Ответить
|
Re: Перелом бедренной кости
Михаил Васильев 09 Декабрь 2009, 22:16
|
Доброго времени суток.
Судя по снимку линии перелома на дистальном отломке распространаяются вплоть до сустава. Как вариант, стабилизировать отломки аппаратом внешней фиксации (модификация на выбор), компрессия по зоне перелома, а далее, по ходу лечения ран, возможно одномоментное восстановление недостающей длины конечности. В частности после заживления рана в проекции перелома, можно вернуться к вопросу о БИОС. Старые проверенные методы тоже имеют право на жизнь. С уважением Михаил.
|
[
Ответить ]
|
Re: Перелом бедренной кости
Иван Куликов 09 Декабрь 2009, 22:38
|
Сложно! По рентгенограммам действительно можно предположить дефект и он довольно значительный. стабилизировать надо. аппарат внешней фиксации- может быть и так. БИОС опасность нагноения и тд. в любом случае это укорочение (на данный момент) взять такой объем аутотрансплантанта Вы не сможете, да и на открытый перелом. прошло всего трое суток это высокоэнергитическая травма. кроме указанных Вами переломов наверное еще что-нибудь есть. я бы наверное подержал на скелетном до заживления раны, в случае per prima конечно, а затем БИОС с укорочением в случае большого дефекта. стягивание мыщелков однозначно прийдется, так как линия перелома повидимому проходит и через них тоже затем в случае выраженного укорочения транспорт кости с остеотомией проксимально.
Хотелось бы почитать мнение Челнокова.
|
[
Ответить ]
|
Re: Перелом бедренной кости
Отправитель: Alexander Chelnokov 10 Декабрь 2009, 02:00
|
Для конкретного плана мало информации. Что там за рана, какие размеры дефекта, как общее состояние, каковы местные возможности...
В принципе, можно временно фиксировать и аппаратом, и стержнем. Движения чтобы пораньше начать. Мы бы сделали антеградно, можно гвоздь с антибактериальным покрытием. А через 2-3 мес., если нет признаков костеобразования в зоне дефекта (а такое не редкость) можно планировать реконструктивную операцию. Вариантов много.
|
[
Ответить ]
|
Re: Перелом бедренной кости
Отправитель: Николов Олег 10 Декабрь 2009, 02:23
|
Информация для плана. Про рану - как и писал 5см, поперечно, чуть проксимальнее верхнего полюса надколенника, заживает без признаков воспаления. Общее состояние больной удовлетворительное. Местные возможности без существенных ограничений.
С уважением Николов О.В.
|
[
Ответить ]
|
|
Re: Перелом бедренной кости
Alexander Chelnokov 10 Декабрь 2009, 01:54
|
> Создается впечатление о дефиците
> костной ткани,
Планировать надо на основе измерений, а не впечатлений.
Надо сделать рентгенограммы с центрацией на суставные концы и симметричного, и поврежденного сегментов с рентгеноконтрастной линейкой или ориентирами, чтобы точно знать длину дефекта.
|
[
Ответить ]
|
Re: Перелом бедренной кости
Евгений 10 Декабрь 2009, 09:28
|
Уважаемый коллеги! Если внимательно проследить линию перелома проксимального отломка бедра и линию перелома дистального отломка по латеральной поверхности, то они конгруэнтны. В связи с этим возникает сомнение в наличие дефекта кости. Нужны более обширные рентгенограммы с захватом тазобедренного сустава и сравнение длины конечности. В любом случае, если предполагаете ретроградно БИОС,бедренный канал Вам нужно визуализировать, что бы на встретить "интересного клинического случая". А метод синтеза - тот которым располагаете и лучше владеете. Открытый перелом без явного инфицирования не противопоказание для погружного остеосинтеза. Можно вести и в АВФ.
