Ответить
|
Re: Перелом плеча
Адонин 29 Июнь 2010, 09:18
|
тактика лечения - консервативная, оптимальный фиксатор - U-образная гипсовая повязка.
|
[
Ответить ]
|
Re: Перелом плеча
В.Машталов 29 Июнь 2010, 11:59
|
Уважаемый колега!
Мы бы заштифтовали гвоздем, восстановили длину, а далее, если диастаз промежуточных отломков сохранялся значительный, из небольшого разреза
аддаптировали их на гвозде с применением 1-2 циркляжных швов. Гвоздь лучше взять типа проксимального длинной версии, что даст возможность более надежно зацепиться за короткий проксимальный отломок. Штифтование надежнее выпонить после наложения модульного аппарата и дистракции. Большая
вероятность, что отломки не надо будет и репонировать открыто.
Успеха!
С уважением В. Машталов.
|
[
Ответить ]
|
Re: Перелом плеча
Михаил 29 Июнь 2010, 20:50
|
Скорее всего, интерпозит здесь будет и не даст хорошо репонировать, поэтому открыть придется. НО можно попытаться синтезировать гвоздем, в конце концов открыться, при остеосинтезе пластиной доступ был бы однозначно больше, хотя с другой стороны - тот же интерпозит будет мешать... Интересная ситуация, на самом деле. 50/50 между гвоздем и пластиной. Относительно оптимального фиксатора - вот мое мыло michael_kukva@mail.ru напишите, отвечу с приложенными файлами по фиксаторам и пояснениями к ним.
|
[
Ответить ]
|
Re: Перелом плеча
Бережной Сергей 29 Июнь 2010, 23:03
|
Вполне можно рассматривать вариант минимально инвазивной установки пластины Филос с длинной ножкой или ее аналога. Точная репозиция при такой длинной линии перелома не обязательна.
|
[
Ответить ]
|
Re: Перелом плеча
Лапидус Дмитрий 30 Июнь 2010, 02:31
|
Добрый вечер!
Сделайте дополнительные Rg-граммы плечевого сустава, если нет перелома проксимального отдела плеча, штифтуйте длинным проксимальным стержнем закрыто, даже если будет сохраняться смещение по ширине.
Вот только немаловажный фактор, какой был психоз? алкогольный? если так, может от греха подальше склониться в пользу консервативного лечения..
|
[
Ответить ]
|
Re: Перелом плеча
Королев Максим 30 Июнь 2010, 11:24
|
На мой взгляд делать необходимо "закрыто", самое главное восстановить длину конечности и заштифтовать. Выбор импланта за Вами.
|
[
Ответить ]
|
Re: Перелом плеча
Дмитрий 30 Июнь 2010, 22:23
|
Я бы выполнил комбинированный остеосинтез с помощью штифта+накостные имплантаты с памятью формы,результаты отличные,да и сроки реабелитации минимальны.Не надо ждать сращения на блокируемом штифте до 1.5 года и никогда не будет головной боли по поводу сломанных винтов.
