Ответить
|
Re: AVN of femoral head and fracture of the pelvis.
Пивень Игорь 17 Ноябрь 2009, 19:50
|
Если говорить о предложенной тактике, то вначале эндопротезирование. Истинное укорочение не большое, около 1-1,5см. Остальное кажущееся за счет приводящей контрактуры. Поскольку пациентка молодая предпочтительно циркониевая (розовая)керамика. Может быть еще укорочение за счет неправильно сросшегося перелома костей таза. На рентгенограммах это не совсем понятно. С уважением. И.Пивень
|
[
Ответить ]
|
Re: AVN of femoral head and fracture of the pelvis.
Отправитель: Рунков А.В. 17 Ноябрь 2009, 22:19
|
Привет всем. Укорочение за счет таза не менее 3см.
В задних отделах таза ничего не изменилось (см снимок в аппарате). Картинка кажется лучше за счет оссификата в седалищной вырезке от задней колонны к кп сочленению.
Для уточнения истиной картины неплохо бы кт или хотя бы inlet и outlet.
Девочка молодая, может имеет смысл поправить сначала таз.
РАВ
|
[
Ответить ]
|
|
Re: AVN of femoral head and fracture of the pelvis.
Maxim Agalakov 17 Ноябрь 2009, 20:21
|
согласен с И.М. Пивнем, эндопротезирование, основная часть укорочения за счет контрактуры, м/б сантиметра 2 за счет таза, ну будет еще один high hip center/
|
[
Ответить ]
|
Re: AVN of femoral head and fracture of the pelvis.
Отправитель: Алексей Гринь 17 Ноябрь 2009, 23:06
|
Согласен с Рунковым. Девочка молодая. Имеется ассиметричное расположение вертлужных впадин в прямой проекции. Так как повреждение таза было вертикально-нестабильное, вероятно имеется так же ассиметрия в передне-заднем направлении. Конечно протезом можно компенсировать имеющееся укорочение, но ассиметрично расположенные тазобедренные суставы приведут к нарушению двигательного стереотипа, нарушение походки, остеохондроз и т.д.
С уважение А.Гринь.
|
[
Ответить ]
|
Re: AVN of femoral head and fracture of the pelvis.
Отправитель: Maxim Agalakov 18 Ноябрь 2009, 21:33
|

До сих пор идут большие дискуссии по поводу высокого центра ротации и единого мнения, насколько я знаю, нет. Компенсация длины, рычагов ягодичных мышц и т.д., а уж при вертикальном смещении таза,влияние его на последующее эндопротезирование просто не узнать (слишком мало наблюдений и много факторов, влияющих на конечный результат). Фото лишний раз подтверждают, укорочение за счет контрактуры.
|
[
Ответить ]
|
Re: AVN of femoral head and fracture of the pelvis.
Отправитель: Рунков А.В. 18 Ноябрь 2009, 22:22
|

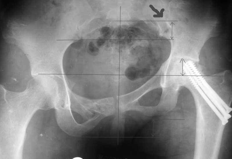
Привет, Макс. Не торопись, посмотри внимательно на истинную картину. Толстая стрелка указывает на нижний край смещенного кп сочленения.
Поэтому считаю, что Принять какое-либо решение без кт и дополнительных проекций неразумно.
РАВ
|
[
Ответить ]
|
Re: AVN of femoral head and fracture of the pelvis.
Отправитель: Maxim Agalakov 19 Ноябрь 2009, 02:52
|
разговоров нет, смещение значимое, какое оно было, такое и осталось. Будут проблемы и с сидением и с осанкой и т.д. Идеальным вариантом было бы, конечно, исправить деформацию, а потом запротезировать. Но... цена вопроса. сейчас деформация, судя по костной мозоли, стабильная, и таз несет основную свою функцию - опорную, явно КПС не болит. Превратить стабильную деформацию в нестабильную и потом ее исправить - задача непростая, но выполнимая. Оперативное лечение будет сложное, скорее всего многоэтапное и длительное. С определенными рисками, общехирургическими и специфическими, например несращение зоны остеотомий - нестабильный таз, ризидуальное смещение (в пределах 1 см вполне вероятно). Если считать, что на тазе укорочение см 3, остальные 5. все-таки сгибательно-приводящая контрактура. На протезе от контрактуры можно избавиться, да и см 2 удлинить за счет опила, головки. В такой ситуации решение должна принять пациентка и оно должно быть действительно информированным.
|
[
Ответить ]
|
|
Re: AVN of femoral head and fracture of the pelvis.
Салимов Руслан 18 Ноябрь 2009, 02:09
|
Все-таки основное укорочение за счет таза-смещение дна вертлужной впадины вверх порядка 3 см., плюс разворот, дающий приводящую контрактуру и укорочение еще 3-4 см.