|
[
Ответить ]
|
Re: Перелом бедренной кости
белоконь Александр 10 Декабрь 2009, 17:08
|
01.12.09г. оперировал больного с подобной травмой в ЦРБ на 4-е сутки после ДТП. Перелом открытый - рана находилась медиально чуть выше надколенника длиной примерно 3-4 см. До этого при поступлении было выполнено ПХО раны и скелетное вытяжение. На момент операции рана без признаков воспаления, состояние больного удовлетворительное.На первичных снимках перелом А3. На операции оказалось С3. Перелом фиксирован мыщелковой пластиной. Для репозиции понадобился медиальный доступ. Медиальный блок дополнен костно-губчатым аутотрансплантатом. На сегодняшний день раны заживают первично, швы еще не сняты, температура тела нормальная, отек бедра значительно уменьшился, имеется анемия средней степени, проводится ЛФК. Фото досылаю

|
[
Ответить ]
|
Re: Перелом бедренной кости
Отправитель: Alexander Chelnokov 11 Декабрь 2009, 00:46
|
Спасибо за представленное наблюдение.
Чем остеосинтез аппаратом в этом конкретном случае был бы предпочтительнее - и менее инвазивно, и пластику бы не надо было делать, и ось можно было бы лучше контролировать, включая послеоперационный период. А сейчас варусный коллапс градусов 15, и для исправления оси потребуется отдельная операция...
Снимки лучше бы делать на большем протяжении.
|
[
Ответить ]
|
Re: Перелом бедренной кости
Отправитель: Maxim Agalakov 13 Декабрь 2009, 23:13
|
о дальнейшей тактике лечения можно думать после четких проекций: на надколенник, профиль, осевой снимок нижней конечности. patella baja, УВО - может чисто проекционное? В плане пластики, по-моему, рекомендовано уже у МЕМ.
|
[
Ответить ]
|
|
Re: Перелом бедренной кости
белоконь Александр 10 Декабрь 2009, 17:15
|
Впечатление о дефиците костной ткани может быть вызвано перерастяжением на скелетке, - груз какой?
|
[
Ответить ]
|
Re: Перелом бедренной кости
Отправитель: Николов Олег 10 Декабрь 2009, 19:45
|
Нету перерастяжения. Груз 7кг. Сравнительные снимки бедер без вытяжения показывают дефект на полуокружность до 8см.
|
[
Ответить ]
|
|
Re: Перелом бедренной кости
VlaD 11 Декабрь 2009, 02:24
|
Здравствуйте уважаемые коллеги! Несколько слов по поводу предлагаемого для обсуждения случая.
Наличие или отсутствие дефицита костной ткани для остеосинтеза принципиального значения не имеет, поскольку выполнять одновременно с остеосинтезом костную пластику не рекомендуется. Принимать решение о применении костной пластики необходимо через 6-8 недель после выполнения рентгенограмм, на которых оценивается состояние процесса сращения. Принципиальное значение во время оперативного вмешательства имеет восстановление длины (!) повреждённой бедренной кости и устранение угловых и ротационной деформации. По всей вероятности перелом дистального эпиметафиза бедренной кости внутрисуставной, однако репозиции суставной поверхности бедренной кости не требуется, что намного упрощает задачу. Вне сомнения самый обоснованный метод фиксации это interlocking. Применение предлагаемого ретроградного блокированного стержня в данном конкретном случае вызывает глубокое сомнение (наличие раны в области надколенника, отсутствие возможности полноценно заблокировать ретроградный стержень в области мыщелков бедренной кости). Методом выбора должен стать антеградный закрытый блокированный остеосинтез.
Технические особенности оперативного вмешательства.
Стержень должен вводиться максимально глубоко вплоть до межмыщелковой ямки. Дистальное блокирование должно быть выполнено тремя винтами, причём принципиальное значение будут иметь два винта: самый дистальный во фронтальной плоскости и винт в сагиттальной плоскости. Значение блокирующего винта в сагиттальной плоскости в данном конкретном случае трудно переоценить.
