AOTRAUMA.ORG Центр Илизарова  

Ортопедия и травматология Общие вопросы/General questions Help Информационные технологии в медицине
 вверх
 отправить
 поиск
 админ
 главная
 Предыдущее


Re: ложный сустав !!!
Алексей Семенистый 18 Апрель 2007, 09:21
> денамизация - февраль 2006. ( 3 и 4 снимки) на сегодняшний день (снимок 5) беспокоит боли в тбс...


Уважаемый Ашраф!
Однозначно: удалить, рассверлить, перештифтовать более толстым гвоздем. ЭТОТ 9 мм будет? Возьмите 12-14.
Дистально обязательно два винта! Проксимально можно один динамический. Больной будет счастлив на следующий же день!
Учитывая точку введения - верхушка б\вертела - что бы исправить варус взял бы соответствующий гвоздь: длинную Гамму или PFN или Recon

С уважением, А.Семенистый.
ГКБ 13, Москва.

  • Сообщения о Ортопедия и травматология
  • Также Алексей Семенистый
  • Связаться с автором
  • Ответить

    Re: ложный сустав !!!
    Castro 18 Апрель 2007, 16:00
    Drogoi Alexei!
    A s ukoracheniem chto delat'? Mene kazitsa, chto 2.5 cm. ukorochenia vse ravno ostanetsa, esli ni bolshe, chto s itim delat'? Ni luche prefiksirovat' perelom by Ex. Fix, chto bi proezvodit' Korreksio i udlenenia odnovremenno?
    Dr. Castro
    Amman
    [ Ответить ]

    Re: ложный сустав !!!
    Alexander Chelnokov 18 Апрель 2007, 22:47
    > P.S. Учитывая точку введения - верхушка б\вертела

    Это, похоже, и есть источник проблемы.

    > - что бы исправить варус взял бы соответствующий гвоздь: длинную
    > Гамму или или PFN или Recon


    Судя по уровню перелома, винты в шейку избыточны, подойдет и диафизарный гвоздь. Все, что нужно, это тиски и труба. Загнуть сразу ниже отверстий градусов на 8-10, и вся недолга. Последние годы у нас это рутинная практика. Предызогнутые еще с завода гвозди неудобны тем, что они уже правый-левый.

    Согласен, что 3,5 см укорочение этим снимкам не соответствует, за счет перелома и деформации - 1,5 см от силы. То есть либо ошибка измерения, либо приводящая контрактура, либо укорочение за счет другого отдела.

    Согласен, что закрытый реостеосинтез с рассверливанием и коррекцией оси - это то, что надо. Мы бы ввели в центральный отломок статических 2-3 винта, и один динамический винт в дистальном отломке.
    [ Ответить ]

    • Re: ложный сустав !!!
      Отправитель: Сувалян Микаэл 18 Апрель 2007, 23:57
      "Судя по уровню перелома, винты в шейку избыточны, подойдет и диафизарный гвоздь. Все, что нужно, это тиски и труба. Загнуть сразу ниже отверстий градусов на 8-10, и вся недолга. Последние годы у нас это рутинная практика. Предызогнутые еще с завода гвозди неудобны тем, что они уже правый-левый."

      Александр, как всегда, очень интересная мысль от Вас! Что, реально изогнуть титановый гвоздь не сломав его? Если имеются под рукой Р-снимки, продемонстрируйте, плиз.


      [ Ответить ]
      • Re: ложный сустав !!!
        Отправитель: Alexander Chelnokov 19 Апрель 2007, 02:39
        СМ> Что, реально изогнуть титановый гвоздь, не сломав его?

        Конечно. Чтобы не сломать, лучше проложить в тиски сразу ниже отверстий полоску металла, чтобы там создалась концентрация напряжений при изгибе, а не на уровне отверстия.

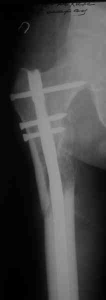
        СМ> Если имеются под рукой Р-снимки, продемонстрируйте, плиз.

        Вот несколько. С тисками и трубой на днях сделаем.




        [ Ответить ]
        • Re: ложный сустав !!!
          Отправитель: Сувалян Микаэл 19 Апрель 2007, 21:39
          Преклоняюсь...
          без каких-либо шуток.

          [ Ответить ]
          • Re: ложный сустав !!!
            Отправитель: Alexander Chelnokov 19 Апрель 2007, 23:07
            Простите, не понял, что именно вызывает такие экстремальные эмоции?
            Гвозди с латерализованным проксимальным концом сейчас становится мэйнстримом, поскольку трохантерная точка входа во всех отношениях
            благоприятнее f. piriformis.
            Моделирование титановых заготовок, в том числе трубой в тисках, при остеосинтезе по Звереву-Ключевскому - тоже широко распространенная
            практика, и бедренные гвозди там тоже достаточно мощные...