Давайте обсудим варианты остеотомии таза: что реально можно выполнить на сроке 1,5 года, на сколько травматично и результативно будет подобное вмешательство. Может у кого-то есть опыт. У нас он отрицательный.
|
[
Ответить ]
|
Re: AVN of femoral head and fracture of the pelvis.
Отправитель: Рунков А.В. 19 Ноябрь 2009, 16:28
|
Приветствую! Положительный опыт есть. Первая попавшаяся презентация с похожим сращением.
Многое зависит от деталей видимых после кт и др проекций.
РАВ
Презентация1.ppt
200KB (204800 bytes)
|
[
Ответить ]
|
Re: AVN of femoral head and fracture of the pelvis.
Отправитель: Maxim Agalakov 19 Ноябрь 2009, 21:41
|
есть и отрицательный опыт, кстати о резидуальном смещении?
|
[
Ответить ]
|
Re: AVN of femoral head and fracture of the pelvis.
Отправитель: Рунков А.В. 19 Ноябрь 2009, 22:09
|
Макс, это ты про кого?...
|
[
Ответить ]
|
Re: AVN of femoral head and fracture of the pelvis.
Отправитель: Максим Агалаков 22 Ноябрь 2009, 02:11
|
не про кого-то конкретно, просто есть же и не очень хорошие результаты с остаточным смещением
|
[
Ответить ]
|
|
Re: AVN of femoral head and fracture of the pelvis.
Женя 18 Ноябрь 2009, 04:37
|
Д-р С.Гильфанов из ЯрГМА имеет определенный опыт в оперативном лечении подобных тазов. Винты в шейке деформированы - тут-то консолидация есть?
|
[
Ответить ]
|
Re: AVN of femoral head and fracture of the pelvis.
Отправитель: Женя 18 Ноябрь 2009, 04:52
|
PS. Тут-же и наткнулся - http://www.synthes.com/html/uploads/media/2009_no.1.pdf
|
[
Ответить ]
|
|
Re: AVN of femoral head and fracture of the pelvis.
Леонид Пак 18 Ноябрь 2009, 14:48
|
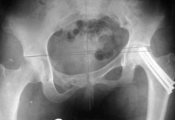
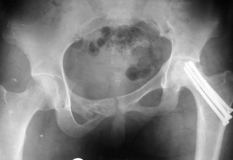
Представленный случай - перелом таза типа С сросшийся со смещением. Укорочение будет не менее 4 см ( Р- гр в краниальной проекции покажет это). Начинать надо с таза.
С уважением Леонид Пак
|
[
Ответить ]
|
Re: AVN of femoral head and fracture of the pelvis.
Атом Тер-Григорян 19 Ноябрь 2009, 07:44
|
Доброго времени суток. Согласен с предыдущими авторами, что необходимы стандартные проекции рентгенограмм и КТ (желательно с 3D). Обратите внимание, что рентгенограммы получились с небольшим поворотом вправо (по естественным причинам) и косо. Последнее можно скорректировать поворотом изображения по часовой стрелке на 2,6 градусов (для большей наглядности).
Вероятнее всего, что укорочение конечности за счет таза составит не более 3 см.,
Это хорошо видно на прилагаемой картине
Вы пишите:
Давайте обсудим варианты остеотомии таза...
Может у кого-то есть опыт. У нас он отрицательный.
Если таз (если уж делать)- то рубить и КПС и лонную кость, так как, левый гемипелвис больше ушел кзади, чем краниально. Одномоментно, или же поэтапно с наложением АВФ - кто чем лучше владеет. Риск кровотечения из верхней ягодичной артерии существует как в первом, так и во втором случае. (Не помешало бы и КТ с контрастированием).
Окончательный объем вмешательства будет ясен после КТ. А,пока,
Идти на таз или нет ради 2 с копейками сантиметров при "отрицателном" опыте?
forum.jpg
53KB (54477 bytes)
|
[
Ответить ]
|
Re: AVN of femoral head and fracture of the pelvis.
Djoldas Kuldjanov 19 Ноябрь 2009, 16:00
|
Через год стала ходить без палочки С марта 2009 года стала замечать укорочение левой нижней конечности
Запоздалое укорочение означает смещение вверх или отсутствия сращения в крестцово-подвздошном сочленении. Поэтому требуются стандартные снимки тазового кольца и Компьютерные Томографические исследования с возможностью 3Д реконструкции.
По первым снимкам имеется сложная травма с переломом ацетабулума (видна линия перелома в задней колонне) и таза с ипсилатеральным переломом шейки. Не удалось репонировать крестцово-подвздошное сочленение, и смещение с ротацией осталось, особенно в верхней ветви лонной кости. Клинические снимки подтверждают остаточную деформацию и укорочение конечности за счет таза.
