ВХОД ДЛЯ ПАЦИЕНТОВ
вверх
поиск
админ
главная
исходное
последующие
|
Re: ЗЧКО по Илизарову голени плохо? Или панецея?
послал Адонин 26 Октябрь 2010, 05:16
|

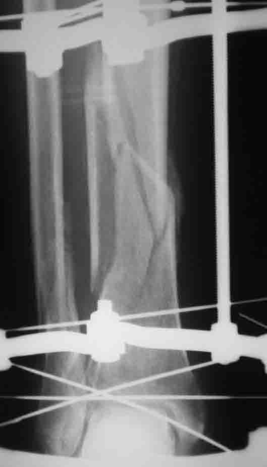
вот при таком внутрисуставном переломе ВЧКО по Илизарову будет методом выбора во многих (возможно, в большинстве) британских центров, где этой методой владеют.
Где не владеют - пусть накладывают опорные пластины. я не против :)
|
| Послать ответ |
Обратите внимание: Поля с жирными названиями обязательны.
Старайтесь отвечать в рамках обсуждаемой темы, а не начинать новые обсуждения.
Указывайте адекватную тему сообщения, чтобы было ясно, о чем оно.
Не послайте сообщений не по теме (оффтопик), раздраженных, грубых или обидных комментариев. Здесь это неуместно.
|