вверх
отправить
поиск
админ
главная
Предыдущее
Весь тред
|
Re: перелом бедра
VlaD 25 Октябрь 2011, 21:25
|
Уважаемый Антон!
Вы затрагиваете слишком глобальные вопросы. Чтобы дать аргументированные ответы на них, необходимо коснуться основных принципов интерлокинга. Безусловно, это моё персональное мнение, основанное на личном практическом опыте и доступных мне теоретических сведениях и, может быть, в некоторой степени, не совпадающее с общепринятыми положениями. Прошу прощения за излишне длинный пост и освещение общеизвестных фактов. Существует два способа создания биомеханической системы интрамедуллярный стержень – сломанная длинная трубчатая кость. Первый способ был предложен основателем интрамедуллярного остеосинтеза Герхардом Кюнчером. Когда мы вводим какой-либо объект (стержень) в какую-либо структуру (длинную трубчатую кость), оказывается определённое давление на эту структуру, которое вызывает обратное давление на этот объект и таким образом образуется упругое взаимодействие между структурой и объектом. Кюнчер использовал эту фундаментальную идею, когда поместил стержень в костномозговой канал. Стержень имел форму трилистника в поперечном сечении и продольный разрез по всей длине стержня. Поперечное сечение стержня было шире, чем костномозговой канал, что позволяло стержню при введении деформироваться и плотно прилегать к стенкам костномозгового канала и тем самым обеспечивать стабильную фиксацию. Однако надёжность фиксации при таком способе достигалась только на уровне истмуса. Проблемной оставалась ротационная стабильность. Всё это привело к появлению блокированных стержней. Диаметр их меньше диаметра костномозгового канала, что облегчает введение. Кроме того, благодаря более толстым стенкам самих стержней, отсутствию продольного разреза и блокировочным винтам надёжность фиксации переломов значительно повышается, причём вне зависимости от их вида. Появилась возможность обеспечит стабильную фиксацию супра- и инфраистмальных переломов. Изменилась философия создания биомеханической системы «стержень-кость». Вместо плотного прилегания стержня к стенкам костномозгового канала, кость и стержень соединяются между собой с помощью блокирующих винтов, образуя при адекватном блокировании биомеханическую систему с высоким уровнем стабильности. В этой системе одинаково важное значение имеют прочностные характеристики трёх элементов: стержня, блокирующих винтов и того участка самой кости, где они расположены. Если взять за аксиому, что металлоконструкции изготовлены из качественного металла, то прочность стержня будет зависеть от его диаметра, а прочность блокирующих винтов от их диаметра и количества (не менее двух, лучше в разных плоскостях при инфраистмальных переломах). Поэтому в достижении адекватной стабильности создаваемой биомеханической системы остаются критически важными прочностные характеристики третьего элемента этой системы - самой кости дистального отломка, в которой располагаются блокирующие винты. И если они достаточны, и размер дистального отломка (даже реконструированного с адекватной фиксацией) подходит для расположения необходимого количества блокирующих винтов, то не имеет абсолютно никакого значения какой у вас перелом: диафизарный, метафизарный или даже эпифизарный. Всё это условные названия анатомических областей кости. Основополагающее, ключевое значение имеют два вышеупомянутых фактора. Возможность реализации этих двух факторов зависти от адекватного информационного обеспечения (качественные рентегнограммы и особенно КТ места проведения блокирующих винтов) и от личного опыта хирурга. Безусловно, при внутрисуставных переломах первостепенное значение должно уделяться точной анатомической репозиции суставной поверхности. Но если после её выполнения появляется возможность реализовать два вышеупомянутых требования, то не должно существовать непреодолимых препятствий для фиксации перелома самым лучшим на сегодняшний день способом – блокированным остеосинтезом. Он лучший по определению. Стержень располагается в центре механической нагрузки. Только один этот факт (а есть ещё много других) перевесит все достоинства любого накостного остеосинтеза в плане надёжности фиксации и возможности ранней нагрузки, в том числе пластинок с угловой стабильностью. Кстати, блокирующие винты в стержне являются более мощным препятствием для возникновения угловых деформаций дистального отломка, чем винты в пластинке с угловой стабильностью. Их угловая стабильность обеспечена поперечным каналом в стержне, длиной, как правило, более 1 см посередине блокирующего винта, а не 2-3 витками резьбы на головке винта на его одном конце. Это к вопросу о «риске вторичного смещения».
