Ответить
|
Re: Многооскольчатый перелом бедра
Константин Глазков 16 Февраль 2009, 20:38
|
А зачем велосипед изобретать?????
|
[
Ответить ]
|
Re: Многооскольчатый перелом бедра
Антон Жаглин 16 Февраль 2009, 22:51
|
"Хотелось бы узнать рентгенологические результаты оперативного лечения дистальных переломов бедра тибиальным стержнем"-коллега, Вы не "оговорились" насчет "тибиального" стержня? Или действительно у кого-то есть опыт использования тибиальных штифтов в лечении переломов БЕДРА? В Вашем клиническом примере я бы использовал накостный остеосинтез дистальной бедренной пластиной (желательно с угловой стабильностью). Или дополнительно использовал бы спонгиозные винты вне стержня для создания межфрагментарной компрессии, но штифт все-таки выбрал бы ДИСТАЛЬНЫЙ БЕДРЕННЫЙ.
|
[
Ответить ]
|
Re: Многооскольчатый перелом бедра
Отправитель: adonin 17 Февраль 2009, 23:08
|
есть ткаой опыт.
по бедности тибиальные гвозди вполне нормально бьются в качестве ретроградных бедренных. Сам не бил, но соседнее отделение белало ( когда были пеербои с оплатой, и , соответственно, с поставками нормальных гвоздей)
|
[
Ответить ]
|
|
Re: Многооскольчатый перелом бедра
Alexander Chelnokov 17 Февраль 2009, 00:23
|
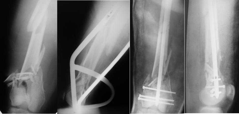
По прямой проекции неплохо. Что за стержень?
Антеградный остеосинтез при дистальных переломах бедра мы применяем давно, этот материал обобщен в канд. диссертации Александра Виноградского.
Ободранные рашпилем до 6 мм в диаметре спонгиозные винты 6,5 мм тоже доводилось использовать.
Предприятие ЦИТО выпускает доработанные нами гвозди, которые хорошо годятся для дистальных переломов, да и недороги. Можно вводть в дистальное овальное отверстие 3 винта, которые заклинивают друг друга.
Большеберцовые стержни отлично выполняют роль ретроградных бедренных. Конечно, которые не 9, а 12 мм в диаметре.
Примеры приложены.

|
[
Ответить ]
|
Re: Многооскольчатый перелом бедра
Отправитель: Антон Жаглин 17 Февраль 2009, 12:47
|
Вы говорите о равнозначности конструкций или об их взаимозаменяемости , или же вообще, о преимуществе тибиальных стержней над дистальными бедренными? Или проще- почему вы использовали тибиальный штифт на бедре?
|
[
Ответить ]
|
Re: Многооскольчатый перелом бедра
Отправитель: Alexander Chelnokov 17 Февраль 2009, 13:50
|
Они равнозначны и взаимозаменяемы, конечно - но это в общем. А кроме общего, есть масса важных частностей. Стержни разные все, даже которые называются "ретроградные бедренные". И есть еще инструмент для установки, тоже разный. Есть и "цена вопроса". Так что в некоторых ситуациях конкретный большеберцовый стержень может оказаться предпочтительнее конкретного ретроградного бедренного.
|
[
Ответить ]
|
Re: Многооскольчатый перелом бедра
Отправитель: Aнтон Жаглин 17 Февраль 2009, 21:39
|
Уважаемый Александр Николаевич! Я умышленно не вдавался в частности различных изготовителей дистальных бедренных штифтов. Хотелось понять принципиальность установки тибиальных штифтов на бедро. Мне лично кажется наиболее удачным DFN от Striker с их мыщелковыми винтами. Этот штифт, зачастую, я использую и при лечении внутрисуставных переломов дистального отдела бедра, так как указанные винты создают межфрагментарную копрессию. И если цена вопроса в некоторых случаях все-таки имеет значение, то все же, в чем преимущество тибиального штифтования бедра перед накостной пластиной(она дешевле)? С ув. Жаглин А.В. ГКБ№67, Москва.
|
[
Ответить ]
|
Re: Многооскольчатый перелом бедра
Отправитель: Alexander Chelnokov 17 Февраль 2009, 22:58
|
Принципиальности особой нет. Есть, как Д.Кулджанов упомянул, вообще гвозди одинаковые для бедра и голени. SIGN, к примеру.
