AOTRAUMA.ORG Центр Илизарова  

Ортопедия и травматология Общие вопросы/General questions Help Информационные технологии в медицине
 вверх
 отправить
 поиск
 админ
 главная


гипертрофический тугой ложный сустав
Ортопедия и травматология Отправлено Абдурашид Тураев 23 Август 2007, 03:18
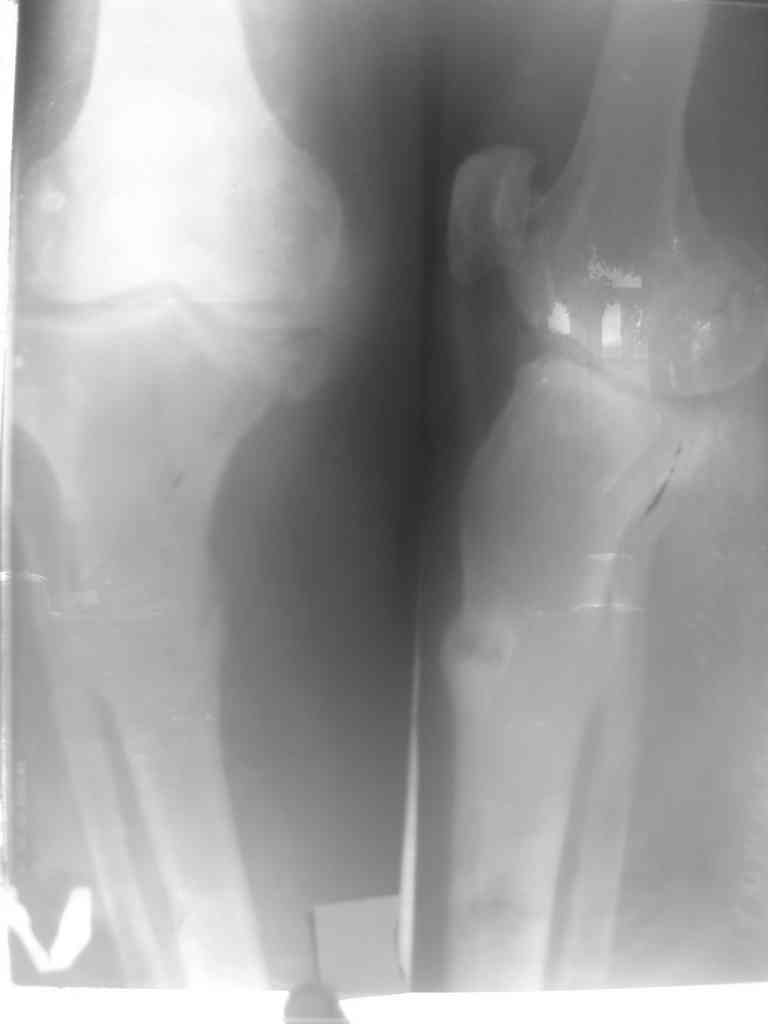
Глубокоуважаемые коллеги! Женшина 67лет.6месяцев назад упала.
после этого с болями но ходила с палочкой. постепенно появилась варусная деформация. боли усиливались. ходить стало трудно. Возможно это последствие остеопоротического перелома - ложный сустав? тактика лечения? Рентген снимок не очень качественная .

<  |  >

 

  • Сообщения о Ортопедия и травматология
  • Также Абдурашид Тураев
  • Связаться с автором
  • Ответить

    Re: гипертрофический тугой ложный сустав
    Алексей В 23 Август 2007, 14:32
    А нет ли здесь ложного сустава?
    [ Ответить ]

    Re: гипертрофический тугой ложный сустав
    Абдурашид Тураев 23 Август 2007, 23:36
    Мы думаем ложный сустав.Тактика 1-этап Аппарат Илизарова. коррекция варусной деформации.2-этап если Челноков А поможет то ЗИМО. Спасибо!
    [ Ответить ]

    Re: гипертрофический тугой ложный сустав
    Djoldas Kuldjanov, M.D. 26 Август 2007, 22:15
    На снимках, кроме деформации большеберцовой, мне кажется, имеется медиальный артроз коленного сустава.
    Невозможно определить четко, что это медиальный коллапсированный остеофит, или его перелом?

    Сравнительные снимки колена и снимки всей длины конечности подтвердит диагноз артроза и также подскажет истинное нарушение оси конечности.

    При прохождении оси конечности медиально, невозможно решить проблему только коррегированием оси большеберцовой.

    Изначальное отсутствие сиптомов можно обьяснить тем, что несмещенный перелом возможно в "виде трещины" вторично сместился при нагрузке из-за варусного нарушения оси конечности.


    Для исправления изолированных деформации большеберцовой, любая техника подойдет, включая одномоментную пластинами или гвоздем, также поэтапно методикой Илизарова. (http://www.hwbf.org/hwb/conf/obre6/tibvar.htm)

    Учитывая, что данная проблема состоит из двух: последствия перелома большеберцовой и деформирующий артроз, которые необходимо рассмотреть в одном аспекте.

    При изолированных медиальных гонартрозах, кроме артропластики, также показаны латеральная open wedge osteotomy, которая изменяет ось конечности в результате чего перераспределится нагрузка, и сохранит сустав от дальнейшего разрушения.

    При оценке результатов деформации большеберцовой, до 15 градусов "вальгусные" искривления позволительны для большеберцовой, в то время же любые варусные деформации подлежат исправлению остеотомией из-за ухудшаюших действий на сустав.

    Можно лечить аппаратом Илизарова как запланировали, но без тибиального гвоздя.
    Позволительная гиперкоррекция в "вальгус" необходима для решения двойной проблемы одним разом: коррекцию оси конечности и лечение гонартроза.

    Но для окончательного решения тактики нужны сравнительные снимки коленных суставов и всей длины конечности для анализа оси конечности.


    Djoldas Kuldjanov, MD
    Department of Orthopedic Surgery
    St. Louis University Medical Center
    [ Ответить ]

    Re: гипертрофический тугой ложный сустав
    Тураев Абдурашид 31 Август 2007, 00:43
    Дорогой Джолдас ! Я очень рад . что Вы сочли нужным ответить!
    1. Действительно, у больной двух сторон. пателло-феморал и тибио-феморал. артроз с остеофитами. Но ось прав н/к правильный, а слева в обл.ложного сустава имеется деформация. Фото прилагается.
    2. По происхождении ложного сустава с Вашим мнением согласен.
    3. Честно признаться нас артроз не очень беспокоила, так как, требование больной было исправлять искривление и возможность самостоятельно ходить, но у нас в плане было чуть вальгизировать с целью разгрузки мед.отд.сустава.
    4. 28.08.07 года оперировали: косая остеотомия м/б кости, аппарат Илизарова, постепенная клиновидная дистракция, как закончим, высылаю рентген и фото.

    С уважением Абдурашид!


    Кликните для загрузки файла IMG_0738.jpg
    6KB (6727 bytes)

    [ Ответить ]

    Re: гипертрофический тугой ложный сустав
    Абдурашид Тураев 12 Октябрь 2007, 01:20
    Продолжение см. здесь
    [ Ответить ]


    ( Ответить )

    Powered by Zope  Squishdot Powered MedLink
    Посетитель: 0407673
      "По форме правильно, а по существу - издевательство" В.И.Ленин
    ©2001-2019Orthoforum Coordinator.
    [ Главная | Отправить сообщение | Поиск | Админ ]