Однако в случае, представленном Константином Никитиным, не может быть применён ни ретроградный ни антеградный остеосинтез. Причина - нереально выполнить вышеуказанные необходимые требования, касающиеся дистальных блокирующих винтов. Из-за низкого перелома латерального мыщелка (перелом Hoffa) невозможно через него провести хотя бы 2 блокирующих винта, поскольку линия перелома мыщелка расположена либо на уровне верхушки межмыщелковой ямки либо незначительно проксимальнее. Поэтому авторам, с моей точки зрения, необходимо прислушаться к рекомендациям Джолдаса.
С уважением, VlaD.
|
|
|
Ответить
|
Re: перелом бедра
Антон Жаглин 27 Октябрь 2011, 13:01
|
Уважаемый VLaD! Радует уже тот факт, что мы с Вами сошлись на том, что в предложенном случае ни антеградное, ни ретроградное штифтование не является оптимальным видом лечения. В остальном...Главным критерием стабильности B1,B3 и С1,С2 типов внутрисуставных переломов для меня является наличие межфрагментарной компрессии. И если я ее добиваюсь, то считаю данный вид фиксации адекватным.(исключения есть, не о них речь). Блокированные винты в штифте создают РОТАЦИОННУЮ стабильность трубчатой кости и никогда не были блокированы в штифте (исключение- система ASLS). Cледовательно, винты в пластине и штифте выполняют абсолютно разные задачи. Разнонаправленные блокированные винты LHS в пластине могут выполнять роль "держателей пространства" в разных плоскостях, винты неблокированные выполняют роль компрессирующих, а винты в штифте- деротационные, они слишком узконаправлены и единичны для осевых нагрузок отдельных фрагментов. И меня, как практика, волнует вопрос -вертикализирую ли я больного сразу после оперции или нет. Так вот, в случае даже с простым внутрисуставным переломом штифт, в этом аспекте, не имеет никакого преимущества перед пластиной. Обсуждать диафизарные переломы смысла нет, тут все понятно. Спасибо!
С Уважением, Антон Жаглин,MD
|
[
Ответить ]
|
Re: перелом бедра
Отправитель: VlaD 29 Октябрь 2011, 02:41
|
Уважаемые коллеги Антон Жаглин и Volodymyr Kovalchuk!
Мне отнюдь не нравится форма ответа, когда чей-то пост разбирают на отдельные предложения (или даже части предложений) и на них дают ответы. Иногда предложение, вырванное из контекста, приобретает совершенно другой смысл. Но абсолютно нет времени и не вижу другого выхода, как обратиться к такой форме.
> Радует уже тот факт, что мы с Вами сошлись на том, что в предложенном случае ни антеградное, ни ретроградное штифтование не является оптимальным видом лечения.
В предложенном случае любой вид интерлокинга не только не является оптимальным, но и, с моей точки зрения, неприемлемым по причинам, обозначенным в предыдущем посте.
> Блокированные винты в штифте создают РОТАЦИОННУЮ стабильность трубчатой кости
Блокированные винты создают не только ротационную стабильность дистального отломка по отношению к стержню, а значит и по отношению к проксимальному отломку. Они обеспечивают стабильность дистального отломка во всех других плоскостях, препятствуют его смещению по длине, ширине, под углом, а также обеспечивают weight-bearing.
> и никогда не были блокированы в штифте (?)
И за что только дали такое название методу – блокированный остеосинтез?