|
[
Ответить ]
|
Re: Перелом плеча
Кирилл 30 Июнь 2010, 22:26
|
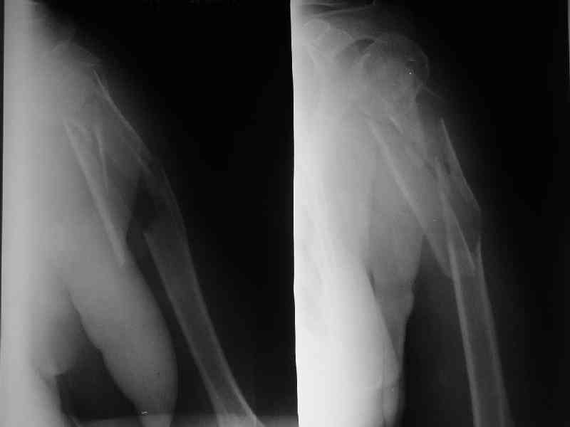
Уважаемые коллеги! Всем огромное спасибо! Рентгенограммы плечевого сустава делал, головка цела. сам склоняюсь к штифту, спасибо за идею серкляжа, раньше так не делал. Кирилл
|
[
Ответить ]
|
Re: Перелом плеча
Отправитель: Alexander Chelnokov 01 Июль 2010, 01:35
|

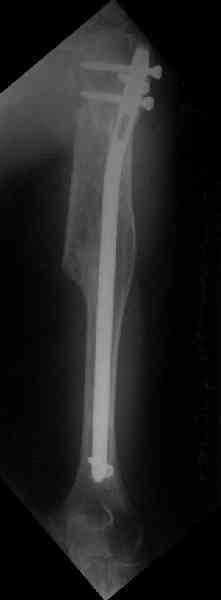
Здесь нет необходимости в серкляже. Вмешиваться на промежуточных отломках приходится, если есть угроза перфорации кожи, или промежуточный отломок попал в фасцию, как пуговица в петлю. В приложении сегментарный оскольчатый перелом плеча в проксимальном отделе, фиксированный больщеберцовым стержнем. Как видите, обошлось без серкляжа. Функция полная.
|
[
Ответить ]
|
Re: Перелом плеча
Отправитель: Виталий Евгеньевич Казённов 01 Июль 2010, 16:30
|
Уважаемый Александр Николаевич,
Пример отличный.
Вот что значит лечить перелом, а не рентгенограмму!
Казённов
|
[
Ответить ]
|
Re: Перелом плеча
Отправитель: Михаил 03 Июль 2010, 20:13
|
Александр, великолепные снимки! Вопрос - что за гвоздь?
|
[
Ответить ]
|
Re: Перелом плеча
Отправитель: Alexander Chelnokov 06 Июль 2010, 00:42
|
Это укороченный большеберцовый стержень, которые делает предприятие "ЦИТО".
|
[
Ответить ]
|
Re: Перелом плеча
Отправитель: Михаил 07 Июль 2010, 01:14
|
на синтезовский UTN похож))
|
[
Ответить ]
|
Re: Перелом плеча
Отправитель: samsnow 10 Август 2010, 01:06
|
Скажите пожалуйста, Александр Николаевич, почему Вы использовали большеберцовый гвоздь?
|
[
Ответить ]
|
Re: Перелом плеча
Отправитель: Alexander Chelnokov 11 Август 2010, 12:05
|
Доступные на тот момент гвозди для плеча имели худшие возможности фиксации в коротком проксимальном отломке.
|
[
Ответить ]
|
|
Re: Перелом плеча
Дмитрий 30 Июнь 2010, 22:44
|
На счет консервативного лечения-согласен при деменции и деградации личности,а при нормальной психике-точное сопоставление отломков,минимальные сроки иммобилизации,ранняя разработка движений,успех неизбежен.Друзья,используите имплантаты с памятью формы,понравится.То,что изобретено почти 25 лет назад в России,дает великолепные результаты не только сегодня,но и завтра.Не зацикливайтесь на блокируемых штифтах,которые были изобретены для оперативного лечения переломов с использованием костных трансплантатов,когда есть более эффективные методики.Коммунисты в свое время тоже хотели "хорошего"!!!!!!!!!!!!Что вышло.Должно же быть свое мнение+опыт оперирования с оценкой результатов.Мнение ученого-еще один из вариантов осмыслить травматологию заново.
|
[
Ответить ]
|
Re: Перелом плеча
Отправитель: Alexander Chelnokov 01 Июль 2010, 01:57
|
>На счет консервативного лечения-согласен при деменции и деградации
Тут как раз лучше прооперировать.
на блокируемых штифтах,которые были изобретены для оперативного лечения переломов с использованием костных трансплантатов
А зачем, когда и какие трансплантаты используют при блокируемом синтезе?
