вверх
отправить
поиск
админ
главная
Предыдущее
Весь тред
|
Re: Застарелое повреждение таза
Maxim Agalakov 21 Январь 2008, 17:08
|
> Вы хотите стабилизировать таз? Сделайте функциональные снимки (стоя
> поочередно на одной ноге), есть ли подвижность в лонном сочленении?
а как же Ваши мысли, Шлыкова И.Л. и не только что такое смещение даже без нестабильности не может привести к хорошим результатам?
> Вы хотите сместить половину таза обратно
> закрыто или открыто, а позволит ли Вам это сделать оссифицированная
> связка? Без подробного КТ лечение застарелой травмы таза обречение
аппарат, по-моему, позволяет не только это
> Для операции пока не вижу показаний.
зачем же тогда вся эта класификация деформаций таза?
С уважением,
Maxim
|
|
|
Ответить
|
Re: Застарелое повреждение таза
Рунков А.В. 21 Январь 2008, 19:41
|
Привет Максим!
Тебя видимо очень возмутила фраза об отсутствии показаний для операции.
А ведь показания для столь сложного оперативного лечения не выставляются по одной рентгенограмме не самого лучшего качества.
Как-то больной жил 6 лет, 3 года его ничего не смущало? (К плохому исходу тоже приспосабливаются.)
В чем причина декомпенсации и где ключи к победе?
По-моему они не столь очевидные.
На счет нестабильности сомнения все-таки появились...?
А сомнения, что удастся устранить деформацию без мобилизации связки, не появилось?
А как ее мобилизовать?
Предложенные операции приведут к успеху?
Так что прежде всего приходится говорить что НЕТ ДОСТАТОЧНЫХ ДАННЫХ для того чтобы ввязываться в бой.
Будут данные может и показания появятся.
С уважением РАВ

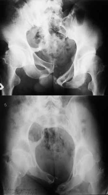
Маленькая иллюстрация (около 5 лет после травмы). Результат плохой - укорочение, хромота, периодически боли в спине, но больной отказывается от операции, видимо, не так все трагично.
|
[
Ответить ]
|
Re: Застарелое повреждение таза
Отправитель: Maxim Agalakov 21 Январь 2008, 20:50
|
"В чем причина декомпенсации и где ключи к победе?
По-моему они не столь очевидные.
На счет нестабильности сомнения все-таки появились...?
А сомнения, что удастся устранить деформацию без мобилизации связки, не появилось?
А как ее мобилизовать?
Предложенные операции приведут к успеху?"
-каюсь, не разобрался, посыпаю голову пеплом, могли бы, вообще-то, раньше вмешаться.
|
[
Ответить ]
|
|
( Ответить )
|
|