> И меня, как практика, волнует вопрос -вертикализирую ли я больного сразу после операции или нет. Так вот, в случае даже с простым внутрисуставным переломом штифт, в этом аспекте, не имеет никакого преимущества перед пластиной.

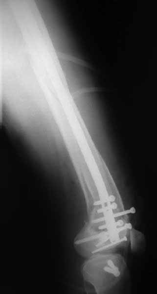
Ответ на эту часть Вашего поста – вложенный файл. Больная оперирована неделю назад по поводу открытого перелома дистального эпиметафиза бедренной кости. После операции она идёт в рентгенкабинет для выполнения послеоперационной контрольной рентгенографии, представленной на слайдах 10 и 11. Узнав, почему её фотографируют, просила передать Вам, Антон, привет.
P.S.
Уважаемые, надеюсь, молодые коллеги. В нашем деле должны гармонично сочетаться теоретические знания и практика. Осваивайте на практике этот замечательный, но технически непростой метод. Владея им в совершенстве, вы найдёте достойный выход из многих затруднительных ситуаций, облегчите жизнь себе, и, что намного более важно, вашим пациентам.
С уважением, VlaD.
|
[
Ответить ]
|
Re: перелом бедра
Отправитель: Евгений Чекашкин 30 Октябрь 2011, 00:23
|
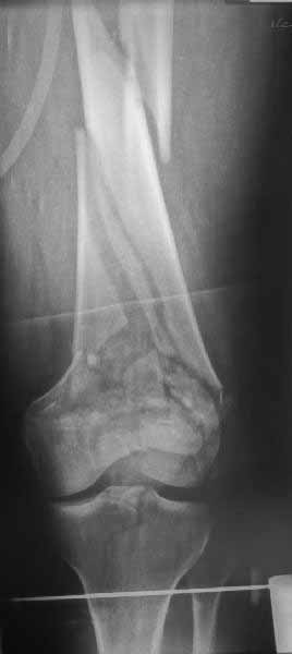
наружный мыщелок не дорепонироавн - это приводит к вальгусной деформации оси коленного сустава, очень критично для последующей функции.
Евгений Чекашкин
|
[
Ответить ]
|
Re: перелом бедра
Отправитель: Alexander Chelnokov 30 Октябрь 2011, 02:33
|
>>и никогда не были блокированы в штифте (?)
> И за что только дали такое название методу – блокированный остеосинтез?
Из-за ущербного перевода термина interlocking. "Межзапорный" было бы точнее, но, видимо, не очень благозвучно.
Во всяком случае, остеосинтез этот характеризуется именно запиранием гвоздя винтами выше и ниже перелома, что добавляет устойчивость против смещений по оси и ротационных.
И "блокирование" винта в гвозде тут ни при чем.
Хотя есть модификации гвоздей с резьбовыми отверстиями, и другие трюки, обеспечивающие более тугую посадку винта в отверстия.
|
[
Ответить ]
|
Re: перелом бедра
Отправитель: Антон Жаглин 30 Октябрь 2011, 22:52
|
VLaD!Спасибо за трогательные пожелания))) Чем и занимаюсь)))
Теперь принципиально:
-пластина является универсальным имплантом выбора для всех типов внутрисуставных переломов;
-винты блокированы в пластине и создают угловую стабильность в отличие от блокирующих винтов в штифте. Последние создают блок в системе кость-штифт (отсюда, кстати, и название);
-пластина дает дополнительные возможности непрямой репозиции (при помощи компрессирующих винтов по ее премоделированному контуру);
-количество отверстий под винты в пластине и возможность введения полиаксиальных винтов имеют явные преимущества перед узконаправленными винтами в штифте;
-никогда даже суперотрепонированный и стабилизированный внутрисуставной перелом не станет внесуставным и значит, что лечить эти переломы нужно по принципам внутрисуставных;
-искренне рад (я еще не потeрял такую способность))) за удачно прооперированную Вами пациентку, хотелось бы отследить ее случай и далее.
