Ответить
|
Re: Свободные осколки и штифтование
Адонин 29 Март 2009, 21:18
|
по поводу бедра - все сделано правильно, есть прекрасная апозиция основных фрагментов почти на всем диаметре перелома, в этом районе прекрасное кровоснабжение и нет никакого смысла гончяться за осколком
Вопрос с голенью сложен и наверняка в теч следующих суток д-двух Вы получите разные и противополножные предложения ( в том числе и Илизарова. и открыто гроздь\пластину, и закрыто).
Я бы закрыто на вытяжении ( чтоб меньше травмировать мягкие ткани - ассистент никогда не сможет удержать вправленную ногу совершенно неподвижно) штифтовал бы низкопрофильным штифтом. По окончанию штифтования, если мышечный футляр собрал отломки более-менее "в кучу" - не стал бы открывать. Если же после штифтования промежуточные отломки будут стоять совершенно неудовлетворительно - постарался бы через небольние разрезы подтолкнуть их на место. Мне кажется, что лучше через несколько недель или месяцев в случае несращения вернуться назад и добавить на место перелома аутотрансплантат из крыла подвздошной кости. чем сейчас добиваться хорошего сопоставления на крайне компрометированных высокоэнергетическим переломом мягких тканях
|
[
Ответить ]
|
Re: Свободные осколки и штифтование
Отправитель: Адонин 29 Март 2009, 21:23
|
небольшое замечание по поводу бедра - сразу не рассмотрел - гвоздь обязательно надо было заблокировать дистально и крайне желательно -и проксимально тоже. Без блокирования не исключена ( хоть и не очень вероятна) ротация фрагментов.
|
[
Ответить ]
|
Re: Свободные осколки и штифтование
Отправитель: ANDREW 29 Март 2009, 21:57
|
Вроде ж Fixion не блокируется?
|
[
Ответить ]
|
Re: Свободные осколки и штифтование
Отправитель: Адонин 29 Март 2009, 22:01
|
Уупс -моя ошибка, я не знал, что fixion - это expandable nail. Вопрос снят. Спасибо
|
[
Ответить ]
|
Re: Свободные осколки и штифтование
Отправитель: Alexander Chelnokov 29 Март 2009, 22:26
|
Да нет, вопрос уместный. Тут перелом ниже истмуса, и в дистальном отломке винты были бы не лишние. И ретроградный Fixion с винтами есть.
|
[
Ответить ]
|
|
Re: Свободные осколки и штифтование
Alexander Chelnokov 29 Март 2009, 21:20
|
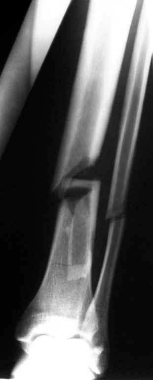
ЮАБ> Хотел-бы услышать Ваше мнение по поводу того, кто как относится к
ЮАБ> наличию свободных осколков в линии перелома и чем при этом
ЮАБ> руководствуется - размер, локализация, возраст и т.д.
Практически единственное, что делает необходимым разрез для манипуляций с промежуточным отломком бедренной кости - это его "застегивание" в илиотибиальном тракте по типу пуговицы в петле.
Когда при движениях в колене этот отломок на сантиметры смещается, создавая очевидный дискомфорт. Даже в этом случае репозиция отломка
именно в его ложе избыточна, достаточно осциллирующей пилой отсечь то, что выстоит над фасцией.
Отломок, расположенный так, как на показанных рентгенограммах бедра, обычно на снимках в 1-2 мес. уже располагается ближе к диафизу и
включается в мозоль.
На голени что-то сделать с отломком вынуждает угроза перфорация кожи, перекрытие отломком входа в канал. Не всегда надо делать разрез, можно и шилом чрескожно фрагмент сдвинуть. Наверно, еще и повреждение сосудистого пучка, когда "виновник" прямо поперек перерезанной артерии и лежит - такое не каждый за всю свою профессиональную жизнь
встретит.
То есть в представленных ситуациях при штифтовании ни на бедре, ни на голени не нужно делать ни открытую, ни закрытую (с помощью шильев,
спиц, еще каких-то "джойстиков") репозицию. Все, что нужно - восстановить ось, длину и ротацию.
Перелом большеберцовой кости почти околосуставный, могут потребоваться дополнительные меры для восстановления оси (отклоняющие спицы или винты), и запирающих винтов в дистальный отломок желательно побольше. Задний край не сломан ли там, не разобрал по этим снимкам.
|
[
Ответить ]
|
Re: Свободные осколки и штифтование
Отправитель: Заднепровский Никита 29 Март 2009, 22:47
|
Alexander Chelnokov> Практически единственное, что делает необходимым разрез для манипуляций с промежуточным отломком бедренной кости - это его "застегивание" в илиотибиальном тракте по типу пуговицы в петле.