Ипсилатеральные переломы ацетабулума и шейки бедра в большинстве случаев приводят к аваскулярному некрозу головки.
Коллеги из Екатеринбурга неоднократно показали успешное применения аппаратов внешней фиксации для окончательного лечения переломов таза. Бесспорно, этот метод незаменимый для закрытой репозиции и временной фиксации, но не создает удобства больным, и не создает адекватную механическую жесткость. Поэтому предпочтительным считаю один из традиционных вариантов фиксации, каннюлированные шурупы или "задная балка пластина", которая намного лучше переносится больными, чем громоздкий аппарат.
Больная слишком молодая и навряд ли удовлетворится “кособокостью” на всю жизнь. Также не уверен, что альтернативные операции типа удлинения на протезе или на голени улучшит качество ее жизни.
В зависимости от данных дополнительных исследований можно предложить операцию - создание опороспобного таза из двух этапов. Остеотомия таза слева через задний доступ на уровне крестцово-подвздошного сочленения и через передний доступ справа на уровне верхней и нижних ветвей лонной кости.
Неплохо было бы провести одномоментную репозицию и фиксацию, но после таких операции благодаря "мягкотканой памяти формы" очень часты осложнении - несостоятельность конструкции.
Двухэтапный вариант имеет преимущества, когда мягкие ткани адаптируются постепенно с помощью того же аппарата внешней фиксации таз-бедро или на скелетном вытяжении.
После достижения желаемого низведения фиксировать "пластиной балкой" сзади, и спереди реконструктивной длинной пластиной, включая симфиз.
При невозможности решить восстановление на месте всегда имеются варианты перевода в специализированный центр в пределах региона или страны.
Djoldas Kuldjanov, MD
Department of Orthopedic Surgery
St. Louis University Medical Center
|
[
Ответить ]
|
Re: AVN of femoral head and fracture of the pelvis.
Отправитель: Maxim Agalakov 19 Ноябрь 2009, 22:18
|
>Запоздалое укорочение означает смещение вверх или отсутствия сращения в крестцово-подвздошном сочленении.
- совсем не обязательно, смещение что на первых, что на последних снимках не отличается. Просто начала "умирать" головка бедра, формироваться контрактура.
>создание опороспобного таза
-думаю, что таз сейчас вполне опороспособен, учитывая размеры мозоли
>Поэтому предпочтительным считаю один из традиционных вариантов фиксации, каннюлированные шурупы или "задная балка пластина", которая намного лучше переносится больными, чем громоздкий аппарат.
- здесь, мне кажется проблема не в способах фиксации, а в возможности репозиции
|
[
Ответить ]
|
Re: AVN of femoral head and fracture of the pelvis.
Отправитель: Рунков А.В. 19 Ноябрь 2009, 23:45
|
Макс, именно для определения возможности репозиции и ее "цены" нужно дообследовать пациентку. И только потом принимать окончательное решение.
|
[
Ответить ]
|
Re: AVN of femoral head and fracture of the pelvis.
Отправитель: Рунков А.В. 19 Ноябрь 2009, 23:14
|
Привет!!! Спасибо за развернутый ответ. Что касается удобства в аппарате - для Нас это лишь средство репозиции, неизбежное, как при значительном удлинении конечности. Всегда ищем способ надежной окончательной вутренней фиксации после окончания коррекции, чтобы не допустить потери репозиции.
Кстати, есть ли статистика выживаемости протезов в зависимости от расположения центра вращения, удлинения конечности и т.д.?
РАВ
|
[
Ответить ]
|
Re: AVN of femoral head and fracture of the pelvi
Отправитель: Maxim Agalakov 20 Ноябрь 2009, 15:23
|
статистика есть и она противоречивая
|
[
Ответить ]
|
|
Re: AVN of femoral head and fracture of the pelvis.
Алексей Гринь 22 Ноябрь 2009, 17:46
|
Уважаемый Салимов Руслан. Обсуждение Вашего вопроса продолжается 5 дней, а от Вас нет ни какакой дополнительной информации. Что Вы все-таки решили делать?
1. дообследовать пациентку, как рекомендует большинство участников обсуждения. Если да, то с нетерпением ждем результатов;
2. или все-таки решили сразу протезирозировать...
|
[
Ответить ]
|
Re: AVN of femoral head and fracture of the pelvis.
Отправитель: Салимов Руслан 22 Ноябрь 2009, 21:56
|
Добрый день. Спасибо всем за высказанные мнения. Согласен, что требуется дообследование пациенки.
В ближайшее время проведем РКТ таза. При появлении новых данных выложу их.
|
[
Ответить ]
|
|
( Ответить )
|
|