Трудности, с которыми обычно сталкиваются по ходу оперативного вмешательства следующие. Первой является точное восстановление длины бедренной кости. Вторая это устранение передней угловой деформации из-за очень короткого дистального фрагмента. Если оперативное вмешательство выполняется на ортопедическом столе и в положении больного на спине, то спица для цуг-аппарата должна быть проведена только на 0,5 см глубже передней поверхности кортикального слоя и на 1 см проксимальнее верхнего полюса надколенника. Такое расположение спицы, закреплённой в дуге цуг-аппарата позволит при вытяжении по длине отломков одновременно вывести дистальный отломок из положения сгибания и, таким образом, устранить передний угол.
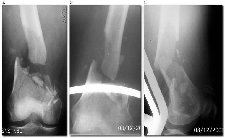
Для примера вложенный файл.
1. Открытый с дефектом кости 5 см оскольчатый внутрисуставной перелом дистального эпиметафиза бедренной кости. Величина дефекта установлена после сравнительных рентгенограмм обоих бёдер с линейкой. При поступлении выполнена ПХО раны, скелетное вытяжение за бугристость большеберцовой кости.
2. После долгих сомнений выполнена открытая репозиция перелома эпифиза бедренной кости, закрытый блокированный интрамедуллярный остеосинтез (к слову, оперативное вмешательство выполнено без применения ЭОПа). Предполагалась через 8 недель пластика костного дефекта спонгиозным аутотрансплантатом.
3. Снимок через 10 недель после операции. Имеется облаковидный регенерат. Решено от костной пластики воздержаться.

4. Через 6 месяцев имеем сросшийся перелом.
Безусловно, так бывает не всегда. Но, что касается показаний к костной пластике, такой вариант развития событий надо иметь ввиду.
|
[
Ответить ]
|
Re: Перелом бедренной кости
Отправитель: Alexander Chelnokov 11 Декабрь 2009, 09:33
|
Спасибо за прекрасную иллюстрацию оптимального варианта, можно поздравить всех причастных с замечательным результатом после непростой проблемы.
Напомню, что здесь лежит наша методичка про интрамедуллярный остеосинтез при дистальных переломах бедра. Проблема репозиции решается использованием простого спицевого дистрактора вместо тракционных столов и цуг-аппаратов. Ну и существуют разные стержни, которые позволяют вводить и большее число винтов.
|
[
Ответить ]
|
Re: Перелом бедренной кости
Отправитель: Савранский Александр 12 Декабрь 2009, 05:13
|
Какие основания утверждать, что остеосинтез нельзя совмещать с костной пластикой?
На мой взгляд в представленном случае одновременное проведение БИОС с пластикой на кейдже были бы менее авантюрным вариантом.
|
[
Ответить ]
|
Re: Перелом бедренной кости
Отправитель: Abdurashid 14 Декабрь 2009, 20:23
|
Уважаемый VlaD. Вы пишете "операция произведена без ЭОПа" можеть это глупый вопрос, но как Вы провели дистальные блокируюшие винты без ЭОПа?
С уважением Абдурашид.
|
[
Ответить ]
|
Re: Перелом бедренной кости
Отправитель: VlaD 15 Декабрь 2009, 18:46
|
Уважаемый коллега Abdurashid!
