вверх
отправить
поиск
админ
главная
|
эндопротезирование коленного сустава |
 |
 |
 |
Отправлено Игорь Атманский 26 Октябрь 2008, 10:37 ЧелГМА
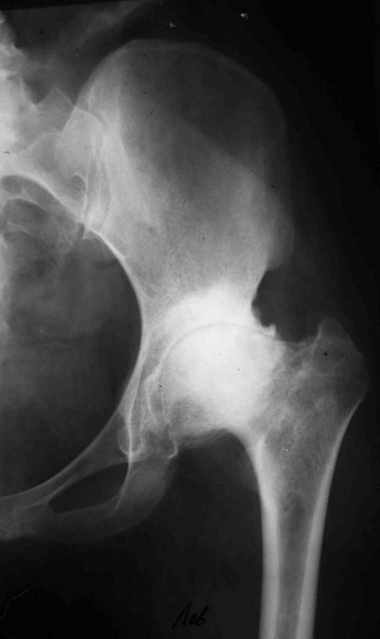
Уважаемые коллеги! К мне обратилась моя бывшая пациентка, 22 лет, с просьбой об эндопротезировнии коленного сустава. От артродеза категорически отказывается.DS: Врождённая аномалия развития левой нижней конечности. Состояние после удлинения бедра и голени (около 45 см). Варусная деформация шейки лев. бедра. Лев. коксартроз II ст. Лев. гонартроз III ст. Разгибательная контрактура лев. коленного сустава. Парез малоберцового нерва слева. Укорочение лев. н/конечности 1,5 см. Жалобы: на боли и нарушение функции в лев. коленном суставе.St. localis: ходит в брейсе с опорой на 1 трость. Относительная длина ног S – 1,5 см. Движения в лев. т/б суставе: сгиб. 70, разг. 180, привед. 60, отвед. 110, вн. рот. 20, нар. рот. 10; в лев. к/сус. пассивно: сгибание 0, разг. - 180+ 30; активно на переразгибание и из положения переразгибание на сгибание 2балла. Под нагрузкой вальгусно-рекурвационная деформация: клиничски на val. – 15-20, rec. - 30. Движения в лев. голеностопном суставе (акт./пас.): тыл. фл. 0/90, под. фл. 170, отвед. 10/15, прив. 25. Функция в других суставах не нарушена.Предполагаю, что наиболее лучшим вариантом будет двух этапное протезирование. На первом этапе – устранить антекурвацию на бедре аппаратом Илизарова; вторым этапом – протезирование – заднее-стабилизирующим протезом фирмы «Zimmer», т.к. маленькие размеры бедренной и большеберцовой костей.Возможны ли другие варианты лечения? Возможно ли одно этапное протезирование?Целесообразно ли в данном случае протезирование? Может быть не стоит идти «на поводу» у пациентки.Буду очень признателен всем, кто откликнется на мою просьбу.С уважением Игорь Атманский.
<
|
>
|
|
Ответить
|
Re: эндопротезирование коленного сустава
Дмитрий 28 Октябрь 2008, 18:40
|
А что с мышцами на бедре? Ведь скорее всего после операции удлинения бедра остались рубцы, кожа спаена с мягкими тканями. Если Вы установите эндопротез, она способна будет пользоваться ногой, или нога будет как у пиноккио болтаться?
|
[
Ответить ]
|
Re: эндопротезирование коленного сустава
Волокитина Елена Александровна 29 Октябрь 2008, 08:47
|
Уважаемый Игорь Александрович! Для принятия решения в данной непростой клинической ситуации необходимы снимок таза, и осевые снимки всей нижней конечности с захватом тазобедренного и голеностопного суставов. Похоже, там не только одна антекурвационная деформация бедра. Сохранились ли связки и в каком состоянии находятся мышцы после удлинения 45 см на фоне врожденной аномалии? Если на сегодняшний день конечность опорная, а опора безболезненная, то надо ли экспериментировать с эндопротезированием? В 22 года пациентке надо еще много успеть сделать: родить детей, получить специальность и т.д.
Если все же Вы ставите задачу восстановления движений, то первым этапом целесообразно выполнить открытую мобилизацию "коленного сустава" с восстановлением (пластикой) связочного аппарата и обязательной последующей длительной реабилитацией для восстановления функции мышц и движений в суставе. Только при положительном исходе мобилизации и восстановительного лечения можно бужет думать о коррригирующих остеотомиях и эндопротезировании, и то, если у пациентки появится болевой синдром.
На дообследование (осевые снимки, оценка состояния мышц и связок по МРТ) пациентку можете отправить к нам, мы рядом и готовы помочь.
