вверх
отправить
поиск
админ
главная
|
интересный ложный сустав бедра |
 |
 |
 |
Отправлено керимов артур 24 Март 2009, 22:33 ГВКГ им. Н.Н.Бурденко
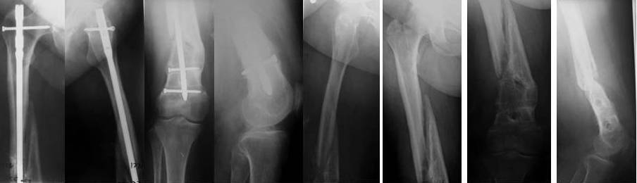
пациентка 58лет, ожирение III СТ., сахарный диабет 2 типа, 3 года назад БИОС бедра в г.Н-ске по поводу перелома в н\3, а теперь красота писаная!!!!! уважаемые коллеги! пациентка 58лет, ожирение III СТ., сахарный диабет 2 типа (субкомпенсированный), 3 года назад БИОС бедра в г.Н-ске по поводу перелома в н\3, нагрузка разрешена на ногу сразу, несмотря на вес, качество и метод остеосинтеза, а теперь красота писанная!! штифт убрали неделю назад с тех. трудностями, есть мнение выполнить, клиновидную остеостомию на уровне деформации, ретроградно с рассверливанием Expert с клинком и костной пластикой. Ваше мнение???С уважением.Керимов Артурцентр травматологии и ортопедии ГВКГ им.Н.Н.Бурденког.Москва
<
|
>
|
|
Ответить
|
Re: интересный ложный сустав бедра
Alexander Chelnokov 25 Март 2009, 20:22
|
Здесь не видно необходимости пластики. Костную пластику при интрамедуллярном остеосинтезе как-то вообще не приходится делать, разве что речь о замещении сегментарных дефектов.
Антеградный канал уже есть, зачем делать еще и ретроградный. Канал рассверлить и взять гвоздь уже серьезного диаметра, от 12 мм. Но здесь одна серьезная проблема - вальгус. Наверно (надо скиаграмму сделать и уточнить) просто изменением оси его не устранить, потому что промежуточный отломок по медиальной стороне сросся с периферическим под углом, он не даст правильно расположить мыщелки бедра к диафизу.

Для восстановления оси достаточно поперечной остеотомии дистального отломка по нижнему краю центрального. В периферическом отломке ввести
спереди назад отклоняющие спицы или винты, чтобы гвоздь пошел не по старому каналу, а куда надо. Приблизительная схемка в приложении.
Гвоздь надо запереть в дистальном отломке более чем 2 винтами. Лучше, чтобы и винты были потолще.
|
[
Ответить ]
|
Re: интересный ложный сустав бедра
Alexey Semenisty 25 Март 2009, 21:25
|
2 типа (субкомпенсированный), 3 года назад БИОС бедра в г.Н-ске по
поводу перелома в н\3, нагрузка разрешена на ногу сразу, несмотря на
вес, качество и метод остеосинтеза, а теперь красота писанная!!
Уважаемый Артур, это, безусловно, важная информация, но все-таки, что же беспокоит пациентку? Для чего она к вам обратилась? Только удалить штифт?
штифт
убрали неделю назад с тех. трудностями, есть мнение выполнить,
клиновидную остеостомию на уровне деформации, ретроградно с
рассверливанием Expert с клинком и костной пластикой. Ваше мнение???
Желание исправить деформацию и думы о ложном суставе возникли только после удаления штифта???
Если по сути: надо попытаться решить все без отркрытой процедуры и клиновидной остеотомии. Исправьте деформацию используя возможности аппарата Илизарова.... дозированно в течении 7-10 дней (или одномоментно - в звисимости от степени подвижности отломков, состояния мышц).... Пождижности совсем нет? - через минидоступ остеотомия без клиньев.. Затем штифтуйте, можно и сверху стабильно заштифтовать...
С уважением, А.Семенистый.
ГКБ № 13, Москва.
|
[
Ответить ]
|
Re: интересный ложный сустав бедра
керимов артур 26 Март 2009, 01:19
|
Виноват! пациентка обратилась с жалобами на боль и "ощущение нестабильности" в нижней трети бедра, БОЛЬ В КОЛЕННОМ СУСТАВЕ. Конечно мысль о ложном суставе и нестабильности возникла сразу. После удаления штифта болевой синдром у пациентки значительно уменьшился. Ходит с дозированной нагрузкой на ногу.
Не получилось послать снимки в нормальном качестве, но реально- каналы от удаленных винтов в дистальном фрагменте толщиной до 2.0см, выраженный остеопороз, "вальгус" на скиаграмме -25гр. Рекурвация- 20гр.
Мысль об утранении углового смещения в АВФ уже посещала и рассматривается как вариант.
Спасибо за комментарии!!!!
|
[
Ответить ]
|
Re: интересный ложный сустав бедра
Djoldas Kuldjanov 26 Март 2009, 22:06
|
Наверное первичные операторы были “асами” интрамедуллярной техники, найти в жировом слое пириформис для антеградного введения технически нелегкая задача.
