Ответить
|
Re: Перелом бедра у гемофилика
Djoldas Kuldjanov 04 Июнь 2009, 20:36
|
>В чем подвох, не догадываюсь...
Это обычно общепринятый прием, применяемый среди коллег, когда для разбора выбирается тема, которую разбирают среди участников с пользой для всех остальных. Например, для меня случай нечастый, не каждый день можно увидеть перелом в комбинации с гемофилией, хотелось узнать побольше. Поэтому, выставляя случай, у меня не было опасений, что "случай-подвох" оскорбит кого нибудь.
Недавно был анонс, что в Центре Гематологии в Москве провели конференцию по проблемам ортопедии у больных с гемофилией, но многие из нас не имеют возможности участия в конференциях, проводимых в различных столичных городах, и отсутствие таких возможностей восполняет страница форума, где каждый участник в демократической форме получает ответы от профессоров или "асов" ортопедии.
Я считаю, что при отсутствии нормального постдипломного обучения в странах СНГ, которое обычно длится не менее 5-6 лет, а не ограничивается двумя годами клинической ординатуры, как раньше (может, сегодня изменилось к лучшему?), что страницу Форума можно было бы превратить в место, где коллеги могут получить не только справочную, но и академическую информацию.
Для этого должны обьединиься не только практические врачи, но и специалисты из высшего эшелона ответственных за развитие отечественной ортопедии. Кроме доктора Тихилова из Петербурга, редко можно увидеть выступления специалистов профессоров и заведующих кафедр, игнорируется образовательная деятельность на страницах форума.
Было бы интересно получить первичные консультации от специалистов своего дела, где их подсказка могла бы разрешить многие трудно решаемые вопросы в ортопедии.
"Инфузия факторов по одному из протоколов, - по совету и под наблюдением гематолога, внимание обратил бы на развитие компартмента, метод фиксации – PFN"
А вот насчет тактики больного с гемофилией Вы правы, и если у вас много таких случаев, можно было поделиться со всеми остальными, таким образом, сообщество узнало бы, куда в следующий раз отправить больного.
При гемофилии типа А известно, что страдает фактор VIII, который контролирует свертывание, и таких случаях надо ввести фактор VII, и у нас по протоколу каждые два часа, что в результате можно контролировать кровотечение во время операции.
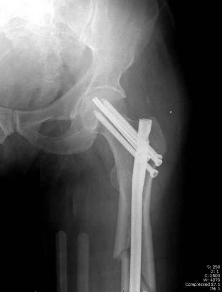
Учитывая, что случай ургентный, больной поступил вечером, не стали делать вытяжение и срочно провели операцию по фиксации перелома бедра антеградным штифтом Versa Nail от DePuy.
Для профилактики дальнейшего раскола в шейке предварительно во время проксимального рассверливания спереди и сзади провели временные спицы, которые в дальнейшем были заменены на шурупы (miss nail method)

Обычная спасательная фасциотомия для обычного больного в этом случае было бы приговором, поэтому несмотря на высокие цифры компартментального мониторинга больного оставили под наблюдением с обкладкой конечности льдом.
Кровотечение удалось контролировать, и больной через пару дней выписан на амбулаторное лечение.
Djoldas Kuldjanov, MD
Department of Orthopedic Surgery
St. Louis University Medical Center
|
[
Ответить ]
|
Re: Перелом бедра у гемофилика
Отправитель: Pavel 04 Июнь 2009, 23:32
|
Таких случаев не много (у меня лично - ни одного). Большое спасибо.
|
[
Ответить ]
|
Re: Перелом бедра у гемофилика
Отправитель: Evgeny Tchekashkine 05 Июнь 2009, 17:23
|
Джолдас,
Спасибо за презентацию. Один момент остался для меня непонятным: Почему возникли опасения раскола шейки бедра при штифтовании ?
Заранее признателен за пояснения.
Евгений Чекашкин
|
[
Ответить ]
|
|
( Ответить )
|
|