Я уже давно слежу за дискуссией, которая иногда разворачивается на ортофоруме по поводу возможности и даже допустимости метода interlocking без применения ЭОПа. Особенно сильное впечатление производят аргументы типа «остановитесь, не дуркуйте». Как мне кажется, при всех преимуществах применения ЭОПа, его достоинствах, он имеет один крупный недостаток. И это отнюдь ни его цена и не дозы радиоактивного облучения, которые получает операционная бригада и пациент. Этот аппарат отучает хирурга вникать в суть происходящего при БИОСе, искать закономерности присущие каждой операции блокированного остеосинтеза, и на их основе разработать строгую последовательность приёмов оперативного вмешательства с целью исключения незапланированного развития событий. Может быть, прозвучит нескромно, но десятилетний опыт и около тысячи операций без ЭОПа дают, как мне кажется, моральное право сделать такое заключение. И хотя несколько месяцев назад у нас появился ЭОП, мы ни разу его не использовали ни для дистального блокирования, ни в режиме прямой флюроскопии. Что касается самой процедуры дистального блокирования, то никакого секрета в этом нет. Мы выполняем его с помощью механического прицельного устройства собственной конструкции, которое позволяет безошибочно выполнять дистальное блокирование (наверное, в этом месте последуют снисходительные улыбки скептически настроенных коллег). Но место моей работы – обыкновенное, до предела загруженное работой ортопедотравматологическое отделение городской больницы. В бумажном и в электронном варианте ни подробного описания, ни методических рекомендаций по его применению у меня нет из-за катастрофической нехватки времени и желания этим заниматься. А описание его в двух словах никому пользы не принесёт.
|
[
Ответить ]
|
Re: Перелом бедренной кости
Отправитель: Alexander Chelnokov 19 Декабрь 2009, 02:50
|
Dear VlaD.
V> операционная бригада и пациент. Этот аппарат отучает хирурга
Технологии меняются, меняются и умения, навыки, необходимые для работы с ними. Тот навык, который необходим, появляется. А который стал не нужен, соответственно, отмирает.
V> около тысячи операций без ЭОПа дают, как мне кажется, моральное
V> право сделать такое заключение.
Вряд ли можно делать какие-то заключения по тому, опытом чего не располагаешь.
V> И хотя несколько месяцев назад у нас появился ЭОП, мы ни разу его
V> не использовали ни для дистального блокирования, ни в режиме
V> прямой флюроскопии.
Со временем привыкнете, освоитесь, и будете новое оборудование использовать на всю катушку.
V> процедуры дистального блокирования, то никакого секрета в этом нет.
V> Мы выполняем его с помощью механического прицельного устройства
V> собственной конструкции, которое позволяет безошибочно выполнять
Чтобы лучше представить, о чем речь, не могли бы Вы проиллюстрировать это описание несколькими фото из операционной?
V> дистальное блокирование (наверное, в этом месте последуют
V> снисходительные улыбки скептически настроенных коллег).
Приходится вводить не только 2 фронтальных винта, а больше, и в разных напрввлениях, и винты мимо гвоздя...
V> нехватки времени и желания этим заниматься. А описание его в двух
V> словах никому пользы не принесёт.
Полагаю, то, о чем Вы пишете, заслуживает быть представленным в виде докладов на конференциях, статей. Можно сделать и презентацию здесь, приложить к сообщению на форуме. Обсуждение в этом формате получается вполне полноценное, за годы это уже стало очевидно. Это может стать предварительным этапом к представлению Ваших решений в виде бумажных публикаций.
|
[
Ответить ]
|
|
Re: Перелом бедренной кости
Ерсин Жунусов 13 Декабрь 2009, 16:34
|
Уважаемый Александр Николаевич!Спасибо за методички Вам и г-ну Рункову. С уважением Ерсин Жунусов
|
[
Ответить ]
|
Re: Перелом бедренной кости
Отправитель: Alexander Chelnokov 13 Декабрь 2009, 19:04
|
Да на здоровье, на нашим месте так поступил бы каждый ;-)
Дорогие коллеги, нет желания свои разработки сделать доступными сообществу? Можно в т.ч. здесь выложить, места много.