            [ Ответить ]
            • Re: ложный сустав !!!
              Отправитель: Коваленко А.Н. 21 Апрель 2007, 00:04
              Я не знал, что при историческом моменте присутствовал, воочию наблюдая,как теперь оказалось, святая святых: Александр Николаевич сам ДЕЛАЕТ ЭТО - гнет штифт!!! Знал бы, эх, сфотографировался бы на фоне тисков, трубы и гнутого стержня:(

              [ Ответить ]
        • Re: ложный сустав !!!
          Отправитель: Алексей Семенистый 19 Апрель 2007, 22:05
          > Вот несколько. С тисками и трубой на днях сделаем.

          Саша, последний штифт, пожалуй, перегнули?

          Штучное производство, ювелирная работа! Боюсь, для наших пациентов дороговато выйдет, не потянут.


          С уважением, А.Семенистый.
          ГКБ 13, Москва.

          [ Ответить ]
          • Re: ложный сустав !!!
            Отправитель: Alexander Chelnokov 19 Апрель 2007, 22:15
            > Саша, последний штифт, пожалуй перегнули?

            Там заход сделан как для прямого штифта, не через вертел.

            Штучное призводство, ювелирная работа! Боюсь, для наших пациентов
            > дороговато выйдет, не потянут.


            Может, еще договоримся? Торг уместен ;-)

            [ Ответить ]
            • Re: ложный сустав !!!
              Отправитель: Алексей Семенистый 19 Апрель 2007, 22:17
              Там заход сделан как для прямого штифта, не через вертел.

              И правда, не через вертел. Тогда зачем гнули?


              С уважением, А.Семенистый.
              ГКБ 13, Москва.


              [ Ответить ]
    • Re: ложный сустав !!!
      Отправитель: Алексей Семенистый 19 Апрель 2007, 00:45
      > ниже отверстий градусов на 8-10, и вся недолга. Послещние годы у нас
      > это рутинная практика.


      У нас такие переделки не рутина, но встречаются. Завтра пойду куплю тиски! :)

      С уважением, А.Семенистый.
      ГКБ 13, Москва.

      [ Ответить ]
      • Re: ложный сустав !!!
        Отправитель: Alexander Chelnokov 19 Апрель 2007, 01:08
        АС> У нас такие переделки не рутина, но встречаются. Завтра пойду куплю тиски! :)

        Сразу лучше в комплекте брать верстак, наждак, сверлильный станок. Малый гаражно-ортопедический набор ;-)


        [ Ответить ]
        • Re: ложный сустав !!!
          Отправитель: Алексей Семенистый 19 Апрель 2007, 02:30
          Малый?... А что же тогда - БОЛЬШЛЙ???

          С уважением, А.Семенистый.
          ГКБ 13, Москва.

          [ Ответить ]
          • Re: ложный сустав !!!
            Отправитель: Alexander Chelnokov 19 Апрель 2007, 02:31
            Газовая горелка (нагретый титановый штифт гнется двумя пальцами), фрезерный и токарный станки...

            [ Ответить ]
            • Re: ложный сустав !!!
              Отправитель: Michael Berenstein 19 Апрель 2007, 02:32
              А как с оксидами которые образуются на поверхности металла при нагревании?
              Они безвредны?

              Вообще-то уважаемые фирмы напыляют специальные покрытия на титановые штучки.

              Я все понимаю про обеспеченность инструментами , но может стоит об этом поговорить?

              Всегда ли вы уверены что гвоздь поставленный вами сделан из материала который безвреден.


              С уважением М.Беренштейн

              [ Ответить ]
              • Re: ложный сустав !!!
                Отправитель: Alexander Chelnokov 19 Апрель 2007, 02:35
                BM> А как с оксидами которые образуются на поверхности металла при нагревании?
                BM> Они безвредны?


                Титан в этом отношении замечательный материал. Как раз его оксиды и делают его одним из самых биологически инертных. Нагревание может сыграть другую неприятную роль, могут создаться при охлаждении внутренние напряжения в металле. Вроде проблем из-за этого мы не видели, но... Предпочитаю гнуть трубой в холодном виде, хотя газовая горелка рядом с тисками.

                BM> Вообще-то уважаемые фирмы напыляют специальные покрытия на титановые штучки.

                И продают каждый фиксатор в трех версиях - сталь, титан, анодированный титан... Сколько тут маркетинга, а сколько реальной пользы для пациента (и в чем конкретно она выражается) - не уверен, что легко ответить.