С уважением д.м.н Е.А.Волокитина
|
[
Ответить ]
|
Re: эндопротезирование коленного сустава
Игорь Атманский 29 Октябрь 2008, 19:36
|
Уважаемые коллеги!
В настоящее время нет возможности сделать осевые снимки всей конечности. Это всё чем я раполагаю на сегодняшний день.

С уважением Игорь Атманский.
|
[
Ответить ]
|
Re: эндопротезирование коленного сустава
Отправитель: Anatoly Yakushin 29 Октябрь 2008, 19:41
|
Спасибо. Картина несколько прояснилась. А планов в отношении тазобедренного сустава нет? Или пациентку беспокоит только колено.
|
[
Ответить ]
|
Re: эндопротезирование коленного сустава
Отправитель: Игорь Атманский 29 Октябрь 2008, 19:42
|
Пациентку беспокоит только выраженный болевой синдром в коленном суставе.
|
[
Ответить ]
|
|
Re: эндопротезирование коленного сустава
Anatoly Yakushin 29 Октябрь 2008, 19:40
|
Трудно понять общую картину по "короткому" снимку в одной проекции. Желательно было бы увидеть нормальный снимок в двух проекциях, оптимально еще и снимок, захватывающий всю ось конечности от тазобедренного до голеностопного сустава.
Учитывая неоднозначность данного случая, такой снимок все равно надо делать.
Что касается самых общих соображений, то вызывает сомнения состоятельность боковых связок.
Учитывая сложность случая, здесь явно показан хинч. Однако ставить хинч молодой женщине.
Не знаю, давайте обсудим.
|
[
Ответить ]
|
Re: эндопротезирование коленного сустава
Игорь Атманский 29 Октябрь 2008, 19:43
|
На некоторые вопросы в форуме пациентка ответила сама примерно в следущем ключе:
-Уверена, что ногой управлять смогу, так как мышцы есть и они поддаются дрессировке, т.е. например после ВТЭС есть хорошая положительная динамика.
-Мобилизацию мы с Вами уже делали, появились такие боли в коленке, что я на неё наступить не могла, не то, что встать. Пока движения не исчезли, боли так и не прекращались.
-Главной жалобой сейчас является как раз болевой синдром. Если бы не он, то я бы себя не мучила этими операциями, а жила бы себе спокойно. О родах даже речи не может идти с такой коленкой, так как я даже 5кг поднять и пронести не могу, потому что очень больно. Как ходить с пузом и потом носить ребенка даже не представляю. Движение в суставе - это уже не главное сейчас для
меня, хотя бы уж боли ушли.
P.S.
ВТЭС - внутритканевая электростимуляция мышц по методике Герасимова.
С уважением И. Атманский.
|
[
Ответить ]
|
Re: эндопротезирование коленного сустава
Отправитель: Alexander Chelnokov 29 Октябрь 2008, 19:44
|
ИА> -Мобилизацию мы с Вами уже делали, появились такие боли в коленке, что я на
ИА> неё наступить не могла, не то, что встать. Пока движения не исчезли, боли
ИА> так и не прекращались.
[...]
ИА> Движение в суставе - это уже не главное сейчас для
ИА> меня, хотя бы уж боли ушли.
По-моему, пациентка крупными буквами русским по белому просит сделать ей артродез.
|
[
Ответить ]
|
Re: эндопротезирование коленного сустава
Отправитель: Djoldas Kuldjanov 29 Октябрь 2008, 19:46
|
ВТЭС - внутритканевая электростимуляция мышц по методике Герасимова!!
Интрегирующее и замудренное название. Информацию в нашей литературе не нашел, а поиск на Yahoo показал всего одну ссылку на сайте http://www.sankurtur.ru/methods/392/
"Инновационные технологии курортной медицины"
Метод внутритканевой электростимуляции (ВТЭС) разработан учеными города Екатеринбурга под руководством профессора А.А. Герасимова (патент 1805984). Эта методика успешно применяется во многих крупных центрах России, а так же во Франции, Испании, Польше, США. Метод прост и безвреден для организма. На кафедре травматологии и ортопедии УрГМА под руководством профессора А.А. Герасимова созданы новые принципиальные технологии, которые существенно отличаются и значительно опережают по эффективности все мировые тенденции. Метод внутритканевой электростимуляции утвержден и рекомендован Минздравом РФ к внедрению и широкому использованию в стационарном и амбулаторном лечении больных: в санаториях, поликлиниках, профилакториях, специализированных отделениях.
Может, кто-нибудь объяснит, каким образом ВТЭС отличается от обычной "электростимуляции" и как делается рекомендуемая процедура?
Djoldas Kuldjanov, MD
Department of Orthopedic Surgery
St. Louis University Medical Center
|
[
Ответить ]
|
Re: эндопротезирование коленного сустава
Отправитель: Ivan Petrov 29 Октябрь 2008, 20:47
|
Уважаемый Джолдас.