|
[
Ответить ]
|
Re: Перелом бедренной кости
Отправитель: Илья 21 Декабрь 2009, 20:46
|

Отсутствие ЭОПа послужило стимулом для разработки,созданию метод. рекомендаций и внедрению всякого рода прицельно-навигационных устройств,мы с успехом используем данное устройство с имплантами Остеомед и Chm для личения переломов бедра и голени
|
[
Ответить ]
|
Re: Перелом бедренной кости
Отправитель: Alexander Chelnokov 21 Декабрь 2009, 23:19
|
по-моему, на каком-то митинге это устройство доводилось видеть. На конференциии "БИОС-2008" в Пущино не могло это быть?
|
[
Ответить ]
|
Re: Перелом бедренной кости
Отправитель: Илья 22 Декабрь 2009, 14:20
|
Нет,пару раз демонстрировалось на форуме при обсуждении подобных вопросов
|
[
Ответить ]
|
|
Re: Перелом бедренной кости
Валерий 13 Декабрь 2009, 19:00
|
На мой взгляд такого рода перелом необходимо вести на скелетном вытяжении, сопровождая антибактериальной терапией. Когда появиться уверенность в заживлении ран (10-14 дней), необходимо фиксировать отломки двумя пластинами с латеральной и меиальной стороны (с учето укорочения, если такое имеется).
|
[
Ответить ]
|
Re: Перелом бедренной кости
Александр А. 14 Декабрь 2009, 02:17
|
Уважаемый Валерий!
Доктор Николов написал, что существенных ограничений по возможностям нет, думаю наиболее оптимально рассмотреть вариант Влада, нечто подобное, только при ретроградном БИОСе докладывали на конференции "БИОС - 2008" колеги из Белорусии. Хотя я бы в данном случае как и большинство участников форума рассматривал вариант антеградного блокированного синтеза. Ну это кому как удобнее, хотя мне кажется принципиально.
Александр Николаевич! Вам отдельное спасибо за методичку.
|
[
Ответить ]
|
Re: Перелом бедренной кости
Отправитель: Валерий 14 Декабрь 2009, 13:51
|
Уважаемый Александр А!
В данной ситуации на мой взгляд, при антеградном интрамедулярном остеосинтезе могут возникнуть проблемы во время введения штивта, а именно смещение отломков в дистальной части бедренной кости.
|
[
Ответить ]
|
Re: Перелом бедренной кости
Отправитель: Александр А. 14 Декабрь 2009, 17:06
|
Валерий! Я ыведь не зря дал сноску на Влада:
2. После долгих сомнений выполнена открытая репозиция перелома эпифиза бедренной кости, закрытый блокированный интрамедуллярный остеосинтез (к слову, оперативное вмешательство выполнено без применения ЭОПа). Предполагалась через 8 недель пластика костного дефекта спонгиозным аутотрансплантатом.
Думаю это решение проблемы смещения отломков в дистальной части бедренной кости.
Спасибо, с уважением Александр.
|
[
Ответить ]
|
|
Re: Перелом бедренной кости
Николов Олег 18 Декабрь 2009, 01:16
|

Уважаемые коллеги, прооперирована пациентка антеградным штифтом Остеомед, костная пластика не проводилась. Выбранный штифт по каналу бедренной кости на фоне отсутствия переднего кортикала в канале не центрируется. Технически неприятно, отсутствие передней и внутреннебоковой стенки до зоны мыщелков сильно затрудняло репозицию. Получилась вот такая картина. После стабилизации - очевидное повреждение ПКС и боковая нестабильность. В общем и далее будет чем заняться. Нам и в дальнейшем будет очень интересно мнение коллег.
|
[
Ответить ]
|
Re: Перелом бедренной кости
Отправитель: Alexander Chelnokov 20 Декабрь 2009, 15:09
|
НО> пластика не проводилась. Выбранный штифт по каналу бедренной кости на фоне отсутствия
НО> переднего кортикала в канале не центрируется.
Можно создать искусственную стенку из спиц или винта.
НО> Получилась вот акая картина.