Есть ретроградные с суперспециальными возможностями типа стягивающих болтов, резьбовых отверстий, клинков. Гвозди Stryker, безусловно, очень хорошие. Однако бОльшая часть переломов успешно может быть фиксирована более простыми и универсальными имплантатами. Теми же большеберцовыми, к примеру. Если надо, плюс 1-2 спонгиозных винта мимо гвоздя. Хотя вообще для самых дистальных переломов мы предпочитаем антеградное введение.
Пластина имеет свои врожденные ущербности, поэтому она оптимальна только при повреждениях типа C3, когда есть фронтальное раскалывание, и надо вводить много винтов для фиксации фрагментов суставной поверхности.
А по цене современные пластины с угловой стабильностью куда как подороже будут показанного выше большеберцового штифта.
|
[
Ответить ]
|
|
Re: Многооскольчатый перелом бедра
Адонин 18 Февраль 2009, 03:35
|
Алекс, как Вы можете говорить, что "по прямой проекции неплохо"!? :( Гвоздь в суставе !!!
|
[
Ответить ]
|
Re: Многооскольчатый перелом бедра
Отправитель: Адонин 18 Февраль 2009, 03:59
|
Снимаю свои претензии. На втором из снимков, которыми Вы хвастаетесь, гвоздь тоже в суставе, и ничего :(
|
[
Ответить ]
|
Re: Многооскольчатый перелом бедра
Отправитель: Alexander Chelnokov 18 Февраль 2009, 10:52
|
И какие страшные проблемы от этого тянут аж на три восклицательных знака?
Если даже будет patellar impingement, это решается удалением после сращения.
|
[
Ответить ]
|
|
Re: Многооскольчатый перелом бедра
Адонин 18 Февраль 2009, 03:44
|
Вдогонку
1 философский вопрос - можно ли называть неплохим остеосинтез бедра. после которого накладывается циркулярная гипсовая повязка? :)
2 доктору Антону
страйкер в этом плане ничем не отличается от других производителей - компрессирующие болты есть у многих
|
[
Ответить ]
|
Re: Многооскольчатый перелом бедра
Отправитель: Alexander Chelnokov 18 Февраль 2009, 10:56
|
Такой остеосинтез надо называть заведомо несостоятельным. Хотя иммобилизация может понадобиться по причинам, не связанным с костью.
|
[
Ответить ]
|
Re: Многооскольчатый перелом бедра
Отправитель: Alexander Rykov 18 Февраль 2009, 22:28
|
Неплохой - это так нравится нам........ Как и консилиум.....Совет.... Общее мнение....... Никакой ответственности (классика чиновника)........
Сегодня это наша палочка -выручалочка в условиях тотального пресссинга медицинской профессии в России. Так что неплохой это лучше нежели плохой,
считай на трояк (по старой градации в школе). А Рыков Хабаровск.
|
[
Ответить ]
|
Re: Многооскольчатый перелом бедра
Отправитель: Виталий Казеннов 18 Февраль 2009, 22:29
|
Ну про тотальный прессинг -- это как паровоз на поворотах. Загибает и свистит.
В.Казённов, Хабаровск
|
[
Ответить ]
|
|
Re: Многооскольчатый перелом бедра
Thom322 18 Февраль 2009, 14:50
|
Какой смысл использовать тибиальный стержень на бедре?
И вообще мне кажется, что представленный ОС не допустим:1. стержень в суставе,2. неправильная длинна винтов, 3. ось конечности неправильная, 4. циркулярная гипсовая повязка после ОС?????
Почему было не использовать накостный ОС?
Или при отсутствии МК не вести больного консервативно?
А отвечая на поставленный вопрос: можно, но зачем?
|
[
Ответить ]
|
Re: Многооскольчатый перелом бедра
Отправитель: Коваленко А.Н. 18 Февраль 2009, 18:25
|
-1. стержень в суставе,
Это не критично, в межмышелковой борозде,не на опроной поверхности, выступает из субхондральной кости, не факт что из хряща.Про надколенник Александр Николаевич уже писал.
-2. неправильная длинна винтов,
и толщина тоже. При такой длине хочется помощнее.
-3. ось конечности неправильная,
Вполне прилично. Если в боковой проекции рекувации нет. Где кстати боковая, хочется спросить у постмейкера.
- 4. циркулярная гипсовая повязка после ОС?????
К сожалению, автор умалчивает. Думается, что в данном случае можно и без гипса.
-Почему было не использовать накостный ОС?
Доля ответа есть в названии города.
-Или при отсутствии МК не вести больного консервативно?