                BM> Я все понимаю про обеспеченность инструментами , но может стоит об этом
                BM> поговорить?


                Конечно, это интересная тема, о которой не прочитаешь в журналах.

                BM> Всегда ли вы уверены что гвоздь поставленный вами сделан из материала
                BM> который безвреден.


                Ни разу не доводилось слышать о каких-то проблемах с пациентами, обусловленных вредностью этого материала. Так что, видимо, не более вреден, чем другие массово применяемые индустриальные фиксаторы.

                Давайте вспомним ярославских коллег, 10-15 лет назад разработавших стройную систему эластичного стабильного интрамедуллярного остеосинтеза для всех сегментов. Основа системы - то, что фиксаторы для каждого пациента изготовливаются из полуфабрикатной заготовки хирургом перед операцией (наждак, тиски, молоток...). Материал -
                промышленные(!) титановые сплавы, по старому ВТ-5, ВТ-15 и другие из этой серии. В начале 90-х уже было у них много сотен пациентов. Мы до сих пор пользуемся этим подходом для штифтования плеча и предплечья.
                Ни свои пациенты, ни литература не давали пока оснований вспоминать о (без)вредности материала. При том, что мы удаляем 7-8% гвоздей.

                [ Ответить ]
                • Малый гаражно-ортопедический набор
                  Отправитель: Michael Berenstein 19 Апрель 2007, 22:35
                  Александр привет!

                  В мире полном адвокатов принято проверять казалось бы мелочи.

                  В свое время я не смог внедрить никилид титана из-за недостаточности информации о влиянии никеля.

                  Все чаще ичаще говорят о неизвестных последствиях применения протезов металл-металл т.к. находят некоторое увеличение ионов железа и скоплении микрочастиц металла. Пока ни кто не болеет, но ещё ни кто не знает что может случится в будущем. Вроде мелочи.

                  Каждый больной считает своим долгом выяснить из какого материала сделан имплантат и потом идет проверят в интернете. Если у вас этого ещё нет? то тоже скоро будет.

                  Вообще несколоко вопросов по материаловеденью есть на экзаменах у резидентов, хотя по моему недостаточно.

                  Кстати, может увидимся на страйкеровской конференции в СПб?



                  М.Беренштейн

                  [ Ответить ]
                  • Re: Малый гаражно-ортопедический набор
                    Отправитель: Alexander Chelnokov 19 Апрель 2007, 22:52
                    Dear Михаил,

                    > В мире полном адвокатов принято проверять казалось бы мелочи.
                    > В свое время я не смог внедрить никилид титана из-за недостаточности
                    > информации о влиянии никеля.


                    Вряд ли отдельному врачу в любой стране удастся самому внедрить в государственном масштабе новый материал, даже если он самый супер-пупер хороший и безопасный. Максимум, что он может сделать - создать некоторые для этого основания, проведя эксперимент, или потом на ограниченной серии пациентов. Пусть внедрением со всеми согласованиями, испытаниями, рецензиями и разрешениями занимается индустрия.

                    С титаном в xUSSR счастливая ситуация, что его здесь не надо внедрять, даже его технические сплавы уже давно внедрена в медицинскую практику.
                    Которая за послелние лет уже 20 не показала наличие обсуждаемой проблемы. Возможно, когда-нибудь их "вынедрят", но для этого надо специальные усилия.

                    > Все чаще ичаще говорят о неизвестных последствиях применения протезов
                    > металл-металл т.к. находят некоторое увеличение ионов железа и скоплении


                    Да, не раз про гипотетический вред слышал от активных сторонников удаления фиксаторов. Но - есть работы, показывающие, что вред от удаления бессимптомных конструкций не туманно-перспективный, а реальный сегодняшний.

                    > имплантат и потом идет проверят в интернете. Если у вас этого ещё нет то
                    > тоже скоро будет.


                    Нам бы ваши заботы ;-)

                    > Вообще несколmко вопросов по материаловеденью есть на экзаменах у
                    > резидентов, хотя по моему недостаточно.


                    Согласен, представление о свойствах материалов и сплавов врачу полезно иметь.

                    > Кстати, может увидимся на страйкеровской конференции в СПб?

                    Постараюсь быть.

                    [ Ответить ]

     

    ( Ответить )

    Powered by Zope  Squishdot Powered MedLink
    Посетитель: 0151201
      "По форме правильно, а по существу - издевательство" В.И.Ленин
    ©2001-2019Orthoforum Coordinator.
    [ Главная | Отправить сообщение | Поиск | Админ ]