AOTRAUMA.ORG Центр Илизарова  

Ортопедия и травматология Общие вопросы/General questions Help Информационные технологии в медицине
 вверх
 отправить
 поиск
 админ
 главная


Некорректная установка
Ортопедия и травматология Отправлено Сергей 05 Август 2011, 22:00
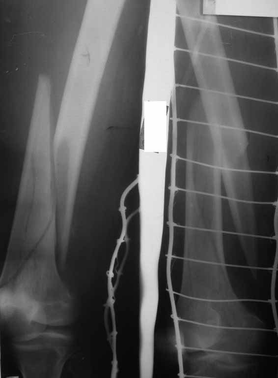
Уважаемые коллеги! 5.08.11 синтез бедренной кости пластиной LCP для дистального бедра.
Прошу совета. П-ка, 59 лет, автодорожная травма, перелом винтообразный н/3 левой бедренной кости. Планировалась закрытая репозиция и малоинвазивный доступ. по ходу операции пришлось немного открыть зону перелома для репозиции. Под контролем ЭОП вроде на столе смещение небольшое было и по оси терпимо. Сделали рентген контроль и получили вот картину. Еще обломилась головка кортикального винта. Синтез то стабильный. Только смещение не только не устранили, но кажется еще чуть больше стало (не могу) первичный снимок сделать). Склонен к ресинтезу и исправлению смещения из расширенного доступа. Как лучше выполнить репозицию? Какие можно использовать приемы репозиции? Спасибо.

<  |  >

 

  • Сообщения о Ортопедия и травматология
  • Также Сергей
  • Связаться с автором
  • Ответить

    Re: Некорректная установка
    Дедок Михаил 06 Август 2011, 00:12
    Если вы твердо уверены, что синтез стабилен, оставьте как есть.
    Срастется обязательно. (только дольше и о ранней нагрузке можно не мечтать)
    [ Ответить ]

    Re: Некорректная установка
    Бен. Э. М. 06 Август 2011, 02:53
    конечно реостеосинтез, у Вас нижнии шуруп в линии перелома.
    [ Ответить ]

    Re: Некорректная установка
    Леонид Пак 06 Август 2011, 04:44
    тип 32А1 - межфрагментарная компрессия стягивающим винтом + нейтрализующая пластина(если говорить о накостном остеосинтезе, кроме того пластинку бы подлинее этак на см 5). Ну а лучше - гвоздь с блокированием - закрыто, стабильно, с нагрузкой в послеоперационном периоде.

    С уважением Леонид Пак
    [ Ответить ]

    Re: Некорректная установка
    Сергей 06 Август 2011, 11:49
    Спасибо,коллеги. Есть только возможность накостного синтеза.
    [ Ответить ]

    Re: Некорректная установка
    Volodymyr Kovalchuk 06 Август 2011, 12:49
    Коллега,для адекватной оценки перелома необходимо предоставлять предоперационные и послеоперационные снимки в двух проекциях. Насколько возможно судить по маленькой картинке прямой проекции, на первый взгляд тут простой винтообразный перелом 32-А1. В таком случае самый стабильный вариант накостного остеосинтеза - это стягивающий винт перепендикулярно линии перелома и нейтрализирующая пластина. Особых показаний к малоинвазивному мостовидному остеосинтезу нет, т.к. при нем ниже стабильность фиксации, и все микродвижения сконтрентрируются в сравнительно небольшой зоне перелома, что приведет к большим смещающим силам. Однако, если присмотрется, на снимке видно что линия перелома продолжается до начала медиального мыщелка, поэтому скорее всего это клиновидным перелом со спиральным клином 32-В1. В таких случаях возможно выполнение мостовидного синтеза, однако в данном случае дистальная часть клина не смещена относительно дистального конца бедренной кости, таким образом, мне кажется, биомеханически ситуация представляет собой среднее между А1 и чистым В1. Смещающие усилия концентрируются в проксимальной части перелома, тогда как в дистальной несмещенной части они минимальны, в т.ч. из-за интактной надкостницы. Поэтому в данном конкретном случае, при невозможности выполнения интрамедуллярного блокирующего остеосинтеза, я бы выполнил остеосинтез с двумя стягивающими винтами (с рассверливанием ближнего кортикала сверлом большего диаметра) и нейтрализирующего остеосинтеза пластиной. Причем пластина могла бы быть даже обычная.

