ВХОД ДЛЯ ПАЦИЕНТОВ
вверх
поиск
админ
главная
исходное
последующие
|
Re: Перелом плеча
послал Alexander Chelnokov 01 Июль 2010, 01:35
|

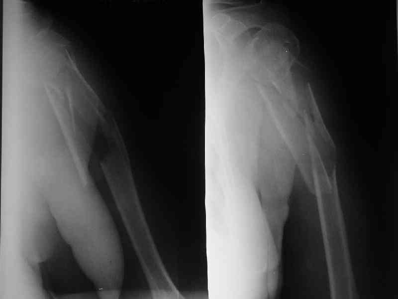
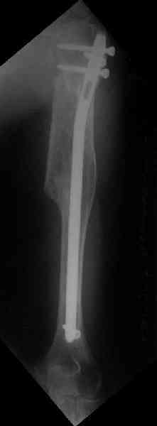
Здесь нет необходимости в серкляже. Вмешиваться на промежуточных отломках приходится, если есть угроза перфорации кожи, или промежуточный отломок попал в фасцию, как пуговица в петлю. В приложении сегментарный оскольчатый перелом плеча в проксимальном отделе, фиксированный больщеберцовым стержнем. Как видите, обошлось без серкляжа. Функция полная.
|
| Послать ответ |
Обратите внимание: Поля с жирными названиями обязательны.
Старайтесь отвечать в рамках обсуждаемой темы, а не начинать новые обсуждения.
Указывайте адекватную тему сообщения, чтобы было ясно, о чем оно.
Не послайте сообщений не по теме (оффтопик), раздраженных, грубых или обидных комментариев. Здесь это неуместно.
|