AOTRAUMA.ORG Центр Илизарова  

Ортопедия и травматология Общие вопросы/General questions Help Информационные технологии в медицине
 вверх
 отправить
 поиск
 админ
 главная


Последствия открытого перелома дистального отдела бедра
Ортопедия и травматология Отправлено Владимир Новиков 07 Сентябрь 2010, 18:06
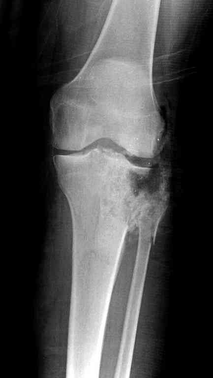
Поступила к нам пациентка 19 лет с диагнозом "Состояние после открытого многооскольчатого перелома дистального метаэпифиза правого бедра, проксимального метаэпифиза большеберцовой кости". Травма в июне 2010 года в Индии. ДТП.
Тамошние доктора выполнили ПХО с удалением фрагментов латерального мыщелка бедра. Наложен АВФ. По возвращению в Украину через 1,5 месяца АВФ демонтирован. И так как смещение фрагментов бедра не устранено, было принято решение после заживление ран от стержней выполнить МОС. Не сколько для четкой анатомической репозиции сколько для подготовки к установке эндопротеза в будущем. Что и было выполнено 10 августа. Интраоперационная картина следующая. Дефицит практически всего латерального мыщелка бедра. Была выполнена попытка закрепить то что осталось от мыщелка, но он развалился на фрагменты. ВЫполнен ситуационный синтез спицами. Дефект заполнили бикортикальным трансплантатом из крыла подвздошной кости, МОС страйкеровским фиксатором. В послеоперационном периоде к 10 дню начались боли, гипертермия. Повышение СОЭ, лейкоцитоз. Посев крови транзиторная бактериемия золотистого стаф. Взяли в операционную. Выполнили дренирование сустава и области п\о раны. Получили гематому фактически с гноем. Температура нормализовалась. Назначили ванкомицин по 1000 мг 2 раза в день.который принимает с 28 августа по сей день. Температура нормальная, СОЭ на убыль. Посевы отделяемого стафилококк 2 ст активности. Но отделяемое по дренажам продолжает идти в достаточном количестве. Взял посев, сеется стаф. 3 ст активноси. К ванкомицину, понятно, слабочувствителен. Что в этой ситуации посоветуете?
Менять антибиотик и продолжать бороться за фиксатор?
В связи с раздражением синовии удалять нестабильные элементы остатка мыщелка, трансплантат и фиксатор с переходом на АВФ?Гентамициновые бусы?
Надеюсь на скорый ответ.
С уважением, Владимир Новиков.

<  |  >

 

  • Сообщения о Ортопедия и травматология
  • Также Владимир Новиков
  • Связаться с автором
  • Ответить

    Re: Последствия открытого перелома дистального отдела бедра
    Королев Максим 08 Сентябрь 2010, 12:05
    Хотелось увидеть снимки и что за "страйкеровский фиксатор" их много.И для дальнейшего эндопротезирования нужна анатомическая репозиция.Как связочный аппарат сустава?
    [ Ответить ]

    Re: Последствия открытого перелома дистального отдела бедра
    Alexander Chelnokov 08 Сентябрь 2010, 18:49
    ВН> Дефект заполнили бикортикальным трансплантатом из крыла
    ВН> подвздошной кости, МОС страйкеровским фиксатором.


    Каким именно фиксатором? А снимки есть?

    ВН> активноси. К ванкомицину понятно слабочувствителен. Что в этой ситуации посоветуете?
    ВН> Менять антибиотик и продолжать бороться за фиксатор?
    ВН> В связи с раздражением синовии удалять нестабильные элементы
    ВН> остатка мыщелка, трансплантат и фиксатор с переходом на АВФ?
    ВН> Гентамициновые бусы?


    Без рентгеновских снимков и фото полного впечатления не составилось.
    Скорее, напрашивается остеосинтез мостовидным аппаратом бедро-голень, радикальная обработка с некрэктомией... Наверно, заполнение спейсерами с ванко или гентамицином, возможно, вакуум...
    [ Ответить ]

    Re: Последствия открытого перелома дистального отдела бедра
    Владимир Новиков 08 Сентябрь 2010, 18:52
    Пожалуйста, снимки.


