ВХОД ДЛЯ ПАЦИЕНТОВ
вверх
поиск
админ
главная
исходное
последующие
|
Re: Застарелое повреждение таза
послал Рунков А.В. 21 Январь 2008, 19:41
|
Привет Максим!
Тебя видимо очень возмутила фраза об отсутствии показаний для операции.
А ведь показания для столь сложного оперативного лечения не выставляются по одной рентгенограмме не самого лучшего качества.
Как-то больной жил 6 лет, 3 года его ничего не смущало? (К плохому исходу тоже приспосабливаются.)
В чем причина декомпенсации и где ключи к победе?
По-моему они не столь очевидные.
На счет нестабильности сомнения все-таки появились...?
А сомнения, что удастся устранить деформацию без мобилизации связки, не появилось?
А как ее мобилизовать?
Предложенные операции приведут к успеху?
Так что прежде всего приходится говорить что НЕТ ДОСТАТОЧНЫХ ДАННЫХ для того чтобы ввязываться в бой.
Будут данные может и показания появятся.
С уважением РАВ

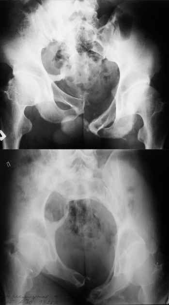
Маленькая иллюстрация (около 5 лет после травмы). Результат плохой - укорочение, хромота, периодически боли в спине, но больной отказывается от операции, видимо, не так все трагично.
|
| Послать ответ |
Обратите внимание: Поля с жирными названиями обязательны.
Старайтесь отвечать в рамках обсуждаемой темы, а не начинать новые обсуждения.
Указывайте адекватную тему сообщения, чтобы было ясно, о чем оно.
Не послайте сообщений не по теме (оффтопик), раздраженных, грубых или обидных комментариев. Здесь это неуместно.
|