AOTRAUMA.ORG Центр Илизарова  

Ортопедия и травматология Общие вопросы/General questions Help Информационные технологии в медицине
 вверх
 отправить
 поиск
 админ
 главная


эндопротезирование тбс при анкилозе
Ортопедия и травматология Отправлено Maxim Agalakov 12 Сентябрь 2008, 14:50
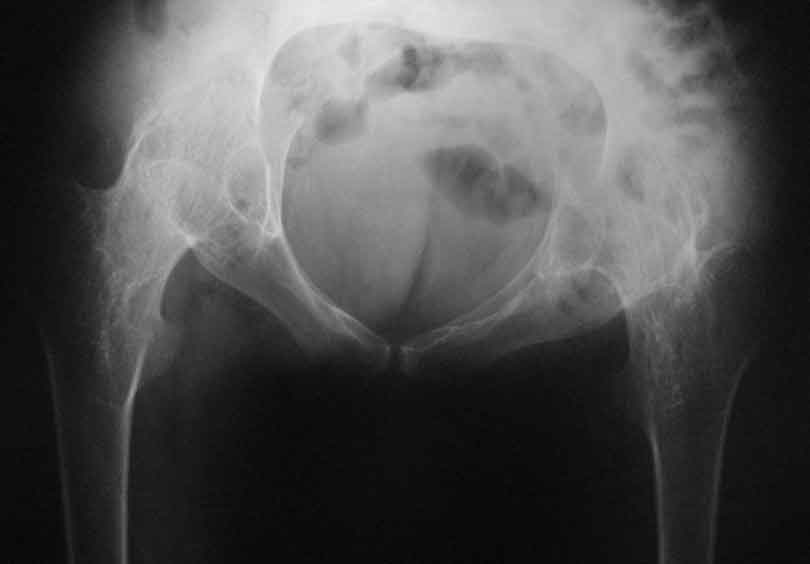
Уважаемые коллеги, в отделении находится пациент 28 лет, страдающий ревматоидным артритом с детства. В настоящее время основной проблемой для него являются тазобедренные суставы - костный анкилоз в положении сгибания около 80 град.
Выраженная атрофия мышц. ограничение движений в коленных суставах.Суставы "замкнулись" со слов пациента около 5 лет назад. Пациент работает (сидячая работа, высшее образование). Все проблемы перечислять не буду. Основное -сложности с ходьбой,самообслуживанием, эстетика и т.д.
Вопросы:
1. Насколько возможно и целесообразно эндопротезтрование в такой ситуации?
Наш план - остеотомия на уровне шейки бедра, иссечение капсулы, субспинальная тенотомия, а так же приводящих мышц, фасции, после чего - дозированное разгибание АВФ "таз -бедро".
Насколько это реально. кто-нибудь имел подобные случаи, возможно ли разогнуть бедро без неврологии, другие варианты релиза?
2. другие предложения?
3. Если не получится , в каком положении сформировать анкилоз или так оставить?
С уважением, Максим Агалаков, Е-бург

<  |  >

 

  • Сообщения о Ортопедия и травматология
  • Также Maxim Agalakov
  • Связаться с автором
  • Ответить

    Re: эндопротезирование тбс при анкилозе
    Alexander Rykov 12 Сентябрь 2008, 14:53
    Привет Максим. На двух анкилозах передвигаться крайне плохо. Раз ходит - то небольшая часть мышц окружности т.б сустава есть, это видно и на фото. Пошел бы по пути разанкилозирования и бесцементник с каждой стороны поочередно.
    Возможно интервал будет невелик. Операция типична, сложности есть, но преодолимы. Обьем операции не намного больше предлагаемого Вами, но кровавее. Готов помочь. Опыт есть подобного раз-анкилозирования с двух
    сторон 5-6 пациентов. Следует подумать о коленках.
    С ув. А Рыков. Хабаровск
    [ Ответить ]

    • Re: эндопротезирование тбс при анкилозе
      Отправитель: Maxim Agalakov 13 Сентябрь 2008, 19:51
      Уважаемые коллеги, спасибо за интерес к подобному случаю, еще вопрос, удастся ли достичь разгибания в аппарате без неврологии? Или быть готовым к укорачивающей резекции на протезе, если не будет достигнут полный объем разгибания в аппарате?
      С уважением Максим Агалаков, Е-бург.


