Ответить
|
Re: Чрезвертельный перелом бедра
Alexander Chelnokov 27 Июль 2010, 04:52
|
АЮВ> 1. Ваше мнение - из-за чего это произошло.
Хотелось бы увидеть снимки непосредственно после операции.
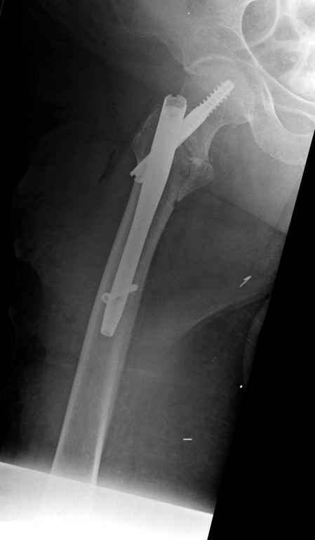
Перелом тут больше подвертельный. Нагрузка без торцевого упора на уровне перелома привела к телескопированию отломков на стержне. Ну и варус небольшой тоже свою лепту внес - если бы его не было, контактирующие латеральные стенки обоих отломков предотвратили бы укорочение, да и срослось бы за пару месяцев. А раз не срослось, упора отломков нет, более слабым местом оказались не нижние винты, а кость в головке и шейке. Так что надо было хотя бы удалить нижние винты до начала полной нагрузки.
АЮВ> 2. Дальнейшая тактика лечения больной.
Наверно, эндопротезирование. Есть более щадящий вариант - реостеосинтез (с устранением варуса и укорочения!), а после сращения и при наличии выраженного болевого синдрома - стандартное протезирование.
|
[
Ответить ]
|
Re: Чрезвертельный перелом бедра
Evgueny 27 Июль 2010, 18:12
|
Уважаемый Д-р Антониади,
Спасибо за презентацию своего случая. Неплохо было бы увидеть и аксиальную проекцию.
Фиксация * reversed obliquity* подвертельных переломов - дело непростое.
На мой взгляд, причиной телескопирования явилось несоответствие диаметра гамма нэйл с диаметром канала подвертельного отдела бедра: обратите внимание на величину протрузии шеечного винта и величину медиализации дистального фрагмента - они одинаковы, смещение или телескопирование фрагментов происходило до того момента, пока гамма нэйл не упёрся в медиальный кортекс и образовалось пространство между латеральным
кортексом и латеральной поверхностью гвоздя.
Что делать дальше? Я бы убрал фиксатор - добра от него сейчас нет и мобилизовать больную с частичной нагрузкой на ногу, величина осевой нагрузки определяется отсутствием болевых ощущений у больной, повторная Рграфия после 4-6 недель в зависимости от симптомов.
Успехов,
Евгений Чекашкин
|
[
Ответить ]
|
Re: Чрезвертельный перелом бедра
Отправитель: Alexander Chelnokov 27 Июль 2010, 21:10
|
E> На мой взгляд, причиной телескопирования явилось несоответствие
E> диаметра гамма нэйл с диаметром канала подвертельного отдела бедра:
Диаметр гаммы в диафизарной части ~11 мм. А диаметр канала, тем более у пожилых с остеопорозом, может быть мм 15. Даже рассверливать обычно не приходится, после формирования широкого канала в вертельной области можно сразу толкать гвоздь, он влетает, как карандаш в стакан. Так что соответствия диаметров не бывает никогда. Однако представленная ситуация случается далеко не каждый раз. Если гвоздь в центральном отломке входит чуть медиальнее верхушки вертела, и идет вдоль передне-латеральной стенки центрального отломка, то все будет хорошо.

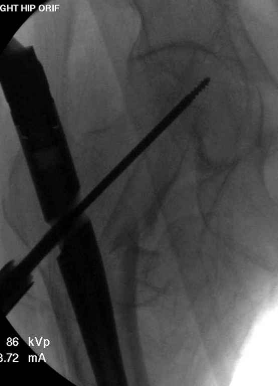
В приложении похожий пример, к счастью, пациентка появилась не после, а "за полчаса" до протрузии. Пересинтезировали с исправлением ошибок.
|
[
Ответить ]
|
Re: Чрезвертельный перелом бедра
Отправитель: Александр А. 27 Июль 2010, 23:33
|
Александр Николаевич, добрый вечер!