    На представленных снимках, репозиции нет, есть вальгус. Полагаю фиксация не стабильна. Перелом может и срастется, но это будет долго и без нагрузки. Если бы была использована обычная пластина, можно было бы попробовать малоинвазивно подтянуть дистальный отломок и зафиксиривовать парой винтов. Однако примененные блокирующие винты не позволят этого сделать. Как вариант, возможно открытся снизу удалить винты, сделать небольшой доступ в зоне перелома (или попробовать закрыто) ввести 1-2 винта для фиксации клина, и перепровести блокирующие дистальные винты. В любом случае, стабильность при любом из этих вариантов будет заведомо ниже чем при стягивающих винтах + нейтрализирующей пластине. Удачи.
    [ Ответить ]

    • Re: Некорректная установка
      Отправитель: Курышев 06 Август 2011, 20:39
      Коллега, а как Вы увидели вальгус? Снимки то боковые. Или у меня что то не открывается? Почему нет стабильности на боковых снимках?

      [ Ответить ]
    • Re: Некорректная установка
      Отправитель: Сергей 06 Август 2011, 21:17
      Спасибо за подробную оценку и участие. Вы имеете ввиду фиксацию 1-2 винтами дистально и проксимально для клина или только проксимально? Еще один момент. Возможно сломанный кортикальный винт, который я тянул "со всей пролетарской ненавистью" и оторвал голову, выступает как распорка. Боюсь, что не только дистально прийдется выкрутить винты, но и проксимально, и вообще пластину сместить чтобы отломок винта выкрутить. А потом только по порядку: репозиция и синтез. Еще раз спасибо. А вообще есть такое как допустимое смещение? И где можно прочитать если возможно?

      [ Ответить ]
    Re: Некорректная установка
    Игорь Кучерявый 07 Август 2011, 01:34
    Я - за исправление ошибок. Переделать.

    P.S. А была необходимость именно малоинвазивного вмешательства?
    [ Ответить ]

    Re: Некорректная установка
    Павел 07 Август 2011, 02:23
    Иногда гонка за модными методиками остеосинтеза, особенно в тех случаях, когда преимущества этих методов весьма сомнительна, приводит к удивительным результатам. Такого рода перелом и открыто вправить то не всегда просто. Мостовидный остеосинтез хорош при многооскольчатых переломах, в данном случае бережное отношение к тканям при открытом остеосинтезе - и как следствие - предсказуемый стабилльный остеосинтез с хорошим прогнозом. И какая разница какой длины разрез.
    [ Ответить ]

    • Re: Некорректная установка
      Отправитель: Сергей 07 Август 2011, 09:40
      Теперь думаю, что лучше сразу сделать открыто. Особой необходимости не было. Спасибо.

      [ Ответить ]
      • Re: Некорректная установка
        Отправитель: Alexander Chelnokov 07 Август 2011, 11:11
        Зачем в 21 веке диафизарные переломы бедра синтезировать пластинами открыто, особенно если есть ЭОП?? Ведь тут нет около- или внутрисуставного повреждения?
        В конце концов, при таком переломе и LCP закрыто вполне обеспечит сращение.
        А как клинически - ноги сильно разные? Может, оставить так, если деформация в глаза не бросается? Пациентка, встав на костыли, что говорит про форму ног - устраивает? А то, как известно, нет такого состояния, которое нельзя было бы ухудшить операцией.



        [ Ответить ]
        • Re: Некорректная установка
          Отправитель: Сергей 07 Август 2011, 22:07
          Спасибо за мнение. Клинически еще полноценно не посмотрел, 2 сутки после операции. Соответственно еще и не ставил на костыли и не знаю что скажет. В отделении еще посоветуемся, больную посмотрю,спрошу ее согласие если что.

