вверх
отправить
поиск
админ
главная
|
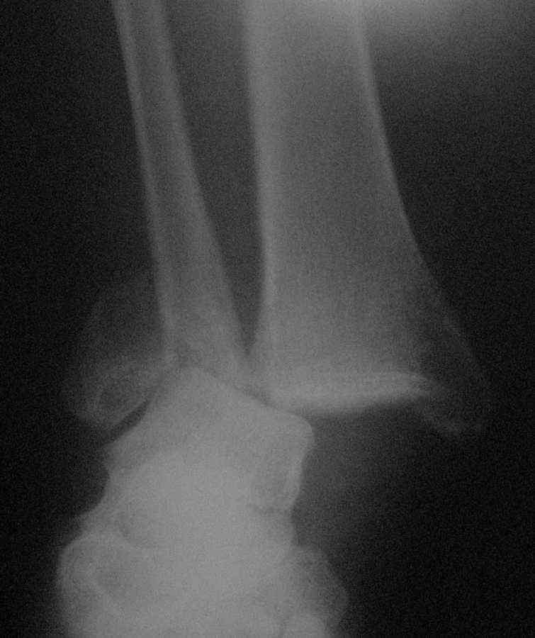
Застарелый перелом наружной лодыжки, разрыв дельтовидной связки, задне-наружный вывих стопы. |
 |
 |
 |
Отправлено Евгений Данилов 19 Ноябрь 2009, 21:17 ГБ № 38 Пушкин Спб
Сегодня, 19.11.09. поступила больная 37 лет с представленной рентгеновской картиной. Анамнез травмы и заболевания следующий: 2.10.09 больная была направлена в приёмный покой с Дз: закрытый перелом наружной лодыжки со смещением отломков. Больной при поступлении выполнена закрытая репозиция, гипсовая иммобилизация U-образной лонгетой, госпитализирована. На следующие сутки больная самовольно покинула отделение. Со слов больной - лечилась дома самостоятельно, 15.11.09 вызвала хирурга на дом в связи с неприятным запахом из под гипса, на дому хирург снял гипс, были отмечены нагноившиеся пролежни циркулярно по задне-наружному краю стопы. Гипс был снят, проводилось местное лечение хирургом на дому. Больная не пользовалась костылями, наступала на травмированную конечность. После заживления ран направлена хирургом с Диагнозом: двухлодыжечный перелом правой голени. Дополнения к анамнезу: посттравматическая энцефалопатия, органическое заболевание головного мозга, хронический гепатит "С". Ожирение. Предложены следующие тактики лечения: 1. низведение стопы аппаратом. 2. артродезирование с использованием аутотрансплантата,металлофиксация. 3 длительная гипсовая иммобилизация. Либо одномоментное артродезирование с использованием БИОС( ЭОПа нет и не будет, Гвоздь....б\у) Просим высказать ваше мнения и предложения.
<
|
>
|
|
Ответить
|
Re: Застарелый перелом наружной лодыжки, разрыв дельтовидной связки, задне-наружный вывих стопы.
Дедок Михаил 21 Ноябрь 2009, 03:43
|
> посттравматическая энцефалопатия, органическое заболевание головного мозга
не надо делать умные операции (извините) дуракам!
> больная самовольно покинула отделение
не факт, что не покинет снова
У подобных пациентом есть "замечательное" свойство "притягивать" осложнения.
Если и решаться на что- то, то это одномоментный артродез. Не используйте внешние фиксаторы.
У нас из отделения ушел больной и ГОД бомжевал с аппаратом Илизарова (потом привезла "скорая" с отморожением и переохлаждением). Некоторые с аппаратом купались в пруду (так же покинув отделение самовольно) А при трансартикулярной чрезкожной фиксации спицами- они ходят с полной нагрузкой и в итоге гнойный остеоартрит.
С точки зрения деонтологии надо лечить. Но по моему пусть ходит дальше. ОНА УЖЕ ХОДИТ и будет ходить.
Удачи!
|
[
Ответить ]
|
Re: Застарелый перелом наружной лодыжки, разрыв дельтовидной связки, задне-наружный вывих стопы.
Danil Bliznets 21 Ноябрь 2009, 11:32
|
1) Вторую бы проекцию посмотреть.