Вот описание методики из уст автора. Местами очень сильно, особенно мне понравилось про кости).
Рассказывает Андрей Александрович ГЕРАСИМОВ (профессор кафедры травматологии и ортопедии УрГМА, автор уникальной методики лечения остеохондроза):
"...Мы уже двадцать лет используем метод внутритканевой электростимуляции. По существу, это не одна методика, а целое направление в физиотерапии, комплекс методов. Он применяется для снятия болевых синдромов в позвоночнике, суставах, при головных болях, повреждениях центральной и периферической нервной системы, язвенной болезни и других функциональных расстройствах внутренних органов.
Главное - наша методика дает не просто обезболивающий эффект, а лечебный.
Внутритканевая электростимуляция улучшает кровообращение кости, способствует восстановлению ее структуры, предотвращает распад хрящевой ткани, рассасывает отложения солей, восстанавливает нервы. Обычно достаточно провести 3-5 процедур, чтобы эффект продолжался 3-4 года, а у некоторых больных и дольше.
Почему не везде используют наш метод? Просто медицина консервативна, одна из ее главных заповедей "не навреди". Сейчас период проверки закончился, и мы создаем систему лечения на всей территории нашей страны и за рубежом. Сегодня метод используется в ряде крупных больниц Екатеринбурга, в Центре лечения боли и его филиалах, а также в санаториях Челябинской, Пермской, Курганской и Тюменской областей. При необходимости стационарного лечения можно обратиться в санаторий-профилакторий "Свердловский".
Кто может лечить по нашей методике? Только врачи, получившие специализацию в Уральской государственной медицинской академии, поскольку использование этой методики - дело достаточно сложное.
В чем уникальность нашей методики? Впервые было доказано, что источником боли является кость, нервные же стволы - в тех редких случаях, когда сдавлены дисками. Кость хорошо иннервирована, и воздействие на костные рецепторы очень эффективно, но кость требует сильных раздражителей. Мы "скопировали" ток у природы и усилили его в 1000 раз. Он максимально похож на естественный, физиологический в отличие от токов, применяемых в других физиотерапевтических процедурах.
Кроме того, электрический ток очень плохо проходит сквозь кожу. Мы этот барьер преодолеваем с помощью маленькой иголочки, втыкаемой под кожу, и посылаем электрический ток в нужное место. Сам прокол безболезненный и абсолютно безопасный. Иголочка направляется врачом в самый травмированный участок. Через 20-30 секунд пациент начинает испытывать только комфортные ощущения, а треть больных даже получает удовольствие...
...Что требуется от пациента, чтобы пройти курс лечения? Прежде всего, позвонить в наш Центр. Мы не требуем, чтобы пациент представлял результаты множества анализов. Дело в том, что мною были проанализированы 120 симптомов остеохондроза. Из них я выделил только те, которые стопроцентно гарантируют точность диагноза. Специально подготовленные врачи могут поставить диагноз тогда, когда еще даже рентгенография не фиксирует болезненные изменения. Я хочу сказать, что наш метод диагностики позволяет проводить и профилактическое лечение.
...Интересно, что на лечение направляют самых трудных больных - с грыжами диска, тяжелыми артрозами. Эти люди обычно испробовали уже все возможные способы лечения, как говорится, прошли огонь, воду и медные трубы. Мы лечим всех больных - и острых, и хроников в отличие от государственных лечебных учреждений и разного рода шарлатанов. Эффективность лечения - 95%. Кроме того, мы единственное медицинское учреждение, которое дает гарантию эффекта лечения на год. Есть эффект - платите деньги, нет эффекта - не платите".
Источник: http://www.nopain.ru/ (официальный сайт клиники)
|
[
Ответить ]
|
Re: эндопротезирование коленного сустава
Отправитель: Anatoly Yakushin 30 Октябрь 2008, 08:02
|
> Пацинтку беспокоит только выраженный болевой синдром в коленном суставе.
Обсудили данный случай с коллегами, пришли к следующим выводам.
1. В принципе протезирование видимо возможно.
2. Заднестабилизированного протеза будет недостаточно. Оптимальными являются протезы типа Biomet AGC Dual Articular (аналогичные модели есть
у других производителей).
3. Случай крайне сложный, оптимально было бы воспользоваться предложением Елены Александровны.
|
[
Ответить ]
|
|
Re: эндопротезирование коленного сустава
Валерий 31 Октябрь 2008, 20:01
|
При такой деформации, думаю , эндопротезирование нецелесообразно, артродез решит проблему боли, а молодой возраст позволит адаптироваться
|
[
Ответить ]
|
( Ответить )
|
|