          [ Ответить ]
          • Re: Некорректная установка
            Отправитель: Alexander Chelnokov 07 Август 2011, 22:42
            Если операция малоинвазивная, можно и на следующий день поднять на костыли.
            И все-таки, зачем зачем в 21 в. лечить диафизарные переломы бедра пластинами, а не закрыто блокированными гвоздями?


            [ Ответить ]
            • Re: Некорректная установка
              Отправитель: Сергей 08 Август 2011, 22:41
              Согласен с вами. Я уже говорил, что для больной накостный синтез LSP возможный,бесплатный ( по муниципальной программе). Блокированный синтез бесплатно мы не можем никак поставить, хоть и очень хочется. Еще один момент, у больной IV,Rh(-)группа крови. И на момент операции не было соответственной эр-массы в наличии,и вряд ли могла появиться первые сутки после операции. Еще это привлекло к закрытой методике. Сейчас больная в реанимации. 6.08.11 туда перевели с нестабильной гемодинамикой, стойкой гипотонией. Поэтому ранняя активизация не возможна пока. Решили сегодня совместно не ресинтезировать. Заведующий сказал сделать гипсовый тутор, этим и ограничиться.

              [ Ответить ]
            • Re: Некорректная установка
              Отправитель: Антон Лебединец 09 Август 2011, 11:29
              В наших краях это определяется финансовой составляющей - пластины существенно дешевле блокированных стержней. И ставили бы с удовольствием, но у народа денег на свое здоровье мало-мало :(...А от государства не дождаться.

              С уважением А. В. Л.

              [ Ответить ]
    Re: Некорректная установка
    А. Ситник 07 Август 2011, 11:56
    Мы в последние 4-5 лет переломы дистального отдела бедренной кости синтезируем преимущественно малоинвазивно пластинами с неплохими результатами.

    Для принятия решения в данном случае желательно переделать прямую проекцию на длинной кассете с захватом коленного сустава - четче оценить оси, остаточные и качество фиксации; однако и имеющийся снимок не вызывает ощущения катастрофы - вполне неплохо должно срастаться.
    [ Ответить ]

    Re: Некорректная установка
    Алексей Гринь 07 Август 2011, 12:32
    Уважаемый Сергей. Не вижу ни каких проблем с закрытым реостеосинтезом при наличии ЭОПа.
    Укладываете пациентку на ортопедическом столе на разножки. После из тех же разрезов разбираете конструкцию. Конечно чтобы удалить "винт-распорку" необходимо пластину временно удалить. Из небольшого разреза кожи в месте где винт пальпируется его удаляете. После под контролем ЭОП временно фиксируете спицей (лучше 2) незавершенный клин в дистальном отделе бедра, чтобы его не сместить при дальнейших манипуляциях. Далее выполняете закрытую репозицию спирального перелома (руками, остроконечными щипцами и т.д.) используя возможности ортопедического стола (дистракция, ротация) и фиксаруете опять же спицами. После этого Вы можете выполнить межфрагментарную фиксацию винтами (но можно и не этого и не делать). И на конец вновь устанавливаете пластину но уже на отрепанированное бедро.
    С уважением А.А.Гринь.
    [ Ответить ]

    Re: Некорректная установка
    Volodymyr Kovalchuk 07 Август 2011, 15:26
    Склоняюсь к тому, что лучше переделать. Сломанный винт в зоне перелома с большой долей вероятности является распоркой, что не будет способствовать сращению, особенно учитывая недостаточную стабильность. Действительно, чтобы удалить винт придется временно снять конструкцию. Я бы все-таки ввел для фиксации клина хотя бы 1 винт проксимально, можно не через пластину.

    При наличии ЭОПа, методом выбора здесь, конечно, является интрамедуллярный блокирующий остеосинтез.