Если в боковой проекции все не менее достойно, и винты в отверстиях, это метод выбора.
-А отвечая на поставленный вопрос: можно, но зачем?
Затем, что результаты как минимум не хуже, чем при использовании глубокоспециализированных DFN. Другое дело, что найти толстый тибиальный гвоздь больше 11м не всегда просто. В показаном примере он бы не подошел. Трочал бы сильнее из колена или при полном погружении отверстия пролетели бы проксимальнее перелома. Он показан больше для нижней трети, чем для области метафиза. Да и желательно чтобы винты толстые были, толще чем для тибии.
Вопрос в зал: те, кто критикует применение тибиальных гвоздей ретроградно на бедре действительно имели проблемы при их "непрямом" использовании?
|
[
Ответить ]
|
Re: Многооскольчатый перелом бедра
Отправитель: Антон Жаглин 19 Февраль 2009, 11:11
|
"найти толстый тибиальный гвоздь больше 11м не всегда просто","...он бы не подошел...","...Трочал бы сильнее...",
"...отверстия пролетели бы"...,"...желательно чтобы винты толстые были...", "...толще чем для тибии..."- это Вы считаете не важно при установке тибиального штифта на бедро??? Так в чем же все-таки его плюсы в таком случае?
|
[
Ответить ]
|
Re: Многооскольчатый перелом бедра
Отправитель: Коваленко А.Н. 19 Февраль 2009, 14:21
|
-"найти толстый тибиальный гвоздь больше 11м не всегда просто"
речь о проблемах снабжения.Я акцентировал внимание на том, что нужны гвозди большего диаметра нежели чем те что чаще используются на голень.
- "...он бы не подошел...","...
В представленном автором примере безусловно тибиальный гвоздь противопоказан. Просто при установке тибиального гвоздя на бедро есть определенные показания (врочем, как и везде), и перечисленные моменты надо учитывать. Насколько я помню вопрос по сути звучал о возможности применения тибиальных гвоздей на бедро.
- Так в чем же все-таки его плюсы в таком случае?
1.функцию штифтования выполняет не хуже чем другие конструкции
2. Лучше борется с рекурвацией дистального отломка за счет угла Герцога.(В представленном примере "недопобороли")
В данном случае, на мой взгляд, если говорить о гвоздях, предпочтительней антеградное штифтование. Поскольку любая ретроградная конструкция не может иметь столь низкого расположения отверстий для винтов как антеградная из-за резьбового крепления.
|
[
Ответить ]
|
Re: Многооскольчатый перелом бедра
Отправитель: Павел Владимирович 19 Февраль 2009, 12:15
|

Приносим извенения за недостаток информации. Выкладываю все снимки. Стержень фирмы НПО ДЕОСТ(г.Пущино-на-оке)
|
[
Ответить ]
|
Re: Многооскольчатый перелом бедра
Отправитель: Коваленко А.Н. 19 Февраль 2009, 14:31
|
Павел Владимирович, скажите пожалуйста, для чего наложен гипс? Считаете, что синтез жидковат и боитесь, что развалится, напугать больного, чтобы на ногу раньше времени не наступил или есть какие-то другие причины? Когда планируете его снять и разрешить опору на конечность?
|
[
Ответить ]
|
Re: Многооскольчатый перелом бедра
Отправитель: Павел Владимирович 20 Февраль 2009, 08:20
|
Больная госпитализирована с тяжелой сочетанной травмой. Плюсом к перелому бедра имеется разрыв связок коленного сустава.
|
[
Ответить ]
|
|
Re: Многооскольчатый перелом бедра
Thom322 18 Февраль 2009, 23:12
|
Использовать можно если подходит по длине и толщине.
Но блокировка доставит массу впечатлений:-)
|
[
Ответить ]
|
Re: Многооскольчатый перелом бедраa
adonin 19 Февраль 2009, 04:22
|
Алекс, а пателла импиджмент - это что, недостаточно серьезно для трех восклицательных знаков? Больной не сможет сгибать ногу ( и, скорее всего, не сможет сгибать никогда, так как к моменту сращения будет сформированная контрактура) , Вы же пишете - <после сращения можно удалить>
Пару цитат
Editors: Wiss, Donald A.
Title: Master Techniques in Orthopaedic Surgery: Fractures, 2nd Edition
The nail should not be prominent by even 1 mm at the notch because this may adversely affect the patellofemoral joint.
Editors: Bucholz, Robert W.; Heckman, James D.; Court-Brown, Charles M.
