вверх
отправить
поиск
админ
главная
Предыдущее
Весь тред
|
Re: Тяжёлая травма голени, остеомиелит
Евгений Цветков 11 Июль 2009, 18:00
|

Абсолютно согласен с мнением коллег, что наиболее оптимальным решением является замещение дефекта большеберцовой кости кровоснабжаемым костным трансплантантом малоберцовой кости со здоровой ноги. Но есть одна проблема- у нас нет операционного микроскопа, а выполнить эту операцию без него не возможно. Когда я был на учёбе в Минске, присутствовал на операции по замещению дефекта костей предплечья, кровоснабжаемым трансплантантом малоберцовой кости, операция длилась с 9.00 до 17.00, естественно требует высокой квалификации хирурга. Мы возможно попытаемся отправить этого больного на операцию в Минск, но как показывает практика у них довольно большой лист ожидания, отделение микрохирургии одно в республике, а проблемных пациентов довольно много, загруженность врачей большая, кроме того у них идёт большой поток косметических операций, так как больнице надо зарабатывать деньги.
Что касается пересадок некровоснабжаемых консервированных костей, столь любимыми онкологами, то как говорится всякая методика хороша в исполнении автора. Мой коллега, ассистент кафедры травматологии, рассказывал, что в НИИ травматологии и ортопедии в Минске, так же широко практикавали данную методу, но отдалённые результаты были плачевными. Я сам видел лет 10 назад женщину с тяжёлым остеомиелитом после такой операции.Один мой знакомый, работал ранее в микрохирургии, сейчас в онкологии, пишет кандидатскую по лечению остеомиелитов, так же наблюдал негативные результаты этого метода. Ведь кость, как и всякий орган в организме требует кровоснабжения. А если кровообращение на фоне воспалительного процесса в восприниающем ложе уже как правило нарушено, то думаю приживление такого трансплантанта сомнительно.
В настоящее время целостность мягких тканей голени полностью восстановлена, кожные лоскуты на мышце розовые фиксированные, раны закрыты на 100%, больной активен, ходит на костылях с дозированной нагрузкой на ногу в аппарате. Планируем выписать его на месяц по месту жительства. И если не получится с Минском, сделаем ему как и планнировали что-то вроде операции Гана-Кодивилла-Геттингтона. Пациент заранее настроен на длительное лечение в аппарате Иллизарова, уже хорошо адаптирован,оптимистичен и пока очень доволен результатами, отмечает значительное улучшение самочувствия. В приложении высылаю фотографии рентгенограм до и после операции.
С уважением, Цветков Евгений.
|
|
|
Ответить
|
Re: Тяжёлая травма голени, остеомиелит
Alexander Chelnokov 11 Июль 2009, 19:09
|
> Абсолютно согласен с мнением коллег, что наиболее оптимальным
> решением является замещение дефекта большеберцовой кости
> кровоснабжаемым костным трансплантантом малоберцовой кости со
> здоровой ноги.
А среди каких других рассматриваемых решений этот вариант представляется оптимальным?
Этот вариант малопривлекателен по меньшей мере тем, что результат в виде полностью опороспособной конечности будет достигнут этак через год-два-три.
Чем хуже сегментарный транспорт на двух уровнях? Да с последующим закрытым интрамедуллярным остеосинтезом. Сроки будут во много раз короче.
Или замещение дефекта кейджем плюс опять блокированный стержень. Это позволит бросить костыли вообще через несколько недель. И функция
голеностопного сустава практически не пострадает.
|
[
Ответить ]
|
Re: Тяжёлая травма голени, остеомиелит
Отправитель: Евгений Цветков 12 Июль 2009, 13:51
|
Вариант сегментарного транспорта на двух уровнях с применением аппарата Иллизарова нами расматривался, но в данном случае мы имеем дело с циркулярным дефектом большеберцовой кости величиной 17 см. Метод Иллизарова является эфективным при дефектах большеберцовой кости до 6-8 см. при удовлетворительном состоянии мягких тканей в очаге поражения. По данным Шатило А.В. после первых 8 см дистракции сроки созревания 1 см. регенерата большеберцовой кости и общее время фиксации конечности заметно возрастает( на 25-30%) среднее время пребывания в аппарате пациентов с дефектом кости 16-20 см составляет около 13 месяцев.