    Если говорить в общем, то за исключением плохого состояния мягких тканей, не вижу особых показаний для применения малоинвазивного остеосинтеза пластиной при простых и некоторых клиновидных переломах бедра. Почему? Потому что, в отличии от многооскольчатых переломов, площадь перелома является небольшой, соответсвенно большие смещающие усилия, сконцентрированные на малой площади с большей долей вероятности приведут к вторичному смещению и потери репозиции. Особенно, если последняя изначально была неидальна, а зачастую она такой и является при малоинвазивном остеосинтезе.

    В итоге мы, вместо одно большого доступа имеем два малых, сложности с репозицией ( т.к. просто зашинировать как при многооскольчатом переломе не получится), неидеальную репозицию, замедленную консолидацию и/или вторичное смещение (и ремос в перспективе). Вопрос, та ли это цена, которую стоит платить за "малоинвазивные современные технологии". Особенно с учетом того, что для адекватной фиксации достаточно и простой прямой широкой пластины, и показания для использования LCP зачастую преувеличены. Мне кажется, коллеги, для всех методов имеются свои показания. И недаром эксперты АО, и в мануалах, и на своем сайте, подчеркивают, что с биомеханической точки зрения, главным показанием к MIPO (а заодно и для LCP) являються именно многооскольчатые переломы.
    Я считаю, что во многих случаях хороший малоинвазивный синтез пластиной простого перелома бедра технически выполнить гораздо сложнее чем многооскольчатого.
    Поэтому не даром, первым упражнением на курсах АО остается правильное проведение стягиваюего винта. Конечно, в некоторых случаях возможно под ЭОПом анатомически отрепонировать перелом, закрыто ввести стягивающий винт и потом малоинвазивно зафиксировать пластину. Однако технически это гораздо сложнее чем открытый остеосинтез, и применимо не во всех ситуациях.
    [ Ответить ]

    • Re: Некорректная установка
      Отправитель: Сергей 07 Август 2011, 22:21
      Cпасибо вам за подробную оценку. Технически, конечно проще открыто отрепонировать и зафиксировать перелом. Сам не однократно делал и с простыми и с LSP пластинами. Не делал закрыто ни разу. Может это не тот случай конечно где нужно было его применить.
      Позиционируется этот метод в литературе как " органосохраняющий", кровообращение местное меньше страдает и т. д. С одной оговоркой, ...опыт хирурга нужен. Наверное в моем случае,последнее сыграло роль. Мы LSP ставим пожилым пациентам, чтобы раньше их активизировать. А здесь получается, если все оставить ранняя активизация не возможна с нагрузкой, т.е. в некотором смысле теряется смысл применения этих конструкций. Еще раз спасибо. Будем думать, решать что делать.

      [ Ответить ]
    Re: Некорректная установка
    Павел 07 Август 2011, 17:10
    Полностью согласен с предыдущим оратором!
    [ Ответить ]

    Re: Некорректная установка
    Исмаил Дибиров 07 Август 2011, 22:27
    Доброго дня! Проблема не в выборе методики, а в исполнении. "Хотели как лучше, а получилось как всегда"! Собирать закрыто несрепонированный перелом можно, но это из другого пилотажа. Выход из ситуации тот, с чего надо было начать остеосинтез: разобрать хотя бы дистальный отдел фиксации, сопоставить перелом, пару винтов для межфрагментарной компрессии и завершить синтез. Надо ли менять фиксатор и методику? Вряд ли есть в этом необходимость, тем более не ФОМС же это проплатил..?..Разрезов тех, что есть может и хватить, может только в зоне перелома для сопоставления и м/фрагмент. фиксации добавить небольшой разрез. Сломанный винт удалить из того же разреза, думаю, не проблема. В большинстве своем для нас эта ситуация периодически повторяемая. Предоперационное серьезное планирование с разбором всех возможных нюансов пока что то необязательное. Неудачное течение операции в наши планы совсем не входит, мы к ней оказываемся не готовы, хотя в этом нет ничего фатального. Травматология в отличие от полостной хирургии тем и замечательна, что все можно поправить своевременно и не доводя до абсурда!
    [ Ответить ]

    • Re: Некорректная установка
      Отправитель: Сергей 08 Август 2011, 22:46
      Cпасибо. Пластина больной установлена бесплатно,по муниципальной программе. Решили не ресинтезировать, заведующий сказал тутор гипсовый сделать. Не знаю правда зачем. Ну прийдется.