2) Учитывая сроки после травмы, некооперативность пациентки всё можно сделать одномоментно и стабильно.
3) Раз нет ЭОПа - сразу делать открыто.
4) Первый доступ - медиальный - для релиза полости сустава и ревизизии, это позволит оценить состояние суставной поверхности, если оно неудовлетворительное - можно будет сразу перейти к артродезу.
5) Если суставной хрящ не сильно повреждён и выглядит жизнеспособным - реконструктивная операция.
6) В этом случае предпочтительна фиксация наружной лодыжки интрамедуллярным стержнем с блокированием, что позволит сразу нагружать оперированную ногу. Без ЭОПа, правда, не сделать проксимальное блокирование, следовательно, не удержать длину. Как вариант - пластина с угловой стабильностью.
5) Возможно придётся замещать дефект наружной лодыжки, в этом случае - опять же - стержень даст большую стабильность.
6) Так как имеется полное повреждение дельтовидной связки - хорошо бы выполнить её шов или, учитывая сроки, - пластику.
7) Судя по уровню перелома связки синдесмоза частично целы, то есть при восстановлении целостности наружной лодыжки состоятельность синдесмоза скорее всего будет восстановлена, но если интраоперационно будет определяться подвижность - можно фиксировать синдесмоз позиционным винтом через или мимо гвоздя в зависимости от конструкции стержня.
|
[
Ответить ]
|
Re: Застарелый перелом наружной лодыжки, разрыв дельтовидной связки, задне-наружный вывих стопы.
Отправитель: Евгений Данилов 21 Ноябрь 2009, 15:05
|
Спасибо за хороший комментарий, но есть несколько НО! Больная не способна соблюдать адекватно длительное время рекомендации в послеоперационном периоде. Также заживление больших п\о ран довольно проблематично, учитывая сопутствующую патологию. Далее мы исходим, к сожалению, из средств ОМС и того, что есть в "запасе"....блок.стержней для малоберцовой кости нет, можно заменить только стержнями Богданова. И ещё крайне велик риск посттравматического деф. артроза. Мне кажется, что для больной и для нас, качественнее и проще выполнить компрессирующий артродез с использованием БИОС. На данный момент выполнены следующие мероприятия: Под СМА наложена скоба за пяточную кость, выполнена тракция по оси грузом 35 кг с ручный вправлением вывиха и трансартикулярной фиксацией спицами. После чего выполнен синтез наружной лодыжки стержнем Богданова. Рентгенограммы выложу попозже.
С уважением Е.Данилов.
|
[
Ответить ]
|
Re: Застарелый перелом наружной лодыжки, разрыв дельтовидной связки, задне-наружный вывих стопы.
Отправитель: Danil Bliznets 22 Ноябрь 2009, 23:19
|
Артродез - это та же самая "большая п\о рана", учитывая необходимость уничтожения суставного хряща в этом случае. В чём разница? Почему Вы предпочтитаете артродез реконструктивной операции? Стабильная фиксация интраоперационно + возможно циркулярная гипсовая повязка со стременем в течение месяца послеоперационно, как в старинных книжках рисуют - чем хуже?
|
[
Ответить ]
|
|
Re: Застарелый перелом наружной лодыжки, разрыв дельтовидной связки, задне-наружный вывих стопы.
Евгений Данилов 21 Ноябрь 2009, 14:24
|
извините, вот вторая проекция
PB190054.JPG
336KB (345020 bytes)
|
[
Ответить ]
|
Re: Застарелый перелом наружной лодыжки, разрыв дельтовидной связки, задне-наружный вывих стопы.
Андрей Мелешкин 21 Ноябрь 2009, 16:03
|
С учетом анамнеза - операция - дело очень рисковое. Пациентка может все испортить. Кожа на голеностопе врятли готова для операции, отек думаю тоже немалый (фото г\стопа хотелось бы посмотреть). Если это свежие снимки, как вариант попробывать под наркозом отрепонировать и подвесить на скелетное вытяжение (можно даже добавить трансартикулярно спицами). Если сдвинется и больная вылежит сроки - даст хороший план :).
|
[
Ответить ]
|
Re: Застарелый перелом наружной лодыжки, разрыв дельтовидной связки, задне-наружный вывих стопы.