      [ Ответить ]
      • Re: эндопротезирование тбс при анкилозе
        Отправитель: Александр Рыков 15 Сентябрь 2008, 23:39
        Аппарат вряд ли нужен. После разобщения анкилоза и иссечения капсулы
        разгибание будет полное. Планируйте один этап, но на крайний!!!! случай
        поставите чашу и проводите тракции. Через пару недель второй этап. (подробно см. у Абельцева ВП) Это тема его докторской. Кстати при обработке
        фрезами-терками граница головка-впадина часто прослеживается, несмотря на анкилоз. Возможно добавите отведение и аддуктотенотомией в конце
        вмешательства. Удачи Вам и везения больному. В отношении две ноги сразу.
        Если первая пройдет "сухо" и быстро, ото можно и две, при хорошем обеспечении. Но я бы планировал и разобщение на короткий срок. Все-таки не
        классический случай. А Рыков

        [ Ответить ]
      • Re: эндопротезирование тбс при анкилозе
        Отправитель: Андрей Каминский 15 Сентябрь 2008, 23:42
        Максим, о неврите какого нерва мы говорим? По логике Вы видимо боитесь за бедренный, так как при разгибании седалищный натянуться не должен. Бедренный тоже можно уберечь если после операциии укладками сохранить положение и постепенно разгибать уже на протезе. Может пример не корректный, но при высоких врожденных вывихах без неврологии удается компенсировать укорочение 4 см одномоментно, там сроки не шестилетние.
        Но если всеже решиться не можете - прислушайтесь к Александру. Очень верный вариант. Взять на операцию аппарат. Попробовать, разобщить и посмотреть как себя конечность поведет. Нет уверенности - имплантация чашки и аппарат. Постепенное разгибание в аппарате, можно без дистракции. Ножку втрым этапом полсле заживления раны и полного разгибания.
        Удачи.
        Каминский А. г.Курган

        [ Ответить ]
    Re: эндопротезирование тбс при анкилозе
    Андрей Каминский 13 Сентябрь 2008, 00:05
    Максим, мы протезировали 2х подобных больных. В случае с семилетним анкилозом на фоне болезни Бехтерева функция сустава осталась значительно ограниченой, но больная вполне сносно передвигалась. В другом случае на фоне ревматоидного артрита 4х летний анкизоз у молодого парня получен очень хороший функциональный результат. В обоих случаях использовали бесцементные протезы.
    При операции для разобщения анкилоза, из шейки стоит выпилить трапецевидный медальен, первый спил в плоскости входа во впадину а второй - стандартный спил бедра под 45 гр.,(в нашем Центре методика используется давно, предложена Волокитиной Е.А. и Атманским И.А.), а после удаления медальена стандартое эндопротезирование.
    Следует учесть тот факт, что нечто принимаемое за хорошую кость во впадине по рентгенограмме, может оказаться очень неприятной пустотой с порозными балочками. При выборе размеров чашки это следует учесть, а в целом результаты не разочаровывают.
    Каминский А.В. г. Курган.


    [ Ответить ]

    Re: эндопротезирование тбс при анкилозе
    максим 13 Сентябрь 2008, 16:21
    Максим! Может все-таки остановиться на тотальном эндопротезировании с укреплением вертлужного компонента. Мое мнение все остеотомии, тенотомии в данном случае это паллиатив.

    [ Ответить ]

    • Re: эндопротезирование тбс при анкилозе
      Отправитель: Maxim Agalakov 14 Сентябрь 2008, 10:00
      Уважаемые коллеги, вероятно неточно выразился, после разобщения анкилоза и достижения разгибания планируется б/ц эндопротезирование

      [ Ответить ]
      • Re: эндопротезирование тбс при анкилозе
        Отправитель: Александр Рыков 15 Сентябрь 2008, 23:38
        Так сразу и делать. А Рыков. Хабаровск.

        [ Ответить ]
    Re: эндопротезирование тбс при анкилозе
    Андрей Каминский 15 Сентябрь 2008, 08:41
    Максим, а что останавливает от попытки одномоментного эндопротезирования?
    Каминский А.В., г. Курган.