      [ Ответить ]
    Re: Некорректная установка
    Katsevman Efim 19 Август 2011, 03:21
    Ia bi pomenial platu na retrogradnii gvozd c blokirovkoi . Eto plata po moemu bolshe podxodit dlia mezmishelkovix i nadmishelkovix perelomov femora.
    gvozd ispravit smeshenie i v stabilnosti emu net ravnix.
    [ Ответить ]

    Re: Некорректная установка
    Volodymyr Kovalchuk 02 Сентябрь 2011, 01:53
    Еще один очень важный нюанс при лечении диафизарных переломов бедра и голени - это лигаментотаксис. Простыми словами, перелом нужно достаточно растянуть. Нам известно три способа как это сделать:

    1) мануальный руками (самый дешевый и распостраненный, требует недюжинных усилий и +1 ассистента)
    2) ортопедический стол (самый дорогой, длительное время на подготовку)
    3) большой бедренный дистрактор (самый любимый, золотая середина)

    В данному случае, в том числе, перелом не был достаточно растянут. Во многих случаях (преимущественно все-таки при многооскольчатых переломах) именно тракция является основным репонирующим моментом, который и восстанавливает длину и ось. Остается только следить за ротацией. Мышечно-фасциальные футляры во время тракции восстановят правильные соотнешения, если только нет интерпозиции.




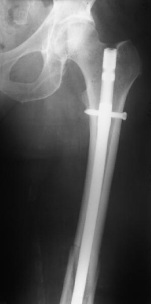
    Представляю вам один из наших недавних случаев выполнения малоинвазивного остеосинтеза бедренной кости обычной пластиной 95 градусов. Длина восстановлена с помощью дистрактора (по сути это основная и б(о)льшая часть репозиции). Произведено два небольших доступа, проведена спица направитель. Рентген-контроль для подтверждения достаточной длины/оси (ЭОП использовался в другой операционной). Создание туннеля обратной стороной фиксатора. Поворот фиксатора, введение клинка по спице. Фиксация проксимального и дистального концов пластины.

    [ Ответить ]

    • Re: Некорректная установка
      Отправитель: Сергей 03 Сентябрь 2011, 10:19
      Спасибо. Согласен про тракцию.

      [ Ответить ]
    • Re: Некорректная установка
      Отправитель: Alexander Chelnokov 03 Сентябрь 2011, 16:19
      Приветствую,

      2 сентября 2011 г. 1:54 пользователь Volodymyr Kovalchuk написал:

      Еще один очень важный нюанс при лечении диафизарных переломов бедра и голени - это лигаментотаксис.


      При диафизарных переломах нет необходимости в лигаментотаксисе, то есть тяге за связки через сустав, тракционное усилие целесообразно прикладывать непосредственно к концам поврежденного сегмента.



      Простыми словами, перелом нужно достаточно растянуть. Нам известно три способа как это сделать:


      Есть возможность использовать дистрактор из полуколец и дуг аппарата Илизарова, которые крепятся к спицам.



      следить за ротацией. Мышечно-фасциальные футляры во время тракции восстановят правильные соотнешения, если только нет интерпозиции.


      Мышечная интерпозиция после восстановления длины с перерастяжением - не миф?


      Представляю вам один из наших недавних случаев выполнения малоинвазивного остеосинтеза бедренной кости обычной пластиной 95


      Получилось очень симпатично, поздравляю и восхищаюсь мастерством.
      Хотя закрытый остеосинтез блокированным гвоздем выглядит технически проще, особенно при диафизарных переломах. Не говоря о биомеханических преимуществах внутрикостного имплантата, еще меньшей инвазивности, возможности динамизации при проблемах со сращением... Стоимость гвоздей и пластин сопоставимая, на рынке есть масса отечественных предложений.



