вверх
отправить
поиск
админ
главная
Предыдущее
|
Re: Vrogdenniy psevdoartroz
Jacob Odessky 21 Март 2008, 23:36
|
Врождённый Псевдоартроз Голени (ВПГ) – редкое заболевание б частота 1: 190000 живых новорожденных.
До 1930 года ампутация была регулярной процедурой. Но в последние 80 лет произошла смена представления к лечению ВПГ. Около 70% пациентов псевдоартроз большеберцовой кости (б/б) сопровождается таковым малоберцовой (м/б).
Консервативное лечение не поддерживается в литературе. Хотя встречаются единичные серии, в которых говориться, что спонтанное сращение при длительном гипсовании может достигать 3%.
Консервативное лечение в сочетании с Пульсативными Електромагнитными Полями (ПЕП) увеличивает результаты гипсовой иммобилизации до 50-70%
В одном большом мультицентральном европейском исследовании говориться, что наилучшие результаты лечения даёт применение аппарата Илизарова даёт 75,5% сращения ВПБ, свободная пластика м/б кости на сосудистой ножке – 61%
Наилучший результат при применении аппарата Илизарова по литературным данным в возрастной группе 6-9 лет. (91.66% сращения)
Если сравнивать различные методики лечения с помощью аппарата Илизарова:
Монолокальный закрытый компрессионный остеосинтез имеет 68,9% сращения,
Открытый монолокальный остеосинтез 70,6% сращения. Открытый бифокальный одномоментный компрессионно-дистракционный остеосинтез с костной пластикой – 80% сращения.
Есть работы, дающие другую статистику. Объединяющую 2 процедуры – первичное и вторичное сращение: Микроваскулярный графт м/б кости 92%
Внутрикостное штифтование + костная пластика – 88%,
Метод Илизарова – 100%
Мой личный опыт насчитывает 10 больных, леченных по методу Илизарова.
100% сращение. У 2 –х была повторная операция из-за рецидива, причиной которого было сращение с деформацией.
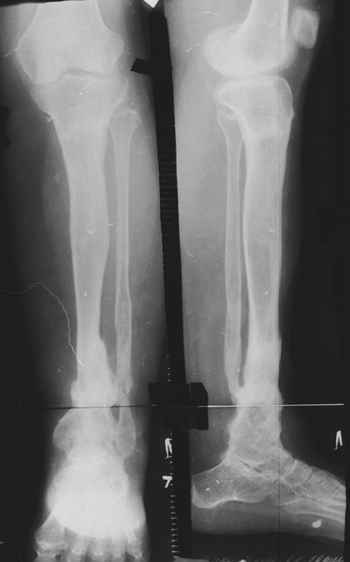
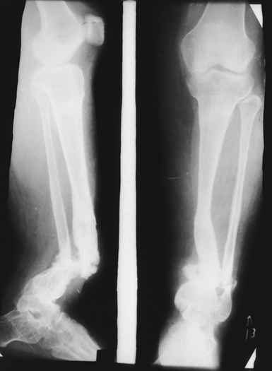
Случай, который я представляю, был сделан мной около 20 лет назад в Кургане.

Женщина 28 лет, пошедшая 13 предыдущих оперативных вмешательств по-поводу ВПБ имела 9 см. укорочения.
На первом этапе аппаратом Илизарова закрыто устранена деформация голени.
На втором этапе произведёно освежение краёв костных фрагментов б/б и м/б костей с приданием проксимальному фрагменту б/б кости впалой, а дистальному выпуклой формы, открытие канала проксимального фрагмента и погружной остеосинтез, а также остеотомия б/б кости в в/3 и м/б кости на границе с/3 и н/3 голени. Больной проводился одновременный бифокальный компрессионно-дистракционный остеосинтез. Достигнуто 11 см. удлинение и сращение ВПГ.
Срок лечения 11 месяцев. Наблюдение 2 года.
С уважением!
|
|
|
Ответить
|
Re: Vrogdenniy psevdoartroz
Abdurashid Turaev 23 Март 2008, 01:34
|
Уважаемый Jacob! Большое Вам спасибо за подробную информацию и практические советы, да действительно в доступных нам источниках очень скудная информация о ВПГ, поэтому Ваша информация очень ценны для нас! еше раз спасибо! и если можно вопросы;
1. Нашему ребенку один год, надо ждать до 6-лет или что-то уже можно делать?
2.Личная просьба: если можно какую нибудь литературу. желательно на русском.
Уважаемый Alexander Artemiev! Опыт лечения двух больных 2 и 6-лет, на аппарате Илизарова с костной пластикой, у первого ребенка был рецидив, и исчез из нашего поля зрения. Второго поищу в архиве, если найду выложу, польностью срослась. Спасибо за дельные советы!
А также выражаю благодарность Ihor! спасибо за участие и хорошие советы!
С большим уважением Абдурашид.
|
[
Ответить ]
|
Re: Vrogdenniy psevdoartroz
Отправитель: Odessky Jacob M.D. 23 Март 2008, 18:51
|
Уважаемые коллеги!
На сколько я помню у проф. Шевцова есть монографиа по ВПБ.
По поводу данного случая рекомендую подождать. А пока отправить на озготовление AFO ( Ankle-foot orthosis) ортоза, чтобы ребёнок мог начать ходить.
По-поводу рецидивов... Лучщий способ лечения подобный тому, что я привёл на примере больной
С уважением
|
[
Ответить ]
|
|
Re: Vrogdenniy psevdoartroz
Alexander Zolotov 23 Март 2008, 09:57
|
Большое спасибо за интересную информацию и красивую демонстрацию. Не могли бы Вы указать литературные источники, из которых взяты
статистические данные? Боюсь, что в реальной жизни положительных результатов в лечении ВПГ меньше. Я наблюдал подростка, который в 80-е
годы лечился в Кургане (монолокальный закрытый компрессионный остеосинтез). И довольно успешно: деформация устранена, достигнуто сращение. Однако спустя несколько лет возник рецидив деформации и несращения. Грянула перестройка. Из-за материальных трудностей пациент больше в Курган не обращялся. Как Вы считаете, в какие сроки после окончания лечения ВПГ следует оценивать его результат?
С уважением,
Александр Золотов, Приморский край.
|
[
Ответить ]
|
( Ответить )
|
|