вверх
отправить
поиск
админ
главная
|
Несращение бедра после реостеосинтеза |
 |
 |
 |
Отправлено Бережной Сергей 19 Март 2014, 00:56
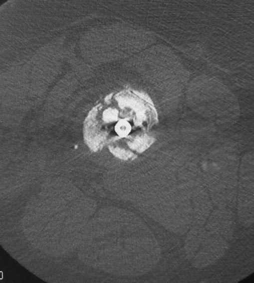
Уважаемые коллеги. Хотелось бы выслушать мнения и советы по представленному случаю. Пациент 42 лет, вес 130 кг, рост около 160 см, сахарный диабет в легкой форме (впервые выявлен после травмы). Травма в феврале 2011 г. - упал с мотоцикла на отдыхе за рубежом. По возвращении в Россию был прооперирован в несколько этапов: в марте 2011 г. - остеосинтез обеих костей правого предплечья пластинами по поводу открытого перелома; интрамедуллярный остеосинтез правого бедра; остеосинтез проксимального конца правой большеберцовой кости. В апреле 2011 г. был доставлен 1 блокирующий винт в дистальное отверстие гвоздя и выполнена пластика крестообразных и наружной боковой связок левого коленного сустава. В феврале 2012 г. были удалены фиксаторы с проксимального конца правой большеберцовой кости и выполнена пластика крестообразных и наружной боковой связок правого коленного сустава. За это время пациент смог начать ходить, сначала с костылями, а затем - без дополнительной опоры. Летом 2013 г. решил укрепить ноги с помощью подъемов пешком на пятый этаж. В результате - усталостная рефрактура правого бедра и перелом интрамедуллярного гвоздя. 09.09.2013 - реостеосинтез латеральным бедренным гвоздем с пластикой костной аутостружкой + СhronoS. Сейчас, через 6 мес после операции, может ходить без дополнительной опоры, периодически беспокоит болезненность в области правого бедра. На сегодняшних КТ - отсутствие признаков консолидации. Нужно ли что то делать и, если да, то что? Рассматриваемые варианты: повторная костная пластика дефекта; доставить блокирующие винты (самый проксимальный винт был удален через 3 мес после операции). Еще раз менять гвоздь не хотелось бы. На представленных снимках: бедро в 2011 г., через несколько мес после операции; в 2012 г., на стадии консолидации; со сломанным гвоздем; сразу после повторной операции (3 рентгенограммы). Все КТ - сегодняшние. Заранее спасибо за ответы.
<
|
>
|
|
Ответить
|
Re: Несращение бедра после реостеосинтеза
Андрей Алексеев 19 Март 2014, 12:05
|
Доброго дня! Уважаемый Сергей, думаю, что проблема не в необходимости костной пластики, а в отсутствии стабильной фиксации (как при инфраистмальном переломе большеберцовой кости).
|
[
Ответить ]
|
Re: Несращение бедра после реостеосинтеза
Александр Ситник 19 Март 2014, 14:47
|
А какой диаметр последнего стержня? По представленным снимкам кажется, что тонковат...?
|
[
Ответить ]
|
Re: Несращение бедра после реостеосинтеза
Отправитель: Бережной Сергей 19 Март 2014, 23:09
|
Второй гвоздь был на 2 см длиннее и на 1 номер толще предыдущего. По-моему десятка.В принципе какая разница? Впечатление о том, что тонковат, ведь не зависит от реальной толщины гвоздя. Канал не рассверливал. Но забивал с трудом.
|
[
Ответить ]
|
Re: Несращение бедра после реостеосинтеза
Отправитель: Alexander Larionov 20 Март 2014, 06:36
|
Мне тоже показалось, что тонковат. Но, раз операция нежелательна, надо ждать и лечить консервативно. При неуспехе - на мой взгляд, замена стержня на более толстый с рассверливанием канала и, возможно, костной пластикой.
|
[
Ответить ]
|
|
Re: Несращение бедра после реостеосинтеза
Алексей Семенистый 20 Март 2014, 00:06
|
Сергей, а ?ожно по подрбнее о костной пластике при в сентябре 2013 приреостеосинтезе. Что это была за пластика? доступ? было ли рассверливание? диаметр гвоздя?