Молодцы, здорово получилось. Как ввдили самый дистальный винт? Надколенник не мешал?
|
[
Ответить ]
|
Re: Перелом бедренной кости
Отправитель: Николов Олег 21 Декабрь 2009, 00:14
|
Пробовали цетрировать штифт спицами, да не вышло... прет спереди и всё, картину тока портит))
А надколенник мешал слегка, но... штифт слегка предмоделирован до начала операции и угол введения дистального винта был градусов на 15 изменен, в итоге серьезной помехи надколенник не создал.
С уважением Николов О.В.
|
[
Ответить ]
|
Re: Перелом бедренной кости
Отправитель: VlaD 22 Декабрь 2009, 16:43
|
Уважаемый коллега Олег!
Как я уже отмечал, в общем, оперативное вмешательство выполнено хорошо. Но если вас интересуют причины ваших затруднений по ходу оперативного вмешательства, то они, с моей точки зрения, следующие. К сожалению, вы не отметили, как вы выполняли оперативное вмешательство. Если оперативное вмешательство выполнялось на тракционном столе или использовался спицевой дистракционный аппарат, то причина того, что у вас были трудности с точным расположением штифта в дистальном отломке и оставшейся, до конца не устранённой передней угловой деформацией (около 15°) – неправильное расположение спицы дистракционного или цуг-аппарата в дистальном отломке бедренной кости. Я уже подчёркивал, что у вас возникнут трудности с устранением передней угловой деформации, и из-за неё вам тяжело было войти стержнем в костномозговой канал дистального отломка. Безусловно, можно использовать и отклоняющие спицы и шурупы Poller, но всё это малоэффективно при разбитом дистальном отломке, занимает время и требует десятки нажатий на педаль ЭОПа. Между тем решение проблемы лежит на поверхности. Просто необходимо правильно (в механически обоснованной точке) провести спицу в мыщелках бедренной кости, которая закрепляется в дуге цуг-аппарата (или в кольце спицевого дистракционного аппарата). При правильном проведении спицы и дистракции костных отломков одновременно устраняется и передняя угловая деформация в месте перелома.
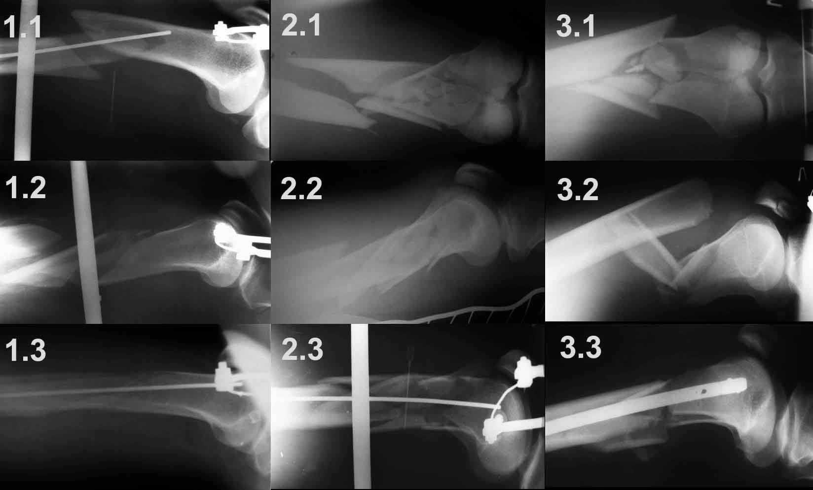
Для примера – вложенный файл.
1.1 – спица проведена сразу за передним кортикальным слоем дистального отломка, поэтому при дистракции появляется задний угол.
1.2 - спица проведена на линии середины диафиза бедренной кости, что привело к передней угловой деформации
1.3 - спица проведена в механически обоснованной точке (0,5 – 0,7 см дорсальнее передней поверхности кортикального слоя), что привело к репозиции костных отломков и ликвидации угловых деформаций.
