Ответить
|
Re: Перелом плеча
Alexander Chelnokov 01 Июль 2010, 01:35
|

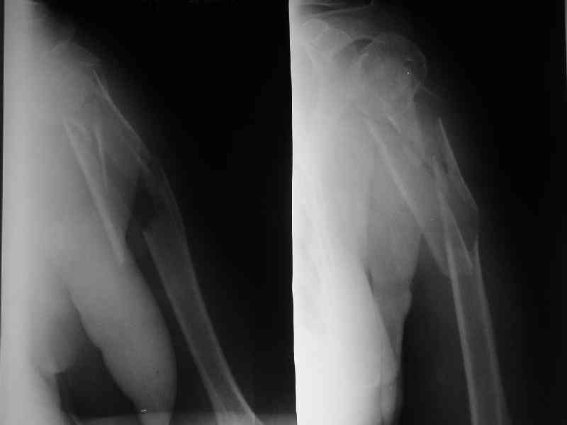
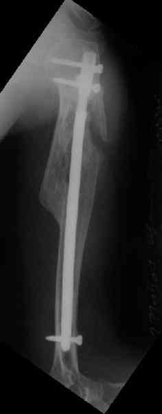
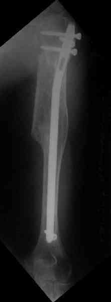
Здесь нет необходимости в серкляже. Вмешиваться на промежуточных отломках приходится, если есть угроза перфорации кожи, или промежуточный отломок попал в фасцию, как пуговица в петлю. В приложении сегментарный оскольчатый перелом плеча в проксимальном отделе, фиксированный больщеберцовым стержнем. Как видите, обошлось без серкляжа. Функция полная.
|
[
Ответить ]
|
Re: Перелом плеча
Отправитель: Виталий Евгеньевич Казённов 01 Июль 2010, 16:30
|
Уважаемый Александр Николаевич,
Пример отличный.
Вот что значит лечить перелом, а не рентгенограмму!
Казённов
|
[
Ответить ]
|
Re: Перелом плеча
Отправитель: Михаил 03 Июль 2010, 20:13
|
Александр, великолепные снимки! Вопрос - что за гвоздь?
|
[
Ответить ]
|
Re: Перелом плеча
Отправитель: Alexander Chelnokov 06 Июль 2010, 00:42
|
Это укороченный большеберцовый стержень, которые делает предприятие "ЦИТО".
|
[
Ответить ]
|
Re: Перелом плеча
Отправитель: Михаил 07 Июль 2010, 01:14
|
на синтезовский UTN похож))
|
[
Ответить ]
|
Re: Перелом плеча
Отправитель: samsnow 10 Август 2010, 01:06
|
Скажите пожалуйста, Александр Николаевич, почему Вы использовали большеберцовый гвоздь?
|
[
Ответить ]
|
Re: Перелом плеча
Отправитель: Alexander Chelnokov 11 Август 2010, 12:05
|
Доступные на тот момент гвозди для плеча имели худшие возможности фиксации в коротком проксимальном отломке.
|
[
Ответить ]
|
|
( Ответить )
|
|