      В приложении - недавний перипротезный перелом.
      Методичка по закрытому интрамедулярному остеосинтезу при дистальных переломах бедра тут.


      [ Ответить ]
      • Re: Некорректная установка
        Отправитель: Сергей 04 Сентябрь 2011, 17:43
        Спасибо, рады любой информации, особенно методикам установки. Если бы еще муниципалитет нам гвозди помог приобрести... только мечты.


        [ Ответить ]
    Re: Некорректная установка
    Andrey Rublenko, БСМП, Винница 02 Сентябрь 2011, 21:30
    Спасибо за презентацию случая, Владимир. А где Вы работаете в Киеве, если не секрет?
    [ Ответить ]

    • Re: Некорректная установка
      Отправитель: Volodymyr Kovalchuk 04 Сентябрь 2011, 14:51
      Спасибо большее, Александр Николаевич!

      Полностью согласен с вами по поводу интрамедулярных фиксаторов при диафизарных переломах. Мы ведь обеими руками за. Однако в нашей стране реалии таковы, что в любом случае обычная пластина украинского производства (прямая/клинкова/любая другая) изначально будет в разы дешевле самого простого российского стержня. Свои, к сожалению, не производятся.

      При низких переломах, когда клин опускается к суставу, пусть и без смещения внизу, мы опасаемся за стабильность когда есть шанс ввести дистальные блокировочные винты в клин.

      Спасибо за ваш случай, очень элегантное решение перипротезного перелома.

      Наша клиника - Киевская обласная клиническая больница.
      На базе - кафедра Ортопедии и травматологии № 2 НМАПО им. П.Л. Шупика.
      Руководитель клиники и заведующий кафедрой - д.м.н., проф. Анкин Николай Львович.

      [ Ответить ]
      • Re: Некорректная установка
        Отправитель: Alexander Chelnokov 04 Сентябрь 2011, 20:23
        Приветствую,
        пластина украинского производства (прямая/клинкова/любая другая) изначально будет в разы дешевле самого простого российского стержня. Свои, к сожалению, не производятся.


        Иногда доводится бывать у украинских коллег (к сожалению, реже, чем хотелось бы) - и как-то не складывается впечатление о недоступности блокированных стержней? Если ничего не путаю, даже рассказывали об отечественных разработках, в Запорожье какие-то стержни вроде выпускали...
        Ну и, помнится, лет 10-15 назад, когда в России трудно было раздобыть блокированные стержни, брали старые 4-гранные, да сверлили отверстия, пользовались кортикальными винтами 4,5 мм. Штук 30 успели таких операций сделать у нас в отделении.


        При низких переломах, когда клин опускается к суставу, пусть и без смещения внизу, мы опасаемся за стабильность когда есть шанс ввести дистальные блокировочные винты в клин.


        Это отдельная проблема фиксации короткого широкого отломка, Решения - если есть только диафизарный гвоздь. то спилить кончик, чтобы дистальное отверстие было на самом конце. Это делали лет 20 назад. На сегодня есть много штифтов, позволяющих ввести 3-4-5 запирающих винтов, еще и не только во фронтальной плоскости, и антеградных, и ретроградных...


        Руководитель клиники и заведующий кафедрой - д.м.н., проф. Анкин Николай Львович.

        Привет ему огромный, может, в Праге на следующей неделе увидимся?
        Коллеги, кто на SICOT едет?

        [ Ответить ]
      • Re: Некорректная установка
        Отправитель: Николай Городиский 04 Сентябрь 2011, 22:51
        Доброго дня суток уважаемые коллеги.
        По поводу интрамедулярных стержней хочу сказать что один видел у больного нашего производства( Запорожье ). Только стоимость не знаю.
        С уважение Николай
        Черкассы

        [ Ответить ]

     

    ( Ответить )

    Powered by Zope  Squishdot Powered MedLink
    Посетитель: 0104974
      "По форме правильно, а по существу - издевательство" В.И.Ленин
    ©2001-2019Orthoforum Coordinator.
    [ Главная | Отправить сообщение | Поиск | Админ ]