За сим кланяюсь, спасибо за интересный разговор! Начинается новая неделя, пойду "гармонично сочетать теоретические знания и практику")))
С уважением, Антон Жаглин,MD
|
[
Ответить ]
|
Re: перелом бедра
Отправитель: Alexander Chelnokov 30 Октябрь 2011, 02:08
|
Антеградное штифтование не очень годится при переломах типа C3, когда есть многооскольчатость именно суставной поверхности. А при переломах типа C1 и С2, т.е. и в обсуждаемом случае тоже, он как раз вполне оптимален. На межфрагментарную компрессию как-то не приходилось так драматически полагаться при интрамедуллярном остеосинтезе, результаты хорошие без нее были.
В этой терминологии мы, получается, создавали компрессию встречными спицами с упорами или reduction clamps, а потом вполне обходились запирающими винтами как позиционными. Бывает, проводим 1-2 спонгиозных винта 6,5-8 мм - вот они вполне компрессирующие.
И уже лет шесть мы используем возможность ввести в дистальное овальное отверстие 3 винта, которые именно запираются в этом отверстии, не люфтят, а обеспечивают угловую стабильность - см картинку.

Получается и стабильно, и очень дистально, нижний край отверстия в 3 мм от дистального конца гвоздя.
|
[
Ответить ]
|
Re: перелом бедра
Отправитель: VlaD 30 Октябрь 2011, 12:17
|
С моей точки зрения, безусловная ценность предложенного Вами, Александр Николаевич, стержня состоит в возможности введения блокирующих винтов максимально близко к суставной поверхности дистального отломка, что значительно расширяет показания для применения интерлокинга. Можно предположить, что в техническом плане таким образом ввести блокирующие винты является непростой задачей. Кроме того, все они расположены в одной плоскости на небольшом расстоянии друг от друга.

Мне представляется, что конструкция с максимальными прочностными характеристиками будет иметь вид предложенной во вложенном файле. Такую конфигурацию расположения блокирующих отверстий на дистальном конце имеет стержень для большеберцовой кости фирмы ChM. Для бедренной кости такой стержень мне неизвестен. Поэтому в необходимых случаях (хорошо, что такие случаи встречаются не часто), как вариант, мы используем custom made стержень.
С уважением, VlaD.
|
[
Ответить ]
|
Re: перелом бедра
Отправитель: Alexander Chelnokov 30 Октябрь 2011, 23:46
|
>Можно предположить, что в техническом плане таким образом ввести блокирующие винты является непростой задачей.
Чуть посложнее, чем один винт. Надо ввести в отверстие спицу, далее по направителю еще две, и по ним канюлированным сверлом. Ну и вводить двумя отвертками надо, чтобы раньше времени не заклинилось.
> Кроме того, все они расположены в одной плоскости на небольшом расстоянии друг от друга. Мне представляется, что конструкция с максимальными прочностными характеристиками будет иметь вид предложенной во вложенном файле.
Рационально ориентироваться на качественный аспект - проблема или решается, или нет. Переломы типа 33C1 или C2 (то есть без фронтального раскалывания мыщелков, как на показанной Вами томограмме) при обычном качестве кости успешно можно фиксировать гвоздями с фронтальными винтами. Получается, их прочностных характеристик уже достаточно.
Да, если винтов вводить больше, под разным углами, увеличить их диаметр, использовать вместо винтов что-то другое (спиральный клинок, двутавр, еще что-то), делать аугментацию цементом и т.д. и т.п., прочностные характеристики можно увеличивать. Но раз планку приемлемости для таких переломов преодолевают конструкции с фронтальными винтами, то дальнейшее количественное изменение прочности не становится качественным. То есть после девятой ложки сахара чай слаще уже не делается.
Да, есть другие ситуации (переломы C3, или остеопороз, или инфекция, или дефект, или надо завтра прыгать на свежепочиненной ноге без парашюта, или еще что-то) - там планка приемлемости может быть расположена по-другому, и минимально приемлемой будет другая конструкция.