Насчет имплантатов с памятью формы - увы, пока не видно интересных решений, адекватных уникальным свойствам материала. Возможности никелида титана используются для архаичной кустарщины, все эти убогие серкляжики-хомутики вызывают жалость.
|
[
Ответить ]
|
Re: Перелом плеча
Отправитель: Дмитрий 01 Июль 2010, 20:02
|
Александр,имеете ли вы опыт применения имплантатов с памятью формы или это "голое"высказывание
|
[
Ответить ]
|
|
Re: Перелом плеча
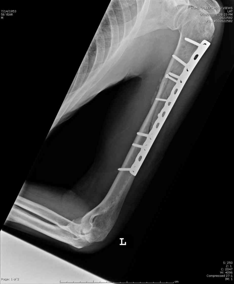
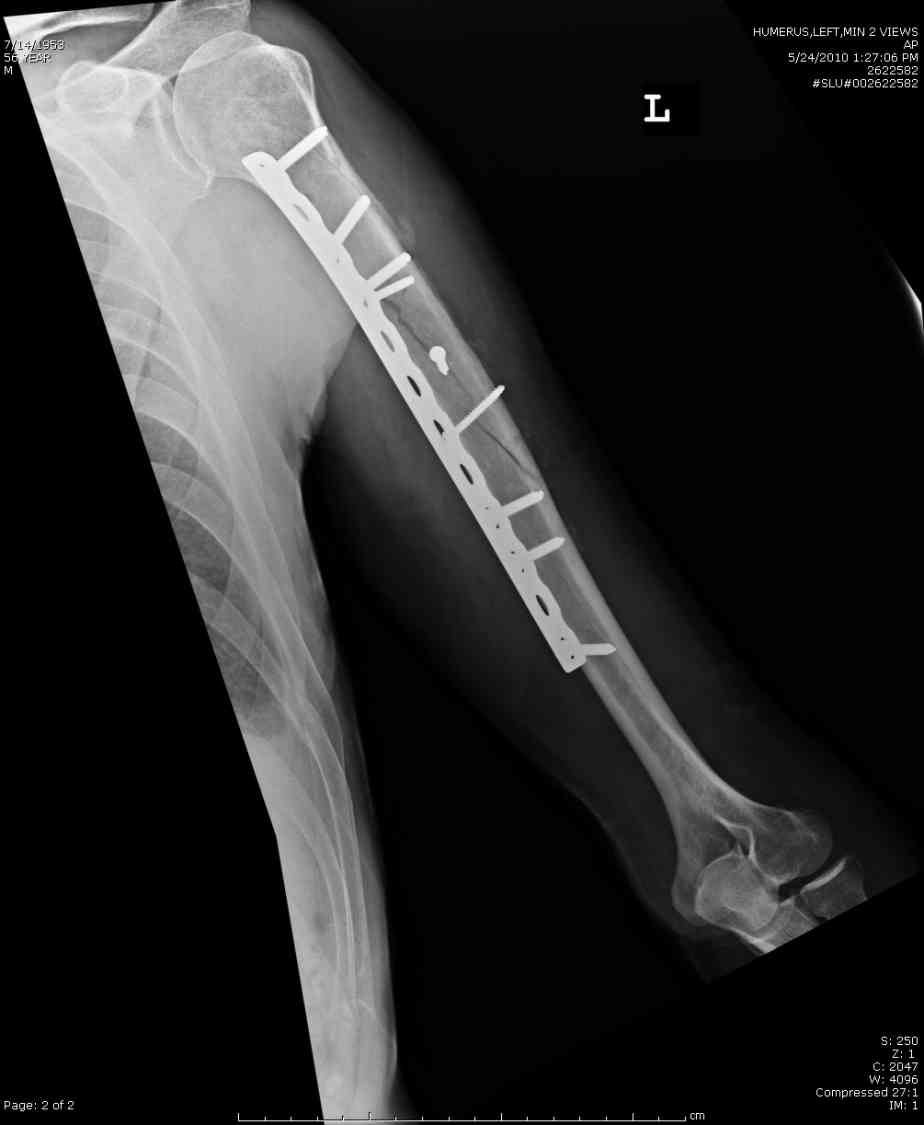
Александр А. 01 Июль 2010, 00:29
|
Добрый вечер!
Приложение как пример.