Метод трудоёмок, больной должен постоянно находиться под наблюдением для поддержания аппарата в правильном состоянии. Режим дистракции 1 мм в сутки в 4-5 приёмов в верхней трети голени, и 0.5-0.75 мм в сутки в нижней трети. Я думаю, что вряд ли администрация больницы доброжелательно отнесётся к такому койкодню, а на районе тоже маловероятно этим кто-то займётся. Кроме того психологически для пациента тяжело провести столько времени в больнице, проще ходить в аппарате дома.
Натяжение тканевых структур разной плотности и эластичности в ходе дистракции ухудшает проходимость микроциркуляторного русла, дополнительное пересечение большеберцовой кости приводит к прекращеню венозного дренажа через сосуды костно-мозгового пространства- всё это приводит к длительному отёку голени и стопы.
Чем больше длина регенерата, тем больше вероятность его деформации.
В ходе дистракции идёт сдавление мягких тканей спицами с развитием изменений сначала в подкожной клетчатке, затем на коже, часты гнойные осложнения, неизбежны склеротические изменения вокруг спиц. Часто требуется перемонтировка аппарата, иногда повторные операции. В 100% случаев развивается контрактура голеностопного сустава за счёт блокировки спицами кинематических цепей.
Всё это заставило нас отказаться от этого варианта лечения.
Что касается замещения дефекта кейджем, то такой вариант почему-то наши травматологи даже и не предложили, наверное нет опыта таких операций. Может Вы просветите меня, а я потом их, что за чудо метода такая, что за пару недель человек на ноги становится. Буду Вам очень благодарен.
С уважением , Цветков Евгений.
|
[
Ответить ]
|
Re: Тяжёлая травма голени, остеомиелит
Отправитель: Alexander Chelnokov 14 Июль 2009, 22:20
|
> 17 см. Метод Иллизарова является эфективным при дефектах
> большеберцовой кости до 6-8 см. при удовлетворительном состоянии
> мягких тканей в очаге поражения.
Насчет 6-8 см - это сильно заниженная оценка, дефекты можно замещать практически любые.
> фиксации конечности заметно возрастает( на 25-30%) среднее время
> пребывания в аппарате пациентов с дефектом кости 16-20 см
> составляет около 13 месяцев.
А зачем все время в аппарате пациента держать? Вчера гайки последний раз повернули, сегодня аппарата уже нет - внутрикостный стержень все
удерживает.
> администрация больницы доброжелательно отнесётся к такому койкодню,
> а на районе тоже маловероятно этим кто-то займётся. Кроме того
В больнице пациенту надо быть периоперационный период, и появляться на контроль раз в 10-15 дней.
Безусловно, есть масса нюансов техники работы с аппаратом, и инфекцию надо учитывать, и состояние тканей. В эти детали нужно будет углубиться ближе к делу.
> Всё это заставило нас отказаться от этого варианта лечения.
Стоило бы все взвесить еще раз, с учетом сегодняших представлений, а не 15-летней давности.
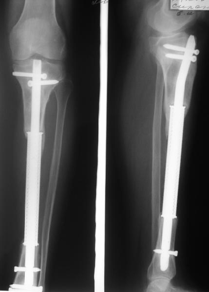
Вариант с перемещением малоберцовой тоже жизнеспособен, только внутрикостный стержень там не очень понятно, как лучше пристроить.
Что касается замещения дефекта кейджем, то такой вариант почему-то

В приложении рентгенограмма через год после операции.
|
[
Ответить ]
|
Re: Тяжёлая травма голени, остеомиелит
Отправитель: Коваленко А.Н. 29 Июль 2009, 22:56
|
Сколько лет прослужит кейдж со штифтом? Ведь это металл и подвержен усталостным деформациям. Возможно проблемы начнуться раньше. Например на верхней границе контакта кейджа и кости уже сейчас можно отметить резорбцию. Или проблемы решатся по мере поступления и какие на Ваш взгляд можно ожидать?
|
[
Ответить ]
|
|
( Ответить )
|
|