AOTRAUMA.ORG Центр Илизарова  

Ортопедия и травматология Общие вопросы/General questions Help Информационные технологии в медицине
 вверх
 отправить
 поиск
 админ
 главная
 Предыдущее
 Весь тред


Re: Ведение огнестрельного перелома
Alexander Artemiev 05 Июнь 2007, 06:36
Снимки очень интересны.
Но думаю, что самый лучший вариант - т.н. острое укорочение.
Тем более при относительно небольшой величине дефекта.
Время сэкономите....
Кстати, не знаю, почему история метода пошла по пути низведения
фрагмента, а не по пути "острого укорочения". Видимо, первый, кто
замещал дефект, так решил...
С уважением Александр Артемьев
  • Сообщения о Ортопедия и травматология
  • Также Alexander Artemiev
  • Связаться с автором
  • Ответить

    Re: Ведение огнестрельного перелома
    Никита Заднепровский 07 Июнь 2007, 00:46
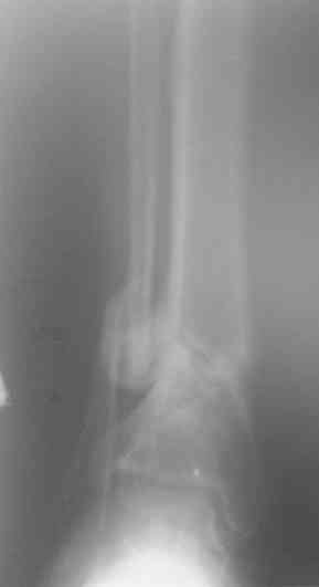
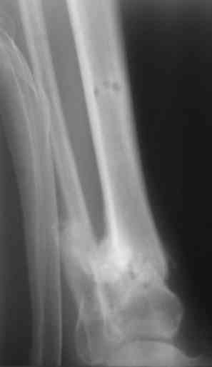
    Есть у меня результат такого метода. Тема обсуждалась. Как говорится - лечили всем форумом. Рана, правда, не огнестрельная - OFFтопик.

    Больной случайно попал в поле зрения с переломом шейки бедра. Страдает хр. алкоголизмом. От когда-то предложенного удлиннения голени пациент отказался. После снятия аппарата он пропал как с белых яблонь дым ...




    Укорочение конечности 3 см. Передвигался без дополнительной опоры с "нарощенной" подошвой на правой обуви. Ограничение тыльного и подошвенного сгибания - умеренные (всего примерно 50%, не измерял).

    Всем большое спасибо за своевременно оказанную помощь по ведению такого случая.

    С уважением, Заднепровский Никита Николаевич
    [ Ответить ]


    ( Ответить )

    Powered by Zope  Squishdot Powered MedLink
    Посетитель: 0151520
      "По форме правильно, а по существу - издевательство" В.И.Ленин
    ©2001-2019Orthoforum Coordinator.
    [ Главная | Отправить сообщение | Поиск | Админ ]