ждать-не ждать? Срочности нет, подождать можно, но активно, т.е. оценить клиническую и рентгенологическую динамику: два месяца назад, сейчас и еще через пару месяцев. Уменьшатся боли, появится более убедительная мозоль - ждите и наблюдайте дальше. Отсутствие положительной динамики можно приравнять к отрицательной динамике. Очевидно, что здесь имеют место быть обе проблемы: биологическая -мозоль слабая и механическая - тонкий гвоздь, недостаточная стабильность. Тогда -удаление, рассверливание (очень аккуратное, по 0.5 мм шаг, острыми фрезами, чтобы не пожечь кость - кортикал толстый и довольно прочный). Для 130 кг диаметр гвоздя минимум 12 мм, лучше больше. Здесь можно и 14мм гвоздь взять и блокировать дистально винтами 6,0 мм. Открывать перелом и пытаться делать еще пластику экстрамедуллярно не стоит. Рассверливания будет достаточно.
Удачи
|
[
Ответить ]
|
Re: Несращение бедра после реостеосинтеза
Отправитель: Алексанрдр Ситник 20 Март 2014, 12:17
|
Вот и мы бы так сделали.
|
[
Ответить ]
|
|
Re: Несращение бедра после реостеосинтеза
Alexander Larionov 20 Март 2014, 06:34
|
Я бы подождал до года-полутора после крайней операции и динамизации. Назначил бы курсами ФТЛ и ЭРУВТ на зону перелома
|
[
Ответить ]
|
Re: Несращение бедра после реостеосинтеза
Anton Kovalenko 20 Март 2014, 06:35
|
Согласен, стержень тонковат в дистальном отломке. Если совсем никак не возможно перепровести с рассверливанием более толстый стержень, можно согласиться с вашим предложением ввести еще один винт в дистальный конец гвоздя, но полностью убрать винты из проксимального отломка, чтобы перенести осевую нагрузку на кость и не опасаться перелома гвоздя или винтов.
Насколько это эффективно в отношении консолидации будет видно примерно через 6 недель. Незабудьте сделать, если его нет, обычный свежий снимок до динамизации для последующего сравнения.
--
С уважением, Коваленко А.Н.
|
[
Ответить ]
|
Re: Несращение бедра после реостеосинтеза
Alexander Chelnokov 20 Март 2014, 06:42
|
Источник проблем - отсуствие рассверливания, тонкий гвоздь и костная пластика. При интрамедуллярном остеосинтезе (относительная стабильность) класть кусочки кости открыто бесполезно - не приживут. Только еще ухудшили кровоснабжение концов. А что там с длиной сегмента? Если длина не потерялась - реостеосинтез с рассверливанием, как А.Семенистый написал. Если укорочение - удалить, остеотомия на другом уровне и дистракиця, на стыке - компрессия, и по достижении нужной длины - заштифтовать с рассверливанием, аппарат снять только после запирания гвоздя.
|
[
Ответить ]
|
Re: Несращение бедра после реостеосинтеза
Отправитель: Андрей 20 Март 2014, 13:07
|
"При интрамедуллярном остеосинтезе (относительная стабильность) класть кусочки кости открыто бесполезно - не приживут."
Наверное, не так однозначно. Размер имеет значение:)
Чем относительнее стабильность, тем мельче трансплантаты. Это так. Аутоспонгиоза и чипсы, уложенные под декортиканты, работают и при достижении относительной стабильности. Просто это далеко не всегда нужно. Вернее, как правило, не нужно. Но, есть исключения, которые, как известно, только подтверждают правила.
|
[
Ответить ]
|
|
Re: Несращение бедра после реостеосинтеза
Бережной Сергей 20 Март 2014, 14:53
|
Спасибо за ответы.
Костная пластика делалась стружкой из фрагментов большого вертела: верхний конец предыдущего гвоздя был погружен в него на пару см (первый гвоздь ставился не у нас, я только доставил второй дистальный блокирующий винт)и гранулами СhronОs. Учитывая совершенно необъятные размеры бедра, удаление сломанного гвоздя получилось достаточно травматичным. Пришлось широко открываться проксимально, на уровне перелома и дистальнее, чтобы сформировать окошко для выбивания дистального отломка гвоздя (дистальный конец гвоздя не имел отверстия). После операции около месяца собиралась жидкость в области большого вертела (серома), на фоне пункций постепенно ушла. Поэтому и хотелось бы избежать еще одного вмешательства на уровне большого вертела.