На операции я оставил осколок в области приводящих мышц бедра (ни пальпаторно, ни спицей сдвинуть не смог, "заклинило" насмерть). Фото спустя 2 месяца после операции (PFN).

Только сейчас пациент стал более или менее активным. Сразу после операции жалобы на сильные боли при отведении и приведении бедра в области отломка. Сейчас отломок пальпируется и пациент испытывает дискомфорт, хотя амплитуда движений объективно прогрессирует.
Теперь думаю, надо все-таки было через минидоступ или резецировать, либо репонировать. Обычно при таких операциях уже на 2-й день пациенты на костыли и по отделению, а у этого задержка длительная получилась. Только спустя 2 недели кое-как на костыли взобрался. Ни отека, никакой неврологии, только эти боли в области осколка.
|
[
Ответить ]
|
Re: Свободные осколки и штифтование
Отправитель: Alexander Chelnokov 29 Март 2009, 23:47
|
Все отломки на бедре находятся "в области" тех или иных мышц. Такого вида фрагменты часты при оскольчатых переломах, и никакой связи с болевым синдромом тут не видно. Пациенты с непонятными болевыми синдромами нечасто, но встречаются.
Предположения о том, чем же был обусловлен болевой синдром в данном случае (никакой отдельной "области осколка" там нет, это просто область перелома), могут включать в первую очередь первичную травму, а также то, что дополнительно намяли ("ни пальпаторно, ни спицей сдвинуть не смог"), может, внутримышечная гематома была, или компартмент-синдром даже.
|
[
Ответить ]
|
Re: Свободные осколки и штифтование
Отправитель: Maxim Agalakov 30 Март 2009, 20:28
|
> никакой связи с болевым синдромом тут не видно.
как вы это поняли? Почему "проблему отломка" можно исключить7
|
[
Ответить ]
|
Re: Свободные осколки и штифтование
Отправитель: Alexander Chelnokov 30 Март 2009, 23:06
|
Я ж написал уже. Потому что и пациентов с подобными осколками, но без жалоб, полно. И пациентов с жалобами, но без такого осколка, тоже есть.
|
[
Ответить ]
|
|
Re: Свободные осколки и штифтование
Коваленко А.Н. 30 Март 2009, 23:13
|
>Сами собираемся оперировать голень и думаем, что без "открытия" места перелома не обойтись.
"Открытие" "открытию" рознь. Мне видится такая последовательность действий: попытаться установить проводник закрыто на вытяжении или дистракторе. Если прошел -рассверлиться, если нет поправить направление проводника через разрез такой величины, чтобы можно это было сделать но не более того.Если осколок, стремящийся в канал свободен от мягких тканей - удалить его. Удаляли вываливающиеся отломки "перстневидной" формы по более представленного, тем не менее сращение наступало. Если удастся все провести закрыто, манипуляции с отломком нужны, если он будет стремиться перфорировать кожу.Бывает, что для этого не обязательно открываться, просто подтолкнуть осколок через кожу или (цитата:))шилом.
Общее MHO по поводу осколков:
1.мелкие не стоят внимания, если не давят на сосудисто-нервный пучок, угрожают перфорацией и т.п., и т.д.,
2.крупные, если создают дефект в области перелома, должны находиться как можно ближе к области перелома, как депо материала для костеобразования, отнюдь не должны быть точно репонированы.
|
[
Ответить ]
|
Re: Свободные осколки и штифтование
Корнеев Ф.А 31 Март 2009, 11:38
|
выделяяя и фиксируя отломок вы лишаете его питания, достаточно просто контакта
|
[
Ответить ]
|
Re: Свободные осколки и штифтование
Юрий Алексеевич Булахтин 02 Апрель 2009, 14:46
|

Сегодня прооперировали без открывания. Хотел-бы услышать комментарии по поводу послеоперационной нагрузки.
