AOTRAUMA.ORG Центр Илизарова  

Ортопедия и травматология Общие вопросы/General questions Help Информационные технологии в медицине
 вверх
 отправить
 поиск
 админ
 главная


Врожденная патология
Ортопедия и травматология Отправлено А.В.Владзимирский 31 Октябрь 2008, 13:25 ДНИИТО
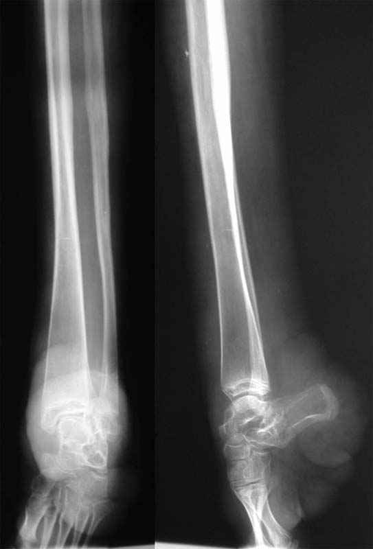
Девочка, 11 лет.
От I беременности, протекавшей с анемией, ОРВИ, угрозой прерывания, I преждевременных патологических родов, девочка 1100 гр., дл. 36 см, Апгар 3/5 б. Отмечается гипоксическое поражение ЦНС, с-м возбудимости, гемангиоматоз, недоношенность III ст. Инвалид детства, на Д-учете.Диагноз: Синдром Клиппеля-Тренона-Вебера, врожденная аномалия левой нижней конечности, деформация левой стопы, ЗТРР в легкой степени, дислалия, лимфоаденоматоз. В 2000 г. - нейро-атритический диатез, ацетонемическое состояние, задержка развития пренатального детерминирования, гипотрофия III ст.Цитогенетическое обследование 09.2008.Объект исследовани: культура лимфоцитов периферической крови, метафазные пластинки хромосом, G-окрашивание.Кариотип 46,ХХЗаключение: хромосомной патологии не выявлено.Носит ортопедическую обувь.Левая нижняя конечность - выраженное ангиоматозное поражение, гигантизм, опережает здоровую конечность на 8 см в длину, постоянный ускоренный рост, контрактуры крупных суставов, стойкая эквинусная установка стопы, не опорна.Рассматривались предложения:1. Ампутация с дальнейшим протезированием.2. Удлинение здоровой конечности.3. Хирургическое устранение эквинуса с последующим удлинением здоровой конечности.Ваше мнение, идеи, комментарии? Выполнение 3 варианта в условиях ангиоматозного поражения? Иные методы, подходы?Заранее благодарю!

<  |  >

 

  • Сообщения о Ортопедия и травматология
  • Также А.В.Владзимирский
  • Связаться с автором
  • Ответить

    Re: Врожденная патология
    Олег Веремий, Украинский НИИ реабилитации инвалидов 03 Ноябрь 2008, 20:16
    Удлинение здоровой ноги считаю делать не стоит ( ребенку эта здоровая нога нужна, после удлинения последней -диспропорция тела, а больная нога останется больной). Можно порекомендовать такую тактику - 1 этап. Резекция левой бедренной кости на ? см (величину опережения правого бедра) КО аппаратом Илизарова с закрытым устранением контрактуры коленного сустава. 2 этап - несколько отстроченный (как поведут себя сосуды, особенно вены?) резекции обох костей голени в средней трети на ? см, КО с закрытым устранением эквинополой деформации стопы. Лечение длительное,после резекций легче устранить контрактуры, возможно дальнейшее опережение роста здоровой ноги.


    [ Ответить ]

    Re: Врожденная патология
    Ivan Petrov 03 Ноябрь 2008, 23:32
    Уважаемый коллега.
    По представленным фото и рентгенограммам диагноз: Синдром Клиппеля-Треноне-Вебера (КТВ) вызывет сомнения. Для синдрома КТВ очень характерно наличие варикозно расширеных вен, каппилярных гемангиом на туловище и конечностях, гигантизм конечности при отстуствии грубых деформаций суставов, характерный "крупнозернистый" вид кости на рентгенограммах, отстутвие призанков поражения ЦНС и эндокринных нарушений. Соответвенно и ортопедический этап у этих больных проще: достаточно удлиннить здоровую конечность (фото в приложении).
    В представленном случае дифференцировать надо с редуцированным синдромом Beckwith-Wiedemann (для него как раз характерно нраушение углеводного обмена), нейрофиброматозом I типа, синдромом Proteus и другими (в этом лучше понимают врачи-генетики).
    Имея опыт ортопедического лечения больных с синдромом КТВ, я не имею опыта лечения больных, с такими аномалиями, которые представлены Вами. Чисто теоретически, могу предположить, что лечение надо разбить на несколько этапов: 1 - совместно с пластическими хирургами удалить опухолеподобные массы на стопе, сделав ее приглдной к одеванию обуви, выполнить закрытую корекцию деформации стопы и метатарзальный, а возможно,и большеберцовый эпифизеодез. Меняя выстоту ортопедической обуви на здоровой ноге по мере ее роста обеспечить больной максимальную опороспособность больной ноги. По окончанию периода второго ростового спурта при удовлетворительной опороспособности больной ноги выполнить 2 этап - выполнить эквализацию конечностей (удлиннить здоровую?).
    При неудовлетворительных резкльтатах первого этапа - возможно думать и об ампутации. Из послеоперацинных осложнений данной патологии при любом типе операции (даже ампутациях)R.M. Letts (1977) отмечал: профузное кровотчение в раннем п/о периоде, выраженный и длительно сохрянющийся отек, замедленное заживление ран.
    Кликните для загрузки файла СКТ.jpg
    83KB (86002 bytes)

    [ Ответить ]


    ( Ответить )

    Powered by Zope  Squishdot Powered MedLink
    Посетитель: 0149486
      "По форме правильно, а по существу - издевательство" В.И.Ленин
    ©2001-2019Orthoforum Coordinator.
    [ Главная | Отправить сообщение | Поиск | Админ ]