Title: Rockwood & Green's Fractures in Adults, 6th Edition
The tip of the nail must be countersunk in the notch to avoid patellar impingement
|
[
Ответить ]
|
Re: Многооскольчатый перелом бедраa
Отправитель: Alexander Chelnokov 19 Февраль 2009, 11:21
|
Псиологическки комфортно следовать вроде бы авторитетной догме (by even 1 mm, а то все пропало!), без оглядки на то, что догма эта не учитывает детали. В которых, как известно, дьявол.
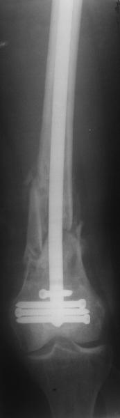
Чтобы больной не смог сгибать колено, выстоять в сустав железо должно побольше значительно, чем на 1 мм. В приложении снимок с выстоянием ммм на 3, видна и функция колена. Хотя клиника импинджмента была, но даже не на один восклицательный знак. После удаления стержня проблемы и вовсе рассосались.

|
[
Ответить ]
|
|
Re: Многооскольчатый перелом бедра
Thom322 19 Февраль 2009, 22:12
|
1 МК в суставе приводит не только к болезненности
при движении, но и к махровому дефартрозу.
В суставе ничего быть не должно это аксиома как мне кажется. Примеры когда вот там выстоит, а ему не больно не подходят, мы же не в детском саду!
2. Использование тибиального стержня на бедро бессмысленно! Есть бедренные стержни!ИМХО
Принципиально разницы нет какой именно стержень использовать( хоть спиц натолкай) разница лишь в удобстве установки, анатомичности и малоинвазивности.
|
[
Ответить ]
|
Re: Многооскольчатый перелом бедра
Отправитель: Alexander Chelnokov 19 Февраль 2009, 23:46
|
1.А махровый артроз возникает сразу, всегда и у всех при любом выстоянии?
Аксиома "в суставе не должно" умозрительно выглядит вполне рационально. Но тогда, исодя из нее, надо прекратить вообще трогать интактный до того сустав, ведь повреждение хряща тоже бесследно не должно проходить.
На самом деле надо искать компромиссы. Какую цену мы платим за результат.
А насчет "детского сада" напомню, что критерий истины - практика. Если "ему не больно", и движения хорошие - это тот результат, к которому стремились. Значит, опасения были напрасны - это полезная информация.
2. Насчет "бессмысленности" off-label use. Опять же, если достигается желаемый результат при тех же или меньших затратах сил, средств и времени - это вполне рационально.
|
[
Ответить ]
|
Re: Многооскольчатый перелом бедра
Отправитель: Коваленко А.Н. 20 Февраль 2009, 10:52
|
"МК не должно быть в суставе - это аксиома" исключает концепцию ретроградного штифтования на корню, поскольку как минимум металлическая заглушка ретроградного гвоздя сообщается с полостью сустава всегда, или вы в своей практике чем то ее прикрываете, делаете пластику, чтобы этот "ужас" изолировать от сустава? Раскажите пожалуйста по подробнее.
"Использование тибиального стержня на бедро бессмысленно!" Кроме эмоций, есть более существенные доводы? Клинические примеры или рентгенограммы?
|
[
Ответить ]
|
Re: Многооскольчатый перелом бедра
Отправитель: Thom322 20 Февраль 2009, 16:53
|
Чтобы не флудить, предлагаю обсудить этого больного на предстоящих Вреденовских Чтениях! Как раз пройдет достаточно времени! Я думаю в кулуарах вам будут аплодировать:-)
|
[
Ответить ]
|
Re: Многооскольчатый перелом бедра
Отправитель: Alexander Chelnokov 20 Февраль 2009, 18:00
|
Можно еще порыться в архивах форумах и почитать обсуждение почти 7-летней давности, которое тоже касается антеградного остеосинтеза дистального перелома бедра.
|
[
Ответить ]
|
Re: Многооскольчатый перелом бедра
Отправитель: Alexander Chelnokov 20 Февраль 2009, 18:28
|
Это результат через полгода. К сожалению, пациент больше не приезжал на контрольный осмотр.
|
[
Ответить ]
|
|
Re: Многооскольчатый перелом бедра
Ерсин Жунусов 19 Февраль 2009, 23:04
|
Уважаемые коллеги!
Мое мнение то, что такой подход (применять конструкцию не по назначению и показанию) порождает порочный остеосинтез, данный случай как раз к этому и относится!!!