    [ Ответить ]

    • Re: Последствия открытого перелома дистального отдела бедра
      Отправитель: Владимир Новиков 09 Сентябрь 2010, 01:52
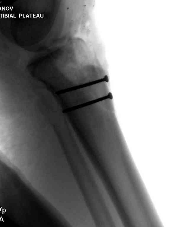
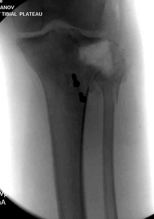
      Коллеги фиксатор Numelock II

      [ Ответить ]
    Re: Последствия открытого перелома дистального отдела бедра
    александр ерохин 09 Сентябрь 2010, 20:34
    Вы сами ответили:"удалять нестабильные элементы остатка мыщелка,трансплантат и фиксатор с переходом на АВФ"А есть разве другие варианты?
    [ Ответить ]

    Re: Последствия открытого перелома дистального отдела бедра
    Djoldas Kuldjanov 17 Сентябрь 2010, 02:12
    Все ипсилатеральные переломы относятся к категории нестабильных, и лечение их бывает сложным из-за двойного перелома вокруг сустава (floating joint). Основная тактика состоит в проведении поэтапного лечения с окончательной фиксацией cуставной поверхности.

    На первом этапе с задачей справляется наружный фиксатор, который создает благоприятные условия для закрытия ран и контролирует длину конечности. На данном этапе рекомендована КТ, чтобы увидеть топографию фрагментов для расчета направления фиксирующих элементов.

    Состояние мягкотканого покрытия подскажет о готовности к окончательной фиксации. При дефектах кости придерживаются тактики максимального сохранения костной массы.

    На вашем снимке из-за ротации трудно угадать положение пластины, и желательно сделать снимок с захватом верхнего участка бедра.
    Одинокий кортикальный шуруп не удержит тибиальный бугор, сустав тибиал плато оставлен без репозиции и фиксации.

    План с протезированием чересчур агрессивный, больная слишком молодая. В данный момент для удержания конструкции необходимо установить наружный фиксатор между бедром и голенью. Обработку продолжать с применением антибиотиков и вакуумирования.
    Возможно, удастся сохранить из того, что осталось, или перевести больную в стационар где имееюся адекватные условия.

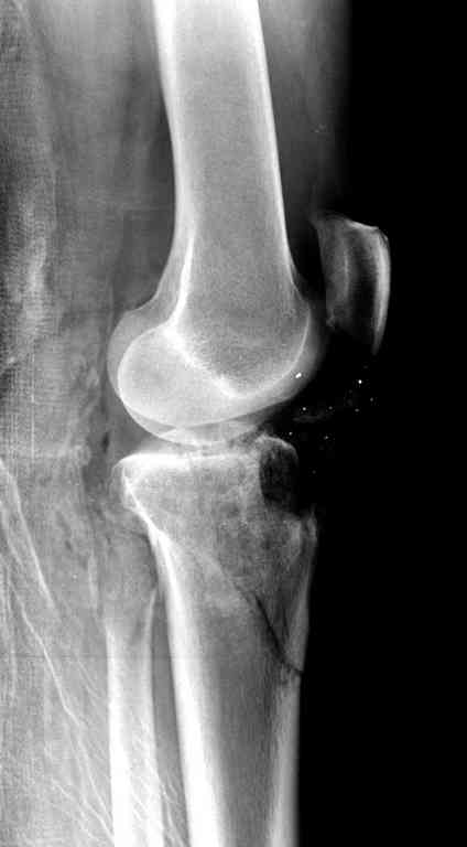
    Здесь применение материала Plexur http://www.plexur.com для пластики при дефектах кости у больной с огнестрельной раной латерального тибиал плато с повреждением малоберцового нерва. Несмотря на интактный медиальный мышелок, для профилактики от вальгуса установлен АВФ и сделана ангиограмма.






    После нескольких обработок и вакуумирования, поэтапно сделана фиксация тибиального бугра шурупами. И окончательную фиксацию закончили латеральной пластиной для тибиал плато и установкой пластического материала.
    Для закрытия мягкотканых дефектов привлечена другая служба.

    Djoldas Kuldjanov, MD
    Department of Orthopedic Surgery
    St. Louis University Medical Center


    [ Ответить ]

    Re: Последствия открытого перелома дистального отдела бедра
    Вячеслав Галенко 25 Сентябрь 2010, 02:28
    Согласен с Александром Ерохиным. Вы сами ответили на свой вопрос.

    [ Ответить ]

    Re: Последствия открытого перелома дистального отдела бедра
    Вячеслав Галенко 25 Сентябрь 2010, 02:28
    Согласен с Александром Ерохиным. Вы сами ответили на свой вопрос.

    [ Ответить ]


    ( Ответить )

    Powered by Zope  Squishdot Powered MedLink
    Посетитель: 0018963
      "По форме правильно, а по существу - издевательство" В.И.Ленин
    ©2001-2019Orthoforum Coordinator.
    [ Главная | Отправить сообщение | Поиск | Админ ]