Спасибо.
|
[
Ответить ]
|
Re: Перелом плеча
Отправитель: Maxim Agalakov 05 Июль 2010, 22:00
|
Что иллюстрирует этот пример? Это была множественная травма? Если это был изолированный перелом, то "золотой стандарт" - консервативное лечение.
|
[
Ответить ]
|
Re: Перелом плеча
Отправитель: Александр А. 06 Июль 2010, 15:35
|
Консервативно он уже лечился до этой операции в течение трёх с половиной месяцев.
А именно такой вариант операции выбран из экономических соображений.
Спасибо!
|
[
Ответить ]
|
Re: Перелом плеча
Отправитель: Адонин 07 Июль 2010, 06:26
|
вообще, торчашие в субакромиальное пространство шипы оставляют неизгладимое впечатление. Не думаю, что таким имплантом есть смысл гордиться
|
[
Ответить ]
|
|
Re: Перелом плеча
Andrew 01 Июль 2010, 01:10
|
Честно говоря имплантанты с памятью формы очень интересны и я думаю и них есть свое место применения в современной травматологии и ортопедии. Но то, что предлагают их авторы иногда вызывает улыбку. Смотрел очень много видео про даные конструкции (опыт применения отсутствует)- удивляет когда косой перелом голени лечет стержнем, поверх которого укладывают скобу с памятью формы а сверху на все это и апарат.
|
[
Ответить ]
|
Re: Перелом плеча
Отправитель: Andrew 01 Июль 2010, 01:15
|
И можна ссылку на информацию про то, что блокирующие стрежни были придуманы только для использования с трансплантатами. (Может это и правда, но честно говоря впервые слышу).
|
[
Ответить ]
|
|
Re: Перелом плеча
Михаил 07 Июль 2010, 12:17
|
относительно "имплантов" с памятью формы. Лично я бы посоветовал автору этой сногсшибательной идеи освежить основные принципы лечения переломов, почитать Мюллера (это такая большая толстая синяя книжка, называется руководство по остеосинтезу, 1996 года. Несмотря на то, что с тех пор многие вещи уже эволюционно изменились, там много полезного).
ps Бытует мнение, что сроки сращения при комбинированном остеосинтезе подобных переломов с помощью интрамедуллрного штифта и "изобретенных 25 лет назад" скобок с памятью формы уменьшаются в несколько раз? когда используется мазь из сучьих щенят.
|
[
Ответить ]
|
Re: Перелом плеча
Djoldas Kuldjanov 07 Июль 2010, 15:19
|
Всегда интересно участие в дисскуссии, когда лечащие врачи активно участвуют и координируют обсуждение. Своевременно представленные материалы о возрасте больного, обстоятельства травмы, сопутствующие, изолированность и описание клинической картины со всеми снимками помогает принять правильное решение.
В 80% больных с изолированным переломом плеча можно лечить консервативным путем. При свежих переломах положение отломков непостоянно, и поэтому при консервативном лечении необходимо своевременно делать контрольные снимки.
В зависимости от характера травмы, например, при политравме, возрастает важность первичной фиксации, потому что, создавая опороспособность верхней конечности (для костылей), мы помогаем общему восстановлению.
Прошло с момента травмы более 2х недель, и если еще не сделали фиксацию то нужно повторить рентгенограмму, возможно, положение отломков изменилось к лучшему.
При владении техникой, интрамедуллярная методика отличная фиксация для переломов плеча, но при смещении между отломками более 5 см не всем удастся повторить успех Челнокова. Неумелой закрытой манипуляцией можно нанести больше вреда, и есть опасность повреждение нерва серкляжом!
Первичные повреждении нерва расширяют показания к открытой фиксации, такая тактика позволяет провести тщательную инспекцию состояния поврежденного нерва.
Снимок с имплантом из металла с памятью формы получился "sexy", но нарушены все каноны остеосинтеза. Потому что при комбинации двух ущербных систем одновременно повреждается внутри канальное и наружное кровообращение.
Имплантаты с памятью формы –интересное изобретение, фантастический металл, мечта всех шпионов, и первично опубликованные сообщения интриговали всех. Но на сегодня, когда имеется инертный металл, и при развитии "мини инвазивной" техники, не видно нужды в импланте с памятью формы.
