Ответить
|
Re: ЗЧКО по Илизарову голени плохо? Или панецея?
Адонин 26 Октябрь 2010, 05:16
|

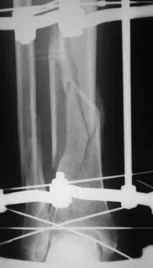
вот при таком внутрисуставном переломе ВЧКО по Илизарову будет методом выбора во многих (возможно, в большинстве) британских центров, где этой методой владеют.
Где не владеют - пусть накладывают опорные пластины. я не против :)
|
[
Ответить ]
|
Re: ЗЧКО по Илизарову голени плохо? Или панецея?
Отправитель: Alexander Chelnokov 27 Октябрь 2010, 23:51
|
Ну, при таком-то переломе и накостный остеосинтез возможен, и даже интрамедуллярный. Аппаратная фиксация становится предпочтительной, наверно, все-таки при более многооскольчатых переломах собственно суставной поверхности, когда спицы в силу их меньшего диаметра позволяют фиксировать множественные мелкие фрагменты под любыми углами.
|
[
Ответить ]
|
Re: ЗЧКО по Илизарову голени плохо? Или панецея?
Отправитель: Адонин 28 Октябрь 2010, 07:45
|
Алекс, снимок сильно ужат и сфотографирован мыльницой, потому я и написал отдельно, что он внутрисуставной.
Пластиной. конечно, можно, но будет травматичнее и ничем не прочнее, чем аппаратом.
|
[
Ответить ]
|
|
( Ответить )
|
|