P.S. Не понял, каким образом костная пластика в данном случае могла нарушить кровоснабжение концов.
|
[
Ответить ]
|
Re: Несращение бедра после реостеосинтеза
Djoldas Kuldjanov, M.D 20 Март 2014, 21:44
|
“Впечатление о том, что тонковат, ведь не зависит от реальной толщины гвоздя. Канал не рассверливал. Но забивал с трудом”
При сопутствующей травме грудной клетки или при политравме допускается фиксация тонкими гвоздями с минимальным или без рассверливания канала. Тактика уменьшает second hit при damage control и стабилизирует перелом временно, но не гарантирует сращение. Рассверливание канала, кроме стабильности, создает экзотермическую температуру, которая улучшает ангиогенез за пределы канала, и поэтому происходит образование эндооссальной консолидации.
А открытая операция на диафизе приведет к ухудшению без того нарушенного кровоснабжения и не костная стружка, а широкий хирургический доступ приводит к нарушению кровоснабжения. При следующих процедурах желательно сохранить преимущество интактного кровобращения!!
К применению синтетических заменителей кости надо относится критично, потому что chronOS bone graft substitute (BGS) синтетический β-tricalcium phosphate остеокондуктивный заполнитель костных дефектов. Применяется для заполнения закрытых метафизарных дефектов, нп. тибиал плато или пилона, где более благоприятные условия кровоснабжения. Пластина удерживает от коллапса, потому что рассасывание и замена на костную ткань начинается в 6 месяцев.
Для лечения ложных суставов аутокость или остеоиндукционный материал с морфогенетическим протеином, иначе кальции и фосфор в составе chronOS не будет отличатся от применения мела или скорлупы страусиных яиц (случаи, когда гастролер из Австралии лечил ложные суставы). Такие операции лучше делать открытой техникой с пластиной и де-кортикацией по Judet.
Имеются публикации о применении стружек (содержимое риминга), которые при помощи трубки (канюли) можно доставить на место ложного сустава. Возможно, есть эффект при свежих дефектах, но вызывает сомнения, что графт начнет интегрироваться через защитную капсулу ложного сустава.
“через 6 мес после операции, может ходить без дополнительной опоры, периодически беспокоит болезненность в области правого бедра”
Боли в области ложного сустава подтверждают, что ожидания не помогут и приведут к повторному перелому интрамедуллярного гвоздя. Стандартная процедура - рассверливание и толстый гвоздь в динамике. Нагрузка с первых дней.
После фиксации тонким гвоздем надо предупредить больных, что, возможно, фиксация не приведет к результату. Заранее предупрежденный принимает легко любые решения по дополнительным процедурам, и такая осторожная тактика, позволяет смело предлагать следующие операции, включая интрамедуллярную...
|
[
Ответить ]
|
Re: Несращение бедра после реостеосинтеза
Maxim Agalakov 20 Март 2014, 22:36
|
Прежде все го - исключите инфекцию. Много предрасполагающих факторов: вес, несколько вмешательств, нестабильность на фоне перелома фиксатора, сахарный диабет, какая-то серома.
|
[
Ответить ]
|
Re: Несращение бедра после реостеосинтеза
Гость 22 Март 2014, 04:53
|
Реостеосинтез пластиной с ревизий и очевидно резекцией ложного сустава
|
[
Ответить ]
|
Re: Несращение бедра после реостеосинтеза
Анатолий 28 Март 2014, 12:31
|
Я бы полностью динамизировал и сделал остеоперфорацию или простой авф на месяц-два наложил не удаляя штифт+дистракция
|
[
Ответить ]
|
Re: Несращение бедра после реостеосинтеза
Элгуджа Квиникадзе 10 Май 2014, 00:54
|
По представленным рентгенограммам проведенный остеосинтез был стабильным. К.Т.указывает об отсутствии развития признаков мозолеобразования. Стоит подумать об установлении причин несращения в питании, одной из причин может быть дефицит аминокислотных фракции белков, витаминов и минералов.
|
[
Ответить ]
|
( Ответить )
|
|