Андрей Мелешкин 21 Ноябрь 2009, 16:03
|
С учетом анамнеза - операция - дело очень рисковое. Пациентка может все испортить. Кожа на голеностопе врятли готова для операции, отек думаю тоже немалый (фото г\стопа хотелось бы посмотреть). Если это свежие снимки, как вариант попробывать под наркозом отрепонировать и подвесить на скелетное вытяжение (можно даже добавить трансартикулярно спицами). Если сдвинется и больная вылежит сроки - даст хороший план :).
|
[
Ответить ]
|
Re: Застарелый перелом наружной лодыжки, разрыв дельтовидной связки, задне-наружный вывих стопы.
Юрий Р. 21 Ноябрь 2009, 17:56
|
"Не делай дуракам умных операций",- В.Д. Чаклин
|
[
Ответить ]
|
Re: Застарелый перелом наружной лодыжки, разрыв дельтовидной связки, задне-наружный вывих стопы.
Отправитель: Дмитрий 21 Ноябрь 2009, 18:29
|
Абсолютно согласен с коллегами, которые считают также. Пациентка сделала свой выбор + сопутствующая патология.
Успехов Вам коллега!
|
[
Ответить ]
|
Re: Застарелый перелом наружной лодыжки, разрыв дельтовидной связки, задне-наружный вывих стопы.
Отправитель: Danil Bliznets 22 Ноябрь 2009, 23:11
|
А мы лечим и таких пациентов. Просто для них нужно выбирать дуракоустойчивые операции.
|
[
Ответить ]
|
|
Re: Застарелый перелом наружной лодыжки, разрыв дельтовидной связки, задне-наружный вывих стопы.
Виталий 06 Декабрь 2009, 04:52
|
Почему бы не поставить больной болт-стяжку и длительную 3-4 месяца гипсовую иммобилизацию
(Помоему самый дурако-устойчивый способ, если хотите что бы не наступала поставьте одну спицу через пяточную кость в плоть до трансартикулярной фиксации через г/стопный сустав
|
[
Ответить ]
|
Re: Застарелый перелом наружной лодыжки, разрыв дельтовидной связки, задне-наружный вывих стопы.
Александр Белоконь 10 Декабрь 2009, 04:02
|
Около 2-х лет назад столкнулся с подобным случаем. Только возраст пациентки был около 60 лет, а вместо органического заболевания головного мозга - хронический алкоголизм. Перелом такой же. Первичное обращение больной было примерно через месяц после травмы. Первая операция - устранение подвывиха и низведение стопы аппаратом. После операции была выписана в удовлетворительном состоянии на амбулаторное лечение. Через 3 недели после очередного запоя со сломанным аппаратом повторная госпитализация. Вторая операция - открытая репозиция наружной лодыжки, экстракортикальный остеосинтез в сочетании с аппаратом внешней фиксации. На рентген-контроле вывих устранен, стояние отломков удовлетворительное. После заживления раны и снятия швов выписана на амбулаторное лечение. Третья госпитализация после повторной травмы (опять после запоя) через 2 недели после последней выписки. На контрольной рентгенограмме - подвывих стопы, сгибание пластины. Родственики больной на следующий день после госпитализации забирают больную в другую больницу, где удаляют пластину и аппарат. Через 6 недель больная в четвертый раз госпитализируется в отделение с выпиской из другой больницы: неправильно сросшийся перелом наружной лодыжки, подвывих стопы кнаружи, мумификация наружной лодыжки. Итог всего лечения: больная может самостоятельно передвигаться без помощи подручных средств, хромает, металлоконструкции все удалены, периодически (было один раз - примерно через 8 месяцев)окрывается свищ в области наружной лодыжки, который после консервативного лечения закрылся через 7-10 дней. На последней рентгенограмме - имеется подвывих примерно на 3-4 мм., перелом наружной лодыжки - консолидированный. Дальнейшая судьба ее неизвестна.
Учитывая имеющийся опыт и работу в системе ОМС, больше склоняюсь к экстракортикальному остеосинтезу и окончатой гипсовой повязке с каблучком.
С уважением Александр Белоконь.
|
[
Ответить ]
|
( Ответить )
|
|