    [ Ответить ]

    • Re: эндопротезирование тбс при анкилозе
      Отправитель: Maxim Agalakov 15 Сентябрь 2008, 20:54
      При одномоментном эндопротезировании скорее всего придется выполнить укорачивающую резекцию на большом промежутке, иначе без неврологии не разогнуть (учитывая пребывание конечностецй в анкилозе под 90 град на протяжении 6 лет)? Может быть, поэтапно, выполнив остеотомию, получив максимально возможное разгибание на растянутых тканях, операцию эндопротезирования будет выполнить легче и объем резекции и соответственно укорочения будет меньшим?
      Maxim Agalakov, E-burg

      [ Ответить ]
    Re: эндопротезирование тбс при анкилозе
    Rashid Tikhilov 21 Сентябрь 2008, 23:29
    Уважаемый Максим,
    Затронутая Вами тема чрезвычайно интересна и поэтому, хоть и с опозданием из-за командировки, позволю высказаться по этому пациенту.
    Я бы делал все в один этап, т.к. ситуация по контрактуре не критична. Но при любых анкилозах есть трудности - прежде всего - направление остеотомии шейки бедра. При использовании переднего доступа очень легко ошибиться и "снести" заднюю стенку ВВ, лучше несколько раз перепроверить направление. Обязательно нужно сделать двойную остеотомию для создания необходимого про-ва для обработки ВВ. Необходимо очень не спеша определиться с маркерами ВВ, т.к. обрабатывать впадину Вы будете прямо по головке и иногда бывает сложно понять где находишься. В случае затруднения лучше сделать Р-контроль. В любом случае Вам надо сделать расширенный релиз для достижения хорошей интраоперационной амплитуды движений. И последнее - многие пациенты остаются неудовлетворенными р-ми операции из-за чувства нестабильности, "провала" в суставе, выраженной хромоты. Это связано с длительным бездействием мышц. Это не значит, что не надо делать операции, просто это надо иметь ввиду и объяснять пациентам.
    С уважением, Р.Тихилов

    [ Ответить ]

    • Re: эндопротезирование тбс при анкилозе
      Отправитель: Maxim Agalakov 28 Сентябрь 2008, 22:07
      Уважаемый Р.М., спасибо за инетерес к этой теме, не могли бы уточнить, какой должен быть порядок релиза?
      С уважением, Максим

      [ Ответить ]
      • Re: эндопротезирование тбс при анкилозе
        Отправитель: Maxim Agalakov 28 Сентябрь 2008, 22:25
        уточнение, доступ - переднелатеральный.

        [ Ответить ]
        • Re: эндопротезирование тбс при анкилозе
          Отправитель: Рашид М. Тихилов 01 Октябрь 2008, 16:25
          Уважаемый Максим,
          Я тоже пользуюсь передне-латеральным доступом, после рассечения
          ягодичных м-ц и мобилизации латеральной порции 4-х главой м-цы,
          обнажается капсула сустава и далее - шейка б.к. После этого, для
          контроля последующей остеотомии я обнажаю задний отдел шейки бедра. Без
          вывиха сустава иногда очень сложно ориентироваться пространственно и
          можно ошибиться с направлением остеотомии (вплоть до отсечения заднего
          края ВВ). После двойной остеотомии шейки необходимо отсепарировать
          м.ткани от верхнего отдела ВВ, мобилизовать проксимальный отдел бедра
          (вниз по шейке и сзади), так, что бы была возможность "оторвать" бедро
          от ВВ. Далее - четкая визуализация краев ВВ, и только после этого - обработка фрезами. Не обязательно дойти до дна - главное - хорошее покрытие. Ингода Р-грамма может Вас не порадовать - то чашка встала низко, то высоко, но главное - хорошее покрытие. Я об-но использую винты для доп.фиксации чашки. Если м-цы плохие, или их нет, то сразу использую "связанный" протез. Даже в этом случае у одной б-й через 3 года после операции произошел вывих сустава с разобщением "связанного" протеза.
          С ув.Р.Тихилов

          [ Ответить ]
          • Re: эндопротезирование тбс при анкилозе
            Отправитель: Maxim Agalakov 01 Октябрь 2008, 16:25
            Еще раз спасибо за исчерпывающий ответ, есть ли необходимость в субспинальной тенотомии? Планировали испльзовать ASR XL- Corail , для уменьшения риска дислокации (из-за слабости мышц)при хорошем press fit, или целесообразнее - Pinnacle с керамической парой трения, головкой 36 с винтами? Есть ли какие-нибудь особенности в послеоперационном ведении?
            О результатах операции обещаю отчитаться.
            С уважением, М. Агалаков