Не воруженном взглядом видно, что отеосинтез не стабильный, тем более если применяется дополнительная гипсовая иммобилизация, а это противоречать принципам БИОС т.е. исключается раннее восстановление функции конечности. К сожалению малая оснащенность наших клиник вынуждает нас выходит из ситуации, но если увидели бы эти снимки наши заурбежные коллеги (я имею из дальнего)ужаснулись бы.
В данном клиническом случае мы бы использовали ретроградный остеосинтез универсальным штифтом (СХМ) при этом дистальный метафиз зафиксировали 2-мя болт стяжкой (спец. блокирующим набором).
С уважением Ерсин Жунусов
|
[
Ответить ]
|
Re: Многооскольчатый перелом бедра
Отправитель: Alexander Chelnokov 19 Февраль 2009, 23:26
|
> Мое мнение то, что такой подход (применять конструкцию не по
> назначению и показанию)пораждает порочный остеосинтез, данный случай
> как раз к этому и относится!!!
"Такой подход" иногда порождает отличный результат, новаторское решение, идеи по изменению дизайна имплантатов и много другое хорошее.
Если все будут все делать "как написано", развитие остановится.
А остеосинтез в этом случае чем уж порочный - ось и длина восстановлены, зону перелома не открывали.
> Не воруженном взглядом видно, что отеосинтез не стабильный, тем
> более если применяется дополнительная гипсовая иммобилизация,
А вот гипсовая повязка тут, на мой вгляд, лишняя. Стабильность достаточна для ранних занятий лфк.
> если увидели бы эти снимки
> наши заурбежные коллеги (я имею из дальнего)ужаснулись бы.
Ваш покорный слуга еще в 2004 году на Евротравме показывал много подобных снимков, реакция зарубежных коллег была скорее одобрительной.
Когда обсуждали в кулуарах, коллеги говорили, что делают по-другому не потому, что это лучше, а поскольку не умеют делать антеградный
остеосинтез при очень дистальных переломах. Хотя были статьи про это Leoung, 1992 и Dominguez, 1998.
> В данном клиническом случае мы бы использовали ретроградный
> остеосинтез универсальным штифтом (СХМ) при этом дистальный метафиз
Это тоже вполне приемлемо. Как и другие ретроградные гвозди. И пластины с угловой стабильностью. Мы с трудом привыкаем к мысли, что
подавляющего преимущества какого-то одного варианта нет, и может быть несколько практически равноценных решений одной проблемы.
и то, что если коллеги сделали что-то иначе, чем сделали бы мы, это совсем не обязательно ошибка.
|
[
Ответить ]
|
Re: Многооскольчатый перелом бедра
Отправитель: Ерсин Жунусов 20 Февраль 2009, 23:12
|
Уважаемый Александр Николаевич!
Я лишь высказал свое мнение и на форуме навреное это не возбраняется! или принято только соглашаться мнениями модераторов? Тем более коллеги согласны с тем, что было бы оптимальным произвести остеосинтез тем, что положено!
К сожалению такими спорами наша медицина (я имею стран СНГ)в том числе и травматология отстает от мировой минимум на 25-30 лет. Согласитесь?
Еще раз сомневаюсь о стабильности остеосинтеза, я извиняюсь может быть мы такие дотошные, но у себя в отделении мы считаем что любой остеосинтез, особенно околосуставных и внутрисуставных переломов должны быть стабильно-функциональными. С уважением Ерсин Жунусов.
|
[
Ответить ]
|
Re: Многооскольчатый перелом бедра
Отправитель: Alexander Chelnokov 20 Февраль 2009, 23:48
|
ЕЖ> Я лишь высказал свое мнение и на форуме навреное это не
ЕЖ> возбраняется! или принято только соглашаться мнениями
По-моему, в моих ответах и намека не было на безосновательное навязывание какого-то мнения. Как раз все свои доводы пытаюсь обосновать даже не "вот тут написано, как надо", и даже не просто логикой, а в первую очередь результатами клинических наблюдений более 70 больных.
ЕЖ> Тем более коллеги согласны с тем, что было бы
ЕЖ> оптимальным произвести остеосинтез тем, что положено!
А кем "положено", кстати?
Спорные вопросы не всегда решаются голосованием. Вы этих коллег, которые "согласны с тем, что положено" спросите, на чем основано их суждение?