Посмотрел то о чём сегодня говорили, суть понял, спасибо. Завтра на операцию.
С уважением Сан Саныч, хорошего отдыха.
|
[
Ответить ]
|
|
Re: Чрезвертельный перелом бедра
Антониади Ю.В. 28 Июль 2010, 22:59
|
Спасибо, коллеги! Больная будет госпитализирована 02.08.2010 для лечения. О принятом плане лечения и результатах сообщу позже. Спасибо!
|
[
Ответить ]
|
Re: Чрезвертельный перелом бедра
Djoldas Kuldjanov 04 Август 2010, 14:02
|
До выхода блокируемых гвоздей для фиксации косых подвертельных переломов в основном применяли Blade Plate. За счет уникальной конструкции создавался Fixed Angled Device, который соединял головку с диафизом, минуя зону перелома.
За счет особой конструкции клинка и подпорки (buttress) в диафиз создавалась стабильность, и предупреждалось скольжение по линии перелома. Перпендикулярная поверхность клинка предупреждала сгибательные и разгибательные смещения, и в сравнении с круглым винтом редко происходило прорезыванием.
Первые реконструкционные гвозди без блокировки винтов не смогли повторить преимущества, и из-за Z эффекта винтов происходило быстрое расшатывание.
С приходом менее агрессивных блокируемых цефаломедуллярных гвоздей (Gamma 3 и другие) изменилась тактика лечения. Несмотря на то, что вся стабильность держится вокруг одного блокирующего винта, в большинстве случаев гвозди приводили к успеху.
Из накостных, хороший результат дают проксимальные пластины от Synthes или Smith&Nephew, но из-за риска осложнения доступов многие предпочитают гвозди.
В данном случае в головке бедра и в вертлужной впадине огромный дефект, навряд ли удалением импланта или заменой на другой можно сохранить сустав.
Вашему вниманию представляется похожий случай, пациентке 70, осложнился в течение одного месяца после операции. Ревизия с заменой сустава, кабельная фиксация на трохантер. При установке в дистальном диафизе обнаружен тонкий кортикальный слой и сделана профилактика от возможного перелома аллографтом.

Перечисляя различные техники, хотел бы напомнить, что современный ортопед обязан владеть всеми видами фиксации, включая сложные с обнажением фокуса перелома.
Djoldas Kuldjanov, MD
Department of Orthopedic Surgery
St. Louis University Medical Center
|
[
Ответить ]
|
Re: Чрезвертельный перелом бедра
Суворов М. С. 18 Август 2010, 19:54
|
Здраствуйте. По данному снимку видно 2-а основных момента которые привели к протрузии винта в вертлужную впадину: 1) шеечный винт дистальной поверхностью наружнего края "зацепился" за латеральный кортикал бедра, это не дало сработать динамической системе гвоздь-винт. 2) лучьше шеечный винт проводить ближе к дуге Адамса, там болееплотная костная ткань. Решенее: как подготовка к эндопротезированию, реостеосинтез, можно такой же системой, но с учетом упомянутых моментов, максимальное безнагрузочное ЛФК (без боли).
|
[
Ответить ]
|
Re: Чрезвертельный перелом бедра
Сувалян Микаэл 25 Август 2010, 13:56
|
1. Очень любопытно было бы все же взглянуть на послеоперационные снимки.
2. Полностью солидарен с доктором Суворовом относительно проведения винта ближе к дуге Адамса.
3. Могу подвергнуться критике, но мне кажется, вполне достаточно будет убрать шеечный винт. Под контролем ЭОП убедиться, что подвижности в месте перелома нет и на этом ограничиться.
|
[
Ответить ]
|
( Ответить )
|
|