагревание может сыграть другую неприятную роль, могут создаться при охлаждении внутренние напряжения в металле. Вроде проблем из-за этого мы не видели, но... Предпочитаю гнуть трубой в холодном виде, хотя газовая горелка рядом с тисками.

              BM> Вообще-то уважаемые фирмы напыляют специальные покрытия на титановые штучки.

              И продают каждый фиксатор в трех версиях - сталь, титан, анодированный титан... Сколько тут маркетинга, а сколько реальной пользы для пациента (и в чем конкретно она выражается) - не уверен, что легко ответить.

              BM> Я все понимаю про обеспеченность инструментами , но может стоит об этом
              BM> поговорить?


              Конечно, это интересная тема, о которой не прочитаешь в журналах.

              BM> Всегда ли вы уверены что гвоздь поставленный вами сделан из материала
              BM> который безвреден.


              Ни разу не доводилось слышать о каких-то проблемах с пациентами, обусловленных вредностью этого материала. Так что, видимо, не более вреден, чем другие массово применяемые индустриальные фиксаторы.

              Давайте вспомним ярославских коллег, 10-15 лет назад разработавших стройную систему эластичного стабильного интрамедуллярного остеосинтеза для всех сегментов. Основа системы - то, что фиксаторы для каждого пациента изготовливаются из полуфабрикатной заготовки хирургом перед операцией (наждак, тиски, молоток...). Материал -
              промышленные(!) титановые сплавы, по старому ВТ-5, ВТ-15 и другие из этой серии. В начале 90-х уже было у них много сотен пациентов. Мы до сих пор пользуемся этим подходом для штифтования плеча и предплечья.
              Ни свои пациенты, ни литература не давали пока оснований вспоминать о (без)вредности материала. При том, что мы удаляем 7-8% гвоздей.

              [ Ответить ]
              • Малый гаражно-ортопедический набор
                Отправитель: Michael Berenstein 19 Апрель 2007, 22:35
                Александр привет!

                В мире полном адвокатов принято проверять казалось бы мелочи.

                В свое время я не смог внедрить никилид титана из-за недостаточности информации о влиянии никеля.

                Все чаще ичаще говорят о неизвестных последствиях применения протезов металл-металл т.к. находят некоторое увеличение ионов железа и скоплении микрочастиц металла. Пока ни кто не болеет, но ещё ни кто не знает что может случится в будущем. Вроде мелочи.

                Каждый больной считает своим долгом выяснить из какого материала сделан имплантат и потом идет проверят в интернете. Если у вас этого ещё нет? то тоже скоро будет.

                Вообще несколоко вопросов по материаловеденью есть на экзаменах у резидентов, хотя по моему недостаточно.

                Кстати, может увидимся на страйкеровской конференции в СПб?



                М.Беренштейн

                [ Ответить ]
                • Re: Малый гаражно-ортопедический набор
                  Отправитель: Alexander Chelnokov 19 Апрель 2007, 22:52
                  Dear Михаил,

                  > В мире полном адвокатов принято проверять казалось бы мелочи.
                  > В свое время я не смог внедрить никилид титана из-за недостаточности
                  > информации о влиянии никеля.


                  Вряд ли отдельному врачу в любой стране удастся самому внедрить в государственном масштабе новый материал, даже если он самый супер-пупер хороший и безопасный. Максимум, что он может сделать - создать некоторые для этого основания, проведя эксперимент, или потом на ограниченной серии пациентов. Пусть внедрением со всеми согласованиями, испытаниями, рецензиями и разрешениями занимается индустрия.

                  С титаном в xUSSR счастливая ситуация, что его здесь не надо внедрять, даже его технические сплавы уже давно внедрена в медицинскую практику.
                  Которая за послелние лет уже 20 не показала наличие обсуждаемой проблемы. Возможно, когда-нибудь их "вынедрят", но для этого надо специальные усилия.

                  > Все чаще ичаще говорят о неизвестных последствиях применения протезов
                  > металл-металл т.к. находят некоторое увеличение ионов железа и скоплении


                  Да, не раз про гипотетический вред слышал от активных сторонников удаления фиксаторов. Но - есть работы, показывающие, что вред от удаления бессимптомных конструкций не туманно-перспективный, а реальный сегодняшний.

                  > имплантат и потом идет проверят в интернете. Если у вас этого ещё нет то
                  > тоже скоро будет.


                  Нам бы ваши заботы ;-)

                  > Вообще несколmко вопросов по материаловеденью есть на экзаменах у
                  > резидентов, хотя по моему недостаточно.


                  Согласен, представление о свойствах материалов и сплавов врачу полезно иметь.

                  > Кстати, может увидимся на страйкеровской конференции в СПб?

                  Постараюсь быть.

                  [ Ответить ]

     

    ( Ответить )

    Powered by Zope  Squishdot Powered MedLink
    Посетитель: 0021203
      "По форме правильно, а по существу - издевательство" В.И.Ленин
    ©2001-2019Orthoforum Coordinator.
    [ Главная | Отправить сообщение | Поиск | Админ ]