Готов поспорить, что не на собственном или чьем-то опыте (даже неважно, положительном или отрицательном) антеградного штифтования при дистальных переломах бедра. Коллеги просто не знакомы с этой техникой. Они про это не слышали и не читали. Вот и отвергают незнакомое.
И оценивать лечение надо не по религиозным критериям - соответствует оно знакомой догме, или нет. Здоровый прагматизм лучше. Надо глядеть со стороны проблемы - решается ли она.
ЕЖ> К сожалению такими спорами наша медицина (я имею стран СНГ)в том
ЕЖ> числе и травматология отстает от мировой минимум на 25-30 лет. Согласитесь?
Это "удар по соседним клавишам". Конечно, "медицина вообще" в развитых странах выше уровнем. Но есть и масса частностей, где западные коллеги учатся на той же ступени, что и мы. Скажем, техника Fixator-assisted nailing только получает распространение в мире, и на Западе она нисколько не впереди.
ЕЖ> любой остеосинтез, особенно околосуставных и внутрисуставных
ЕЖ> переломов должны быть стабильно-функциональными.
Это всего лишь общие слова. Вряд ли и Вы, и кто-то еще начнет немедленную полную нагрузку после самого-самого "стабильно-функционального" остеосинтеза при переломах суставного конца типа C3. Хотя при диафизарных это легко достигается. Да и при многих околосуставных.
Я только что показал наш давний пример аналогичного остеосинтеза. Движения были начаты сразу, использовали функциональную шину.
Результат к полугоду тоже только что отправил. Можно, конечно, и тут было сказать - нет, надо было делать "как положено", пластиной с угловой стабильностью, шаг влево-вправо - это криминал, низзя, пусть даже результат как минимум не хуже.
Почитайте тогдашнее обсуждение, и обратите внимание на разницу: сейчас, как Вы пишете, "коллеги согласны с тем, что было бы
оптимальным произвести остеосинтез тем, что положено", и посмотрите, что там американские коллеги пишут.
Убежден, что и в обсуждаемом случае можно аккуратно начать движения. При таком переломе повреждение связок - казуистика. Да и сохранить движения важнее, связками можно потом заняться. И лучше без контрактуры.
|
[
Ответить ]
|
Re: Многооскольчатый перелом бедра
Отправитель: Павел Владимирович 20 Февраль 2009, 09:09
|
Уважаемый Ерсин Жунусов если бы была такая возможность мы то-же применили бы ретроградный стержень ChM. Но.....
|
[
Ответить ]
|
|
Re: Многооскольчатый перелом бедра
Константин Глазков 20 Февраль 2009, 21:25
|
Спор абсолютно безсмыслен.Нас убеждают в правоте -что было то и забили. Вспомните было время приходилось удалять после таких синтезов и стержни от никелированных спинок от кроватей.
|
[
Ответить ]
|
Re: Многооскольчатый перелом бедра
Отправитель: Ерсин Жунусов 22 Февраль 2009, 00:34
|
Константин Глазков- Вы писали "Нас убеждают в правоте -что было то и забили".
Абсолютно с Вами согласен уважаемый Константин Глазков! Как говорят янки "незнание законов никого не освобождает от ответственности" или "все, что Вы скажете может применятся против Вас". С уважением Ерсин Жунусов.
|
[
Ответить ]
|
Re: Многооскольчатый перелом бедра
Отправитель: Alexander Chelnokov 22 Февраль 2009, 01:17
|
КГ> приходилось удалять после таких синтезов
КГ> и стержни от никелированных спинок от кроватей.
Коллеги, вы заблуждаетесь, путая с несостоятельным использованием
случайных железок пусть вам незнакомый, но вполне приемлемый антеградный закрытый интрамедуллярный остеосинтез дистального отдела бедра.
Хотя есть более приспособленные антеградные стержни для этой локализации, чем обычные диафизарные (в т.ч. как раз для этого разработан только что показанный А.Тураевым гвоздь). Но и тот, что использован, должен обеспечить хороший
результат. Еще в те времена, когда других стержней, кроме диафизарных, не
было, их успешно использовали для этой локализации. Посмотрите статью
Leung и соавт. 1991 (1,3 Mb)
На эту тему в журнале "Вестник травматологии и ортопедии им. Приорова", 2007, N3 есть наша статья "Закрытый интрамедуллярный остеосинтез с блокированием в лечении больных с переломами
дистального отдела бедренной кости".
Да и на многих отечественных и зарубежных митингах мы про эту технологию рассказывали и показывали.
|
[
Ответить ]
|
|
( Ответить )
|
|