AOTRAUMA.ORG Центр Илизарова  

Ортопедия и травматология Общие вопросы/General questions Help Информационные технологии в медицине
 вверх
 отправить
 поиск
 админ
 главная


Перелом н/3
Ортопедия и травматология Отправлено Владимир Бахарев 10 Июль 2007, 17:26
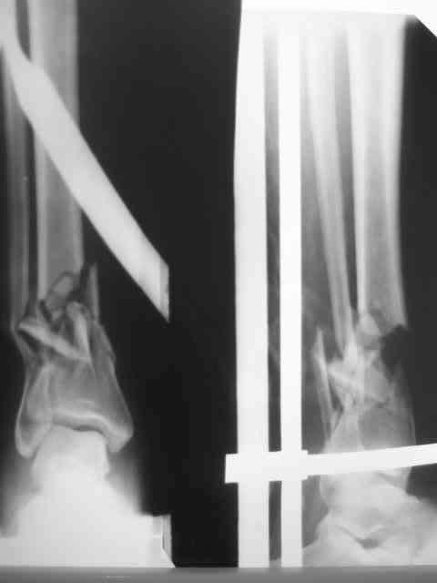
Здравствуйте коллеги!Вышел с отпуска и в палате оказалась данная пациентка.
Из истории выяснилось: травма 29.01.07 Диагноз: Открытый оскольчатый перелом н/3 костей голени (якобы 2 Б Каплан), при поступлении операция из трех букв и скелетное вытяжение + остальная терапия. Затем выполнили остеосинтез штифтом (походу Эксперт стоит) видимо хотели зацепится за дистальный отломок, но скорей всего все было нестабильно и накинули этот сокращенный АВФ. На сегодня (162 дня): Больная ходит с ограниченной нагрузкой на конечность (трость). Движения в г/стопе качательные. Трофика мягких тканей не настораживает. Воспаления м/тканей нет.В планах: 1. удаление штифта 2.Наложение стандартного АВФ с фиксацией стопы и устранение всех смещений 3.Резекция нежизнеспособных костных отломков 4.Остеотомия в/3 большеберцовой кости с последующей дистракцией и замещением дефекта.Хотелось бы выслушать мнение по этому случаю!Возможен ли вариант если на опер.столе удастся устранить смещения одномоментной репозицией АВФ и не удалять штифт а производить транспорт большеберцовой кости на штифте? И стоит ли при таком коротком дистальном отломке пытаться блокировать в низу (имеется в виду в АВФ)Спасибо.

<  |  >

 

  • Сообщения о Ортопедия и травматология
  • Также Владимир Бахарев
  • Связаться с автором
  • Ответить

    Re: Перелом н/3
    Артак Григорян 11 Июль 2007, 02:45
    Уважаемый коллега, на счет того,что надо интрамедулярный штифт надо убрать, это однозначно, так как большой диастаз между отломками,перелом не срастется, а АПФ фиксировать дистальный отломок очень трудно и будет нестабильность,я бы сделал мостовидный остеосинтез метафизарной пластиной с блокированием, с декортикацией и замещением дефекта аутокостью или другими трансплантатами, и соотвественно остеотомия малоберцовой кости в с/3 или в/3
    [ Ответить ]

    Re: Перелом н/3
    Alexander Chelnokov 11 Июль 2007, 05:32
    > настораживает. Воспаления м/тканей нет. В планах: 1. удаление штифта

    Пожалуй. Хотелось бы посмотреть на прицельный сниомк дистального отдела голени. Похоже, эпиметафиз смещен кпереди, и с гвоздем внутри это не исправить.

    > 2.Наложение стандартного АВФ с фиксацией стопы и устранение всех
    > смещений


    Не вижу необходимости в фиксации стопы. И дистальный отломок tibia достаточно велик, чтобы ввести в него 3-4 спицы с упорами. И голеностопный сустав уже давно пора мобилизовать, дальнейшая фиксация может кончится фиброзным анкилозом.

    > 3.Резекция нежизнеспособных костных отломков

    Зачем??? Проявлений инфекции, свищей нет. Остальное за месяцы реваскуляризовалось.

    > 4.Остеотомия в/3 большеберцовой кости с последующей дистракцией и
    > замещением дефекта.


    Может быть, получится аккуратно восстановить ось, при этом регенерат появится. Может быть, перекрыть стык скользящим отщепом. Может быть, после хорошего восстановления оси даже перештифтовать тем же гвоздем,

    > на опер.столе удастся устранить смещения одномоментной репозицией АВФ
    > и не удалять штифт


    Репозиция с гвоздем на месте - малореально, да и одномоментно, учитывая срок, уже и не надо, лучше сохранить кровоснабжение.

    > а производить транспорт большеберцовой кости на штифте?

    Если все-таки пойдете по пути формирования дефекта и транспорта, лучше спокойно это сделать в нормальном полноценном аппарате, а после завершения всех перемещений заштифтовать.
    Удачи.

    [ Ответить ]

    • Re: Перелом н/3
      Отправитель: Александр Олюнин 12 Июль 2007, 15:19
      Уважаемые коллеги, предлагаю в данной ситуации провести динамизацию: удалить лишь дистальный блокирующий винт и снять напряжение на стержнях АВФ, что должно стимулировать явление консолидации.

      [ Ответить ]
      • Re: Перелом н/3
        Отправитель: Vital 12 Июль 2007, 20:46
        Динамизировать нижний отломок?и чего вы добьетесь?Если уж динамизировать, то удалять проксимальные винты,а на аппарате динамизация ничего не принесет.
        Здесь нужно убирать стержень и пытаться собрать отломки на аппарате, о накостном остеосинтезе даже и не думайте, вы можете добиться прекрасной репозиции, но перелом срастаться не будет.
        Приживется ли в этом месте трансплантат?Не факт.

        [ Ответить ]
    Re: Перелом н/3
    Gusamov Fil 16 Июль 2007, 23:13
    Приветсвую, коллега! Думаю, будет более разумная такая тактика: 1.Удаление стержня. 2. Адаптационная резекция места перелома. 3. Дистракционный остеосинтез с остеотомией в проксимальном метафизе костей голени с целью дозированного восстановления длины конечности.

    [ Ответить ]


    ( Ответить )

    Powered by Zope  Squishdot Powered MedLink
    Посетитель: 0000010
      "По форме правильно, а по существу - издевательство" В.И.Ленин
    ©2001-2019Orthoforum Coordinator.
    [ Главная | Отправить сообщение | Поиск | Админ ]