            [ Ответить ]
            • Re: эндопротезирование тбс при анкилозе
              Отправитель: Рашид Тихилов 01 Октябрь 2008, 16:26
              Уважаемый Максим,
              Я бы предпочел Pinnacle, и диаметр головки хороший, и есть возможность доп.фиксации чашки винтами, ну и пара трения.... Если уж совсем
              никчемные м-цы, тогда большая головка... Необходимости в субспинальной остеотомии не вижу. При стандартной процедуре операции и стабильном суставе можно вести б-го достаточно активно, нагрузка по ощущениям.
              Другое дело - ЛФК и и особенно тренировка мышц. Здесь нужна индивидуальная программа включая пассивную разработку движений.
              С ув.Р.Т.

              [ Ответить ]
    • Re: эндопротезирование тбс при анкилозе
      Отправитель: Евгений Чекашкин 01 Октябрь 2008, 16:23
      Уважаемый Рашид,

      Какова статистика вывихов протеза после разанкилозирующих артропластик?
      Какими крейтериями Вы пользуетесь при выборе больного с анкилозом для
      артропластики: давность анкилоза? ЭМГ ягодичных мышц?
      Заранее признателен за ответ,
      Евгений Чекашкин

      [ Ответить ]
    Re: эндопротезирование тбс при анкилозе
    Игорь Атманский 01 Октябрь 2008, 16:21
    Полностью согласен с Р.Тихиловым, что операцию необходимо делать за один этап. Однако, возможно, стоит учесть некоторые моменты:
    1) Риск получения нейропатии бедренного нерва в данной ситуации действительно очень высок. В послеоперационном периоде необходима укладка со сгибанием в тазобедренном суставе не менее 50% от исходного, при этом сгибание в коленном суставе должно быть минимальным (мой опыт показывает, что наиболее безопасно положение как на шине Бел.). Далее постепенное уменьшение разгибания.
    2) Щадящая и контролируемая разработка тазобедренного сустава: исходно при анкилзе тазобедренного сустава вся нагрузка распределяется по кортикальным пластинкам, а губчатая кость (хоть это и бывшая головка бедренной кости) исключена из нагрузочного процесса и следовательно не готова к компрессионным нагрузкам, что приводит к высокому риску ранней ассептической нестабильности вертлужной впадины.
    3) Редукция мышц, как правило, не даёт первичную какую-либо нестабильность тазобедренного сустава, но не исключает в последующем положительный симптом Тренделенбурга. В данной ситуации наиболее привлекательным видятся системы ASR, Magnum и др.
    4) Субспинальная тенотомия дело "вкуса". Я бы не стал. При разгибании бедра мышца объектино должна удлинится на 8-12 см.
    5) Расширенный рнелиз, возмжно, более показан при рубцово-спаячном процесе. А в данном случае мы имеем дело с артрогенной контрактурой.
    P.S.
    Тема очень интересна. Тем, кому она интересна и имеют опыт, предлагаю объединиться для анализа и обобщения имееющихся результатов.
    С уважением, Атманский Игорь, г. Челябинск.
    [ Ответить ]

    • Re: эндопротезирование тбс при анкилозе
      Отправитель: Каминский Андрей 01 Октябрь 2008, 19:15
      К сотрудничеству готовы. Предлагайте варианты.
      Каминский Андрей, г.Курган.

      [ Ответить ]
    Re: эндопротезирование тбс при анкилозе
    Андрей Каминский 01 Октябрь 2008, 19:28
    И всеже хочу повториться, что костная структура в месте имплантации чашки может быть очень рыхлой и даже "пустой", поэтому с выбором размера имплантируемой чашки надо быть внимательным. Возможно придется ставить чашку значительно больше, чем последняя фреза.
    Удачи.
    Каминский А.В., г.Курган.
    [ Ответить ]


    ( Ответить )

    Powered by Zope  Squishdot Powered MedLink
    Посетитель: 0161033
      "По форме правильно, а по существу - издевательство" В.И.Ленин
    ©2001-2019Orthoforum Coordinator.
    [ Главная | Отправить сообщение | Поиск | Админ ]