2.1 -2.3 и 3.1 – 3.3 служат подтверждением того, что любую угловую деформацию при коротком дистальном отломке можно весьма просто устранить, правильно расположив спицу цуг-аппрата.
И ещё. Хотелось бы получить ответы на следующие вопросы, если это возможно: как долго длилось оперативное вмешательство, сколько раз нажимали на педаль ЭОПа, общее время режима прямой флюроскопии во время вмешательства. Со своей стороны могу сказать, что для выполнения такого рода оперативных вмешательств мы трижды прибегаем к рентгенографии (при каждой снимки выполняются в двух проекциях)
1 После дистракции костных отломков (устанавливается точность репозиции и устранения угловых деформаций)
2 После проведения проводника перед рассверливанием (для подтверждения нахождения проводника в обоих отломках и точного выбора длины стержня)
3 После введения стержня (для определения точной глубины введения стержня)
Режим прямой флюроскопии мы не используем. Дистальные блокирующие винты (во всех плоскостях) вводим с помощью механического прицельного устройства. Поэтому я не вижу такого этапа оперативного вмешательства, который нельзя было выполнить без электроннооптического преобразователя и его отсутствие не должно быть препятствием для выполнения операций interlocking. ЭОП – это только средство визуализации. Репозицию костных отломков введение имплантата выполняет хирург, а не ЭОП, и, зная общие закономерности добиться этого значительно проще, чем десятки раз нажимая на педаль ЭОПа. Что, собственно, и подтвердил ваш случай.
С уважением, VlaD.
|
[
Ответить ]
|
Re: Перелом бедренной кости
Отправитель: Николов Олег 23 Декабрь 2009, 00:23
|
Операция выполнялась на ортопедическом столе.
Общее время нахождения в операционной составило около 3,5 часов, бедро заняло около 2-х. У больной имелся также перелом в/3 костей контрлатеральной голени, там тоже пришлось помучиться, репозиция была не без проблем), остеосинтез проксимальным эскпертом остеомед. Работа ЭОПа составила около 5 минут.
Повторюсь - "Выбранный штифт по каналу бедренной кости на фоне отсутствия переднего кортикала в канале не центрируется", при устранении угловой деформации штифт фактически не попадал в дистальный отломок, отсюда и мучения...
Обычное время работы ЭОПа про отсутствии каких-либо интраоперационных проблем при интрамедуллярном остеосинтезе не превышает одной минуты.
|
[
Ответить ]
|
Re: Перелом бедренной кости
Отправитель: Alexander Chelnokov 23 Декабрь 2009, 00:26
|
> то причина того, что у вас были трудности с точным расположением
> штифта в дистальном отломке
Трудности могли быть и с расположением гвоздя в центральном отломке.
Обусловлены они могут быть и несоответствием изгибов гвоздя и канала, и чрезмерно задней точкой входа.
> решение проблемы лежит на поверхности. Просто необходимо правильно
> (в механически обоснованной точке) провести спицу в мыщелках
> бедренной кости, которая закрепляется в дуге цуг-аппарата
Такое проведение спицы при свежих переломах часто достаточно, типичная рекурвация устраняется. Но бывает, дстальный отломок располагается в положении, обратном типичному, в антекурвации, и такая одна спица может ее усугубить.
При операциях в срок больше 2-3 нед. подвижность отлмоков уже не та. И одна спица может и не устранить угловое смещение, и даже длину проблематично восстановить. И, случается, одна спица прорезается.
Поэтому мы лет уже 5 как отказались от проведения единичной спицы в передней части мыщелков при околосуставных переломах, последние несколько лет проводим две паралллельные в передней и задней части. И проблемы с углами во всех плоскостях решаются более универсально, в т.ч. при невозможности одномоментного восстановления длины проводится дозированное в аппарате.