С уваженем, Ю.А.Булахтин
|
[
Ответить ]
|
Re: Свободные осколки и штифтование
Отправитель: Adonin 03 Апрель 2009, 00:44
|
Учитывая изначальные снимки и то. что сделали , не открывая - весьма достойно. Доктор Коган прав - перелом немного перерастянут ( что хорошо видно по фибуле), а перерастянутые переломы большеберцовой срастаются очень плохо. Поэтому я бы обязательно дал раннюю динамизацию - на 6 неделях ( когда можно не опасаться малротации) разблокировал бы проксимальный фрагмент полностью и начал бы нагружать ногу. Будьте готовы к остеотомии ( или остеоэктомии участка) малоберцовой чеерз несколько месяцев- уж слишком хорошо стоит - очень вероятно, что срастется рано и будет держать большеберцовую перерастянутой
|
[
Ответить ]
|
Re: Свободные осколки и штифтование
Отправитель: Adonin 03 Апрель 2009, 00:49
|
вдогонку - до разблокирования нагружать противопоказано - все, чего добьетесь - погнете шурупы. причем, если погнете дистальные ( как обычно бывает) - гвоздь провалится в сустав. Нагружайте птолько после проксимальной динамизации, когда будете уверены, что гвоздь поднагрузкой будет смещаться вверх, а не вниз
|
[
Ответить ]
|
|
Re: Свободные осколки и штифтование
Коган П.Г. 02 Апрель 2009, 20:36
|
По представленым снимкам, "контакт" между отломками не очень =(. А боковой проекции нет?
Если "так оставлять", то время начала нагрузки мало повлияет на результат.
|
[
Ответить ]
|
Re: Свободные осколки и штифтование
Андрей Волна 04 Апрель 2009, 22:28
|
Уважаемый Юрий Алексеевич, сложный перелом, смелое решение, хорошее исполнение и, надо надеяться, хороший будет результат. Но, что бы он (результат) был достойным, надо подготовиться и к худшему. В чём, с моей точки зрения, главная проблема, которую придётся решать. Да, вне всякого сомнения, система нуждается в ранней динамизации в совокупности с ранней же нагрузкой. В данном случае, мне кажется, можно было бы решиться и на первичную динамизацию, то есть проксимально блокировать гвоздь только через овальное отверстие, отказавшись от введения винта через круглое отверстие. В этом случае и нагрузку можно было бы начать раньше, чем через 6 недель, не опасаясь перелома дистальных винтов. Однако, имеющееся лёгкое вальгусное смещение может прогрессировать в случае полной нагрузки, которую, как справедливо отмечено форумом, требует имеющееся стояние отломков. И предотвратить дальнейшее вальгирование может достаточная наружная опора, которая возможна при хорошем стоянии поперечного перелома малоберцовой кости даже без его внутренней фиксации, как раз как в представленном случае. А, в то же самое время, раннее сращение малоберцовой кости может препятствовать консолидации большеберцовой кости. То есть, своеобразный замкнутый круг может получиться. И так, главная проблема, с которой мы можем здесь столкнуться зависит не от диастаза между основными фрагментами, и не от вальгуса, и не от хорошей репозиции поперечного перелома малоберцовой кости - а от совокупности всех трёх факторов.
Поэтому, мне кажется, пациент будет требовать постоянного внимания на этапе реабилитации. И, помимо темпа консолидации, контроля положения дистального конца гвоздя из за опасения пенетрации сустава, не меньшего внимания будет заслуживать и угловое стояние отломков. Мне кажется, что в случае отсутствия формирования периостальной мозоли в допустимые сроки вряд ли будет целесообразным выполнение остеотомии малоберцовой кости. Это, равно как и хотя бы незначительное усугубление вальгуса может послужить основанием для переустановки гвоздя. Но - это худший вариант, который, я надеюсь, не случится. Но о котором нужно помнить.
С уважением, Андрей Волна.
|
[
Ответить ]
|
Re: Свободные осколки и штифтование
Отправитель: Alexander Chelnokov 04 Апрель 2009, 23:41
|
АВ> Однако, имеющееся лёгкое вальгусное смещение
Что-то не то тут с вальгусом. По положению гвоздя не должно его быть.
Увидеть бы сравнительные снимки дистальных отделов голеней, может статься, симметричный голеностопный сустав выглядит так же.
Насчет диастаза - конечно, надо динамизировать хоть сегодня, ждать 6 недель я бы не стал. И боковой снимок бы увидеть.
|
[
Ответить ]
|
|
Re: Свободные осколки и штифтование
Коваленко А.Н. 10 Апрель 2009, 11:59
|
Выкручивать проксимальный статический винт можно, если еще не выкрутили) Нагрузка - ногу на пол ставить можно, без переноса веса тела на нее. А с вальгусом действительно интересно на снимке выходит, может ротационное смещение осталось? Любопытно на боковую взглянуть и на ногу без рентгена
|
[
Ответить ]
|
( Ответить )
|
|