Кстати, некоторые образцы, полученные через коллег, мы испытали у себя, метал не вызывает доверия, отсутствует эстетичность, not friendly, и металл оставляет черное пятно на поверхности. Насчет удержания формы в постоянной компрессии, она потерялась через 30 минут, и на поверхности цилиндра беспрепятственно конструкция двигалась, как обычная намотанная проволока.

Кроме интрамедуллярного остеосинтеза, имеются другие варианты фиксации, наружный фиксатор и например здесь перелом плеча с повреждением нерва леченный открытым методом. Применен задний доступ с инспекцией нерва, межфрагментарная компрессия, фиксация узкой пластиной 4.5 мм.
Djoldas Kuldjanov, MD
Department of Orthopedic Surgery
St. Louis University Medical Center
|
[
Ответить ]
|
Re: Перелом плеча
Александр А. 08 Июль 2010, 01:02
|
Добрый вечер уважаемые колеги!
Весьма лестно, что представленный снимок вызвал такое живое обсуждение. Только цель этого не заключалась в PR метода применения имплантов с термомеханической памяттью. Как один из способов лечения он был предложен Дмитрием, а наглядно продемонстрирован снимок и не более. Кстати снимков отправлялось несколько, прошёл только один, да это в принципе не важно. Получился некий набор представленных снимков, "БИОС", "имплант", "накостный".
То, что метод имеет право жить никому доказывать не собираюсь, об этом знает по меньшей мере не одна сотня пациентов, прооперированных мною, хотя к некоторым конструкциям тоже отношусь с большой осторожностью (все методы лечения запатентованы, конструкции имеют регистрационные свидетельства, так, что юридически всё OK). Что касается предложений в плане консервативного спососба лечения лично я не поддерживаю, но это лично моё мнение и в плане дискуссии имею право его высказать, думаю качество жизни пациента тоже кое-что значит. Прошу прощения за лирическое отступление. Около месяца назад оперировал молодого человека (26 лет), активно занимающегося спортом (чемпион Европы по боям без правил по одной из версий), перелом правого плеча примерно аналогичный представленному, только без психоза. Был установлен блокированный стержень, через трое суток больной ушёл из отделения. Придя на следующую перевязку повествовал как с подружкой в кафе здоровался с друзьями, протягивая поломанную руку, чему последние были несказанно удивлены и не верили что у него был перелом. И хотя я проотивник настолько уж активной тактики, но всё равно зацепилло. Только его снимок я не показывал, потому, что всё равно лучше Александра Николаевича Челнокова БИОС никто не продемонстрирует.
Михаил, а Вам бы хотелось сказать, что сроки сращения ускорить не удалось ещё никому, почитайте Мюллера (это такая большая толстая синяя книжка, называется руководство по остеосинтезу. 1996 года.)И кстати мазь из сучьих щенят помогает или нет не знаю, если у Вас есть опыт по её применению поделитесь, в нашем здравоохранении по всей вероятности скоро и не этим придётся пользоваться.
Что касается данного конкретного случая оперировал бы однозначно. Каким способом? Зависит в большей степени от возможностей пациента, на первое место поставил бы всётаки блокированный остеосинтез проксимальным гвоздём.
Спасибо.
Кутков Александр Александрович, Краснодарский Край.
|
[
Ответить ]
|
Re: Перелом плеча
Белоконь Александр 13 Июль 2010, 20:37
|
Уважаемый Александр Николаевич! На продемонстрированных вами рентгенограммах имеется достаточно большое на мой взгляд смещение отломков после фиксации блокируемым гвоздем. На счет полной функции все понятно, а нет ли каких либо сосудистых расстройств конечности? Имею ввиду венозную недостаточность или лимфостаз.
|
[
Ответить ]
|
|
|
Re: Перелом плеча
Imtamed 27 Ноябрь 2014, 10:19
|

Коллеги.
Для ознакомления
|
[
Ответить ]
|
|
( Ответить )
|
|