> выполнения такого рода оперативных вмешательств мы трижды прибегаем
> к рентгенографии (при каждой снимки выполняются в двух проекциях)
Но при наличиии мобильной C-дуги это просто избыточно, обычно рентгенография нужна одна - для документирования итогов операции.
> 1 После дистракции костных отломков (устанавливается точность
> репозиции и устранения угловых деформаций)
И вот она неточная установилась, к примеру...
> 2 После проведения проводника перед рассверливанием (для
> подтверждения нахождения проводника в обоих отломках и точного выбора длины стержня)
Положим, прооводник оказался не там, а то и вообще стержень сплошной, проводник не нужен.
> 3 После введения стержня (для определения точной глубины введения стержня)
Контролировать глубину введения стержня надо не после, а во время, чтобы знать, когда остановиться, а когда продвинуть дальше на 1 мм. А то еще и канал приходится формировать в мыщелках при плотной кости, и возможность видеть, где находится изогнутое шило-развертка, и куда движется при повороте, трудно переоценить.
> Режим прямой флюроскопии мы не используем.
Коллеги, если такая возможность есть, нет причин ей не пользоваться.
Прошу прощения за такую "аналогию", но это как известный персонаж анекдотов после переселения из чума в городскую квартиру какое-то время туалетом дома не пользуется, а бегает на улицу. Радиофобия тоже со временем проходит.
> Дистальные блокирующие
> винты (во всех плоскостях) вводим с помощью механического
> прицельного устройства.
Есть множество систем гвоздей, не для всех есть нацеливающие приспособления, кроме того, они ненадежны, и тоже требуют времени. Да и гвоздь, бывает, дополнительно моделировать приходится. И free hand - наиболее распространенный подход у имеющих достаточный опыт. Начинающим, наверно, лучше пользоваться нацеливающими
приспособлениями.
> Поэтому я не вижу такого этапа оперативного
> вмешательства, который нельзя было выполнить без
> электроннооптического преобразователя и его отсутствие не должно
> быть препятствием для выполнения операций interlocking.
Речь не о таком уж черно-белом, что совсем уж "нельзя без ЭОП". С ЭОП многие моменты гораздо более контролируемы. Взять хотя бы введение спицы в точку входа. Не так много супер-виртузов, "видящих" сквозь 15 см жира. Можно и разрез сдедать побольше, и пальцем залезть, но с
ЭОП это не нужно.
> ЭОП - это только средство визуализации. Репозицию костных отломков
> введение имплантата выполняет хирург, а не ЭОП,
но контролирует ход событий он, глядя на экран или на снимок на пленке. В общем, картинки практически одни и те же, только ждать не надо.
> и, зная общие закономерности добиться этого значительно проще, чем десятки раз
> нажимая на педаль ЭОПа. Что, собственно, и подтвердил ваш случай.
Безусловно, техника предварительной репозиции очень важна, особенно при околосуставных переломах, при которых, в отличие от диафизарных,
репозицию делает не стержень, а хирург. Владение приемами репозиции не повод отказываться от визуального контроля. Так же как и умение
что-то делать с закрытыми глазами не повод их держать закрытыми - можно что-то интересное пропустить.
|
[
Ответить ]
|
|
Re: Перелом бедренной кости
Vlad 18 Декабрь 2009, 06:04
|
Мне кажется, что технически всё выполнено хорошо и шансы на консолидацию перелома высокие. Безусловно, в данном случае технически более оправданным был бы выбор стержня, у которого самое дистальное отверстие расположено во фронтальной плоскости. При этом самый дистальный блокирующий винт полностью бы располагался в неповреждённых мыщелках бедренной кости и надёжно выполнял бы свою функцию. То же касалось бы и винта в сагитальной плоскости. достаточно было бы этих двух винтов. Но не всегда имеется в наличии то что необходимо. По всей вероятности, оперативное вмешательство было не из лёгких. Остаётся только поздравить коллег с решением основной задачи.
|
[
Ответить ]
|
( Ответить )
|
|