>Такую конфигурацию расположения блокирующих отверстий на дистальном конце имеет стержень для большеберцовой кости фирмы ChM. Для бедренной кости такой стержень мне неизвестен. Поэтому в необходимых случаях (хорошо, что такие случаи встречаются не часто), как вариант, мы
Такое проведение винтов становятся критически важным при переломах типа C3. Где, как правило, без открытой репозиции не обойтись. И пластины тут предлагают больше возможностей - и винтов много, и полиаксиально можно вводить. Иногда гвозди тоже получается использовать. Раз уж колено открыли, то через него и ввести проще, и винты в разных плоскостях с кондуктором удобнее вводить. Так что ретроградные становятся привлекательнее. И большеберцовые, кстати, в качестве ретроградных бедренных очень хорошо использовать.

В приложении пример недавней операции, C3, открытая репозиция, фиксация мыщелков спицами и винтами, ретроградный синтез большеберцовым гвоздем 10,5 мм диаметром, винты 5 мм.
|
[
Ответить ]
|
Re: перелом бедра
Отправитель: VlaD 31 Октябрь 2011, 09:36
|
> = Да, если винтов вводить больше, под разным углами, увеличить их диаметр, использовать вместо винтов что-то другое (спиральный клинок, двутавр, еще что-то), делать аугментацию цементом и т.д. и т.п., прочностные характеристики можно увеличивать. Но раз планку приемлемости для таких переломов преодолевают конструкции с фронтальными винтами, то дальнейшее количественное изменение прочности не становится качественным. То есть после девятой ложки сахара чай слаще уже не делается.
Дело, безусловно, не в девятой ложке. Одним из наиболее существенных преимуществ блокированного стержня перед другими металлоконструкциями при диафизарных переломах является его универсальность. Им можно стабилизировать практически любые виды переломов. И с моей точки зрения, уже давно назрела необходимость в разработке такого же универсального стержня для дистальных переломов бедренной кости, возможности которого будут охватывать максимально широкий спектр переломов дистального эпиметафиза бедра. Мне представляется, что конструкция, описанная в моём предыдущем посте, в наибольшей степени учитывает возможные варианты переломов и обеспечит максимальную из возможных прочность их фиксации.
> = Иногда гвозди тоже получается использовать. Раз уж колено открыли, то через него и ввести проще, и винты в разных плоскостях с кондуктором удобнее вводить. Так что ретроградные становятся привлекательнее. И большеберцовые, кстати, в качестве ретроградных бедренных очень хорошо использовать.
Позволю себе напомнить коллегам ещё раз, что являюсь сторонником антеградного остеосинтеза при переломах дистального эпиметафиза бедренной кости. Такая приверженность основана не на преимуществах внесуставного введения стержня или большем проценте положительных результатов. Она основана на возможности обеспечить блокирование на минимальном расстоянии от суставной поверхности в нескомпрометированной кости и, таким образом стабилизировать максимально низкие переломы. В приведенном Вами случае самый дистальный из блокирующих винтов проведен на расстоянии более 2 см от конца стержня. Из-за того, что к стержню присоединяется кондуктор, на стержне теряется 1-1,5 см его длины, где можно было разместить отверстия для блокирования. И что более важно, вместе с потерянной для этой цели длиной стержня утрачивается для размещения блокировочных винтов, пожалуй, самая ценная часть дистального эпиметафиза бедренной кости. Проблемы дистального блокирования в разных плоскостях, локализации точки ввода стержня при антеградном остеосинтезе – это всё решаемые технические проблемы. Но антеградный остеосинтез низких дистальных переломов бедра при адекватном блокировании в нескомпрометированной кости обеспечивает решение стратегической задачи – стабильный остеосинтез и возможность нагрузки.
С уважением, VlaD.
|
[
Ответить ]
|
Re: перелом бедра
Отправитель: Alexander Chelnokov 10 Ноябрь 2011, 09:43
|
Ответил в рассылку, сюда забыл переложить...