Для дистальных переломов бедра и при сопутствующем ожирением мы бы предпочли ретроградную фиксацию антеградной.
Кстати, 3 степень ожирения - это сколько килограммов веса и сколько у больной рост?
Ходит с дозированной нагрузкой на ногу
Несращение, фиброз между отломками не может удержать длительную нагрузу, и очень скоро приведет к укорочению конечности.
Дистракцию и исправление оси можно создать аппаратом Илизарова или, при наличии, Бедренным Дистрактором одномоментно.
При восстановленной оси можно штифтовать как описали коллеги, предпочтительно антеградно более мощным гвоздем.
Множественные винты под разными углами лучше гарантируют стабильность в дистальном отделе бедра, чем один большой спиральный клинок Expert.
Во время разговора вчера с Александром по поводу Reamer Aspirator от Synthes пришли к заключению, что применение аспиратора римера облегчит работу вдвойне. Рассверливание канала, а также для забора материала для костной пластики.
Из малого доступа, после обработки, между отломками любой канюлей под рентгеном можно установить костно-пластический материал в место ложного сустава.
Djoldas Kuldjanov, MD
Department of Orthopedic Surgery
St. Louis University Medical Center
|
[
Ответить ]
|
Re: интересный ложный сустав бедра
Керимов Артур 26 Март 2009, 23:30
|
Большое Спасибо Djoldas!!!!
Пациентка не хиленкая 137кг, 167см, в животе помещусь я с ногами несмотря на перенесенную абдоменопластику.
/При восстановленной оси можно штифтовать как описали коллеги, предпочтительно антеградно более мощным гвоздем/.
Так как же лучше? по старой "дырке" антеградно или через колено???
/Множественные винты под разными углами лучше гарантируют стабильность в дистальном отделе бедра, чем один большой спиральный клинок Expert./
Expert позволяет завести несколько винтов с клинком. Дистальный фрагмент очень "порозный" и как решето.
по поводу Reamer Aspirator от Synthes- Узнавал на Синтезе - пока не продают и в аренду не дают. Видел только на воркшопе за Бугром.
Керимов Артур
ГВКГ им.Н.Н. Бурденко
г.Москва
kerartur@ya.ru
|
[
Ответить ]
|
Re: интересный ложный сустав бедра
Отправитель: Alexander Chelnokov 27 Март 2009, 00:53
|
КА> Так как же лучше? по старой "дырке" антеградно или через колено???
Антеградно в центральном отломке - по старому каналу, в периферическом - с помощью отклоняющих (трансмедуллярных, Poller) спиц или винтов - по новому.
Еще раз, проблема здесь не в том, сверху или снизу вводить стержень. Здесь важно восстановление оси, и ни при том, ни при этом варианте сам по себе стержень этого не сделает.
То есть ретроградно при наличии движений в колене - технически выполнимо, но без тех же отклоняющих спиц/винтов не обойтись.
|
[
Ответить ]
|
Re: интересный ложный сустав бедра
Отправитель: Djoldas Kuldjanov 27 Март 2009, 22:35
|
Так как же лучше? по старой "дырке" антеградно или через колено???
Александр расширил показания антеградных введени до самых.. низких переломов и у него, с его “техническими трюками” получается на "отлично".
Антеградное введение гвоздя является "стандартом" при переломах бедра, но не абсолютным. Реконструктивные операции предпочтительно лечить по старому каналу, но учитывая проблему с весом "не хиленькая 137кг, 167см" ретроградный метод более удобен в этом случае.
Expert позволяет завести несколько винтов с клинком.
Да, к спиральному клинку можно добавить дополнительный верхний винт в том же направлении.
Дистальный фрагмент очень "порозный" и как решето.
Без имплантатов с угловой стабильностью при порозности костей невозможно создать стабильность в дистальном отделе бедра, и направленные в одной плоскости блокирующие винты не всегда контролирируют варусно-вальгусные деформации.
Стабильность можно добится блокировкой спирального (Synthes) клинка болтом через коленный сустав или вместе огромного мыщелкового винта предпочтительно несколькими винтами в косом направлении (Stryker Nail). При отсутствии их, откляняющими Poller спицами или винтами по усмотрению.
по поводу Reamer Aspirator от Synthes- Узнавал на Синтезе - пока не продают и в аренду не дают. Видел только на воркшопе
Несмотря на положительные стороны по предупреждению жировой эмболии во время рссверливания, "одноразовый Reamer Aspirator" и у нас не имеет популярности. Несколько раз применили для забора кости для пластики, а так, свежие переломы рассверливаем по-старому.
Отсутствие популярности, наверное, связано с дороговизной и необходимостью предварительного расчета диаметра канала, потому что ример проходит всего "one pass" и рассчитан на Синтезовский гвоздь.
Djoldas Kuldjanov, MD
Department of Orthopedic Surgery
St. Louis University Medical Center
|
[
Ответить ]
|
|
( Ответить )
|
|