Исправляюсь.
Приветствую,
И с моей точки зрения, уже давно назрела необходимость в разработке такого же универсального стержня для дистальных переломов бедренной кости, возможности которого будут охватывать максимально широкий спектр переломов дистального эпиметафиза бедра. Мне
Стержень для дистальных переломов - специализированный, так что, выходит, хочется "универсальный специализированный" стержень - оксюморон получается.
Безусловно, тенденция последних 5-7 лет как раз в сторону увеличения количества разнонаправленных отверстий на обоих концах.
И развиваются обе тенденции - и в сторону универсальных, и в сторону специализированных. Что хорошо.
Действительно, специализированых антеградных дистальных для бедра никто из производителей целенаправленно не позиционирует (может, не все знаю?). Производители ориентируются на рынок сбыта, который для антеградных дистальных будет, понятное дело, очень-очень ограниченный. В силу того, что несмотря на все многолетние старания немногочисленных энтузиастов, к которым отношу и себя, этот подход остается малопопулярным. И в основных "библиях" даже не упоминается. Хотя и диссертация была (Виноградский А.Е., 2007) и методичку выпустили (на weborto.net есть)...
Наш гвоздик, выпускаемый предприятием ЦИТО, тоже скорее из универсальных, хотя и с расширенными возможностями для дистальных переломов. Это овальное отверстие внизу задумывалось как динамическое для высоких переломов, очень дистально его разместили, чтобы не опасаться перелома гвоздя по этому отверстию. А возможность вот такого введения винтов, образующих "сборный клинок", обнаружилась года через 3 его применения.
положительных результатов. Она основана на возможности обеспечить блокирование на минимальном расстоянии от суставной поверхности в нескомпрометированной кости и, таким образом стабилизировать максимально низкие переломы.
:-) Где-то мы это уже слышали...
Но практика показывает, что классификации существуют не зря, и стоит пользоваться ими, а не ориентироваться на абстрактные "максимально низкие переломы". Подавляющее большинство поступающих к нам больных с дистальными переломами - это C1 и С2. И показанный в прошлом сообщении гвоздик прекрасно справляется. Наверно, сгодятся и многие современные гвозди разных производителей, типа RAFN Synthes. А вот при настоящих C3 одним гвоздем не обойтись, нужны как минимум винты мимо, а то и введение на одном уровне нескольких винтов и/или спиц веером...
В приведенном Вами случае самый дистальный из блокирующих винтов проведен на расстоянии более 2 см от конца стержня.
На этом большеберцовом стержне центр ближайшего к кондуктору отверстия в 14 мм от конца. И пример был про то, что пластина тут, скорее всего, была бы не худшим выбором.
Из-за того, что к стержню присоединяется кондуктор, на стержне теряется 1-1,5 см его длины, где можно было разместить отверстия для блокирования.
Попадался какой-то ретроградный гвоздь, где на уровне резьбового канала есть отверстие, в которое вводится винт после отсоединения кондуктора, через который это отверстие с одной стороны намечается. Можно такие и самим сверлить. Раньше частенько делали такое, когда большеберцовые гвозди использовали для проксимального плеча, например...
точки ввода стержня при антеградном остеосинтезе – это всё решаемые технические проблемы. Но антеградный остеосинтез низких дистальных переломов бедра при адекватном блокировании в нескомпрометированной кости обеспечивает решение стратегической задачи – стабильный остеосинтез и возможность нагрузки.
Боюсь, это борьба с ветряными мельницами. Если суставная поверхность собирается из кусочков мозаики, введенные сквозь гвоздь 1-2 винта в пределах 10 мм от суставной поверхности универсально проблему не решат. Для крупных фрагментов мыщелков (C1-C2) решения уже есть. Особенно когда мы лечим закрыто, чем более дистальный перелом, тем больше мы предпочитаем антеградный остеосинтез.
|
[
Ответить ]
|
|
( Ответить )
|
|